Hamburger Menu Button
Thermo Fisher Scientific Logo
登录
没有账号?建立账号 注册
  • 产品
    • 抗体
    • 引物合成
    • GeneArt Gene Synthesis Instant Designer
    • TaqMan Assay and Array Search
    • PCR 设备和耗材
    • 色谱柱和纯化柱
    • 实验室离心机
    • 分子生物学试剂和试剂盒
    • 实验室塑料耗材及用品
    • 查看所有产品分类
  • 应用和技术
    • 色谱
    • 细胞转染和培养
    • 实时荧光定量PCR
    • 质谱
    • 实验室塑料耗材及用品
    • 电子显微镜
    • 蛋白质生物学
    • PCR
    • RNAi
    • 环境
    • 查看所有应用和技术
  • 服务
    • 定制服务
    • 企业级实验室信息化服务
    • 金融&租赁服务
    • 仪器服务
    • OEM和商业供应
    • 培训服务
    • 360° CDMO 和 CRO 服务
    • CDMO 服务
    • 临床试验 CRO 服务
    • Unity Lab Services
    • 查看所有帮助和支持
  • 帮助和支持
    • 学习中心
    • 联系我们
    • 更改国家或地区
    • 查看所有帮助和支持
  • 热门产品
    • TaqMan Real-Time PCR Assays
      TaqMan 实时荧光定量 PCR 试剂盒
    • Antibodies
      抗体
    • Oligos, Primers & Probes
      寡核苷酸、引物、探针
    • GeneArt Gene Synthesis
      GeneArt 基因合成
    • Cell Culture Plastics
      细胞培养耗材
  • Who We Serve
    • 抗体治疗解决方案
    • 细胞与基因治疗解决方案
    • 学术科研
    • 工业与应用
  • 联系我们
  • 货号直购
  • 订单查询
  • 查找文件&证书
Thermo Fisher Scientific Logo

Search

搜索全部或下列指定分类
Search button
          • 联系我们
          • 货号直购
          • 登录
            登录
            没有账号?建立账号 注册
            • 我的账号
            • 订单
            • 账单及发票查询
            • 定制产品及项目
          • Primary Antibodies ›
          • TRPV1 Antibodies

          Osenses

          TRPV1 Polyclonal Antibody

          1 篇参考文献
          查看其他25个TRPV1抗体

          {{$productOrderCtrl.translations['antibody.pdp.commerceCard.promotion.promotions']}}

          {{$productOrderCtrl.translations['antibody.pdp.commerceCard.promotion.viewpromo']}}

          {{$productOrderCtrl.translations['antibody.pdp.commerceCard.promotion.promocode']}}: {{promo.promoCode}} {{promo.promoTitle}} {{promo.promoDescription}}. {{$productOrderCtrl.translations['antibody.pdp.commerceCard.promotion.learnmore']}}

          说明书
          证书
          实验方案
          问题与答案
          技术支持
          说明书
          证书
          实验方案
          问题与答案
          技术支持
          说明书
          证书
          实验方案
          问题与答案
          技术支持

          Cite TRPV1 Polyclonal Antibody

          Additional Information:
          {{banner.description}}
          {{$ctrl.isSkuNotesCollapsed ? 'View more' : 'View less'}}
          • 抗体检测数据 (7)
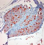
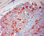
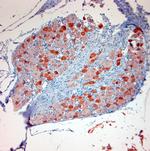
          TRPV1 Antibody in Immunohistochemistry (Paraffin) (IHC (P))
          Group 53 Created with Sketch.
          TRPV1 Antibody in Immunohistochemistry (Paraffin) (IHC (P))
          Group 53 Created with Sketch.

