Hamburger Menu Button
Thermo Fisher Scientific Logo
登录
没有账号?建立账号 注册
  • 产品
    • 抗体
    • 引物合成
    • GeneArt Gene Synthesis Instant Designer
    • TaqMan Assay and Array Search
    • PCR 设备和耗材
    • 色谱柱和纯化柱
    • 实验室离心机
    • 分子生物学试剂和试剂盒
    • 实验室塑料耗材及用品
    • 查看所有产品分类
  • 应用和技术
    • 色谱
    • 细胞转染和培养
    • 实时荧光定量PCR
    • 质谱
    • 实验室塑料耗材及用品
    • 电子显微镜
    • 蛋白质生物学
    • PCR
    • RNAi
    • 环境
    • 查看所有应用和技术
  • 服务
    • 定制服务
    • 企业级实验室信息化服务
    • 金融&租赁服务
    • 仪器服务
    • OEM和商业供应
    • 培训服务
    • 360° CDMO 和 CRO 服务
    • CDMO 服务
    • 临床试验 CRO 服务
    • Unity Lab Services
    • 查看所有帮助和支持
  • 帮助和支持
    • 学习中心
    • 联系我们
    • 更改国家或地区
    • 查看所有帮助和支持
  • 热门产品
    • TaqMan Real-Time PCR Assays
      TaqMan 实时荧光定量 PCR 试剂盒
    • Antibodies
      抗体
    • Oligos, Primers & Probes
      寡核苷酸、引物、探针
    • GeneArt Gene Synthesis
      GeneArt 基因合成
    • Cell Culture Plastics
      细胞培养耗材
  • Who We Serve
    • 抗体治疗解决方案
    • 细胞与基因治疗解决方案
    • 学术科研
    • 工业与应用
  • 联系我们
  • 货号直购
  • 订单查询
  • 查找文件&证书
Thermo Fisher Scientific Logo

Search

搜索全部或下列指定分类
Search button
          • 联系我们
          • 货号直购
          • 登录
            登录
            没有账号?建立账号 注册
            • 我的账号
            • 订单
            • 会员中心
            • 账单及发票查询
            • 定制产品及项目
          • Primary Antibodies ›
          • TRAF3IP1 Antibodies

          Proteintech

          TRAF3IP1 Polyclonal Antibody

          查看其他7个TRAF3IP1抗体

          {{$productOrderCtrl.translations['antibody.pdp.commerceCard.promotion.promotions']}}

          {{$productOrderCtrl.translations['antibody.pdp.commerceCard.promotion.viewpromo']}}

          {{$productOrderCtrl.translations['antibody.pdp.commerceCard.promotion.promocode']}}: {{promo.promoCode}} {{promo.promoTitle}} {{promo.promoDescription}}. {{$productOrderCtrl.translations['antibody.pdp.commerceCard.promotion.learnmore']}}

          说明书
          证书
          实验方案
          问题与答案
          技术支持
          说明书
          证书
          实验方案
          问题与答案
          技术支持
          说明书
          证书
          实验方案
          问题与答案
          技术支持

          Cite TRAF3IP1 Polyclonal Antibody

          Additional Information:
          {{banner.description}}
          {{$ctrl.isSkuNotesCollapsed ? 'View more' : 'View less'}}
          • 抗体检测数据 (7)
          TRAF3IP1 Antibody in Immunocytochemistry (ICC/IF)
          Group 53 Created with Sketch.
          TRAF3IP1 Antibody in Immunocytochemistry (ICC/IF)
          Group 53 Created with Sketch.

