Hamburger Menu Button
Thermo Fisher Scientific Logo
登录
没有账号?建立账号 注册
  • 产品
    • 抗体
    • 引物合成
    • GeneArt Gene Synthesis Instant Designer
    • TaqMan Assay and Array Search
    • PCR 设备和耗材
    • 色谱柱和纯化柱
    • 实验室离心机
    • 分子生物学试剂和试剂盒
    • 实验室塑料耗材及用品
    • 查看所有产品分类
  • 应用和技术
    • 色谱
    • 细胞转染和培养
    • 实时荧光定量PCR
    • 质谱
    • 实验室塑料耗材及用品
    • 电子显微镜
    • 蛋白质生物学
    • PCR
    • RNAi
    • 环境
    • 查看所有应用和技术
  • 服务
    • 定制服务
    • 企业级实验室信息化服务
    • 金融&租赁服务
    • 仪器服务
    • OEM和商业供应
    • 培训服务
    • 360° CDMO 和 CRO 服务
    • CDMO 服务
    • 临床试验 CRO 服务
    • Unity Lab Services
    • 查看所有帮助和支持
  • 帮助和支持
    • 学习中心
    • 联系我们
    • 更改国家或地区
    • 查看所有帮助和支持
  • 热门产品
    • TaqMan Real-Time PCR Assays
      TaqMan 实时荧光定量 PCR 试剂盒
    • Antibodies
      抗体
    • Oligos, Primers & Probes
      寡核苷酸、引物、探针
    • GeneArt Gene Synthesis
      GeneArt 基因合成
    • Cell Culture Plastics
      细胞培养耗材
  • Who We Serve
    • 抗体治疗解决方案
    • 细胞与基因治疗解决方案
    • 学术科研
    • 工业与应用
  • 联系我们
  • 货号直购
  • 订单查询
  • 查找文件&证书
Thermo Fisher Scientific Logo

Search

搜索全部或下列指定分类
Search button
          • 联系我们
          • 货号直购
          • 登录
            登录
            没有账号?建立账号 注册
            • 我的账号
            • 订单
            • 会员中心
            • 账单及发票查询
            • 定制产品及项目
          • Primary Antibodies ›
          • TREM2 Antibodies

          Invitrogen

          TREM2 Polyclonal Antibody

          1个已发表图片
          4 篇参考文献
          查看其他32个TREM2抗体

          {{$productOrderCtrl.translations['antibody.pdp.commerceCard.promotion.promotions']}}

          {{$productOrderCtrl.translations['antibody.pdp.commerceCard.promotion.viewpromo']}}

          {{$productOrderCtrl.translations['antibody.pdp.commerceCard.promotion.promocode']}}: {{promo.promoCode}} {{promo.promoTitle}} {{promo.promoDescription}}. {{$productOrderCtrl.translations['antibody.pdp.commerceCard.promotion.learnmore']}}

          说明书
          证书
          实验方案
          问题与答案
          技术支持
          说明书
          证书
          实验方案
          问题与答案
          技术支持
          说明书
          证书
          实验方案
          问题与答案
          技术支持

          Cite TREM2 Polyclonal Antibody

          Additional Information:
          {{banner.description}}
          {{$ctrl.isSkuNotesCollapsed ? 'View more' : 'View less'}}
          • 抗体检测数据 (5)
          • 已发表图片 (1)
          TREM2 Antibody in Immunocytochemistry (ICC/IF)
          Group 53 Created with Sketch.
          TREM2 Antibody in Immunocytochemistry (ICC/IF)
          Group 53 Created with Sketch.

          图: 1 / 6

          {{ $ctrl.currentElement.advancedVerification.fullName }}
          {{ $ctrl.currentElement.advancedVerification.text }}

          TREM2 Antibody (PA5-18763) in ICC/IF

          Immunocytochemistry analysis of TREM2 using TREM2 Polyclonal Antibody (Product # PA5-18763) in paraformaldehyde fixed U937 cells immobilized on ShifixTM coverslip, permeabilized with 0.15% Triton. Primary incubation 1hr (10 µg/mL) followed by Alexa Fluor 488 secondary antibody (2 µg/mL), showing cytoplasmic and plasma membrane staining. The nuclear stain is DAPI (blue). Negative control: Unimmunized goat IgG (10 µg/mL) followed by Alexa Fluor 488 secondary antibody (2 µg/mL). {{ $ctrl.currentElement.advancedVerification.fullName }} 验证信息 View more
          已发表图片由___提供 benchsci-logo
          PMID: {{$ctrl.currentElement.benchSciPubmedId}}
          查看产品

          {{$ctrl.videoDesc}}

          {{$ctrl.videoLongDesc}}

          TREM2 Antibody in Immunocytochemistry (ICC/IF)
          TREM2 Antibody in Immunocytochemistry (ICC/IF)
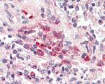
          TREM2 Antibody in Immunohistochemistry (Paraffin) (IHC (P))
          TREM2 Antibody in Immunohistochemistry (Paraffin) (IHC (P))
          TREM2 Antibody in Flow Cytometry (Flow)
          TREM2 Antibody in Western Blot (WB)
          TREM2 Polyclonal Antibody

