Hamburger Menu Button
Thermo Fisher Scientific Logo
登录
没有账号?建立账号 注册
  • 产品
    • 抗体
    • 引物合成
    • GeneArt Gene Synthesis Instant Designer
    • TaqMan Assay and Array Search
    • PCR 设备和耗材
    • 色谱柱和纯化柱
    • 实验室离心机
    • 分子生物学试剂和试剂盒
    • 实验室塑料耗材及用品
    • 查看所有产品分类
  • 应用和技术
    • 色谱
    • 细胞转染和培养
    • 实时荧光定量PCR
    • 质谱
    • 实验室塑料耗材及用品
    • 电子显微镜
    • 蛋白质生物学
    • PCR
    • RNAi
    • 环境
    • 查看所有应用和技术
  • 服务
    • 定制服务
    • 企业级实验室信息化服务
    • 金融&租赁服务
    • 仪器服务
    • OEM和商业供应
    • 培训服务
    • 360° CDMO 和 CRO 服务
    • CDMO 服务
    • 临床试验 CRO 服务
    • Unity Lab Services
    • 查看所有帮助和支持
  • 帮助和支持
    • 学习中心
    • 联系我们
    • 更改国家或地区
    • 查看所有帮助和支持
  • 热门产品
    • TaqMan Real-Time PCR Assays
      TaqMan 实时荧光定量 PCR 试剂盒
    • Antibodies
      抗体
    • Oligos, Primers & Probes
      寡核苷酸、引物、探针
    • GeneArt Gene Synthesis
      GeneArt 基因合成
    • Cell Culture Plastics
      细胞培养耗材
  • Who We Serve
    • 抗体治疗解决方案
    • 细胞与基因治疗解决方案
    • 学术科研
    • 工业与应用
  • 联系我们
  • 货号直购
  • 订单查询
  • 查找文件&证书
Thermo Fisher Scientific Logo

Search

搜索全部或下列指定分类
Search button
          • 联系我们
          • 货号直购
          • 登录
            登录
            没有账号?建立账号 注册
            • 我的账号
            • 订单
            • 会员中心
            • 账单及发票查询
            • 定制产品及项目
          • Primary Antibodies ›
          • TOM70 Antibodies

          Invitrogen

          TOM70 Recombinant Rabbit Monoclonal Antibody (PSH13-00)

          查看其他13个TOM70抗体

          {{$productOrderCtrl.translations['antibody.pdp.commerceCard.promotion.promotions']}}

          {{$productOrderCtrl.translations['antibody.pdp.commerceCard.promotion.viewpromo']}}

          {{$productOrderCtrl.translations['antibody.pdp.commerceCard.promotion.promocode']}}: {{promo.promoCode}} {{promo.promoTitle}} {{promo.promoDescription}}. {{$productOrderCtrl.translations['antibody.pdp.commerceCard.promotion.learnmore']}}

          说明书
          证书
          实验方案
          问题与答案
          技术支持
          说明书
          证书
          实验方案
          问题与答案
          技术支持
          说明书
          证书
          实验方案
          问题与答案
          技术支持

          Cite TOM70 Recombinant Rabbit Monoclonal Antibody (PSH13-00)

          Additional Information:
          {{banner.description}}
          {{$ctrl.isSkuNotesCollapsed ? 'View more' : 'View less'}}
          • 抗体检测数据 (11)
          TOM70 Antibody in Immunocytochemistry (ICC/IF)
          Group 53 Created with Sketch.
          TOM70 Antibody in Immunocytochemistry (ICC/IF)
          Group 53 Created with Sketch.

