Hamburger Menu Button
Thermo Fisher Scientific Logo
登录
没有账号?建立账号 注册
  • 产品
    • 抗体
    • 引物合成
    • GeneArt Gene Synthesis Instant Designer
    • TaqMan Assay and Array Search
    • PCR 设备和耗材
    • 色谱柱和纯化柱
    • 实验室离心机
    • 分子生物学试剂和试剂盒
    • 实验室塑料耗材及用品
    • 查看所有产品分类
  • 应用和技术
    • 色谱
    • 细胞转染和培养
    • 实时荧光定量PCR
    • 质谱
    • 实验室塑料耗材及用品
    • 电子显微镜
    • 蛋白质生物学
    • PCR
    • RNAi
    • 环境
    • 查看所有应用和技术
  • 服务
    • 定制服务
    • 企业级实验室信息化服务
    • 金融&租赁服务
    • 仪器服务
    • OEM和商业供应
    • 培训服务
    • 360° CDMO 和 CRO 服务
    • CDMO 服务
    • 临床试验 CRO 服务
    • Unity Lab Services
    • 查看所有帮助和支持
  • 帮助和支持
    • 学习中心
    • 联系我们
    • 更改国家或地区
    • 查看所有帮助和支持
  • 热门产品
    • TaqMan Real-Time PCR Assays
      TaqMan 实时荧光定量 PCR 试剂盒
    • Antibodies
      抗体
    • Oligos, Primers & Probes
      寡核苷酸、引物、探针
    • GeneArt Gene Synthesis
      GeneArt 基因合成
    • Cell Culture Plastics
      细胞培养耗材
  • Who We Serve
    • 抗体治疗解决方案
    • 细胞与基因治疗解决方案
    • 学术科研
    • 工业与应用
  • 联系我们
  • 货号直购
  • 订单查询
  • 查找文件&证书
Thermo Fisher Scientific Logo

Search

搜索全部或下列指定分类
Search button
          • 联系我们
          • 货号直购
          • 登录
            登录
            没有账号?建立账号 注册
            • 我的账号
            • 订单
            • 会员中心
            • 账单及发票查询
            • 定制产品及项目
          • Primary Antibodies ›
          • TRBP Antibodies

          Invitrogen

          TRBP Monoclonal Antibody (OTI7C1)

          高级验证
          查看其他17个TRBP抗体

          {{$productOrderCtrl.translations['antibody.pdp.commerceCard.promotion.promotions']}}

          {{$productOrderCtrl.translations['antibody.pdp.commerceCard.promotion.viewpromo']}}

          {{$productOrderCtrl.translations['antibody.pdp.commerceCard.promotion.promocode']}}: {{promo.promoCode}} {{promo.promoTitle}} {{promo.promoDescription}}. {{$productOrderCtrl.translations['antibody.pdp.commerceCard.promotion.learnmore']}}

          说明书
          证书
          实验方案
          问题与答案
          技术支持
          说明书
          证书
          实验方案
          问题与答案
          技术支持
          说明书
          证书
          实验方案
          问题与答案
          技术支持

          Cite TRBP Monoclonal Antibody (OTI7C1)

          Additional Information:
          {{banner.description}}
          {{$ctrl.isSkuNotesCollapsed ? 'View more' : 'View less'}}
          • 抗体检测数据 (5)
          • 高级验证 (1)
          TRBP Antibody in Immunohistochemistry (Paraffin) (IHC (P))
          Group 53 Created with Sketch.
          TRBP Antibody in Immunohistochemistry (Paraffin) (IHC (P))
          Group 53 Created with Sketch.

          图: 1 / 6

          {{ $ctrl.currentElement.advancedVerification.fullName }}
          {{ $ctrl.currentElement.advancedVerification.text }}

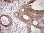
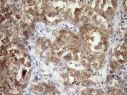
          TRBP Antibody (MA5-26997) in IHC (P)

          Immunohistochemistry was performed on paraffin-embedded adenocarcinoma of human endometrium tissue. To expose target proteins, heat-induced epitope retrieval by Tris-EDTA, pH8.0. Following antigen retrieval, tissues were probed with a TARBP2 monoclonal antibody (Product # MA5-26997) at a dilution of 1:150. {{ $ctrl.currentElement.advancedVerification.fullName }} 验证信息 View more
          已发表图片由___提供 benchsci-logo
          PMID: {{$ctrl.currentElement.benchSciPubmedId}}
          查看产品

          {{$ctrl.videoDesc}}

          {{$ctrl.videoLongDesc}}

          TRBP Antibody in Immunohistochemistry (Paraffin) (IHC (P))
          TRBP Antibody in Immunohistochemistry (Paraffin) (IHC (P))
          TRBP Antibody in Immunohistochemistry (Paraffin) (IHC (P))
          TRBP Antibody in Western Blot (WB)
          TRBP Antibody in Western Blot (WB)
          TRBP Antibody
          TRBP Monoclonal Antibody (OTI7C1)

          产品信息

          MA5-26997

          应用
          建议稀释比
          已发表文章

          免疫印迹 (WB)

          1:2,000
          -

          免疫组化(石蜡) (IHC (P))

          1:150
          -
          产品规格

          种属反应

          Human

          宿主/亚型

          Mouse / IgG1

          分类

          Monoclonal

          类型

          Antibody

          克隆号

          OTI7C1

          抗原

          Full length human recombinant protein of TARBP2 produced in E.coli
          3D表位/免疫原

