Hamburger Menu Button
Thermo Fisher Scientific Logo
登录
没有账号?建立账号 注册
  • 产品
    • 抗体
    • 引物合成
    • GeneArt Gene Synthesis Instant Designer
    • TaqMan Assay and Array Search
    • PCR 设备和耗材
    • 色谱柱和纯化柱
    • 实验室离心机
    • 分子生物学试剂和试剂盒
    • 实验室塑料耗材及用品
    • 查看所有产品分类
  • 应用和技术
    • 色谱
    • 细胞转染和培养
    • 实时荧光定量PCR
    • 质谱
    • 实验室塑料耗材及用品
    • 电子显微镜
    • 蛋白质生物学
    • PCR
    • RNAi
    • 环境
    • 查看所有应用和技术
  • 服务
    • 定制服务
    • 企业级实验室信息化服务
    • 金融&租赁服务
    • 仪器服务
    • OEM和商业供应
    • 培训服务
    • 360° CDMO 和 CRO 服务
    • CDMO 服务
    • 临床试验 CRO 服务
    • Unity Lab Services
    • 查看所有帮助和支持
  • 帮助和支持
    • 学习中心
    • 联系我们
    • 更改国家或地区
    • 查看所有帮助和支持
  • 热门产品
    • TaqMan Real-Time PCR Assays
      TaqMan 实时荧光定量 PCR 试剂盒
    • Antibodies
      抗体
    • Oligos, Primers & Probes
      寡核苷酸、引物、探针
    • GeneArt Gene Synthesis
      GeneArt 基因合成
    • Cell Culture Plastics
      细胞培养耗材
  • Who We Serve
    • 抗体治疗解决方案
    • 细胞与基因治疗解决方案
    • 学术科研
    • 工业与应用
  • 联系我们
  • 货号直购
  • 订单查询
  • 查找文件&证书
Thermo Fisher Scientific Logo

Search

搜索全部或下列指定分类
Search button
          • 联系我们
          • 货号直购
          • 登录
            登录
            没有账号?建立账号 注册
            • 我的账号
            • 订单
            • 会员中心
            • 账单及发票查询
            • 定制产品及项目
          • Primary Antibodies ›
          • Transferrin Antibodies

          Invitrogen

          Transferrin Recombinant Rabbit Monoclonal Antibody (HL2429)

          查看其他55个Transferrin抗体

          {{$productOrderCtrl.translations['antibody.pdp.commerceCard.promotion.promotions']}}

          {{$productOrderCtrl.translations['antibody.pdp.commerceCard.promotion.viewpromo']}}

          {{$productOrderCtrl.translations['antibody.pdp.commerceCard.promotion.promocode']}}: {{promo.promoCode}} {{promo.promoTitle}} {{promo.promoDescription}}. {{$productOrderCtrl.translations['antibody.pdp.commerceCard.promotion.learnmore']}}

          说明书
          证书
          实验方案
          问题与答案
          技术支持
          说明书
          证书
          实验方案
          问题与答案
          技术支持
          说明书
          证书
          实验方案
          问题与答案
          技术支持

          Cite Transferrin Recombinant Rabbit Monoclonal Antibody (HL2429)

          Additional Information:
          {{banner.description}}
          {{$ctrl.isSkuNotesCollapsed ? 'View more' : 'View less'}}
          • 抗体检测数据 (4)
          Transferrin Antibody in Immunohistochemistry (Paraffin) (IHC (P))
          Group 53 Created with Sketch.
          Transferrin Antibody in Immunohistochemistry (Paraffin) (IHC (P))
          Group 53 Created with Sketch.