          图: 1 / 11

          {{ $ctrl.currentElement.advancedVerification.fullName }}
          {{ $ctrl.currentElement.advancedVerification.text }}

          TOM70 Antibody (MA570002) in ICC/IF

          Immunocytochemistry analysis of TOM70 in NIH/3T3 cells. Samples were incubated with TOM70 monoclonal antibody (Product # MA570002) using a dilution of 1:100 in 1% BSA in PBST overnight at 4°C followed by Goat Anti-Rabbit IgG H&L (iFluor™ 488) at a dilution of 1:1,000. Cells were fixed in 4% paraformaldehyde for 15 minutes at room temperature, permeabilized with 0.1% Triton X-100 in PBS for 15 minutes at room temperature, then blocked with 1% BSA in 10% negative goat serum for 1 hour at room temperature. PBS instead of the primary antibody ... View More {{ $ctrl.currentElement.advancedVerification.fullName }} 验证信息 View more
          已发表图片由___提供 benchsci-logo
          PMID: {{$ctrl.currentElement.benchSciPubmedId}}
          查看产品

          {{$ctrl.videoDesc}}

          {{$ctrl.videoLongDesc}}

          TOM70 Antibody in Immunocytochemistry (ICC/IF)
          TOM70 Antibody in Immunocytochemistry (ICC/IF)
          TOM70 Antibody in Immunocytochemistry (ICC/IF)
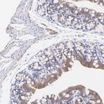
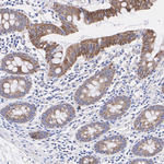
          TOM70 Antibody in Immunohistochemistry (Paraffin) (IHC (P))
          TOM70 Antibody in Immunohistochemistry (Paraffin) (IHC (P))
          TOM70 Antibody in Immunohistochemistry (Paraffin) (IHC (P))
          TOM70 Antibody in Western Blot (WB)
          TOM70 Antibody in Flow Cytometry (Flow)
          TOM70 Antibody in Flow Cytometry (Flow)
          TOM70 Antibody in Flow Cytometry (Flow)
          TOM70 Antibody in Immunoprecipitation (IP)
          TOM70 Recombinant Rabbit Monoclonal Antibody (PSH13-00)

          产品信息

          MA570002

          应用
          建议稀释比
          已发表文章

          免疫印迹 (WB)

          1:20,000
          -

          免疫组化(石蜡) (IHC (P))

          1:200
          -

          免疫细胞化学 (ICC/IF)

          1:100
          -

          流式细胞分析 (Flow)

          1:1,000
          -

          免疫沉淀 (IP)

          1-2 µg
          -
          产品规格

          种属反应

          Human, Mouse, Non-human primate, Rat

          宿主/亚型

          Rabbit / IgG

          Expression System

          HEK293 cells

          分类

          Recombinant Monoclonal

          类型

          Antibody

          克隆号

          PSH13-00

          抗原

          Recombinant protein within human TOM70 aa 86-608.
          3D表位/免疫原

          偶联物

          Unconjugated Unconjugated Unconjugated

          形式

          Liquid

          浓度

          1 mg/mL

          规格

          100 µg

          纯化类型

          Protein A

          保存液

          PBS, pH 7.4, with 0.1% BSA, 40% glycerol

          内含物

          0.2% ProClin 950

          保存条件

          Store at 4°C short term. For long term storage, store at -20°C, avoiding freeze/thaw cycles.

          运输条件

          Ambient (domestic); Wet ice (international)

          产品详细信息

          Positive control: MCF7 cell lysate, HeLa cell lysate, HepG2 cell lysate, Jurkat cell lysate, MDA-MB-231 cell lysate, NIH/3T3 cell lysate, 4T1 cell lysate, C6 cell lysate, PC-12 cell lysate, COS-1 cell lysate, human colon tissue, mouse colon tissue, rat colon tissue.

          Subcellular location: Mitochondrion outer membrane.

          靶标信息

          Functional mitochondria require up to 1000 proteins to function properly, with 99% synthesized as precursors in the cytoplasm and transported into the mitochondria with the aid of cytosolic chaperones and mitochondrial translocators (import components). Proteins to be imported are chaperoned to the mitochondria by the cytosolic heat shock protein (cHSP70) and are immediately pursued by Translocators of the Outer Membrane (TOMs), followed by transient interactions of the unfolded proteins with Translocators of the Inner Membrane (TIMs). TOMM70A is ubiquitously expressed in human tissues and localizes in the mitochondria. TOMM70A could play a significant role in the import of nuclear-encoded mitochondrial proteins with internal targeting sites such as ADP/ATP carriers and the uncoupling proteins.