          偶联物

          Unconjugated Unconjugated Unconjugated

          形式

          Liquid

          浓度

          1 mg/mL

          规格

          100 µg

          纯化类型

          Affinity Chromatography

          保存液

          PBS, pH 7.3, with 1% BSA, 50% glycerol

          内含物

          0.02% sodium azide

          保存条件

          -20°C, Avoid Freeze/Thaw Cycles

          运输条件

          Ambient (domestic); Wet ice (international)

          RRID

          AB_2725562

          靶标信息

          TRBP belongs to the family of dsRNA-binding proteins. It consists of highly conserved 2 dsRNA-binding domains and C-terminal basic region. It is a unique cellular protein capable of binding to HIV-TAR RNA and stimulates expression of HIV-1 long terminal repeats. It also inhibits the host antiviral and anti-proliferative mechanisms by directly binding to IFN-regulated dsRNA-dependent protein kinase (PKR). TRBP associates with Ago2 protein and forms an integral component of Dicer-containing complex. It has a role in micro RNA processing and in RISC assembly. Other functions of TRBP include promoting cellular growth and tumorigenesis.

          仅用于科研。不用于诊断过程。未经明确授权不得转售。

          篇参考文献 (0)

          您是否在文献中引用过该产品?请点击下方按钮邮件告知我们。
          引用该产品

          生物信息学

          蛋白别名: RISC-loading complex subunit TARBP2; TAR (HIV) RNA-binding protein 2; TAR (HIV) RNA-binding protein TRBP1; TAR (HIV-1) RNA binding protein 2; TAR RNA binding protein 2; TAR RNA-binding protein 2; TARBP2, RISC loading complex RNA binding subunit; trans-activation responsive RNA-binding protein; Trans-activation-responsive RNA-binding protein; unnamed protein product

          查看更多 收起

          基因别名: LOQS; TARBP2; TRBP; TRBP1; TRBP2

          查看更多 收起

          UniProt ID: (Human) Q15633

          查看更多 收起

          Entrez Gene ID: (Human) 6895

          查看更多 收起

          功能
          RNA binding double-stranded RNA binding protein binding enzyme binding siRNA binding miRNA binding pre-mRNA binding identical protein binding protein homodimerization activity pre-miRNA binding protein sequestering activity
          参与通路
          cytoplasmic pattern recognition receptor signaling pathway regulation of translation negative regulation of protein kinase activity spermatid development single fertilization posttranscriptional regulation of gene expression production of siRNA involved in RNA interference gene silencing by RNA pre-miRNA processing production of miRNAs involved in gene silencing by miRNA multicellular organism growth negative regulation of viral-induced cytoplasmic pattern recognition receptor signaling pathway skeletal muscle tissue regeneration positive regulation of viral genome replication positive regulation of translation regulation of viral transcription negative regulation of defense response to virus by host positive regulation of muscle cell differentiation regulation of protein metabolic process neural precursor cell proliferation protein K63-linked ubiquitination regulation of production of small RNA involved in gene silencing by RNA regulation of production of siRNA involved in chromatin silencing by small RNA small RNA loading onto RISC global gene silencing by mRNA cleavage regulation of production of miRNAs involved in gene silencing by miRNA
          It has to be done as per old AB suggested Products section.

          Disclaimer

          Close

          Clicking the images or links will redirect you to a website hosted by BenchSci that provides third-party scientific content. Neither the content nor the BenchSci technology and processes for selection have been evaluated by us; we are providing them as-is and without warranty of any kind, including for use or application of the Thermo Fisher Scientific products presented.

          guarantee_icon

          性能保障

          只要您发现Invitrogen抗体在实验中的表现与网站或说明书的所述内容不符,您即可享受免费退换货服务。*

          了解更多
          help_icon

          随时为您服务

          获取常见问题的专家解答,或者直接联系我们的技术专家,咨询应用、设备、常规产品使用问题。

          联系技术支持
          订购 Plus Icon Minus Icon
          • 订单状态查询
          • 订单支持
          • 货号直购
          • 现货供应中心
          • 电子采购
          支持 Plus Icon Minus Icon
          • 帮助&支持
          • 联系我们 - 400 820 8982
          • 技术支持中心
          • 查找文件&证书
          • 报告网站问题
          资源 Plus Icon Minus Icon
          • 学习中心
          • 促销
          • 活动&研讨会
          • 社交媒体
          关于赛默飞 Plus Icon Minus Icon
          • 关于我们
          • 招聘 招聘
          • 投资者关系 投资者关系
          • 新闻 新闻
          • 社会责任 社会责任
          • 商标
          • 政策和通知
          品牌 Plus Icon Minus Icon
          • Thermo Scientific
          • Applied Biosystems
          • Invitrogen
          • Gibco
          • Ion Torrent
          • Unity Lab Services
          • Patheon
          • PPD
          • 服务条款
          • 隐私政策
          • 定价和运输保险政策
          © 2006-2026 Thermo Fisher Scientific Inc. All rights reserved. All trademarks are the property of Thermo Fisher Scientific and its subsidiaries unless otherwise specified.
          China flag icon
          China
          本网站销售的所有产品均不得用于人类或动物之临床诊断或治疗,仅可用于工业或者科研等非医疗目的。
             电子营业执照 | 经营证照公示 | ICP备案号:沪ICP备11003924号 | 沪公网安备 31011502006935号

          Your items have has been added!


          Host server : magellan-search-green-6479c7f679-zb4k5:80/100.66.74.142:80.
          git-commit: b70c0dceb888abc3b0dcebb5bc3a5b8753e7e816
          git-url: https://github.com/thermofisher/magellan-search
          git-branch: release/2.50.0-Offline