          产品信息

          PA5-18763

          应用
          建议稀释比
          已发表文章

          免疫印迹 (WB)

          -
          查看1篇已发表文章 1篇已发表文章

          免疫组化 (IHC)

          -
          查看1篇已发表文章 1篇已发表文章

          免疫组化(石蜡) (IHC (P))

          2-4 µg/mL
          查看2篇已发表文章 2篇已发表文章

          免疫细胞化学 (ICC/IF)

          10 µg/mL
          -

          流式细胞分析 (Flow)

          10 µg/mL
          -
          产品规格

          种属反应

          Human

          已发表种属

          Human, Mouse

          宿主/亚型

          Goat / IgG

          分类

          Polyclonal

          类型

          Antibody

          抗原

          Synthetic peptide sequence (HGQKPGTHPPSELD) corresponding to the C-terminus amino acids of TREM2 (aa 199-213).
          3D表位/免疫原

          偶联物

          Unconjugated Unconjugated Unconjugated

          形式

          Liquid

          浓度

          0.5 mg/mL

          规格

          100 µg

          纯化类型

          Ammonium sulfate precipitation

          保存液

          TBS, pH 7.3, with 0.5% BSA

          内含物

          0.02% sodium azide

          保存条件

          -20°C, Avoid Freeze/Thaw Cycles

          运输条件

          Ambient (domestic); Wet ice (international)

          RRID

          AB_10984816

          产品详细信息

          This antibody is tested in Peptide ELISA: antibody detection limit dilution 128,000.

          靶标信息

          TREM2 is a membrane protein that forms a receptor signaling complex with TYROBP. The encoded protein may be involved in chronic inflammation by triggering the production of constitutive inflammatory cytokines. Defects in this gene are a cause of polycystic lipomembranous osteodysplasia with sclerosing leukoencephalopathy (PLOSL).

          仅用于科研。不用于诊断过程。未经明确授权不得转售。

          生物信息学

          蛋白别名: OTTHUMP00000039771; soluble TREM 2; soluble TREM2; sTREM 2; sTREM2; TREM; TREM-2; Triggering receptor expressed on monocytes 2; Triggering receptor expressed on myeloid cells; Triggering receptor expressed on myeloid cells 2; triggering receptor expressed on myeloid cells 2a; unnamed protein product