          图: 1 / 7

          {{ $ctrl.currentElement.advancedVerification.fullName }}
          {{ $ctrl.currentElement.advancedVerification.text }}

          TRAF3IP1 Antibody (14404-1-AP) in ICC/IF

          Immunofluorescent analysis of NIH/3T3 cells using 14404-1-AP (TRAF3IP1 antibody) at dilution of 1:25 and Rhodamine-Goat anti-Rabbit IGG. {{ $ctrl.currentElement.advancedVerification.fullName }} 验证信息 View more
          已发表图片由___提供 benchsci-logo
          PMID: {{$ctrl.currentElement.benchSciPubmedId}}
          查看产品

          {{$ctrl.videoDesc}}

          {{$ctrl.videoLongDesc}}

          TRAF3IP1 Antibody in Immunocytochemistry (ICC/IF)
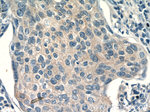
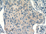
          TRAF3IP1 Antibody in Immunohistochemistry (Paraffin) (IHC (P))
          TRAF3IP1 Antibody in Immunohistochemistry (Paraffin) (IHC (P))
          TRAF3IP1 Antibody in Immunohistochemistry (Paraffin) (IHC (P))
          TRAF3IP1 Antibody in Immunohistochemistry (Paraffin) (IHC (P))
          TRAF3IP1 Antibody in Western Blot (WB)
          TRAF3IP1 Antibody in Immunoprecipitation (IP)
          TRAF3IP1 Polyclonal Antibody

          产品信息

          14404-1-AP

          应用
          建议稀释比
          已发表文章

          免疫印迹 (WB)

          1:200-1:1,000
          -

          免疫组化(石蜡) (IHC (P))

          1:20-1:200
          -

          免疫细胞化学 (ICC/IF)

          1:10-1:100
          -

          免疫沉淀 (IP)

          0.5-4.0 µg
          -
          产品规格

          种属反应

          Human, Mouse, Rat

          宿主/亚型

          Rabbit / IgG

          分类

          Polyclonal

          类型

          Antibody

          抗原

          TRAF3IP1 Fusion Protein Ag5677 (276-626 aa encoded by BC059174)
          3D表位/免疫原

          偶联物

          Unconjugated Unconjugated Unconjugated

          形式

          Liquid

          浓度

          0.24 mg/mL

          规格

          36 µg

          纯化类型

          Antigen affinity chromatography

          保存液

          PBS, pH 7.3, with 50% glycerol

          内含物

          0.02% sodium azide

          保存条件

          -20°C

          运输条件

          Wet ice (domestic); Dry ice (international)

          产品详细信息

          Immunogen sequence: DRDRRRVKN GEHSWDLDRE KNREHDKPEK KSASSGEMSK KLSDGTFKDS KAETETEIST RASKSLTTKT SKRRSKNSVE GDSTSDAEGD AGPAGQDKSE VPETPEIPNE LSSNIRRIPR PGSARPAPPR VKRQDSMEAL QMDRSGSGKT VSNVITESHN SDNEEDDQFV VEAAPQLSEM SEIEMVTAVE LEEEEKHGGL VKKILETKKD YEKLQQSPKP GEKERSLFES AWKKEKDIVS KEIEKLRTSI QTLCKSALPL GKIMDYIQED VDAMQNELQM WHSENRQHAE ALQQEQRITD CAVEPLKAEL AELEQLIKDQ QDKICAVKAN ILKNEEKIQK MVYSINLTSR R (276-626 aa encoded by BC059174)

          靶标信息

          Tumor necrosis factor receptor (TNFR) superfamily members transmit signals regulating proliferation, differentiation and apoptosis in various types of cells. TNFR-associated factors (TRAFs) are a family of proteins that were initially discovered as downstream signal transducers of the TNFR superfamily. TRAF3 contains an N-terminal ring finger/zinc finger region that is thought to be essential for downstream signaling. MIP-T3 is associated with TRAF3. MIP-T3 binds to taxol-stabilized microtubules and to tubulin in vitro, and MIP-T3 recruits TRAF3 to microtubules when both proteins are overexpressed. The MIP-T3/TRAF3 interaction requires the coiled-coil TRAF-N domain of TRAF3. This interaction may provide a novel mechanism in sequestering TRAF3 to the cytoskeletal network.

