Hamburger Menu Button
Thermo Fisher Scientific Logo
登录
没有账号?建立账号 注册
  • 产品
    • 抗体
    • 引物合成
    • GeneArt Gene Synthesis Instant Designer
    • TaqMan Assay and Array Search
    • PCR 设备和耗材
    • 色谱柱和纯化柱
    • 实验室离心机
    • 分子生物学试剂和试剂盒
    • 实验室塑料耗材及用品
    • 查看所有产品分类
  • 应用和技术
    • 色谱
    • 细胞转染和培养
    • 实时荧光定量PCR
    • 质谱
    • 实验室塑料耗材及用品
    • 电子显微镜
    • 蛋白质生物学
    • PCR
    • RNAi
    • 环境
    • 查看所有应用和技术
  • 服务
    • 定制服务
    • 企业级实验室信息化服务
    • 金融&租赁服务
    • 仪器服务
    • OEM和商业供应
    • 培训服务
    • 360° CDMO 和 CRO 服务
    • CDMO 服务
    • 临床试验 CRO 服务
    • Unity Lab Services
    • 查看所有帮助和支持
  • 帮助和支持
    • 学习中心
    • 联系我们
    • 更改国家或地区
    • 查看所有帮助和支持
  • 热门产品
    • TaqMan Real-Time PCR Assays
      TaqMan 实时荧光定量 PCR 试剂盒
    • Antibodies
      抗体
    • Oligos, Primers & Probes
      寡核苷酸、引物、探针
    • GeneArt Gene Synthesis
      GeneArt 基因合成
    • Cell Culture Plastics
      细胞培养耗材
  • Who We Serve
    • 抗体治疗解决方案
    • 细胞与基因治疗解决方案
    • 学术科研
    • 工业与应用
  • 联系我们
  • 货号直购
  • 订单查询
  • 查找文件&证书
Thermo Fisher Scientific Logo

Search

搜索全部或下列指定分类
Search button
          • 联系我们
          • 货号直购
          • 登录
            登录
            没有账号?建立账号 注册
            • 我的账号
            • 订单
            • 会员中心
            • 账单及发票查询
            • 定制产品及项目
          • Primary Antibodies ›
          • TWIST1 Antibodies

          Invitrogen

          TWIST1 Polyclonal Antibody

          1 篇参考文献
          查看其他34个TWIST1抗体

          {{$productOrderCtrl.translations['antibody.pdp.commerceCard.promotion.promotions']}}

          {{$productOrderCtrl.translations['antibody.pdp.commerceCard.promotion.viewpromo']}}

          {{$productOrderCtrl.translations['antibody.pdp.commerceCard.promotion.promocode']}}: {{promo.promoCode}} {{promo.promoTitle}} {{promo.promoDescription}}. {{$productOrderCtrl.translations['antibody.pdp.commerceCard.promotion.learnmore']}}

          说明书
          证书
          实验方案
          问题与答案
          技术支持
          说明书
          证书
          实验方案
          问题与答案
          技术支持
          说明书
          证书
          实验方案
          问题与答案
          技术支持

          Cite TWIST1 Polyclonal Antibody

          Additional Information:
          {{banner.description}}
          {{$ctrl.isSkuNotesCollapsed ? 'View more' : 'View less'}}
          • 抗体检测数据 (4)
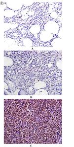
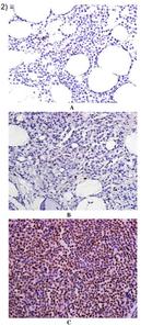
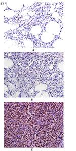
          TWIST1 Antibody in Immunohistochemistry (Paraffin) (IHC (P))
          Group 53 Created with Sketch.
          TWIST1 Antibody in Immunohistochemistry (Paraffin) (IHC (P))
          Group 53 Created with Sketch.

          图: 1 / 4

          {{ $ctrl.currentElement.advancedVerification.fullName }}
          {{ $ctrl.currentElement.advancedVerification.text }}

          TWIST1 Antibody (PA5-116093) in IHC (P)

          Immunohistochemistry analysis of TWIST1 in human normal tissues adjacent to colorectal cancer. Samples were treated with formaldehyde and treated with citrate buffer for antigen retrieval, blocked, and incubated (1.5 hours at 22°C) with polyclonal antibody (Product # PA5-116093) at a dilution of 1:100. Secondary staining was applied with HRP conjugated anti-Rabbit. {{ $ctrl.currentElement.advancedVerification.fullName }} 验证信息 View more
          已发表图片由___提供 benchsci-logo
          PMID: {{$ctrl.currentElement.benchSciPubmedId}}
          查看产品