          图: 1 / 7

          {{ $ctrl.currentElement.advancedVerification.fullName }}
          {{ $ctrl.currentElement.advancedVerification.text }}

          TRPV1 Antibody (OSR00071W-100UL) in IHC (P)

          IHC-P on paraffin sections of rat spinal cord. The animal was perfused using Autoperfuser at a pressure of 130 mmHg with 300 mL 4% FA before being processed for paraffin embedding. HIER: Tris-EDTA, pH 9 for 20 min using Thermo PT Module. Blocking: 0.2% LFDM in TBST filtered thru 0.2 µm. Detection was done using Novolink HRP polymer from Leica following manufacturers instructions; DAB chromogen: Candela DAB ... View More {{ $ctrl.currentElement.advancedVerification.fullName }} 验证信息 View more
          已发表图片由___提供 benchsci-logo
          PMID: {{$ctrl.currentElement.benchSciPubmedId}}
          查看产品

          {{$ctrl.videoDesc}}

          {{$ctrl.videoLongDesc}}

          TRPV1 Antibody in Immunohistochemistry (Paraffin) (IHC (P))
          TRPV1 Antibody in Immunohistochemistry (Paraffin) (IHC (P))
          TRPV1 Antibody in Immunohistochemistry (Paraffin) (IHC (P))
          TRPV1 Antibody in Immunohistochemistry (Paraffin) (IHC (P))
          TRPV1 Antibody in Immunohistochemistry (Paraffin) (IHC (P))
          TRPV1 Antibody in Immunohistochemistry (Paraffin) (IHC (P))
          TRPV1 Antibody in Western Blot (WB)
          TRPV1 Polyclonal Antibody

          产品信息

          OSR00071W-100UL

          应用
          建议稀释比
          已发表文章

          免疫印迹 (WB)

          1:500
          -

          免疫组化(石蜡) (IHC (P))

          1:500
          -

          其他PubMed (Misc)

          -
          查看1篇已发表文章 1篇已发表文章
          产品规格

          种属反应

          Mouse, Rat

          宿主/亚型

          Rabbit / Ig

          分类

          Polyclonal

          类型

          Antibody

          抗原

          A synthetic peptide from aa region 790-839 of the 4th cytoplasmic domain of rat TRPV1 conjugated to blue carrier protein was used as the antigen
          3D表位/免疫原

          偶联物

          Unconjugated Unconjugated Unconjugated

          形式

          Lyophilized

          浓度

          Conc. Not Determined

          保存液

          whole serum

          内含物

          no preservative

          保存条件

          Store at 4°C short term. For long term storage, store at -20°C, avoiding freeze/thaw cycles. Glycerol (1:1) may be added for added stability.

          运输条件

          Ambient (domestic); Wet ice (international)

          产品详细信息

          Reconstitute in 100 µL of sterile water. Centrifuge to remove any insoluble material.

          Specificity of this antibody: TRPV1.

          靶标信息

          TRPV1 (Transient Receptor Potential Cation Channel Subfamily V Member 1) is a receptor for capsaicin, the main pungent ingredient in hot chili peppers, and elicits a sensation of burning pain by selectively activating sensory neurons. TRPV1 is a non-selective cation channel that is structurally related to members of the TRP family of ion channels such as TRPC3 and TRPC6. TRPV1 is permeable to calcium, magnesium, and monovalent cations of sodium and potassium. Structurally, TRPV1 contains 6 trans-membrane domains, a P-loop membrane domain and 3 ankyrin repeat domains. TRPV1 is also activated by increases in temperature in the noxious range, suggesting that it functions as a transducer of painful thermal stimuli in vivo. TRPV1 seems to mediate proton influx and may be involved in intracellular acidosis in nociceptive neurons. The expression of TRPV1 appears to be limited to neurons within the sensory ganglia. Four transcript variants encoding TRPV1 with variations in th 5' UTR sequence have been described. Diseases associated with TRPV1 include Irritable Bowel Syndrome (IBS) and Bladder Disease.

          仅用于科研。不用于诊断过程。未经明确授权不得转售。

          生物信息学

          蛋白别名: Capsaicin receptor; cation channel; DKFZp434K0220; Osm-9-like TRP channel 1; OTRPC1; Transient receptor potential cation channel subfamily V member 1; transient receptor potential cation channel V1; transient receptor potential vanilloid 1 supraoptic nucleus; TrpV1; Vanilloid receptor; Vanilloid receptor 1; vanilloid receptor subtype 1; vanilloid receptor type 1 like protein 1; Vanilloid receptor type 1-like; vanilloid type 1 receptor

          查看更多 收起

          基因别名: OTRPC1; Trpv1; TRPV1_SON; TRPV1alpha; TRPV1beta; VR-1; VR.5'sv; Vr1; Vr1l; Vr1l1