          查看更多 收起

          基因别名: AD17; PLOSL2; TREM-2; TREM2; Trem2a; Trem2b; Trem2c

          查看更多 收起

          UniProt ID: (Human) Q9NZC2

          查看更多 收起

          Entrez Gene ID: (Human) 54209

          查看更多 收起

          功能
          lipopolysaccharide binding beta-amyloid binding phosphatidylserine binding transmembrane signaling receptor activity protein binding phospholipid binding beta-catenin binding high-density lipoprotein particle binding lipid binding phosphatidylethanolamine binding semaphorin receptor activity kinase activator activity low-density lipoprotein particle binding semaphorin receptor binding apolipoprotein binding apolipoprotein A-I binding very-low-density lipoprotein particle binding signaling receptor activity peptidoglycan binding macromolecular complex binding lipoteichoic acid binding lipoprotein particle binding scaffold protein binding carbohydrate derivative binding sulfatide binding protein tyrosine kinase binding
          参与通路
          microglial cell activation microglial cell activation involved in immune response T cell activation via T cell receptor contact with antigen bound to MHC molecule on antigen presenting cell positive regulation of antigen processing and presentation of peptide antigen via MHC class II negative regulation of inflammatory response to antigenic stimulus response to ischemia phagocytosis phagocytosis, recognition phagocytosis, engulfment immune response humoral immune response signal transduction cell surface receptor signaling pathway memory regulation of gene expression negative regulation of autophagy positive regulation of gene expression positive regulation of cholesterol efflux negative regulation of cholesterol storage negative regulation of sequestering of triglyceride positive regulation of high-density lipoprotein particle clearance regulation of lipid metabolic process osteoclast differentiation regulation of TOR signaling positive regulation of TOR signaling detection of lipopolysaccharide detection of peptidoglycan regulation of interleukin-6 production negative regulation of interleukin-1 beta production negative regulation of tumor necrosis factor production positive regulation of interleukin-10 production negative regulation of toll-like receptor 2 signaling pathway negative regulation of toll-like receptor 4 signaling pathway regulation of toll-like receptor 6 signaling pathway positive regulation of macrophage fusion negative regulation of glial cell apoptotic process social behavior CXCL12-activated CXCR4 signaling pathway defense response to bacterium negative regulation of apoptotic process negative regulation of I-kappaB kinase/NF-kappaB signaling positive regulation of potassium ion transport apoptotic cell clearance regulation of innate immune response positive regulation of osteoclast differentiation respiratory burst after phagocytosis positive regulation of complement activation, classical pathway astrocyte activation cell development response to axon injury positive regulation of protein secretion positive regulation of phagocytosis defense response to Gram-negative bacterium positive regulation of calcium-mediated signaling negative regulation of cell activation positive regulation of chemotaxis positive regulation of protein kinase B signaling negative regulation of protein kinase B signaling lipid homeostasis regulation of resting membrane potential positive regulation of phagocytosis, engulfment microglial cell proliferation negative regulation of astrocyte activation regulation of biological quality pyroptosis negative regulation of fat cell proliferation positive regulation of ERK1 and ERK2 cascade detection of lipoteichoic acid cellular response to lipoteichoic acid cellular response to peptidoglycan cellular response to glucose stimulus cellular response to lipid cellular response to lipoprotein particle stimulus cellular response to hypoxia semaphorin-plexin signaling pathway regulation of macrophage inflammatory protein 1 alpha production regulation of primary metabolic process dendritic cell differentiation dendritic spine maintenance beta-amyloid clearance import into cell regulation of hippocampal neuron apoptotic process regulation of plasma membrane bounded cell projection organization cellular response to oxidised low-density lipoprotein particle stimulus complement-mediated synapse pruning neuroinflammatory response positive regulation of neuroinflammatory response negative regulation of neuroinflammatory response amyloid-beta clearance by cellular catabolic process regulation of cytokine production involved in inflammatory response negative regulation of cytokine production involved in inflammatory response positive regulation of beta-amyloid clearance negative regulation of NLRP3 inflammasome complex assembly positive regulation of engulfment of apoptotic cell positive regulation of NIK/NF-kappaB signaling positive regulation of proteasomal protein catabolic process negative regulation of macrophage colony-stimulating factor signaling pathway positive regulation of intracellular signal transduction positive regulation of protein localization to plasma membrane positive regulation of C-C chemokine receptor CCR7 signaling pathway regulation of oxidative stress-induced neuron intrinsic apoptotic signaling pathway negative regulation of p38MAPK cascade positive regulation of microglial cell activation negative regulation of autophagic cell death positive regulation of microglial cell migration cellular response to beta-amyloid positive regulation of establishment of protein localization positive regulation of CAMKK-AMPK signaling cascade positive regulation of low-density lipoprotein particle clearance excitatory synapse pruning positive regulation of synapse pruning negative regulation of amyloid fibril formation positive regulation of CD40 signaling pathway positive regulation of ATP biosynthetic process
          It has to be done as per old AB suggested Products section.

          Disclaimer

          Close

          Clicking the images or links will redirect you to a website hosted by BenchSci that provides third-party scientific content. Neither the content nor the BenchSci technology and processes for selection have been evaluated by us; we are providing them as-is and without warranty of any kind, including for use or application of the Thermo Fisher Scientific products presented.

          guarantee_icon

          性能保障

          只要您发现Invitrogen抗体在实验中的表现与网站或说明书的所述内容不符,您即可享受免费退换货服务。*

          了解更多
          help_icon

          随时为您服务

          获取常见问题的专家解答,或者直接联系我们的技术专家,咨询应用、设备、常规产品使用问题。

          联系技术支持
          订购 Plus Icon Minus Icon
          • 订单状态查询
          • 订单支持
          • 货号直购
          • 现货供应中心
          • 电子采购
          支持 Plus Icon Minus Icon
          • 帮助&支持
          • 联系我们 - 400 820 8982
          • 技术支持中心
          • 查找文件&证书
          • 报告网站问题
          资源 Plus Icon Minus Icon
          • 学习中心
          • 促销
          • 活动&研讨会
          • 社交媒体
          关于赛默飞 Plus Icon Minus Icon
          • 关于我们
          • 招聘 招聘
          • 投资者关系 投资者关系
          • 新闻 新闻
          • 社会责任 社会责任
          • 商标
          • 政策和通知
          品牌 Plus Icon Minus Icon
          • Thermo Scientific
          • Applied Biosystems
          • Invitrogen
          • Gibco
          • Ion Torrent
          • Unity Lab Services
          • Patheon
          • PPD
          • 服务条款
          • 隐私政策
          • 定价和运输保险政策
          © 2006-2026 Thermo Fisher Scientific Inc. All rights reserved. All trademarks are the property of Thermo Fisher Scientific and its subsidiaries unless otherwise specified.
          China flag icon
          China
          本网站销售的所有产品均不得用于人类或动物之临床诊断或治疗,仅可用于工业或者科研等非医疗目的。
             电子营业执照 | 经营证照公示 | ICP备案号:沪ICP备11003924号 | 沪公网安备 31011502006935号

          Your items have has been added!


          Host server : magellan-search-green-6479c7f679-k9lz7:80/100.66.74.142:80.
          git-commit: b70c0dceb888abc3b0dcebb5bc3a5b8753e7e816
          git-url: https://github.com/thermofisher/magellan-search
          git-branch: release/2.50.0-Offline