Hamburger Menu Button
Thermo Fisher Scientific Logo
登录
没有账号?建立账号 注册
  • 产品
    • 抗体
    • 引物合成
    • GeneArt Gene Synthesis Instant Designer
    • TaqMan Assay and Array Search
    • PCR 设备和耗材
    • 色谱柱和纯化柱
    • 实验室离心机
    • 分子生物学试剂和试剂盒
    • 实验室塑料耗材及用品
    • 查看所有产品分类
  • 应用和技术
    • 色谱
    • 细胞转染和培养
    • 实时荧光定量PCR
    • 质谱
    • 实验室塑料耗材及用品
    • 电子显微镜
    • 蛋白质生物学
    • PCR
    • RNAi
    • 环境
    • 查看所有应用和技术
  • 服务
    • 定制服务
    • 企业级实验室信息化服务
    • 金融&租赁服务
    • 仪器服务
    • OEM和商业供应
    • 培训服务
    • 360° CDMO 和 CRO 服务
    • CDMO 服务
    • 临床试验 CRO 服务
    • Unity Lab Services
    • 查看所有帮助和支持
  • 帮助和支持
    • 学习中心
    • 联系我们
    • 更改国家或地区
    • 查看所有帮助和支持
  • 热门产品
    • TaqMan Real-Time PCR Assays
      TaqMan 实时荧光定量 PCR 试剂盒
    • Antibodies
      抗体
    • Oligos, Primers & Probes
      寡核苷酸、引物、探针
    • GeneArt Gene Synthesis
      GeneArt 基因合成
    • Cell Culture Plastics
      细胞培养耗材
  • Who We Serve
    • 抗体治疗解决方案
    • 细胞与基因治疗解决方案
    • 学术科研
    • 工业与应用
  • 联系我们
  • 货号直购
  • 订单查询
  • 查找文件&证书
Thermo Fisher Scientific Logo

Search

搜索全部或下列指定分类
Search button
          • 联系我们
          • 货号直购
          • 登录
            登录
            没有账号?建立账号 注册
            • 我的账号
            • 订单
            • 会员中心
            • 账单及发票查询
            • 定制产品及项目
          • Primary Antibodies ›
          • TNFAIP3 Antibodies

          Invitrogen

          TNFAIP3 Polyclonal Antibody

          查看其他23个TNFAIP3抗体

          {{$productOrderCtrl.translations['antibody.pdp.commerceCard.promotion.promotions']}}

          {{$productOrderCtrl.translations['antibody.pdp.commerceCard.promotion.viewpromo']}}

          {{$productOrderCtrl.translations['antibody.pdp.commerceCard.promotion.promocode']}}: {{promo.promoCode}} {{promo.promoTitle}} {{promo.promoDescription}}. {{$productOrderCtrl.translations['antibody.pdp.commerceCard.promotion.learnmore']}}

          说明书
          证书
          实验方案
          问题与答案
          技术支持
          说明书
          证书
          实验方案
          问题与答案
          技术支持
          说明书
          证书
          实验方案
          问题与答案
          技术支持

          Cite TNFAIP3 Polyclonal Antibody

          Additional Information:
          {{banner.description}}
          {{$ctrl.isSkuNotesCollapsed ? 'View more' : 'View less'}}
          • 抗体检测数据 (5)
          TNFAIP3 Antibody in Immunohistochemistry (Paraffin) (IHC (P))
          Group 53 Created with Sketch.
          TNFAIP3 Antibody in Immunohistochemistry (Paraffin) (IHC (P))
          Group 53 Created with Sketch.

          图: 1 / 5

          {{ $ctrl.currentElement.advancedVerification.fullName }}
          {{ $ctrl.currentElement.advancedVerification.text }}

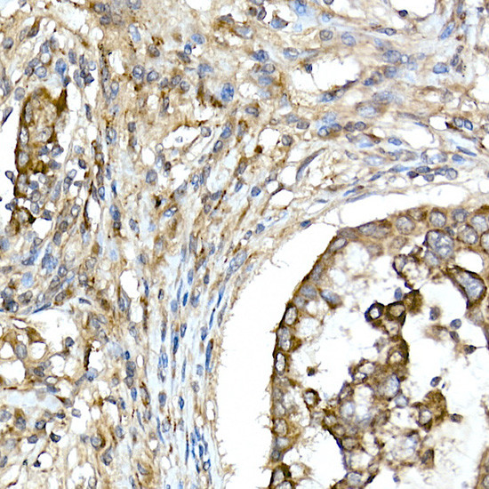
          TNFAIP3 Antibody (PA5-96064) in IHC (P)

          Immunohistochemistry analysis of TNFAIP3 in paraffin-embedded human lung cancer. Samples were incubated with TNFAIP3 Polyclonal antibody (Product # PA5-96064) using a dilution of 1:50 (40x lens). Perform high pressure antigen retrieval with 10 mM citrate buffer pH 6.0 before commencing with IHC staining protocol. {{ $ctrl.currentElement.advancedVerification.fullName }} 验证信息 View more
          已发表图片由___提供 benchsci-logo
          PMID: {{$ctrl.currentElement.benchSciPubmedId}}
          查看产品

