Hamburger Menu Button
Thermo Fisher Scientific Logo
登录
没有账号?建立账号 注册
  • 产品
    • 抗体
    • 引物合成
    • GeneArt Gene Synthesis Instant Designer
    • TaqMan Assay and Array Search
    • PCR 设备和耗材
    • 色谱柱和纯化柱
    • 实验室离心机
    • 分子生物学试剂和试剂盒
    • 实验室塑料耗材及用品
    • 查看所有产品分类
  • 应用和技术
    • 色谱
    • 细胞转染和培养
    • 实时荧光定量PCR
    • 质谱
    • 实验室塑料耗材及用品
    • 电子显微镜
    • 蛋白质生物学
    • PCR
    • RNAi
    • 环境
    • 查看所有应用和技术
  • 服务
    • 定制服务
    • 企业级实验室信息化服务
    • 企业服务
    • 金融&租赁服务
    • 仪器服务
    • OEM和商业供应
    • 培训服务
    • 360° CDMO 和 CRO 服务
    • CDMO 服务
    • 临床试验 CRO 服务
    • 查看所有帮助和支持
  • 帮助和支持
    • 学习中心
    • 联系我们
    • 更改国家或地区
    • 查看所有帮助和支持
  • 热门产品
    • TaqMan Real-Time PCR Assays
      TaqMan 实时荧光定量 PCR 试剂盒
    • Antibodies
      抗体
    • Oligos, Primers & Probes
      寡核苷酸、引物、探针
    • GeneArt Gene Synthesis
      GeneArt 基因合成
    • Cell Culture Plastics
      细胞培养耗材
  • 联系我们
  • 货号直购
  • 订单查询
  • 查找文件&证书
Thermo Fisher Scientific Logo

Search

搜索全部或下列指定分类
Search button
          • 联系我们
          • 货号直购
          • 登录
            登录
            没有账号?建立账号 注册
            • 我的账号
            • 订单
            • 账单及发票查询
            • 定制产品及项目

          Disclaimer

          Clicking the images or links will redirect you to a website hosted by BenchSci that provides third-party scientific content. Neither the content nor the BenchSci technology and processes for selection have been evaluated by us; we are providing them as-is and without warranty of any kind, including for use or application of the Thermo Fisher Scientific products presented.

          • Primary Antibodies ›
          • TRIM24 Antibodies

          Proteintech

          TRIM24 Monoclonal Antibody (1D6D9)

          查看其他25个TRIM24抗体

          {{$productOrderCtrl.translations['antibody.pdp.commerceCard.promotion.promotions']}}

          {{$productOrderCtrl.translations['antibody.pdp.commerceCard.promotion.viewpromo']}}

          {{$productOrderCtrl.translations['antibody.pdp.commerceCard.promotion.promocode']}}: {{promo.promoCode}} {{promo.promoTitle}} {{promo.promoDescription}}. {{$productOrderCtrl.translations['antibody.pdp.commerceCard.promotion.learnmore']}}

          说明书
          证书
          实验方案
          问题与答案
          技术支持
          说明书
          证书
          实验方案
          问题与答案
          技术支持
          说明书
          证书
          实验方案
          问题与答案
          技术支持

          Cite TRIM24 Monoclonal Antibody (1D6D9)

          • 抗体检测数据 (10)
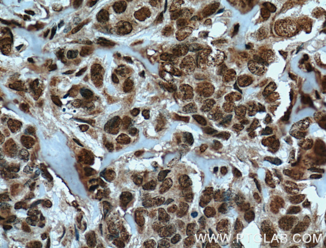
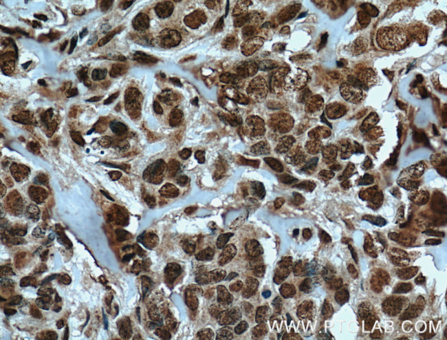
          TRIM24 Antibody in Immunohistochemistry (Paraffin) (IHC (P))
          Group 53 Created with Sketch.
          TRIM24 Antibody in Immunohistochemistry (Paraffin) (IHC (P))
          Group 53 Created with Sketch.

