Hamburger Menu Button
Thermo Fisher Scientific Logo
登录
没有账号?建立账号 注册
  • 产品
    • 抗体
    • 引物合成
    • GeneArt Gene Synthesis Instant Designer
    • TaqMan Assay and Array Search
    • PCR 设备和耗材
    • 色谱柱和纯化柱
    • 实验室离心机
    • 分子生物学试剂和试剂盒
    • 实验室塑料耗材及用品
    • 查看所有产品分类
  • 应用和技术
    • 色谱
    • 细胞转染和培养
    • 实时荧光定量PCR
    • 质谱
    • 实验室塑料耗材及用品
    • 电子显微镜
    • 蛋白质生物学
    • PCR
    • RNAi
    • 环境
    • 查看所有应用和技术
  • 服务
    • 定制服务
    • 企业级实验室信息化服务
    • 企业服务
    • 金融&租赁服务
    • 仪器服务
    • OEM和商业供应
    • 培训服务
    • 360° CDMO 和 CRO 服务
    • CDMO 服务
    • 临床试验 CRO 服务
    • 查看所有帮助和支持
  • 帮助和支持
    • 学习中心
    • 联系我们
    • 更改国家或地区
    • 查看所有帮助和支持
  • 热门产品
    • TaqMan Real-Time PCR Assays
      TaqMan 实时荧光定量 PCR 试剂盒
    • Antibodies
      抗体
    • Oligos, Primers & Probes
      寡核苷酸、引物、探针
    • GeneArt Gene Synthesis
      GeneArt 基因合成
    • Cell Culture Plastics
      细胞培养耗材
  • 联系我们
  • 货号直购
  • 订单查询
  • 查找文件&证书
Thermo Fisher Scientific Logo

Search

搜索全部或下列指定分类
Search button
          • 联系我们
          • 货号直购
          • 登录
            登录
            没有账号?建立账号 注册
            • 我的账号
            • 订单
            • 账单及发票查询
            • 定制产品及项目

          Disclaimer

          Clicking the images or links will redirect you to a website hosted by BenchSci that provides third-party scientific content. Neither the content nor the BenchSci technology and processes for selection have been evaluated by us; we are providing them as-is and without warranty of any kind, including for use or application of the Thermo Fisher Scientific products presented.

          • Primary Antibodies ›
          • Tryptophan Hydroxylase Antibodies

          Bioss

          Tryptophan 5-hydroxylase 1, Tryptophan 5-hydroxylase 2 Polyclonal Antibody

          {{$productOrderCtrl.translations['antibody.pdp.commerceCard.promotion.promotions']}}

          {{$productOrderCtrl.translations['antibody.pdp.commerceCard.promotion.viewpromo']}}

          {{$productOrderCtrl.translations['antibody.pdp.commerceCard.promotion.promocode']}}: {{promo.promoCode}} {{promo.promoTitle}} {{promo.promoDescription}}. {{$productOrderCtrl.translations['antibody.pdp.commerceCard.promotion.learnmore']}}

          说明书
          证书
          实验方案
          问题与答案
          技术支持
          说明书
          证书
          实验方案
          问题与答案
          技术支持
          说明书
          证书
          实验方案
          问题与答案
          技术支持