          仅用于科研。不用于诊断过程。未经明确授权不得转售。

          篇参考文献 (0)

          您是否在文献中引用过该产品?请点击下方按钮邮件告知我们。
          引用该产品

          生物信息学

          蛋白别名: IL-13R alpha 1-binding protein-1; interleukin 13 receptor alpha 1-binding protein-1; Interleukin-13 receptor alpha 1-binding protein 1; Intraflagellar transport protein 54 homolog; microtubule interacting protein that associates with TRAF3; Microtubule-interacting protein associated with TRAF3; microtubule-interacting protein that associates with TRAF3; MIP-T3; TNF receptor-associated factor 3 interacting protein 1; TRAF3-interacting protein 1

          查看更多 收起

          基因别名: 3930402D05Rik; AU041749; CFAP116; FAP116; IFT54; MIP-T3; MIPT3; SLSN9; TRAF3IP1

          查看更多 收起

          UniProt ID: (Human) Q8TDR0, (Rat) Q5XIN3, (Mouse) Q149C2

          查看更多 收起

          Entrez Gene ID: (Human) 26146, (Rat) 363286, (Mouse) 74019

          查看更多 收起

          功能
          protein binding microtubule binding receptor binding tubulin binding
          参与通路
          neural tube patterning embryonic camera-type eye development negative regulation of interferon-beta production embryonic heart tube development post-anal tail morphogenesis intraciliary transport cilium assembly embryonic digit morphogenesis negative regulation of defense response to virus negative regulation of smoothened signaling pathway involved in dorsal/ventral neural tube patterning negative regulation of transcription from RNA polymerase II promoter negative regulation of protein phosphorylation negative regulation of protein complex assembly negative regulation of type I interferon production negative regulation of tyrosine phosphorylation of Stat6 protein regulation of DNA binding morphogenesis of a polarized epithelium kidney development cell projection organization intraciliary anterograde transport negative regulation of smoothened signaling pathway animal organ development system development defense response to virus cilium morphogenesis regulation of microtubule cytoskeleton organization
          It has to be done as per old AB suggested Products section.

          Disclaimer

          Close

          Clicking the images or links will redirect you to a website hosted by BenchSci that provides third-party scientific content. Neither the content nor the BenchSci technology and processes for selection have been evaluated by us; we are providing them as-is and without warranty of any kind, including for use or application of the Thermo Fisher Scientific products presented.

          guarantee_icon

          性能保障

          只要您发现Invitrogen抗体在实验中的表现与网站或说明书的所述内容不符,您即可享受免费退换货服务。*

          了解更多
          help_icon

          随时为您服务

          获取常见问题的专家解答,或者直接联系我们的技术专家,咨询应用、设备、常规产品使用问题。

          联系技术支持
          订购 Plus Icon Minus Icon
          • 订单状态查询
          • 订单支持
          • 货号直购
          • 现货供应中心
          • 电子采购
          支持 Plus Icon Minus Icon
          • 帮助&支持
          • 联系我们 - 400 820 8982
          • 技术支持中心
          • 查找文件&证书
          • 报告网站问题
          资源 Plus Icon Minus Icon
          • 学习中心
          • 促销
          • 活动&研讨会
          • 社交媒体
          关于赛默飞 Plus Icon Minus Icon
          • 关于我们
          • 招聘 招聘
          • 投资者关系 投资者关系
          • 新闻 新闻
          • 社会责任 社会责任
          • 商标
          • 政策和通知
          品牌 Plus Icon Minus Icon
          • Thermo Scientific
          • Applied Biosystems
          • Invitrogen
          • Gibco
          • Ion Torrent
          • Unity Lab Services
          • Patheon
          • PPD
          • 服务条款
          • 隐私政策
          • 定价和运输保险政策
          © 2006-2026 Thermo Fisher Scientific Inc. All rights reserved. All trademarks are the property of Thermo Fisher Scientific and its subsidiaries unless otherwise specified.
          China flag icon
          China
          本网站销售的所有产品均不得用于人类或动物之临床诊断或治疗,仅可用于工业或者科研等非医疗目的。
             电子营业执照 | 经营证照公示 | ICP备案号:沪ICP备11003924号 | 沪公网安备 31011502006935号

          Your items have has been added!


          Host server : magellan-search-blue-7c59b9b899-49tpj:80/100.66.77.222:80.
          git-commit: 8ef7cf686e3c81d28b13492708ce56d167b2f995
          git-url: https://github.com/thermofisher/magellan-search
          git-branch: release/2.49.0-Offline