Hamburger Menu Button
Thermo Fisher Scientific Logo
登录
没有账号?建立账号 注册
  • 产品
    • 抗体
    • 引物合成
    • GeneArt Gene Synthesis Instant Designer
    • TaqMan Assay and Array Search
    • PCR 设备和耗材
    • 色谱柱和纯化柱
    • 实验室离心机
    • 分子生物学试剂和试剂盒
    • 实验室塑料耗材及用品
    • 查看所有产品分类
  • 应用和技术
    • 色谱
    • 细胞转染和培养
    • 实时荧光定量PCR
    • 质谱
    • 实验室塑料耗材及用品
    • 电子显微镜
    • 蛋白质生物学
    • PCR
    • RNAi
    • 环境
    • 查看所有应用和技术
  • 服务
    • 定制服务
    • 企业级实验室信息化服务
    • 金融&租赁服务
    • 仪器服务
    • OEM和商业供应
    • 培训服务
    • 360° CDMO 和 CRO 服务
    • CDMO 服务
    • 临床试验 CRO 服务
    • Unity Lab Services
    • 查看所有帮助和支持
  • 帮助和支持
    • 学习中心
    • 联系我们
    • 更改国家或地区
    • 查看所有帮助和支持
  • 热门产品
    • TaqMan Real-Time PCR Assays
      TaqMan 实时荧光定量 PCR 试剂盒
    • Antibodies
      抗体
    • Oligos, Primers & Probes
      寡核苷酸、引物、探针
    • GeneArt Gene Synthesis
      GeneArt 基因合成
    • Cell Culture Plastics
      细胞培养耗材
  • Who We Serve
    • 抗体治疗解决方案
    • 细胞与基因治疗解决方案
    • 学术科研
    • 工业与应用
  • 联系我们
  • 货号直购
  • 订单查询
  • 查找文件&证书
Thermo Fisher Scientific Logo

Search

搜索全部或下列指定分类
Search button
          • 联系我们
          • 货号直购
          • 登录
            登录
            没有账号?建立账号 注册
            • 我的账号
            • 订单
            • 会员中心
            • 账单及发票查询
            • 定制产品及项目
          • Primary Antibodies ›
          • TRAF2 Antibodies

          Invitrogen

          TRAF2 Recombinant Rabbit Monoclonal Antibody (SD205-06)

          高级验证
          查看其他28个TRAF2抗体

          {{$productOrderCtrl.translations['antibody.pdp.commerceCard.promotion.promotions']}}

          {{$productOrderCtrl.translations['antibody.pdp.commerceCard.promotion.viewpromo']}}

          {{$productOrderCtrl.translations['antibody.pdp.commerceCard.promotion.promocode']}}: {{promo.promoCode}} {{promo.promoTitle}} {{promo.promoDescription}}. {{$productOrderCtrl.translations['antibody.pdp.commerceCard.promotion.learnmore']}}

          说明书
          证书
          实验方案
          问题与答案
          技术支持
          说明书
          证书
          实验方案
          问题与答案
          技术支持
          说明书
          证书
          实验方案
          问题与答案
          技术支持

          Cite TRAF2 Recombinant Rabbit Monoclonal Antibody (SD205-06)

          Additional Information:
          {{banner.description}}
          {{$ctrl.isSkuNotesCollapsed ? 'View more' : 'View less'}}
          • 抗体检测数据 (10)
          • 高级验证 (1)
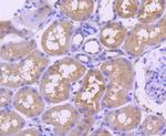
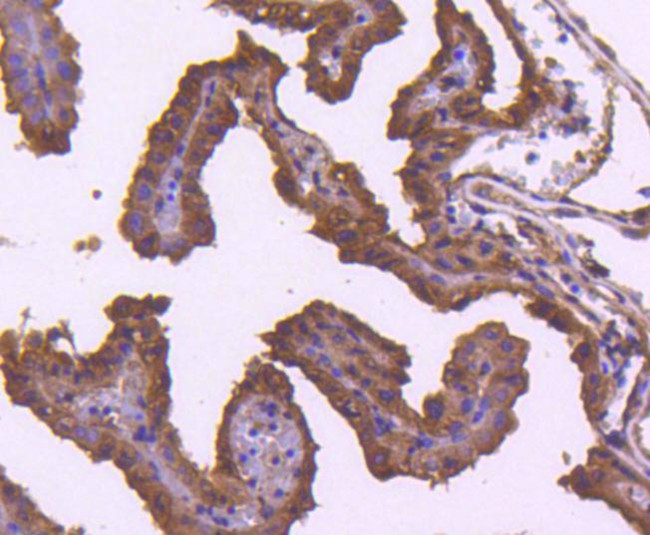
          TRAF2 Antibody in Immunohistochemistry (Paraffin) (IHC (P))
          Group 53 Created with Sketch.
          TRAF2 Antibody in Immunohistochemistry (Paraffin) (IHC (P))
          Group 53 Created with Sketch.