          图: 1 / 4

          {{ $ctrl.currentElement.advancedVerification.fullName }}
          {{ $ctrl.currentElement.advancedVerification.text }}

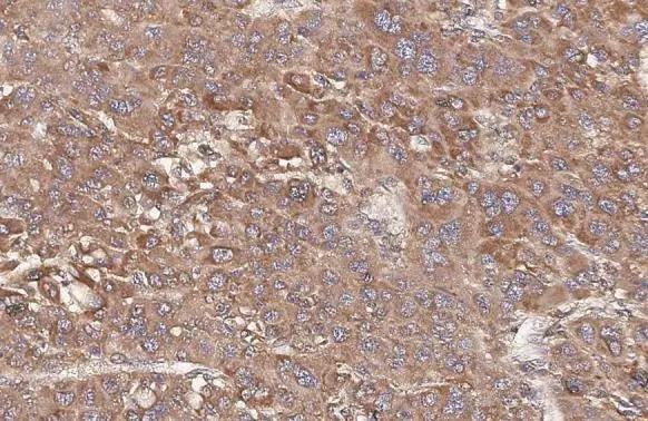
          Transferrin Antibody (MA5-50528) in IHC (P)

          Immunohistochemical analysis of Transferrin using Transferrin Recombinant Monoclonal Antibody (Product # MA5-50528) in Paraffin embedded human hepatocellular carcinoma tissue at a dilution of 1:100. For Antigen retrieval citrate buffer, pH 6.0, as used for 15 min. {{ $ctrl.currentElement.advancedVerification.fullName }} 验证信息 View more
          已发表图片由___提供 benchsci-logo
          PMID: {{$ctrl.currentElement.benchSciPubmedId}}
          查看产品

          {{$ctrl.videoDesc}}

          {{$ctrl.videoLongDesc}}

          Transferrin Antibody in Immunohistochemistry (Paraffin) (IHC (P))
          Transferrin Antibody in Western Blot (WB)
          Transferrin Antibody in Western Blot (WB)
          Transferrin Antibody in Western Blot (WB)

          产品信息

          MA5-50528

          应用
          建议稀释比
          已发表文章

          免疫印迹 (WB)

          1:1,000-1:500,000
          -

          免疫组化(石蜡) (IHC (P))

          Assay-dependent
          -
          产品规格

          种属反应

          Human, Mouse, Rat

          宿主/亚型

          Rabbit / IgG

          Expression System

          HEK293 cells

          分类

          Recombinant Monoclonal

          类型

          Antibody

          克隆号

          HL2429

          抗原

          Recombinant fragment of human Transferrin.

          偶联物

          Unconjugated Unconjugated Unconjugated

          形式

          Liquid

          浓度

          1 mg/mL

          规格

          100 µg

          纯化类型

          Protein A

          保存液

          PBS

          内含物

          no preservative

          保存条件

          Store at 4°C short term. For long term storage, store at -20°C, avoiding freeze/thaw cycles.

          运输条件

          Ambient (domestic); Wet ice (international)

          RRID

          AB_3094273

          靶标信息

          Transferrins (Tf) are an approximately 80kDa blood plasma glycoprotein synthesized by the liver. They are iron binding transport proteins which can bind two Fe(3+) ions in association with the binding of an anion, usually bicarbonate. It is responsible for the transport of iron from sites of absorption and heme degradation to those of storage and utilization. Transferrin is the primary blood iron transport protein and under normal conditions; approximately one-third of total blood transferrin contains bound iron. Measurement of blood transferrin levels can be used as an indicator for blood iron-carrying capacity and abnormalities of iron metabolism such as anaemia, iron overload and haemochromatosis.Serum transferrin may also have a further role in stimulating cell proliferation.

          仅用于科研。不用于诊断过程。未经明确授权不得转售。

          篇参考文献 (0)

          您是否在文献中引用过该产品?请点击下方按钮邮件告知我们。
          引用该产品

          生物信息学

          蛋白别名: Beta-1 metal-binding globulin; DKFZp781D0156; epididymis secretory sperm binding protein Li 71p; hypotransferrinemia with hemochromatosis; Liver regeneration-related protein LRRG03; Serotransferrin; Siderophilin; transferin; Transferrin; transferrin precursor; unnamed protein product

          查看更多 收起

          基因别名: AI266983; Cd176; HEL-S-71p; HP; hpx; PRO1400; PRO1557; PRO2086; TF; Tfn; TFQTL1; Trf