          图: 1 / 10

          {{ $ctrl.currentElement.advancedVerification.fullName }}
          {{ $ctrl.currentElement.advancedVerification.text }}

          TRIM24 Antibody (66324-1-IG) in IHC (P)

          Immunohistochemistry of paraffin-embedded human breast cancer tissue slide using 66324-1-IG ( TRIM24 Antibody) at dilution of 1:200 (under 40x lens). heat mediated antigen retrieved with Tris-EDTA buffer (pH 9). {{ $ctrl.currentElement.advancedVerification.fullName }} 验证信息 View more
          已发表图片由___提供 benchsci-logo
          PMID: {{$ctrl.currentElement.benchSciPubmedId}}
          查看产品

          {{$ctrl.videoDesc}}

          {{$ctrl.videoLongDesc}}

          TRIM24 Antibody in Immunohistochemistry (Paraffin) (IHC (P))
          TRIM24 Antibody in Immunohistochemistry (Paraffin) (IHC (P))
          TRIM24 Antibody in Immunohistochemistry (Paraffin) (IHC (P))
          TRIM24 Antibody in Immunohistochemistry (Paraffin) (IHC (P))
          TRIM24 Antibody in Immunohistochemistry (Paraffin) (IHC (P))
          TRIM24 Antibody in Immunohistochemistry (Paraffin) (IHC (P))
          TRIM24 Antibody in Western Blot (WB)
          TRIM24 Antibody in Western Blot (WB)
          TRIM24 Antibody in Western Blot (WB)
          TRIM24 Antibody in Western Blot (WB)
          TRIM24 Monoclonal Antibody (1D6D9)

          产品信息

          66324-1-IG

          应用
          建议稀释比
          已发表文章

          免疫印迹 (WB)

          1:500-1:2,000
          -

          免疫组化(石蜡) (IHC (P))

          1:50-1:500
          -
          产品规格

          种属反应

          Human, Mouse, Rat

          宿主/亚型

          Mouse / IgG1

          分类

          Monoclonal

          类型

          Antibody

          克隆号

          1D6D9

          抗原

          TRIM24 Fusion Protein Ag5417 (701-1050 aa encoded by BC028689)
          查看免疫原

          偶联物

          Unconjugated Unconjugated Unconjugated

          形式

          Liquid

          浓度

          1 mg/mL

          纯化类型

          Protein G

          保存液

          PBS, pH 7.3, with 50% glycerol

          内含物

          0.02% sodium azide

          保存条件

          -20°C

          运输条件

          Wet ice (domestic); Dry ice (international)

          产品详细信息

          Immunogen sequence: SKPAGADST HKVPVVMLEP IRIKQENSGP PENYDFPVVI VKQESDEESR PQNANYPRSI LTSLLLNSSQ SSTSEETVLR SDAPDSTGDQ PGLHQDNSSN GKSEWLDPSQ KSPLHVGETR KEDDPNEDWC AVCQNGGELL CCEKCPKVFH LSCHVPTLTN FPSGEWICTF CRDLSKPEVE YDCDAPSHNS EKKKTEGLVK LTPIDKRKCE RLLLFLYCHE MSLAFQDPVP LTVPDYYKII KNPMDLSTIK KRLQEDYSMY SKPEDFVADF RLIFQNCAEF NEPDSEVANA GIKLENYFEE LLKNLYPEKR FPKPEFRNES EDNKFSDDSD DDFVQPRKKR LKSIEERQLL K (701-1050 aa encoded by BC028689)

          靶标信息

          The protein encoded by this gene mediates transcriptional control by interaction with the activation function 2 (AF2) region of several nuclear receptors, including the estrogen, retinoic acid, and vitamin D3 receptors. The protein localizes to nuclear bodies and is thought to associate with chromatin and heterochromatin-associated factors. The protein is a member of the tripartite motif (TRIM) family. The TRIM motif includes three zinc-binding domains - a RING, a B-box type 1 and a B-box type 2 - and a coiled-coil region. Two alternatively spliced transcript variants encoding different isoforms have been described for this gene.

