Hamburger Menu Button
Thermo Fisher Scientific Logo
登录
没有账号?建立账号 注册
  • 产品
    • 抗体
    • 引物合成
    • GeneArt Gene Synthesis Instant Designer
    • TaqMan Assay and Array Search
    • PCR 设备和耗材
    • 色谱柱和纯化柱
    • 实验室离心机
    • 分子生物学试剂和试剂盒
    • 实验室塑料耗材及用品
    • 查看所有产品分类
  • 应用和技术
    • 色谱
    • 细胞转染和培养
    • 实时荧光定量PCR
    • 质谱
    • 实验室塑料耗材及用品
    • 电子显微镜
    • 蛋白质生物学
    • PCR
    • RNAi
    • 环境
    • 查看所有应用和技术
  • 服务
    • 定制服务
    • 企业级实验室信息化服务
    • 金融&租赁服务
    • 仪器服务
    • OEM和商业供应
    • 培训服务
    • 360° CDMO 和 CRO 服务
    • CDMO 服务
    • 临床试验 CRO 服务
    • Unity Lab Services
    • 查看所有帮助和支持
  • 帮助和支持
    • 学习中心
    • 联系我们
    • 更改国家或地区
    • 查看所有帮助和支持
  • 热门产品
    • TaqMan Real-Time PCR Assays
      TaqMan 实时荧光定量 PCR 试剂盒
    • Antibodies
      抗体
    • Oligos, Primers & Probes
      寡核苷酸、引物、探针
    • GeneArt Gene Synthesis
      GeneArt 基因合成
    • Cell Culture Plastics
      细胞培养耗材
  • Who We Serve
    • 抗体治疗解决方案
    • 细胞与基因治疗解决方案
    • 学术科研
    • 工业与应用
  • 联系我们
  • 货号直购
  • 订单查询
  • 查找文件&证书
Thermo Fisher Scientific Logo

Search

搜索全部或下列指定分类
Search button
          • 联系我们
          • 货号直购
          • 登录
            登录
            没有账号?建立账号 注册
            • 我的账号
            • 订单
            • 账单及发票查询
            • 定制产品及项目
          • Primary Antibodies ›
          • TRIM21 Antibodies

          Proteintech

          TRIM21 Polyclonal Antibody

          72 篇参考文献
          查看其他27个TRIM21抗体

          {{$productOrderCtrl.translations['antibody.pdp.commerceCard.promotion.promotions']}}

          {{$productOrderCtrl.translations['antibody.pdp.commerceCard.promotion.viewpromo']}}

          {{$productOrderCtrl.translations['antibody.pdp.commerceCard.promotion.promocode']}}: {{promo.promoCode}} {{promo.promoTitle}} {{promo.promoDescription}}. {{$productOrderCtrl.translations['antibody.pdp.commerceCard.promotion.learnmore']}}

          说明书
          证书
          实验方案
          问题与答案
          技术支持
          说明书
          证书
          实验方案
          问题与答案
          技术支持
          说明书
          证书
          实验方案
          问题与答案
          技术支持

          Cite TRIM21 Polyclonal Antibody

          Additional Information:
          {{banner.description}}
          {{$ctrl.isSkuNotesCollapsed ? 'View more' : 'View less'}}
          • 抗体检测数据 (13)
          TRIM21 Antibody in Immunocytochemistry (ICC/IF)
          Group 53 Created with Sketch.
          TRIM21 Antibody in Immunocytochemistry (ICC/IF)
          Group 53 Created with Sketch.

          图: 1 / 13

          {{ $ctrl.currentElement.advancedVerification.fullName }}
          {{ $ctrl.currentElement.advancedVerification.text }}

          TRIM21 Antibody (12108-1-AP) in ICC/IF

          Immunofluorescent analysis of ( 10% Formaldehyde ) fixed A549 cells using 12108-1-AP (TRIM21 antibody) at dilution of 1:50 and Alexa Fluor 488-conjugated AffiniPure Goat Anti-Rabbit IGG (H+L). {{ $ctrl.currentElement.advancedVerification.fullName }} 验证信息 View more
          已发表图片由___提供 benchsci-logo
          PMID: {{$ctrl.currentElement.benchSciPubmedId}}
          查看产品

