Hamburger Menu Button
Thermo Fisher Scientific Logo
登录
没有账号?建立账号 注册
  • 产品
    • 抗体
    • 引物合成
    • GeneArt Gene Synthesis Instant Designer
    • TaqMan Assay and Array Search
    • PCR 设备和耗材
    • 色谱柱和纯化柱
    • 实验室离心机
    • 分子生物学试剂和试剂盒
    • 实验室塑料耗材及用品
    • 查看所有产品分类
  • 应用和技术
    • 色谱
    • 细胞转染和培养
    • 实时荧光定量PCR
    • 质谱
    • 实验室塑料耗材及用品
    • 电子显微镜
    • 蛋白质生物学
    • PCR
    • RNAi
    • 环境
    • 查看所有应用和技术
  • 服务
    • 定制服务
    • 企业级实验室信息化服务
    • 金融&租赁服务
    • 仪器服务
    • OEM和商业供应
    • 培训服务
    • 360° CDMO 和 CRO 服务
    • CDMO 服务
    • 临床试验 CRO 服务
    • Unity Lab Services
    • 查看所有帮助和支持
  • 帮助和支持
    • 学习中心
    • 联系我们
    • 更改国家或地区
    • 查看所有帮助和支持
  • 热门产品
    • TaqMan Real-Time PCR Assays
      TaqMan 实时荧光定量 PCR 试剂盒
    • Antibodies
      抗体
    • Oligos, Primers & Probes
      寡核苷酸、引物、探针
    • GeneArt Gene Synthesis
      GeneArt 基因合成
    • Cell Culture Plastics
      细胞培养耗材
  • Who We Serve
    • 抗体治疗解决方案
    • 细胞与基因治疗解决方案
    • 学术科研
    • 工业与应用
  • 联系我们
  • 货号直购
  • 订单查询
  • 查找文件&证书
Thermo Fisher Scientific Logo

Search

搜索全部或下列指定分类
Search button
          • 联系我们
          • 货号直购
          • 登录
            登录
            没有账号?建立账号 注册
            • 我的账号
            • 订单
            • 会员中心
            • 账单及发票查询
            • 定制产品及项目
          • Primary Antibodies ›
          • TrkA/TrkB/TrkC Antibodies

          Invitrogen

          TrkA/TrkB/TrkC Recombinant Rabbit Monoclonal Antibody (JJ084-04)

          查看其他7个TrkA/TrkB/TrkC抗体

          {{$productOrderCtrl.translations['antibody.pdp.commerceCard.promotion.promotions']}}

          {{$productOrderCtrl.translations['antibody.pdp.commerceCard.promotion.viewpromo']}}

          {{$productOrderCtrl.translations['antibody.pdp.commerceCard.promotion.promocode']}}: {{promo.promoCode}} {{promo.promoTitle}} {{promo.promoDescription}}. {{$productOrderCtrl.translations['antibody.pdp.commerceCard.promotion.learnmore']}}

          说明书
          证书
          实验方案
          问题与答案
          技术支持
          说明书
          证书
          实验方案
          问题与答案
          技术支持
          说明书
          证书
          实验方案
          问题与答案
          技术支持

          Cite TrkA/TrkB/TrkC Recombinant Rabbit Monoclonal Antibody (JJ084-04)

          Additional Information:
          {{banner.description}}
          {{$ctrl.isSkuNotesCollapsed ? 'View more' : 'View less'}}
          • 抗体检测数据 (5)
          TrkA/TrkB/TrkC Antibody in Immunocytochemistry (ICC/IF)
          Group 53 Created with Sketch.
          TrkA/TrkB/TrkC Antibody in Immunocytochemistry (ICC/IF)
          Group 53 Created with Sketch.