          {{$ctrl.videoDesc}}

          {{$ctrl.videoLongDesc}}

          TWIST1 Antibody in Immunohistochemistry (Paraffin) (IHC (P))
          TWIST1 Antibody in Immunohistochemistry (Paraffin) (IHC (P))
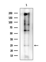
          TWIST1 Antibody in Western Blot (WB)
          TWIST1 Antibody in Western Blot (WB)
          TWIST1 Polyclonal Antibody

          产品信息

          PA5-116093

          应用
          建议稀释比
          已发表文章

          免疫印迹 (WB)

          1:500-1:2,000
          查看1篇已发表文章 1篇已发表文章

          免疫组化(石蜡) (IHC (P))

          1:50-1:200
          -

          免疫细胞化学 (ICC/IF)

          1:100-1:500
          -
          产品规格

          种属反应

          Human, Mouse, Rat

          已发表种属

          Human

          宿主/亚型

          Rabbit / IgG

          分类

          Polyclonal

          类型

          Antibody

          抗原

          A synthesized peptide derived from human TWIST1(Accession Q15672), corresponding to amino acid residues M1-R37.
          3D表位/免疫原

          偶联物

          Unconjugated Unconjugated Unconjugated

          形式

          Liquid

          浓度

          1 mg/mL

          规格

          100 µg

          纯化类型

          Affinity chromatography

          保存液

          PBS with 50% glycerol

          内含物

          0.02% sodium azide

          保存条件

          -20°C

          运输条件

          Ambient (domestic); Wet ice (international)

          RRID

          AB_2900727

          产品详细信息

          Antibody detects endogenous levels of total Twist1.

          靶标信息

          TWIST1 acts as a transcriptional regulator. It inhibits myogensis by sequestering E proteins, inhibiting trans-activation by MEF2, and inhibiting DNA-binding by MYOD1 through physical interaction. TWIST1 also represses proinflammatory cytokines such as TNFA and IL1B. TWIST also regulates cranial suture patterning and fusion and gene expression differentially depending on dimer composition. Mutations in the gene are implicated in Saethre-Chotzen syndrome, a disease characterized by coronal synostosis, brachycephaly, low front hairline, facial asymmetry, hypertelorism, broad halluces, and clinodactyly.

          仅用于科研。不用于诊断过程。未经明确授权不得转售。

          生物信息学

          蛋白别名: B-HLH DNA binding protein; bHLHa38; charlie chaplin; Class A basic helix-loop-helix protein 38; H-twist; M-twist; p ACS3; Pluridigite; polydactyly EMS; Skam10Jus; twist basic helix-loop-helix transcription factor 1; twist gene homolog 1; twist homolog 1; TWIST homolog of drosophila; Twist-related protein 1

          查看更多 收起

          基因别名: AA960487; ACS3; BHLHA38; BPES2; BPES3; CRS; CRS1; CSO; M-Twist; Pde; pdt; SCS; Ska10; Ska; SWCOS; TWIST; TWIST1

