Hamburger Menu Button
Thermo Fisher Scientific Logo
登录
没有账号?建立账号 注册
  • 产品
    • 抗体
    • 引物合成
    • GeneArt Gene Synthesis Instant Designer
    • TaqMan Assay and Array Search
    • PCR 设备和耗材
    • 色谱柱和纯化柱
    • 实验室离心机
    • 分子生物学试剂和试剂盒
    • 实验室塑料耗材及用品
    • 查看所有产品分类
  • 应用和技术
    • 色谱
    • 细胞转染和培养
    • 实时荧光定量PCR
    • 质谱
    • 实验室塑料耗材及用品
    • 电子显微镜
    • 蛋白质生物学
    • PCR
    • RNAi
    • 环境
    • 查看所有应用和技术
  • 服务
    • 定制服务
    • 企业级实验室信息化服务
    • 金融&租赁服务
    • 仪器服务
    • OEM和商业供应
    • 培训服务
    • 360° CDMO 和 CRO 服务
    • CDMO 服务
    • 临床试验 CRO 服务
    • Unity Lab Services
    • 查看所有帮助和支持
  • 帮助和支持
    • 学习中心
    • 联系我们
    • 更改国家或地区
    • 查看所有帮助和支持
  • 热门产品
    • TaqMan Real-Time PCR Assays
      TaqMan 实时荧光定量 PCR 试剂盒
    • Antibodies
      抗体
    • Oligos, Primers & Probes
      寡核苷酸、引物、探针
    • GeneArt Gene Synthesis
      GeneArt 基因合成
    • Cell Culture Plastics
      细胞培养耗材
  • Who We Serve
    • 抗体治疗解决方案
    • 细胞与基因治疗解决方案
    • 学术科研
    • 工业与应用
  • 联系我们
  • 货号直购
  • 订单查询
  • 查找文件&证书
Thermo Fisher Scientific Logo

Search

搜索全部或下列指定分类
Search button
          • 联系我们
          • 货号直购
          • 登录
            登录
            没有账号?建立账号 注册
            • 我的账号
            • 订单
            • 会员中心
            • 账单及发票查询
            • 定制产品及项目
          • Primary Antibodies ›
          • TPM1/2/3/4 Antibodies

          Bioss

          TPM1/2/3/4 Polyclonal Antibody

          {{$productOrderCtrl.translations['antibody.pdp.commerceCard.promotion.promotions']}}

          {{$productOrderCtrl.translations['antibody.pdp.commerceCard.promotion.viewpromo']}}

          {{$productOrderCtrl.translations['antibody.pdp.commerceCard.promotion.promocode']}}: {{promo.promoCode}} {{promo.promoTitle}} {{promo.promoDescription}}. {{$productOrderCtrl.translations['antibody.pdp.commerceCard.promotion.learnmore']}}

          说明书
          证书
          实验方案
          问题与答案
          技术支持
          说明书
          证书
          实验方案
          问题与答案
          技术支持
          说明书
          证书
          实验方案
          问题与答案
          技术支持

          Cite TPM1/2/3/4 Polyclonal Antibody

          Additional Information:
          {{banner.description}}
          {{$ctrl.isSkuNotesCollapsed ? 'View more' : 'View less'}}
          • 抗体检测数据 (1)
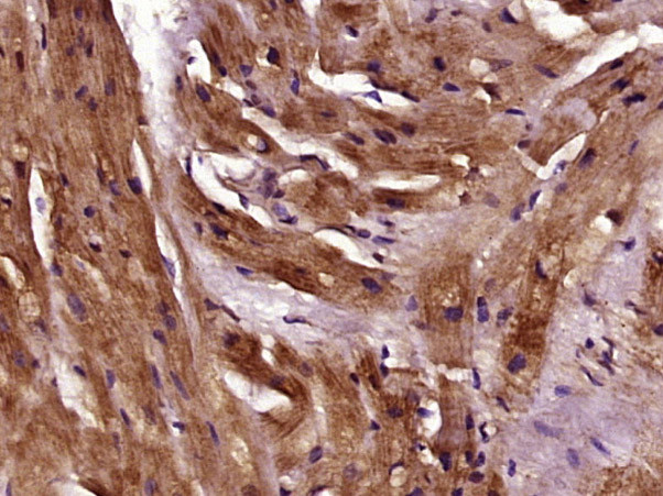
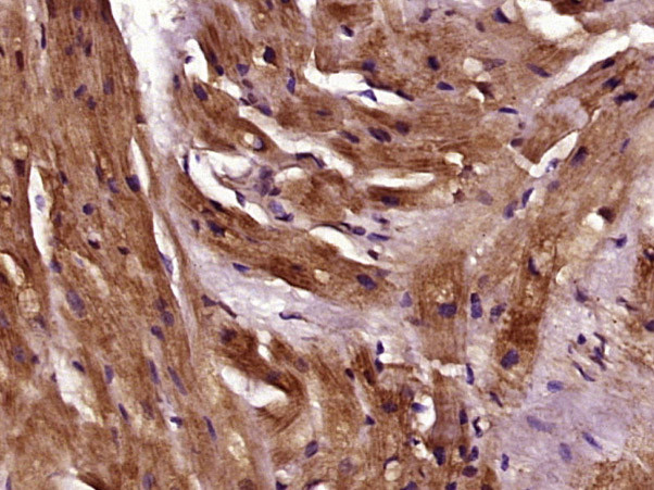
          TPM1/2/3/4 Antibody in Immunohistochemistry (Paraffin) (IHC (P))
          Group 53 Created with Sketch.
          TPM1/2/3/4 Antibody in Immunohistochemistry (Paraffin) (IHC (P))
          Group 53 Created with Sketch.