          图: 1 / 5

          {{ $ctrl.currentElement.advancedVerification.fullName }}
          {{ $ctrl.currentElement.advancedVerification.text }}

          TrkA/TrkB/TrkC Antibody (MA5-32426) in ICC/IF

          Immunocytochemical analysis of TrkA/TrkB/TrkC in SH-SY-5Y cells using a TrkA/TrkB/TrkC Monoclonal antibody (Product # MA5-32426) as seen in green. The nuclear counter stain is DAPI (blue). Cells were fixed in paraformaldehyde, permeabilised with 0.25% Triton X100/PBS. {{ $ctrl.currentElement.advancedVerification.fullName }} 验证信息 View more
          已发表图片由___提供 benchsci-logo
          PMID: {{$ctrl.currentElement.benchSciPubmedId}}
          查看产品

          {{$ctrl.videoDesc}}

          {{$ctrl.videoLongDesc}}

          TrkA/TrkB/TrkC Antibody in Immunocytochemistry (ICC/IF)
          TrkA/TrkB/TrkC Antibody in Immunocytochemistry (ICC/IF)
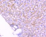
          TrkA/TrkB/TrkC Antibody in Immunohistochemistry (Paraffin) (IHC (P))
          TrkA/TrkB/TrkC Antibody in Immunohistochemistry (Paraffin) (IHC (P))
          TrkA/TrkB/TrkC Antibody in Western Blot (WB)
          TrkA/TrkB/TrkC Recombinant Rabbit Monoclonal Antibody (JJ084-04)

          产品信息

          MA5-32426

          应用
          建议稀释比
          已发表文章

          免疫印迹 (WB)

          1:1,000-1:5,000
          -

          免疫组化(石蜡) (IHC (P))

          1:200
          -

          免疫细胞化学 (ICC/IF)

          1:50-1:200
          -
          产品规格

          种属反应

          Human, Mouse, Rat

          宿主/亚型

          Rabbit / IgG

          Expression System

          HEK293 cells

          分类

          Recombinant Monoclonal

          类型

          Antibody

          克隆号

          JJ084-04

          抗原

          Synthetic peptide within Human TrkB aa 773-822.
          3D表位/免疫原

          偶联物

          Unconjugated Unconjugated Unconjugated

          形式

          Liquid

          浓度

          1 mg/mL

          规格

          100 µg

          纯化类型

          Protein A

          保存液

          TBS, pH 7.4, with 40% Glycerol, 0.05% BSA

          内含物

          0.05% sodium azide

          保存条件

          Store at 4°C short term. For long term storage, store at -20°C, avoiding freeze/thaw cycles.

          运输条件

          Ambient (domestic); Wet ice (international)

          RRID

          AB_2809704

          产品详细信息

          Recombinant rabbit monoclonal antibodies are produced using in vitro expression systems. The expression systems are developed by cloning in the specific antibody DNA sequences from immunoreactive rabbits. Then, individual clones are screened to select the best candidates for production. The advantages of using recombinant rabbit monoclonal antibodies include: better specificity and sensitivity, lot-to-lot consistency, animal origin-free formulations, and broader immunoreactivity to diverse targets due to larger rabbit immune repertoire.

          仅用于科研。不用于诊断过程。未经明确授权不得转售。

          篇参考文献 (0)

          您是否在文献中引用过该产品?请点击下方按钮邮件告知我们。
          引用该产品

          生物信息学

          蛋白别名: BDNF-tropomyosine receptor kinase B; BDNF/NT-3 growth factors receptor; ETS related protein-neurotrophic receptor tyrosine kinase fusion protein; ETV6-NTRK3 fusion; gp140trk; GP145-TrkB; GP145-TrkB/GP95-TrkB; GP145-TrkC; High affinity nerve growth factor receptor; neural receptor protein-tyrosine kinase (trkB); neural receptor protein-tyrosine kinase (trkC); Neurotrophic tyrosine kinase receptor type 1; Neurotrophic tyrosine kinase receptor type 2; Neurotrophic tyrosine kinase receptor type 3; neurotrophic tyrosine kinase, receptor, type 1; neurotrophic tyrosine kinase, receptor, type 3; neurotrophic tyrosine receptor kinase type 2; neurotrophin-3; NT-3 growth factor receptor; NTRK2; NTRK3; Oncogene TRK; p140-TrkA; Slow nerve growth factor receptor; splice variant; TEL-TrkC fusion protein; trk; trk tyrosine-specific protein kinase; Trk-A; Trk-B; Trk-C; TRK1-transforming tyrosine kinase protein; TrkA neurotrophin receptor; trkA proto-oncogene receptor; TrkB; TrkB tyrosine kinase; TrkB-T-Shc; trkC; TrkC tyrosine kinase; tropomyosin receptor kinase A; Tropomyosin-related kinase A; Tropomyosin-related kinase B; truncated trkB; Tyrosine kinase receptor; Tyrosine kinase receptor A; tyrosine kinase receptor B; tyrosine kinase receptor C; unnamed protein product