          查看更多 收起

          UniProt ID: (Rat) O35433, (Mouse) Q704Y3

          查看更多 收起

          Entrez Gene ID: (Rat) 83810, (Mouse) 193034

          查看更多 收起

          功能
          transmembrane signaling receptor activity ion channel activity excitatory extracellular ligand-gated ion channel activity cation channel activity calcium channel activity protein binding calmodulin binding ATP binding cation transmembrane transporter activity ligand-gated ion channel activity calcium-release channel activity chloride channel regulator activity identical protein binding phosphoprotein binding nucleotide binding ion channel
          参与通路
          temperature homeostasis fever generation microglial cell activation diet induced thermogenesis peptide secretion lipid metabolic process calcium ion transport inflammatory response signal transduction positive regulation of cytosolic calcium ion concentration response to pH response to heat response to organonitrogen compound glutamate secretion urinary bladder smooth muscle contraction sensory perception of pain ion transmembrane transport positive regulation of apoptotic process response to peptide hormone positive regulation of nitric oxide biosynthetic process response to pain behavioral response to pain sensory perception of mechanical stimulus thermoception detection of chemical stimulus involved in sensory perception of pain smooth muscle contraction involved in micturition positive regulation of gastric acid secretion calcium ion transmembrane transport cellular response to alkaloid cellular response to ATP cellular response to cytokine stimulus cellular response to tumor necrosis factor cellular response to growth factor stimulus cellular response to temperature stimulus negative regulation of establishment of blood-brain barrier cellular response to nerve growth factor stimulus transport ion transport cation transport catagen transmembrane transport cation transmembrane transport
          It has to be done as per old AB suggested Products section.

          Disclaimer

          Close

          Clicking the images or links will redirect you to a website hosted by BenchSci that provides third-party scientific content. Neither the content nor the BenchSci technology and processes for selection have been evaluated by us; we are providing them as-is and without warranty of any kind, including for use or application of the Thermo Fisher Scientific products presented.

          guarantee_icon

          性能保障

          只要您发现Invitrogen抗体在实验中的表现与网站或说明书的所述内容不符,您即可享受免费退换货服务。*

          了解更多
          help_icon

          随时为您服务

          获取常见问题的专家解答,或者直接联系我们的技术专家,咨询应用、设备、常规产品使用问题。

          联系技术支持
          订购 Plus Icon Minus Icon
          • 订单状态查询
          • 订单支持
          • 货号直购
          • 现货供应中心
          • 电子采购
          支持 Plus Icon Minus Icon
          • 帮助&支持
          • 联系我们 - 400 820 8982
          • 技术支持中心
          • 查找文件&证书
          • 报告网站问题
          资源 Plus Icon Minus Icon
          • 学习中心
          • 促销
          • 活动&研讨会
          • 社交媒体
          关于赛默飞 Plus Icon Minus Icon
          • 关于我们
          • 招聘 招聘
          • 投资者关系 投资者关系
          • 新闻 新闻
          • 社会责任 社会责任
          • 商标
          • 政策和通知
          品牌 Plus Icon Minus Icon
          • Thermo Scientific
          • Applied Biosystems
          • Invitrogen
          • Gibco
          • Ion Torrent
          • Unity Lab Services
          • Patheon
          • PPD
          • 服务条款
          • 隐私政策
          • 定价和运输保险政策
          © 2006-2026 Thermo Fisher Scientific Inc. All rights reserved. All trademarks are the property of Thermo Fisher Scientific and its subsidiaries unless otherwise specified.
          China flag icon
          China
          本网站销售的所有产品均不得用于人类或动物之临床诊断或治疗,仅可用于工业或者科研等非医疗目的。
             电子营业执照 | 经营证照公示 | ICP备案号:沪ICP备11003924号 | 沪公网安备 31011502006935号

          Your items have has been added!


          Host server : magellan-search-blue-7c59b9b899-ng27p:80/100.66.78.145:80.
          git-commit: 8ef7cf686e3c81d28b13492708ce56d167b2f995
          git-url: https://github.com/thermofisher/magellan-search
          git-branch: release/2.49.0-Offline