          {{$ctrl.videoDesc}}

          {{$ctrl.videoLongDesc}}

          TRIM21 Antibody in Immunocytochemistry (ICC/IF)
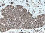
          TRIM21 Antibody in Immunohistochemistry (Paraffin) (IHC (P))
          TRIM21 Antibody in Immunohistochemistry (Paraffin) (IHC (P))
          TRIM21 Antibody in Immunohistochemistry (Paraffin) (IHC (P))
          TRIM21 Antibody in Immunohistochemistry (Paraffin) (IHC (P))
          TRIM21 Antibody in Western Blot (WB)
          TRIM21 Antibody in Western Blot (WB)
          TRIM21 Antibody in Western Blot (WB)
          TRIM21 Antibody in Western Blot (WB)
          TRIM21 Antibody in Western Blot (WB)
          TRIM21 Antibody in Western Blot (WB)
          TRIM21 Antibody in Western Blot (WB)
          TRIM21 Antibody in Immunoprecipitation (IP)
          TRIM21 Polyclonal Antibody

          产品信息

          12108-1-AP

          应用
          建议稀释比
          已发表文章

          免疫印迹 (WB)

          1:500-1:1,000
          查看35篇已发表文章 35篇已发表文章

          免疫组化 (IHC)

          -
          查看11篇已发表文章 11篇已发表文章

          免疫组化(石蜡) (IHC (P))

          1:50-1:500
          -

          免疫细胞化学 (ICC/IF)

          1:50-1:500
          查看11篇已发表文章 11篇已发表文章

          免疫沉淀 (IP)

          0.5-4.0 µg
          查看15篇已发表文章 15篇已发表文章
          产品规格

          种属反应

          Human, Mouse

          已发表种属

          Hamster, Human, Mouse, Pig

          宿主/亚型

          Rabbit / IgG

          分类

          Polyclonal

          类型

          Antibody

          抗原

          TRIM21 Fusion Protein Ag2753 (176-475 aa encoded by BC010861)
          3D表位/免疫原

          偶联物

          Unconjugated Unconjugated Unconjugated

          形式

          Liquid

          浓度

          0.29 mg/mL

          规格

          43.5 µg

          纯化类型

          Antigen affinity chromatography

          保存液

          PBS, pH 7.3, with 50% glycerol

          内含物

          0.02% sodium azide

          保存条件

          -20°C

          运输条件

          Wet ice (domestic); Dry ice (international)

          产品详细信息

          Immunogen sequence: SRIHAEFVQ QKNFLVEEEQ RQLQELEKDE REQLRILGEK EAKLAQQSQA LQELISELDR RCHSSALELL QEVIIVLERS ESWNLKDLDI TSPELRSVCH VPGLKKMLRT CAVHITLDPD TANPWLILSE DRRQVRLGDT QQSIPGNEER FDSYPMVLGA QHFHSGKHYW EVDVTGKEAW DLGVCRDSVR RKGHFLLSSK SGFWTIWLWN KQKYEAGTYP QTPLHLQVPP CQVGIFLDYE AGMVSFYNIT DHGSLIYSFS ECAFTGPLRP FFSPGFNDGG KNTAPLTLCP LNIGSQGSTD Y (176-475 aa encoded by BC010861)

          靶标信息

          This gene encodes a member of the tripartite motif (TRIM) family. The TRIM motif includes three zinc-binding domains, a RING, a B-box type 1 and a B-box type 2, and a coiled-coil region. The encoded protein is part of the RoSSA ribonucleoprotein, which includes a single polypeptide and one of four small RNA molecules. The RoSSA particle localizes to both the cytoplasm and the nucleus. RoSSA interacts with autoantigens in patients with Sjogren syndrome and systemic lupus erythematosus. Alternatively spliced transcript variants for this gene have been described but the full-length nature of only one has been determined.

          仅用于科研。不用于诊断过程。未经明确授权不得转售。

          生物信息学

          蛋白别名: 52 kDa ribonucleoprotein autoantigen Ro/SS-A; 52 kDa Ro protein; 52-kD Ro/SSA ribonucleoprotein; 52kD Ro/SSA autoantigen; 52kDa ribonucleoprotein autoantigen SS-A/Ro; E3 ubiquitin-protein ligase TRIM21; RING finger protein 81; RING-type E3 ubiquitin transferase TRIM21; Ro(SS-A); Ro/SSA 52kDa; Sicca syndrome antigen A; Sjoegren syndrome type A antigen; Sjogren syndrome antigen A1; Sjogren syndrome antigen A1 (52kDa, ribonucleoprotein autoantigen SS-A/Ro); SS-A; tripartite motif protein 21; Tripartite motif-containing protein 21