          查看更多 收起

          基因别名: AW125844; C80751; DEE58; EIEE58; gp145(trkC); GP145-TrkB; GP145-TrkB/GP95-TrkB; GP145-TrkC; MTC; NTRK1; NTRK2; NTRK3; Ntrk3_tv3; OBHD; p140-TrkA; RATTRKB1; Tkr; Tkrb; TRK; Trk-A; trk-B; TRK1; TRKA; TRKB; TRKB1; TRKC

          查看更多 收起

          UniProt ID: (Human) P04629, (Human) Q16620, (Human) Q16288, (Mouse) Q3UFB7, (Rat) P35739, (Mouse) P15209, (Rat) Q63604, (Mouse) Q6VNS1, (Rat) Q03351

          查看更多 收起

          Entrez Gene ID: (Human) 4914, (Human) 4915, (Human) 4916, (Mouse) 18211, (Rat) 59109, (Mouse) 18212, (Rat) 25054, (Mouse) 18213, (Rat) 29613

          查看更多 收起

          功能
          nucleotide binding protein kinase activity protein tyrosine kinase activity transmembrane receptor protein tyrosine kinase activity GPI-linked ephrin receptor activity neurotrophin receptor activity neurotrophin p75 receptor binding protein binding ATP binding nerve growth factor receptor activity kinase activity transferase activity kinase binding identical protein binding protein homodimerization activity neurotrophin binding nerve growth factor binding protease binding brain-derived neurotrophic factor binding brain-derived neurotrophic factor-activated receptor activity p53 binding transferase activity, transferring phosphorus-containing groups ephrin receptor binding transmembrane signal receptor
          参与通路
          protein phosphorylation transmembrane receptor protein tyrosine kinase signaling pathway spermatogenesis nervous system development axon guidance learning or memory circadian rhythm negative regulation of cell proliferation response to xenobiotic stimulus programmed cell death involved in cell development positive regulation of neuron projection development peptidyl-tyrosine phosphorylation olfactory nerve development cell differentiation B cell differentiation neuron projection development response to nutrient levels response to nicotine peptidyl-tyrosine autophosphorylation nerve growth factor signaling pathway mechanoreceptor differentiation negative regulation of apoptotic process positive regulation of programmed cell death negative regulation of neuron apoptotic process positive regulation of GTPase activity positive regulation of angiogenesis positive regulation of Ras protein signal transduction protein autophosphorylation neurotrophin TRK receptor signaling pathway ephrin receptor signaling pathway sympathetic nervous system development neuron development response to axon injury detection of temperature stimulus involved in sensory perception of pain detection of mechanical stimulus involved in sensory perception of pain positive regulation of NF-kappaB transcription factor activity neuron apoptotic process response to hydrostatic pressure response to electrical stimulus positive regulation of protein kinase B signaling positive regulation of synapse assembly positive regulation of synaptic transmission, glutamatergic Sertoli cell development innervation axonogenesis involved in innervation behavioral response to formalin induced pain positive regulation of ERK1 and ERK2 cascade cellular response to nicotine cellular response to growth factor stimulus cellular response to beta-amyloid cellular response to nerve growth factor stimulus vasculogenesis neuron migration learning feeding behavior positive regulation of cell proliferation positive regulation of gene expression glutamate secretion regulation of metabolic process neuronal action potential propagation central nervous system neuron development cerebral cortex development myelination in peripheral nervous system neuron differentiation brain-derived neurotrophic factor receptor signaling pathway neurotrophin signaling pathway regulation of GTPase activity positive regulation of MAPK cascade retinal rod cell development oligodendrocyte differentiation peripheral nervous system neuron development positive regulation of axonogenesis regulation of protein kinase B signaling retina development in camera-type eye long-term synaptic potentiation cellular response to amino acid stimulus trans-synaptic signaling by BDNF, modulating synaptic transmission negative regulation of beta-amyloid formation cellular response to brain-derived neurotrophic factor stimulus negative regulation of anoikis cell communication heart development positive regulation of cell migration positive regulation of apoptotic process response to ethanol animal organ development neuron fate specification axon extension involved in regeneration positive regulation of axon extension involved in regeneration negative regulation of astrocyte differentiation system development positive regulation of positive chemotaxis response to corticosterone lens fiber cell differentiation cellular response to retinoic acid cochlea development postsynaptic density assembly regulation of presynapse assembly regulation of neural precursor cell proliferation multicellular organism development response to activity phosphorylation sensory perception of pain response to drug negative regulation of neuron death aging response to radiation neuromuscular junction development long-term memory positive regulation of phosphatidylinositol 3-kinase signaling positive regulation of peptidyl-serine phosphorylation calcium-mediated signaling using intracellular calcium source regulation of MAPK cascade regulation of neurotransmitter secretion regulation of dendrite development positive regulation of glucocorticoid receptor signaling pathway inflammatory response response to light stimulus response to auditory stimulus cellular response to tumor necrosis factor activation of MAPK activity negative regulation of protein phosphorylation activation of protein kinase B activity negative regulation of cell death activation of GTPase activity positive regulation of actin cytoskeleton reorganization modulation by virus of host transcription
          It has to be done as per old AB suggested Products section.