          {{$ctrl.videoDesc}}

          {{$ctrl.videoLongDesc}}

          TNFAIP3 Antibody in Immunohistochemistry (Paraffin) (IHC (P))
          TNFAIP3 Antibody in Immunohistochemistry (Paraffin) (IHC (P))
          TNFAIP3 Antibody in Immunohistochemistry (Paraffin) (IHC (P))
          TNFAIP3 Antibody in Immunohistochemistry (Paraffin) (IHC (P))
          TNFAIP3 Antibody in Western Blot (WB)
          TNFAIP3 Polyclonal Antibody

          产品信息

          PA5-96064

          应用
          建议稀释比
          已发表文章

          免疫印迹 (WB)

          1:100-1:500
          -

          免疫组化(石蜡) (IHC (P))

          1:50-1:200
          -

          酶联免疫吸附实验 (ELISA)

          1 µg/mL
          -
          产品规格

          种属反应

          Human, Mouse, Rat

          宿主/亚型

          Rabbit / IgG

          分类

          Polyclonal

          类型

          Antibody

          抗原

          Recombinant fusion protein containing a sequence corresponding to amino acids 600-738 of human TNFAIP3 (NP_0062811)
          3D表位/免疫原

          偶联物

          Unconjugated Unconjugated Unconjugated

          形式

          Liquid

          浓度

          0.59 mg/mL

          规格

          59 µg

          纯化类型

          Affinity Chromatography

          保存液

          PBS, pH 7.3, with 50% glycerol

          内含物

          0.05% ProClin 300

          保存条件

          -20°C, Avoid Freeze/Thaw Cycles

          运输条件

          Ambient (domestic); Wet ice (international)

          RRID

          AB_2807866

          产品详细信息

          Immunogen sequence: DRTGTSKCRK AGCVYFGTPE NKGFCTLCFI EYRENKHFAA ASGKVSPTAS RFQNTIPCLG RECGTLGSTM FEGYCQKCFI EAQNQRFHEA KRTEEQLRSS QRRDVPRTTQ STSRPKCARA SCKNILACRS EELCMECQH

          Positive Samples: Jurkat, HepG2, SW480, Mouse spleen; Cellular Location: Cytoplasm, Lysosome, Nucleus

          靶标信息

          TNFAIP3, also known as A20, is located in chromosome band 6q23, a region that is often deleted in B cell lymphomas. Recently, it was identified as a tumor suppressor gene in Hodgkin lymphoma and several subtypes of non-Hodgkin lymphomas. TNFAIP3 was initially identified as a zinc-finger protein that is rapidly and transiently induced by TNF-a, inhibiting NF-kappa-B-dependent gene expression, and protecting cells from TNF-a-cytotoxicity. Overexpression of TNFAIP3 also inhibits the TLR2- and TLR4-mediated interleukin-8 synthesis in airway epithelial cells, suggesting that TNFAIP3 also acts as a negative regulator of TLR-mediated inflammatory responses, thereby protecting the host against harmful over-responses to pathogens. At least two isoforms of TNFAIP3 are known to exist.

          仅用于科研。不用于诊断过程。未经明确授权不得转售。

          篇参考文献 (0)

          您是否在文献中引用过该产品?请点击下方按钮邮件告知我们。
          引用该产品

          生物信息学

          蛋白别名: OTU domain-containing protein 7C; Putative DNA-binding protein A20; RP11-356I2.3; TNF alpha-induced protein 3; TNFAIP3 (A20); Tumor necrosis factor alpha-induced protein 3; tumor necrosis factor induced protein 3; tumor necrosis factor inducible protein A20; tumor necrosis factor, alpha induced protein 3; tumor necrosis factor, alpha-induced protein 3; unnamed protein product; Zinc finger protein A20