          仅用于科研。不用于诊断过程。未经明确授权不得转售。

          篇参考文献 (0)

          您是否在文献中引用过该产品?请点击下方按钮邮件告知我们。
          引用该产品

          生物信息学

          蛋白别名: FLJ90470; Mitochondrial import receptor subunit TOM70; Mitochondrial precursor proteins import receptor; Translocase of outer membrane 70 kDa subunit; translocase of outer mitochondrial membrane 70 homolog A; Translocase of outer mitochondrial membrane protein 70; unnamed protein product

          查看更多 收起

          基因别名: 2610044B22Rik; D16Ium22; D16Ium22e; D16Wsu109e; KIAA0719; mKIAA0719; TOM70; TOMM70; TOMM70A

          查看更多 收起

          UniProt ID: (Human) O94826, (Mouse) Q9CZW5, (Rat) Q75Q39

          查看更多 收起

          Entrez Gene ID: (Human) 9868, (Mouse) 28185, (Rat) 304017

          查看更多 收起

          功能
          protein binding protein transmembrane transporter activity mitochondrion targeting sequence binding binding, bridging
          参与通路
          activation of innate immune response positive regulation of defense response to virus by host protein targeting to mitochondrion mRNA transcription protein import into mitochondrial matrix positive regulation of interferon-beta production regulation of apoptotic process protein import into mitochondrial inner membrane protein import into mitochondrial outer membrane negative regulation of cell growth involved in cardiac muscle cell development response to thyroxine cellular response to virus antiviral innate immune response positive regulation of protein targeting to mitochondrion protein transport
          It has to be done as per old AB suggested Products section.

          Disclaimer

          Close

          Clicking the images or links will redirect you to a website hosted by BenchSci that provides third-party scientific content. Neither the content nor the BenchSci technology and processes for selection have been evaluated by us; we are providing them as-is and without warranty of any kind, including for use or application of the Thermo Fisher Scientific products presented.

          guarantee_icon

          性能保障

          只要您发现Invitrogen抗体在实验中的表现与网站或说明书的所述内容不符,您即可享受免费退换货服务。*

          了解更多
          help_icon

          随时为您服务

          获取常见问题的专家解答,或者直接联系我们的技术专家,咨询应用、设备、常规产品使用问题。

          联系技术支持
          订购 Plus Icon Minus Icon
          • 订单状态查询
          • 订单支持
          • 货号直购
          • 现货供应中心
          • 电子采购
          支持 Plus Icon Minus Icon
          • 帮助&支持
          • 联系我们 - 400 820 8982
          • 技术支持中心
          • 查找文件&证书
          • 报告网站问题
          资源 Plus Icon Minus Icon
          • 学习中心
          • 促销
          • 活动&研讨会
          • 社交媒体
          关于赛默飞 Plus Icon Minus Icon
          • 关于我们
          • 招聘 招聘
          • 投资者关系 投资者关系
          • 新闻 新闻
          • 社会责任 社会责任
          • 商标
          • 政策和通知
          品牌 Plus Icon Minus Icon
          • Thermo Scientific
          • Applied Biosystems
          • Invitrogen
          • Gibco
          • Ion Torrent
          • Unity Lab Services
          • Patheon
          • PPD
          • 服务条款
          • 隐私政策
          • 定价和运输保险政策
          © 2006-2026 Thermo Fisher Scientific Inc. All rights reserved. All trademarks are the property of Thermo Fisher Scientific and its subsidiaries unless otherwise specified.
          China flag icon
          China
          本网站销售的所有产品均不得用于人类或动物之临床诊断或治疗,仅可用于工业或者科研等非医疗目的。
             电子营业执照 | 经营证照公示 | ICP备案号:沪ICP备11003924号 | 沪公网安备 31011502006935号

          Your items have has been added!


          Host server : magellan-search-green-6479c7f679-jmhj8:80/100.66.74.142:80.
          git-commit: b70c0dceb888abc3b0dcebb5bc3a5b8753e7e816
          git-url: https://github.com/thermofisher/magellan-search
          git-branch: release/2.50.0-Offline