          查看更多 收起

          UniProt ID: (Human) P02787, (Rat) P12346, (Mouse) Q921I1

          查看更多 收起

          Entrez Gene ID: (Human) 7018, (Rat) 24825, (Mouse) 22041

          查看更多 收起

          功能
          iron ion binding protein binding ferrous iron binding ferric iron binding enzyme binding iron chaperone activity ion channel binding metal ion binding transferrin receptor binding GTP binding ferric iron transmembrane transporter activity transfer/carrier protein
          参与通路
          ion transport iron ion transport cellular iron ion homeostasis cell surface receptor signaling pathway response to bacterium antibacterial humoral response osteoclast differentiation regulation of protein stability positive regulation of proteasomal ubiquitin-dependent protein catabolic process positive regulation of receptor-mediated endocytosis multicellular organismal iron ion homeostasis cellular response to iron ion ferrous iron export response to hypoxia retina homeostasis apoptotic process acute-phase response actin filament organization activation of JUN kinase activity small GTPase mediated signal transduction response to lead ion response to organic cyclic compound ferric iron transport positive regulation of myelination positive regulation of phosphorylation positive regulation of bone resorption positive regulation of transcription, DNA-templated SMAD protein signal transduction ERK1 and ERK2 cascade positive regulation of oligodendrocyte progenitor proliferation cellular response to cAMP cellular response to follicle-stimulating hormone stimulus positive regulation of cell motility transport iron ion transmembrane transport iron ion homeostasis
          It has to be done as per old AB suggested Products section.

          Disclaimer

          Close

          Clicking the images or links will redirect you to a website hosted by BenchSci that provides third-party scientific content. Neither the content nor the BenchSci technology and processes for selection have been evaluated by us; we are providing them as-is and without warranty of any kind, including for use or application of the Thermo Fisher Scientific products presented.

          guarantee_icon

          性能保障

          只要您发现Invitrogen抗体在实验中的表现与网站或说明书的所述内容不符,您即可享受免费退换货服务。*

          了解更多
          help_icon

          随时为您服务

          获取常见问题的专家解答,或者直接联系我们的技术专家,咨询应用、设备、常规产品使用问题。

          联系技术支持
          订购 Plus Icon Minus Icon
          • 订单状态查询
          • 订单支持
          • 货号直购
          • 现货供应中心
          • 电子采购
          支持 Plus Icon Minus Icon
          • 帮助&支持
          • 联系我们 - 400 820 8982
          • 技术支持中心
          • 查找文件&证书
          • 报告网站问题
          资源 Plus Icon Minus Icon
          • 学习中心
          • 促销
          • 活动&研讨会
          • 社交媒体
          关于赛默飞 Plus Icon Minus Icon
          • 关于我们
          • 招聘 招聘
          • 投资者关系 投资者关系
          • 新闻 新闻
          • 社会责任 社会责任
          • 商标
          • 政策和通知
          品牌 Plus Icon Minus Icon
          • Thermo Scientific
          • Applied Biosystems
          • Invitrogen
          • Gibco
          • Ion Torrent
          • Unity Lab Services
          • Patheon
          • PPD
          • 服务条款
          • 隐私政策
          • 定价和运输保险政策
          © 2006-2026 Thermo Fisher Scientific Inc. All rights reserved. All trademarks are the property of Thermo Fisher Scientific and its subsidiaries unless otherwise specified.
          China flag icon
          China
          本网站销售的所有产品均不得用于人类或动物之临床诊断或治疗,仅可用于工业或者科研等非医疗目的。
             电子营业执照 | 经营证照公示 | ICP备案号:沪ICP备11003924号 | 沪公网安备 31011502006935号

          Your items have has been added!


          Host server : magellan-search-green-6479c7f679-zb4k5:80/100.66.74.142:80.
          git-commit: b70c0dceb888abc3b0dcebb5bc3a5b8753e7e816
          git-url: https://github.com/thermofisher/magellan-search
          git-branch: release/2.50.0-Offline