          查看更多 收起

          基因别名: A20; AIFBL1; AISBL; OTUD7C; TNFA1P2; TNFAIP3; Tnfip3

          查看更多 收起

          UniProt ID: (Human) P21580, (Mouse) Q60769

          查看更多 收起

          Entrez Gene ID: (Human) 7128, (Rat) 683206, (Mouse) 21929

          查看更多 收起

          功能
          protease binding DNA binding catalytic activity ubiquitin-protein transferase activity thiol-dependent ubiquitin-specific protease activity protein binding peptidase activity cysteine-type peptidase activity zinc ion binding transferase activity hydrolase activity enzyme binding kinase binding identical protein binding ubiquitin binding metal ion binding Lys63-specific deubiquitinase activity K63-linked polyubiquitin binding protein self-association UDP-N-acetylmuramoylalanyl-D-glutamyl-2,6-diaminopimelate-D-alanyl-D-alanine ligase activity ligase activity ribosomal S6-glutamic acid ligase activity coenzyme F420-0 gamma-glutamyl ligase activity coenzyme F420-2 alpha-glutamyl ligase activity protein-glycine ligase activity protein-glycine ligase activity, initiating protein-glycine ligase activity, elongating tubulin-glycine ligase activity protein-glutamic acid ligase activity tubulin-glutamic acid ligase activity cysteine protease
          参与通路
          B-1 B cell homeostasis response to molecule of bacterial origin immune system process regulation of germinal center formation negative regulation of chronic inflammatory response proteolysis apoptotic process inflammatory response cytoskeleton organization regulation of tumor necrosis factor-mediated signaling pathway cell migration protein deubiquitination positive regulation of Wnt signaling pathway negative regulation of protein ubiquitination response to muramyl dipeptide negative regulation of interleukin-1 beta production negative regulation of interleukin-2 production negative regulation of interleukin-6 production negative regulation of tumor necrosis factor production negative regulation of toll-like receptor 2 signaling pathway negative regulation of toll-like receptor 3 signaling pathway negative regulation of toll-like receptor 4 signaling pathway negative regulation of toll-like receptor 5 signaling pathway protein K11-linked deubiquitination nucleotide-binding domain, leucine rich repeat containing receptor signaling pathway negative regulation of viral-induced cytoplasmic pattern recognition receptor signaling pathway regulation of cell proliferation negative regulation of I-kappaB kinase/NF-kappaB signaling positive regulation of protein catabolic process negative regulation of bone resorption negative regulation of innate immune response negative regulation of smooth muscle cell proliferation regulation of defense response to virus by host negative regulation of inflammatory response negative regulation of B cell activation regulation of vascular wound healing cellular response to hydrogen peroxide negative regulation of nucleotide-binding oligomerization domain containing 1 signaling pathway negative regulation of nucleotide-binding oligomerization domain containing 2 signaling pathway protein K63-linked deubiquitination protein K48-linked ubiquitination protein K48-linked deubiquitination cellular response to lipopolysaccharide protein deubiquitination involved in ubiquitin-dependent protein catabolic process tolerance induction to lipopolysaccharide establishment of protein localization to vacuole negative regulation of osteoclast proliferation cellular response to oxygen-containing compound negative regulation of extrinsic apoptotic signaling pathway via death domain receptors positive regulation of hepatocyte proliferation negative regulation of CD40 signaling pathway negative regulation of endothelial cell apoptotic process negative regulation of extrinsic apoptotic signaling pathway negative regulation of NF-kappaB transcription factor activity negative regulation of cyclin-dependent protein serine/threonine kinase activity negative regulation of cell death positive regulation of cellular protein catabolic process marginal zone B cell differentiation negative regulation of granuloma formation regulation of immunoglobulin production metabolic process response to wounding negative regulation of autophagy negative regulation of heterotypic cell-cell adhesion regulation of innate immune response
          It has to be done as per old AB suggested Products section.

          Disclaimer

          Close

          Clicking the images or links will redirect you to a website hosted by BenchSci that provides third-party scientific content. Neither the content nor the BenchSci technology and processes for selection have been evaluated by us; we are providing them as-is and without warranty of any kind, including for use or application of the Thermo Fisher Scientific products presented.

          guarantee_icon

          性能保障

          只要您发现Invitrogen抗体在实验中的表现与网站或说明书的所述内容不符,您即可享受免费退换货服务。*

          了解更多
          help_icon

          随时为您服务

          获取常见问题的专家解答,或者直接联系我们的技术专家,咨询应用、设备、常规产品使用问题。

          联系技术支持
          订购 Plus Icon Minus Icon
          • 订单状态查询
          • 订单支持
          • 货号直购
          • 现货供应中心
          • 电子采购
          支持 Plus Icon Minus Icon
          • 帮助&支持
          • 联系我们 - 400 820 8982
          • 技术支持中心
          • 查找文件&证书
          • 报告网站问题
          资源 Plus Icon Minus Icon
          • 学习中心
          • 促销
          • 活动&研讨会
          • 社交媒体
          关于赛默飞 Plus Icon Minus Icon
          • 关于我们
          • 招聘 招聘
          • 投资者关系 投资者关系
          • 新闻 新闻
          • 社会责任 社会责任
          • 商标
          • 政策和通知
          品牌 Plus Icon Minus Icon
          • Thermo Scientific
          • Applied Biosystems
          • Invitrogen
          • Gibco
          • Ion Torrent
          • Unity Lab Services
          • Patheon
          • PPD
          • 服务条款
          • 隐私政策
          • 定价和运输保险政策
          © 2006-2026 Thermo Fisher Scientific Inc. All rights reserved. All trademarks are the property of Thermo Fisher Scientific and its subsidiaries unless otherwise specified.
          China flag icon
          China
          本网站销售的所有产品均不得用于人类或动物之临床诊断或治疗,仅可用于工业或者科研等非医疗目的。
             电子营业执照 | 经营证照公示 | ICP备案号:沪ICP备11003924号 | 沪公网安备 31011502006935号

          Your items have has been added!


          Host server : magellan-search-green-6479c7f679-l2s7p:80/100.66.76.236:80.
          git-commit: b70c0dceb888abc3b0dcebb5bc3a5b8753e7e816
          git-url: https://github.com/thermofisher/magellan-search
          git-branch: release/2.50.0-Offline