          仅用于科研。不用于诊断过程。未经明确授权不得转售。

          篇参考文献 (0)

          您是否在文献中引用过该产品?请点击下方按钮邮件告知我们。
          引用该产品

          生物信息学

          蛋白别名: Ab2-427; E3 ubiquitin-protein ligase TRIM24; RING finger protein 82; RING-type E3 ubiquitin transferase TIF1-alpha; TIF1-alpha; Transcription intermediary factor 1-alpha; transcriptional intermediary factor 1; transcriptional intermediary factor 1, alpha; tripartite motif-containing 24; Tripartite motif-containing protein 24

          查看更多 收起

          基因别名: A130082H20Rik; AI447469; D430004I05Rik; hTIF1; PTC6; RNF82; TF1A; TIF1; TIF1-alpha; TIF1A; TIF1ALPHA; TRIM24

          查看更多 收起

          UniProt ID: (Human) O15164, (Mouse) Q64127

          查看更多 收起

          Entrez Gene ID: (Human) 8805, (Rat) 500084, (Mouse) 21848

          查看更多 收起

          功能
          p53 binding chromatin binding transcription coactivator activity protein tyrosine kinase activity ubiquitin-protein transferase activity receptor binding protein binding zinc ion binding ligase activity ligand-dependent nuclear receptor binding estrogen response element binding methylated histone binding sequence-specific DNA binding ubiquitin protein ligase activity lysine-acetylated histone binding molecular_function protein kinase activity DNA binding UDP-N-acetylmuramoylalanyl-D-glutamyl-2,6-diaminopimelate-D-alanyl-D-alanine ligase activity ribosomal S6-glutamic acid ligase activity coenzyme F420-0 gamma-glutamyl ligase activity coenzyme F420-2 alpha-glutamyl ligase activity metal ion binding protein-glycine ligase activity protein-glycine ligase activity, initiating protein-glycine ligase activity, elongating tubulin-glycine ligase activity protein-glutamic acid ligase activity tubulin-glutamic acid ligase activity chromatin/chromatin-binding, or -regulatory protein
          参与通路
          transcription from RNA polymerase II promoter negative regulation of cell proliferation protein ubiquitination peptidyl-tyrosine phosphorylation protein catabolic process regulation of protein stability regulation of apoptotic process negative regulation of transcription, DNA-templated positive regulation of transcription, DNA-templated protein autophosphorylation calcium ion homeostasis regulation of vitamin D receptor signaling pathway cellular response to estrogen stimulus regulation of signal transduction by p53 class mediator protein phosphorylation positive regulation of gene expression response to peptide hormone transcription, DNA-templated regulation of transcription, DNA-templated regulation of nucleic acid-templated transcription
          It has to be done as per old AB suggested Products section.
          guarantee_icon

          性能保障

          只要您发现Invitrogen抗体在实验中的表现与网站或说明书的所述内容不符,您即可享受免费退换货服务。*

          了解更多
          help_icon

          随时为您服务

          获取常见问题的专家解答,或者直接联系我们的技术专家,咨询应用、设备、常规产品使用问题。

          联系技术支持
          订购 Plus Icon Minus Icon
          • 订单状态查询
          • 订单支持
          • 货号直购
          • 现货供应中心
          • 电子采购
          支持 Plus Icon Minus Icon
          • 帮助&支持
          • 联系我们 - 400 820 8982
          • 技术支持中心
          • 查找文件&证书
          • 报告网站问题
          资源 Plus Icon Minus Icon
          • 学习中心
          • 促销
          • 活动&研讨会
          • 社交媒体
          关于赛默飞 Plus Icon Minus Icon
          • 关于我们
          • 招聘 招聘
          • 投资者关系 投资者关系
          • 新闻 新闻
          • 社会责任 社会责任
          • 商标
          • 政策和通知
          品牌 Plus Icon Minus Icon
          • Thermo Scientific
          • Applied Biosystems
          • Invitrogen
          • Gibco
          • Ion Torrent
          • Patheon
          • PPD
          • 服务条款
          • 隐私政策
          • 定价和运输保险政策
          © 2006-2026 Thermo Fisher Scientific Inc. All rights reserved. All trademarks are the property of Thermo Fisher Scientific and its subsidiaries unless otherwise specified.
          China flag icon
          China
          本网站销售的所有产品均不得用于人类或动物之临床诊断或治疗,仅可用于工业或者科研等非医疗目的。
             电子营业执照 | 经营证照公示 | ICP备案号:沪ICP备11003924号 | 沪公网安备 31011502006935号

          Your items have has been added!


          Host server : magellan-search-blue-55ff9ddd88-nglt7:80/100.66.75.107:80.
          git-commit: d366ff9721d93504b2ac26a183b2b3e3d0e7d9ec
          git-url: https://github.com/thermofisher/magellan-search
          git-branch: release/2.42.0-2026.01.03-1.0