          图: 1 / 1

          {{ $ctrl.currentElement.advancedVerification.fullName }}
          {{ $ctrl.currentElement.advancedVerification.text }}

          TPM1/2/3/4 Antibody (BS-9622R) in IHC (P)

          Paraformaldehyde-fixed, paraffin-embedded Human Myocardial tissue; Antigen retrieval by boiling in sodium citrate buffer (0.01M, pH6) for 15 minutes; Block endogenous peroxidase by 3% hydrogen peroxide for 30 minutes; Blocking buffer (normal goat serum) at 37°C for 20 minutes; Antibody incubation with Pan-Tropomyosin Polyclonal Antibody, Unconjugated (bs-9622R) at 1:400 overnight at 4°C, followed by incubat... View More {{ $ctrl.currentElement.advancedVerification.fullName }} 验证信息 View more
          已发表图片由___提供 benchsci-logo
          PMID: {{$ctrl.currentElement.benchSciPubmedId}}
          查看产品

          {{$ctrl.videoDesc}}

          {{$ctrl.videoLongDesc}}

          TPM1/2/3/4 Antibody in Immunohistochemistry (Paraffin) (IHC (P))

          产品信息

          BS-9622R

          应用
          建议稀释比
          已发表文章

          免疫印迹 (WB)

          Assay-dependent
          -

          免疫组化(石蜡) (IHC (P))

          1:400
          -
          产品规格

          种属反应

          Human, Mouse, Rat

          宿主/亚型

          Rabbit / IgG

          分类

          Polyclonal

          类型

          Antibody

          抗原

          KLH conjugated synthetic peptide derived from human TPM1.

          偶联物

          Unconjugated Unconjugated Unconjugated

          形式

          Liquid

          浓度

          1 mg/mL

          规格

          100 µg

          纯化类型

          Protein A

          保存液

          0.01M TBS, pH 7.4, with 50% glycerol, 1% BSA

          内含物

          0.02% ProClin 300

          保存条件

          -20°C

          运输条件

          Ambient (domestic); Wet ice (international)

          靶标信息

          Binds to actin filaments in muscle and non-muscle cells. Plays a central role, in association with the troponin complex, in the calcium dependent regulation of vertebrate striated muscle contraction. Smooth muscle contraction is regulated by interaction with caldesmon. In non-muscle cells is implicated in stabilizing cytoskeleton actin filaments.

          仅用于科研。不用于诊断过程。未经明确授权不得转售。

          篇参考文献 (0)

          您是否在文献中引用过该产品?请点击下方按钮邮件告知我们。
          引用该产品

          生物信息学

          蛋白别名: alpha tropomyosin; Alpha-tropomyosin; alpha-tropomyosin, slow skeletal; Beta-tropomyosin; cardiomyopathy, hypertrophic 3; cytoskeletal tropomyosin isoform; cytoskeletal tropomyosin TM30; epididymis luminal protein 189; epididymis secretory protein Li 108; epididymis secretory protein Li 265; epididymis secretory protein Li 273; epididymis secretory sperm binding protein Li 82p; fibroblast tropomyosin; Gamma-tropomyosin; heat-stable cytoskeletal protein 30 kDa; hepatoma alpha tropomyosin; high-molecular weight tropomyosin 3 protein; function unknown; hTM5; myofibrillar protein; component of thin filaments; alternatively spliced; nemaline myopathy type 4; nonmuscle tropomyosin 5; sarcomeric tropomyosin kappa; skalphaTM.2; skeletal muscle beta-tropomyosin; skeletal muscle tropomyosin; smooth muscle alpha-tropomyosin; striated muscle alpha-tropomyosin; TM-4; TM30p1; tropomycin 4; tropomyosin; tropomyosin 1 (alpha) isoform TPM1_1; tropomyosin 1 (alpha) isoform TPM1_2; tropomyosin 2 (beta); tropomyosin 3 alpha; tropomyosin 3 nu; tropomyosin 3, gamma; tropomyosin 5; Tropomyosin alpha-1 chain; Tropomyosin alpha-3 chain; Tropomyosin alpha-4 chain; Tropomyosin beta chain; tropomyosin gamma; tropomyosin non-muscle; Tropomyosin-1; Tropomyosin-2; Tropomyosin-3; Tropomyosin-4; Tropomyosin-5; unnamed protein product