          查看更多 收起

          基因别名: RNF81; Ro/SSA; RO52; SSA; SSA1; TRIM21

          查看更多 收起

          UniProt ID: (Human) P19474

          查看更多 收起

          Entrez Gene ID: (Human) 6737, (Mouse) 20821

          查看更多 收起

          功能
          DNA binding transcription coactivator activity RNA binding ubiquitin-protein transferase activity protein binding zinc ion binding transferase activity identical protein binding metal ion binding ubiquitin protein ligase activity UDP-N-acetylmuramoylalanyl-D-glutamyl-2,6-diaminopimelate-D-alanyl-D-alanine ligase activity ligase activity ribosomal S6-glutamic acid ligase activity coenzyme F420-0 gamma-glutamyl ligase activity coenzyme F420-2 alpha-glutamyl ligase activity protein-glycine ligase activity protein-glycine ligase activity, initiating protein-glycine ligase activity, elongating tubulin-glycine ligase activity protein-glutamic acid ligase activity tubulin-glutamic acid ligase activity ubiquitin-protein ligase
          参与通路
          autophagosome assembly protein polyubiquitination protein monoubiquitination I-kappaB kinase/NF-kappaB signaling regulation of gene expression proteasomal protein catabolic process positive regulation of autophagy protein ubiquitination protein destabilization negative regulation of NF-kappaB transcription factor activity positive regulation of protein binding regulation of type I interferon production negative regulation of viral transcription stress granule assembly response to interferon-gamma stress granule disassembly protein K27-linked ubiquitination negative regulation by host of viral release from host cell innate immune response positive regulation of cell cycle negative regulation of innate immune response positive regulation of transcription, DNA-templated positive regulation of viral entry into host cell protein autoubiquitination cellular response to chemical stress pyroptosis protein K63-linked ubiquitination protein K48-linked ubiquitination regulation of primary metabolic process protein K6-linked ubiquitination negative regulation of protein deubiquitination antiviral innate immune response positive regulation of NIK/NF-kappaB signaling cell cycle positive regulation of sequence-specific DNA binding transcription factor activity protein trimerization negative regulation of viral release from host cell
          It has to be done as per old AB suggested Products section.

          Disclaimer

          Close

          Clicking the images or links will redirect you to a website hosted by BenchSci that provides third-party scientific content. Neither the content nor the BenchSci technology and processes for selection have been evaluated by us; we are providing them as-is and without warranty of any kind, including for use or application of the Thermo Fisher Scientific products presented.

          guarantee_icon

          性能保障

          只要您发现Invitrogen抗体在实验中的表现与网站或说明书的所述内容不符,您即可享受免费退换货服务。*

          了解更多
          help_icon

          随时为您服务

          获取常见问题的专家解答,或者直接联系我们的技术专家,咨询应用、设备、常规产品使用问题。

          联系技术支持
          订购 Plus Icon Minus Icon
          • 订单状态查询
          • 订单支持
          • 货号直购
          • 现货供应中心
          • 电子采购
          支持 Plus Icon Minus Icon
          • 帮助&支持
          • 联系我们 - 400 820 8982
          • 技术支持中心
          • 查找文件&证书
          • 报告网站问题
          资源 Plus Icon Minus Icon
          • 学习中心
          • 促销
          • 活动&研讨会
          • 社交媒体
          关于赛默飞 Plus Icon Minus Icon
          • 关于我们
          • 招聘 招聘
          • 投资者关系 投资者关系
          • 新闻 新闻
          • 社会责任 社会责任
          • 商标
          • 政策和通知
          品牌 Plus Icon Minus Icon
          • Thermo Scientific
          • Applied Biosystems
          • Invitrogen
          • Gibco
          • Ion Torrent
          • Unity Lab Services
          • Patheon
          • PPD
          • 服务条款
          • 隐私政策
          • 定价和运输保险政策
          © 2006-2026 Thermo Fisher Scientific Inc. All rights reserved. All trademarks are the property of Thermo Fisher Scientific and its subsidiaries unless otherwise specified.
          China flag icon
          China
          本网站销售的所有产品均不得用于人类或动物之临床诊断或治疗,仅可用于工业或者科研等非医疗目的。
             电子营业执照 | 经营证照公示 | ICP备案号:沪ICP备11003924号 | 沪公网安备 31011502006935号

          Your items have has been added!


          Host server : magellan-search-green-b49b87d85-n9r8p:80/100.66.76.150:80.
          git-commit: 5b8c860b7cdb41e9cfe07630520f6b51e109d38e
          git-url: https://github.com/thermofisher/magellan-search
          git-branch: release/2.47.0-Offline