          图: 1 / 11

          {{ $ctrl.currentElement.advancedVerification.fullName }}
          {{ $ctrl.currentElement.advancedVerification.text }}

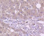
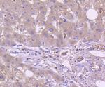
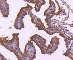
          TRAF2 Antibody (MA5-41186) in IHC (P)

          Immunohistochemistry (Paraffin) analysis of TRAF2 in paraffin-embedded mouse placenta tissue. The section was pre-treated using heat mediated antigen retrieval with Tris-EDTA buffer (pH 8.0-8.4) for 20 minutes.The tissues were blocked in 5% BSA for 30 minutes at room temperature, washed with ddH2O and PBS, and then probed with TRAF2 Recombinant Monoclonal Antibody (Product # MA5-41186) at a dilution of 1:50... View More {{ $ctrl.currentElement.advancedVerification.fullName }} 验证信息 View more
          已发表图片由___提供 benchsci-logo
          PMID: {{$ctrl.currentElement.benchSciPubmedId}}
          查看产品

          {{$ctrl.videoDesc}}

          {{$ctrl.videoLongDesc}}

          TRAF2 Antibody in Immunohistochemistry (Paraffin) (IHC (P))
          TRAF2 Antibody in Immunohistochemistry (Paraffin) (IHC (P))
          TRAF2 Antibody in Immunohistochemistry (Paraffin) (IHC (P))
          TRAF2 Antibody in Immunohistochemistry (Paraffin) (IHC (P))
          TRAF2 Antibody in Immunohistochemistry (Paraffin) (IHC (P))
          TRAF2 Antibody in Immunohistochemistry (Paraffin) (IHC (P))
          TRAF2 Antibody in Immunohistochemistry (Paraffin) (IHC (P))
          TRAF2 Antibody in Western Blot (WB)
          TRAF2 Antibody in Western Blot (WB)
          TRAF2 Antibody in Western Blot (WB)
          TRAF2 Antibody
          TRAF2 Recombinant Rabbit Monoclonal Antibody (SD205-06)

          产品信息

          MA5-41186

          应用
          建议稀释比
          已发表文章

          免疫印迹 (WB)

          1:1,000-1:5,000
          -

          免疫组化(石蜡) (IHC (P))

          1:50-1:200
          -
          产品规格

          种属反应

          Human, Mouse, Rat

          宿主/亚型

          Rabbit / IgG

          Expression System

          HEK293 cells

          分类

          Recombinant Monoclonal

          类型

          Antibody

          克隆号

          SD205-06

          抗原

          Synthetic peptide within N-terminal human TRAF2.
          3D表位/免疫原

          偶联物

          Unconjugated Unconjugated Unconjugated

          形式

          Liquid

          浓度

          1 mg/mL

          规格

          100 µg

          纯化类型

          Protein A

          保存液

          TBS, pH 7.4, with 0.05% BSA, 40% glycerol

          内含物

          0.05% sodium azide

          保存条件

          Store at 4°C short term. For long term storage, store at -20°C, avoiding freeze/thaw cycles.

          运输条件

          Ambient (domestic); Wet ice (international)

          RRID

          AB_2898940

          靶标信息

          Tumor necrosis factor (TNF) receptor associated factors (TRAFs) were initially discovered as adaptor proteins that link the TNF receptor superfamily to signaling pathways and are thus important regulators of cell death and cellular response to stress. TRAF proteins share a homology region that allows them to bind to cell receptors and other TRAF proteins, causing the activation of different signal cascades depending on the TRAFs involved. For example, TRAF2 and TRAF3 directly bind to the CD40, a NF receptor superfamily member involved in inducing B cell immunity, and are critical for NF-kappa-B activation in mouse B lymphocytes. TRAF2 along with TRAF6 has also been shown to be required for CD40 signaling in nonhemopoietic cells. TRAF2 also interacts with the TRFR superfamily member lymphotoxin-beta receptor (LTbetaR) in association with TRAF3 and the apoptosis inhibitors cIAP1 and Smac.

          仅用于科研。不用于诊断过程。未经明确授权不得转售。

          篇参考文献 (0)

          您是否在文献中引用过该产品?请点击下方按钮邮件告知我们。
          引用该产品

          生物信息学

          蛋白别名: adapter protein; E3 ubiquitin-protein ligase TRAF2; OTTHUMP00000064745; RING-type E3 ubiquitin transferase TRAF2; TNF receptor-associated factor 2; tumor necrosis factor type 2 receptor associated protein 3; Tumor necrosis factor type 2 receptor-associated protein 3; unnamed protein product