          查看更多 收起

          基因别名: 2610528G24Rik; AA986836; AI854628; Alpha-tm; AMCD1; BDPLT25; C15orf13; CAPM1; CFTD; CMD1Y; CMH3; CMYO23; CMYO4A; CMYO4B; CMYP23; CMYP4A; CMYP4B; DA1; DA2B; DA2B4; gamma-TM; HEL-189; HEL-S-108; HEL-S-265; HEL-S-273; HEL-S-82p; hscp30; HTM-alpha; hTM30nm; hTMnm; LVNC9; NEM1; NEM4; OK/SW-cl.5; TM-5; TM2; TM3; TM30; TM30nm; TM5; Tm5NM; Tma2; TMnm; Tmpa; TMSA; TMSB; Tpm-1; Tpm-2; Tpm-5; TPM1; TPM2; TPM3; TPM3nu; TPM4; Tpm4.2; Tpm4.2cy; Tpm5; Tpma; TPMsk3; TRK; Trop-2; Trop-5

          查看更多 收起

          UniProt ID: (Human) P09493, (Human) P07951, (Human) P06753, (Human) P67936, (Rat) P04692, (Mouse) P58771, (Rat) P58775, (Mouse) P58774, (Rat) Q63610, (Mouse) P21107, (Rat) P09495, (Mouse) Q6IRU2

          查看更多 收起

          Entrez Gene ID: (Human) 7168, (Human) 7169, (Human) 7170, (Human) 7171, (Rat) 24851, (Mouse) 22003, (Rat) 500450, (Mouse) 22004, (Rat) 117557, (Mouse) 59069, (Rat) 24852, (Mouse) 326618

          查看更多 收起

          功能
          actin binding structural constituent of cytoskeleton protein binding cytoskeletal protein binding structural constituent of muscle identical protein binding protein homodimerization activity protein heterodimerization activity actin filament binding calcium ion binding metal ion binding protein N-terminus binding molecular_function actin binding motor protein
          参与通路
          positive regulation of heart rate by epinephrine regulation of muscle contraction cytoskeleton organization actin filament organization regulation of heart contraction regulation of cell shape muscle filament sliding negative regulation of cell migration ruffle organization cellular response to reactive oxygen species wound healing sarcomere organization positive regulation of cell adhesion positive regulation of stress fiber assembly ventricular cardiac muscle tissue morphogenesis cardiac muscle contraction negative regulation of vascular smooth muscle cell proliferation negative regulation of vascular associated smooth muscle cell migration muscle contraction regulation of ATPase activity osteoblast differentiation platelet formation in utero embryonic development positive regulation of ATPase activity actin filament capping embryo development brain development
          It has to be done as per old AB suggested Products section.

          Disclaimer

          Close

          Clicking the images or links will redirect you to a website hosted by BenchSci that provides third-party scientific content. Neither the content nor the BenchSci technology and processes for selection have been evaluated by us; we are providing them as-is and without warranty of any kind, including for use or application of the Thermo Fisher Scientific products presented.

          guarantee_icon

          性能保障

          只要您发现Invitrogen抗体在实验中的表现与网站或说明书的所述内容不符,您即可享受免费退换货服务。*

          了解更多
          help_icon

          随时为您服务

          获取常见问题的专家解答,或者直接联系我们的技术专家,咨询应用、设备、常规产品使用问题。

          联系技术支持
          订购 Plus Icon Minus Icon
          • 订单状态查询
          • 订单支持
          • 货号直购
          • 现货供应中心
          • 电子采购
          支持 Plus Icon Minus Icon
          • 帮助&支持
          • 联系我们 - 400 820 8982
          • 技术支持中心
          • 查找文件&证书
          • 报告网站问题
          资源 Plus Icon Minus Icon
          • 学习中心
          • 促销
          • 活动&研讨会
          • 社交媒体
          关于赛默飞 Plus Icon Minus Icon
          • 关于我们
          • 招聘 招聘
          • 投资者关系 投资者关系
          • 新闻 新闻
          • 社会责任 社会责任
          • 商标
          • 政策和通知
          品牌 Plus Icon Minus Icon
          • Thermo Scientific
          • Applied Biosystems
          • Invitrogen
          • Gibco
          • Ion Torrent
          • Unity Lab Services
          • Patheon
          • PPD
          • 服务条款
          • 隐私政策
          • 定价和运输保险政策
          © 2006-2026 Thermo Fisher Scientific Inc. All rights reserved. All trademarks are the property of Thermo Fisher Scientific and its subsidiaries unless otherwise specified.
          China flag icon
          China
          本网站销售的所有产品均不得用于人类或动物之临床诊断或治疗,仅可用于工业或者科研等非医疗目的。
             电子营业执照 | 经营证照公示 | ICP备案号:沪ICP备11003924号 | 沪公网安备 31011502006935号

          Your items have has been added!


          Host server : magellan-search-blue-7c59b9b899-zvjvc:80/100.66.72.70:80.
          git-commit: 8ef7cf686e3c81d28b13492708ce56d167b2f995
          git-url: https://github.com/thermofisher/magellan-search
          git-branch: release/2.49.0-Offline