          Disclaimer

          Close

          Clicking the images or links will redirect you to a website hosted by BenchSci that provides third-party scientific content. Neither the content nor the BenchSci technology and processes for selection have been evaluated by us; we are providing them as-is and without warranty of any kind, including for use or application of the Thermo Fisher Scientific products presented.

          guarantee_icon

          性能保障

          只要您发现Invitrogen抗体在实验中的表现与网站或说明书的所述内容不符,您即可享受免费退换货服务。*

          了解更多
          help_icon

          随时为您服务

          获取常见问题的专家解答,或者直接联系我们的技术专家,咨询应用、设备、常规产品使用问题。

          联系技术支持
          订购 Plus Icon Minus Icon
          • 订单状态查询
          • 订单支持
          • 货号直购
          • 现货供应中心
          • 电子采购
          支持 Plus Icon Minus Icon
          • 帮助&支持
          • 联系我们 - 400 820 8982
          • 技术支持中心
          • 查找文件&证书
          • 报告网站问题
          资源 Plus Icon Minus Icon
          • 学习中心
          • 促销
          • 活动&研讨会
          • 社交媒体
          关于赛默飞 Plus Icon Minus Icon
          • 关于我们
          • 招聘 招聘
          • 投资者关系 投资者关系
          • 新闻 新闻
          • 社会责任 社会责任
          • 商标
          • 政策和通知
          品牌 Plus Icon Minus Icon
          • Thermo Scientific
          • Applied Biosystems
          • Invitrogen
          • Gibco
          • Ion Torrent
          • Unity Lab Services
          • Patheon
          • PPD
          • 服务条款
          • 隐私政策
          • 定价和运输保险政策
          © 2006-2026 Thermo Fisher Scientific Inc. All rights reserved. All trademarks are the property of Thermo Fisher Scientific and its subsidiaries unless otherwise specified.
          China flag icon
          China
          本网站销售的所有产品均不得用于人类或动物之临床诊断或治疗,仅可用于工业或者科研等非医疗目的。
             电子营业执照 | 经营证照公示 | ICP备案号:沪ICP备11003924号 | 沪公网安备 31011502006935号

          Your items have has been added!


          Host server : magellan-search-green-6479c7f679-sz4vp:80/100.66.76.236:80.
          git-commit: b70c0dceb888abc3b0dcebb5bc3a5b8753e7e816
          git-url: https://github.com/thermofisher/magellan-search
          git-branch: release/2.50.0-Offline