          查看更多 收起

          基因别名: AI325259; MGC:45012; RNF117; TRAF2; TRAP; TRAP3

          查看更多 收起

          UniProt ID: (Human) Q12933, (Mouse) P39429

          查看更多 收起

          Entrez Gene ID: (Human) 7186, (Mouse) 22030, (Rat) 311786

          查看更多 收起

          功能
          ubiquitin-protein transferase activity tumor necrosis factor receptor binding CD40 receptor binding protein binding zinc ion binding lipid binding transferase activity enzyme binding protein kinase binding protein phosphatase binding protein binding, bridging mitogen-activated protein kinase kinase kinase binding ubiquitin protein ligase binding thioesterase binding tumor necrosis factor receptor superfamily binding signaling adaptor activity identical protein binding tumor necrosis factor binding macromolecular complex binding sphingolipid binding metal ion binding ubiquitin protein ligase activity receptor binding UDP-N-acetylmuramoylalanyl-D-glutamyl-2,6-diaminopimelate-D-alanyl-D-alanine ligase activity ligase activity ribosomal S6-glutamic acid ligase activity protein complex binding coenzyme F420-0 gamma-glutamyl ligase activity coenzyme F420-2 alpha-glutamyl ligase activity protein-glycine ligase activity protein-glycine ligase activity, initiating protein-glycine ligase activity, elongating tubulin-glycine ligase activity protein-glutamic acid ligase activity tubulin-glutamic acid ligase activity scaffold/adaptor protein
          参与通路
          regulation of immunoglobulin production regulation of production of molecular mediator of immune response positive regulation of T cell cytokine production apoptotic process signal transduction positive regulation of gene expression programmed cell death protein ubiquitination signal transduction involved in regulation of gene expression CD40 signaling pathway protein catabolic process positive regulation of interleukin-2 production tumor necrosis factor-mediated signaling pathway negative regulation of glial cell apoptotic process response to endoplasmic reticulum stress NIK/NF-kappaB signaling TORC1 signaling TORC2 signaling T cell activation regulation of apoptotic process positive regulation of I-kappaB kinase/NF-kappaB signaling regulation of protein complex assembly regulation of MAPK cascade positive regulation of JUN kinase activity innate immune response regulation of JNK cascade mRNA stabilization positive regulation of NF-kappaB transcription factor activity protein autoubiquitination protein-containing complex assembly intrinsic apoptotic signaling pathway in response to endoplasmic reticulum stress protein K63-linked ubiquitination cellular response to nitric oxide programmed necrotic cell death interleukin-17-mediated signaling pathway CD27 signaling pathway positive regulation of tumor necrosis factor-mediated signaling pathway TORC1 complex assembly TORC2 complex disassembly positive regulation of extrinsic apoptotic signaling pathway protein complex assembly activation of NF-kappaB-inducing kinase activity negative regulation of apoptotic process cellular protein complex assembly regulation of immunoglobulin secretion positive regulation of sequence-specific DNA binding transcription factor activity protein heterooligomerization protein homotrimerization positive regulation of protein homodimerization activity positive regulation of I-kappaB phosphorylation
          It has to be done as per old AB suggested Products section.

          Disclaimer

          Close

          Clicking the images or links will redirect you to a website hosted by BenchSci that provides third-party scientific content. Neither the content nor the BenchSci technology and processes for selection have been evaluated by us; we are providing them as-is and without warranty of any kind, including for use or application of the Thermo Fisher Scientific products presented.

          guarantee_icon

          性能保障

          只要您发现Invitrogen抗体在实验中的表现与网站或说明书的所述内容不符,您即可享受免费退换货服务。*

          了解更多
          help_icon

          随时为您服务

          获取常见问题的专家解答,或者直接联系我们的技术专家,咨询应用、设备、常规产品使用问题。

          联系技术支持
          订购 Plus Icon Minus Icon
          • 订单状态查询
          • 订单支持
          • 货号直购
          • 现货供应中心
          • 电子采购
          支持 Plus Icon Minus Icon
          • 帮助&支持
          • 联系我们 - 400 820 8982
          • 技术支持中心
          • 查找文件&证书
          • 报告网站问题
          资源 Plus Icon Minus Icon
          • 学习中心
          • 促销
          • 活动&研讨会
          • 社交媒体
          关于赛默飞 Plus Icon Minus Icon
          • 关于我们
          • 招聘 招聘
          • 投资者关系 投资者关系
          • 新闻 新闻
          • 社会责任 社会责任
          • 商标
          • 政策和通知
          品牌 Plus Icon Minus Icon
          • Thermo Scientific
          • Applied Biosystems
          • Invitrogen
          • Gibco
          • Ion Torrent
          • Unity Lab Services
          • Patheon
          • PPD
          • 服务条款
          • 隐私政策
          • 定价和运输保险政策
          © 2006-2026 Thermo Fisher Scientific Inc. All rights reserved. All trademarks are the property of Thermo Fisher Scientific and its subsidiaries unless otherwise specified.
          China flag icon
          China
          本网站销售的所有产品均不得用于人类或动物之临床诊断或治疗,仅可用于工业或者科研等非医疗目的。
             电子营业执照 | 经营证照公示 | ICP备案号:沪ICP备11003924号 | 沪公网安备 31011502006935号

          Your items have has been added!


          Host server : magellan-search-green-6479c7f679-zb4k5:80/100.66.74.142:80.
          git-commit: b70c0dceb888abc3b0dcebb5bc3a5b8753e7e816
          git-url: https://github.com/thermofisher/magellan-search
          git-branch: release/2.50.0-Offline