          查看更多 收起

          UniProt ID: (Human) Q15672, (Mouse) P26687

          查看更多 收起

          Entrez Gene ID: (Human) 7291, (Mouse) 22160, (Rat) 85489

          查看更多 收起

          功能
          RNA polymerase II regulatory region sequence-specific DNA binding RNA polymerase II transcription factor activity, sequence-specific DNA binding core promoter proximal region sequence-specific DNA binding bacterial-type RNA polymerase transcriptional repressor activity, sequence-specific DNA binding transcription cofactor binding transcriptional activator activity, RNA polymerase II transcription regulatory region sequence-specific binding DNA binding transcription factor activity, sequence-specific DNA binding protein binding protein domain specific binding identical protein binding protein homodimerization activity histone deacetylase binding bHLH transcription factor binding protein dimerization activity E-box binding DNA-binding transcription factor binding transcriptional activator activity, RNA polymerase II core promoter proximal region sequence-specific binding transcription factor binding protein heterodimerization activity molecular_function basic helix-loop-helix transcription factor
          参与通路
          negative regulation of transcription from RNA polymerase II promoter ossification osteoblast differentiation in utero embryonic development neuron migration neural tube closure aortic valve morphogenesis mitral valve morphogenesis endocardial cushion morphogenesis cardiac neural crest cell migration involved in outflow tract morphogenesis regulation of transcription from RNA polymerase II promoter muscle organ development positive regulation of gene expression positive regulation of epithelial to mesenchymal transition negative regulation of macrophage cytokine production cell differentiation embryonic limb morphogenesis positive regulation of cell migration regulation of bone mineralization positive regulation of fatty acid beta-oxidation developmental process negative regulation of tumor necrosis factor production positive regulation of interleukin-6 production positive regulation of tumor necrosis factor production embryonic forelimb morphogenesis embryonic hindlimb morphogenesis hindlimb morphogenesis negative regulation of peroxisome proliferator activated receptor signaling pathway outer ear morphogenesis embryonic digit morphogenesis negative regulation of apoptotic process negative regulation of DNA damage response, signal transduction by p53 class mediator negative regulation of cell differentiation negative regulation of osteoblast differentiation positive regulation of angiogenesis negative regulation of striated muscle tissue development negative regulation of transcription, DNA-templated positive regulation of transcription from RNA polymerase II promoter rhythmic process negative regulation of skeletal muscle tissue development embryonic cranial skeleton morphogenesis embryonic skeletal system morphogenesis stem cell differentiation negative regulation of protein kinase B signaling cranial suture morphogenesis embryonic camera-type eye formation eyelid development in camera-type eye cardiac neural crest cell development involved in outflow tract morphogenesis cellular response to hypoxia positive regulation of monocyte chemotactic protein-1 production energy homeostasis negative regulation of pri-miRNA transcription from RNA polymerase II promoter positive regulation of DNA-templated transcription, initiation positive regulation of cell motility negative regulation of cellular senescence negative regulation of double-strand break repair cell proliferation involved in heart valve development positive regulation of endocardial cushion to mesenchymal transition involved in heart valve formation transcription, DNA-templated regulation of transcription, DNA-templated transcription from RNA polymerase II promoter multicellular organism development negative regulation of phosphatidylinositol 3-kinase signaling negative regulation of histone phosphorylation negative regulation of histone acetylation negative regulation of sequence-specific DNA binding transcription factor activity negative regulation of molecular function positive regulation of epithelial cell proliferation negative regulation of oxidative phosphorylation uncoupler activity positive regulation of transcription regulatory region DNA binding positive regulation of interleukin-6 secretion odontogenesis palate development bone development cellular response to growth factor stimulus
          It has to be done as per old AB suggested Products section.

          Disclaimer

          Close

          Clicking the images or links will redirect you to a website hosted by BenchSci that provides third-party scientific content. Neither the content nor the BenchSci technology and processes for selection have been evaluated by us; we are providing them as-is and without warranty of any kind, including for use or application of the Thermo Fisher Scientific products presented.

          guarantee_icon

          性能保障

          只要您发现Invitrogen抗体在实验中的表现与网站或说明书的所述内容不符,您即可享受免费退换货服务。*

          了解更多
          help_icon

          随时为您服务

          获取常见问题的专家解答,或者直接联系我们的技术专家,咨询应用、设备、常规产品使用问题。

          联系技术支持
          订购 Plus Icon Minus Icon
          • 订单状态查询
          • 订单支持
          • 货号直购
          • 现货供应中心
          • 电子采购
          支持 Plus Icon Minus Icon
          • 帮助&支持
          • 联系我们 - 400 820 8982
          • 技术支持中心
          • 查找文件&证书
          • 报告网站问题
          资源 Plus Icon Minus Icon
          • 学习中心
          • 促销
          • 活动&研讨会
          • 社交媒体
          关于赛默飞 Plus Icon Minus Icon
          • 关于我们
          • 招聘 招聘
          • 投资者关系 投资者关系
          • 新闻 新闻
          • 社会责任 社会责任
          • 商标
          • 政策和通知
          品牌 Plus Icon Minus Icon
          • Thermo Scientific
          • Applied Biosystems
          • Invitrogen
          • Gibco
          • Ion Torrent
          • Unity Lab Services
          • Patheon
          • PPD
          • 服务条款
          • 隐私政策
          • 定价和运输保险政策
          © 2006-2026 Thermo Fisher Scientific Inc. All rights reserved. All trademarks are the property of Thermo Fisher Scientific and its subsidiaries unless otherwise specified.
          China flag icon
          China
          本网站销售的所有产品均不得用于人类或动物之临床诊断或治疗,仅可用于工业或者科研等非医疗目的。
             电子营业执照 | 经营证照公示 | ICP备案号:沪ICP备11003924号 | 沪公网安备 31011502006935号

          Your items have has been added!


          Host server : magellan-search-green-6479c7f679-l2s7p:80/100.66.76.236:80.
          git-commit: b70c0dceb888abc3b0dcebb5bc3a5b8753e7e816
          git-url: https://github.com/thermofisher/magellan-search
          git-branch: release/2.50.0-Offline