          Cite Tryptophan 5-hydroxylase 1, Tryptophan 5-hydroxylase 2 Polyclonal Antibody

          Additional Information:
          {{banner.description}}
          {{$ctrl.isSkuNotesCollapsed ? 'View more' : 'View less'}}
          • 抗体检测数据 (3)
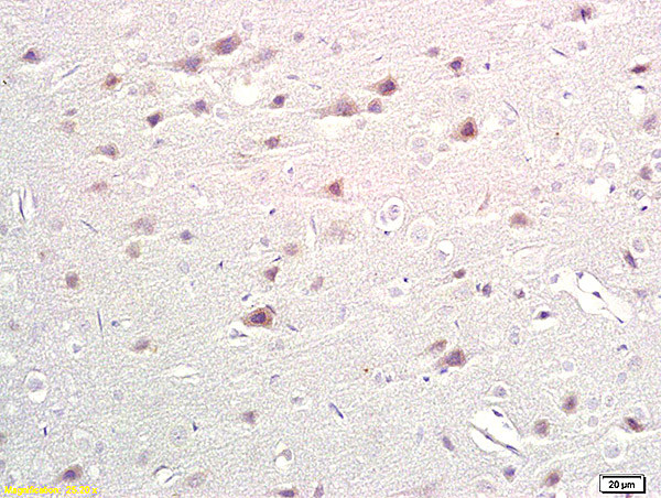
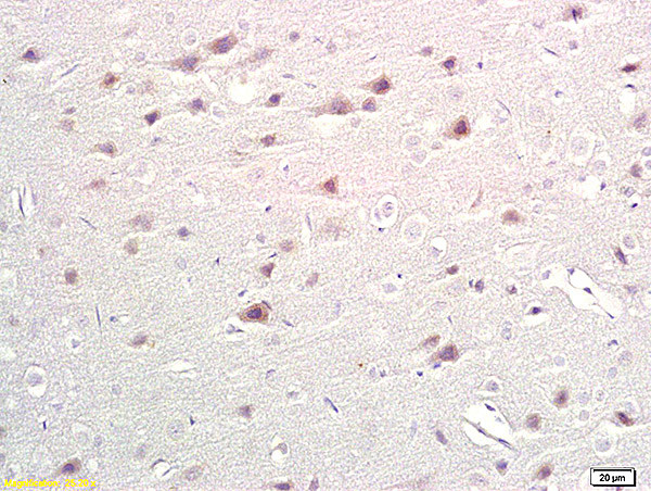
          Tryptophan 5-hydroxylase 1, Tryptophan 5-hydroxylase 2 Antibody in Immunohistochemistry (Paraffin) (IHC (P))
          Group 53 Created with Sketch.
          Tryptophan 5-hydroxylase 1, Tryptophan 5-hydroxylase 2 Antibody in Immunohistochemistry (Paraffin) (IHC (P))
          Group 53 Created with Sketch.

          图: 1 / 3

          {{ $ctrl.currentElement.advancedVerification.fullName }}
          {{ $ctrl.currentElement.advancedVerification.text }}

          Tryptophan 5-hydroxylase 1, Tryptophan 5-hydroxylase 2 Antibody (BS-1215R) in IHC (P)

          Formalin-fixed and paraffin embedded rat brain labeled with Anti-TPH/Trptophan Hydroxylase Polyclonal Antibody, Unconjugated (bs-1215R) at 1:200 followed by conjugation to the secondary antibody and DAB staining. {{ $ctrl.currentElement.advancedVerification.fullName }} 验证信息 View more
          已发表图片由___提供 benchsci-logo
          PMID: {{$ctrl.currentElement.benchSciPubmedId}}
          查看产品

          {{$ctrl.videoDesc}}

          {{$ctrl.videoLongDesc}}

          Tryptophan 5-hydroxylase 1, Tryptophan 5-hydroxylase 2 Antibody in Immunohistochemistry (Paraffin) (IHC (P))
          Tryptophan 5-hydroxylase 1, Tryptophan 5-hydroxylase 2 Antibody in Western Blot (WB)
          Tryptophan 5-hydroxylase 1, Tryptophan 5-hydroxylase 2 Antibody in Western Blot (WB)

          产品信息

          BS-1215R

          应用
          建议稀释比
          已发表文章

          免疫印迹 (WB)

          1:300
          -

          免疫组化(石蜡) (IHC (P))

          1:200
          -

          免疫组化(冰冻) (IHC (F))

          1:100-1:500
          -

          免疫细胞化学 (ICC/IF)

          1:50-1:200
          -

          酶联免疫吸附实验 (ELISA)

          1:500-1:1,000
          -
          产品规格

          种属反应

          Human, Mouse, Rat

          宿主/亚型

          Rabbit / IgG

          分类

          Polyclonal

          类型

          Antibody

          抗原

          KLH conjugated synthetic peptide derived from human Tryptophan 5-hydroxylase 1.

          偶联物

          Unconjugated Unconjugated Unconjugated

          形式

          Liquid

          浓度

          1 mg/mL

          纯化类型

          Protein A

          保存液

          0.01M TBS, pH 7.4, with 50% glycerol, 1% BSA

          内含物

          0.02% ProClin 300

          保存条件

          -20°C

          运输条件

          Ambient (domestic); Wet ice (international)

          靶标信息

          Tryptophan hydroxylase (TPH) catalyzes the 5-hydroxylation of tryptophan, which is the first step in the biosynthesis of indoleamines (serotonin and melatonin) (Martinez et al., 2001). In mammals, serotonin biosynthesis occurs predominantly in neurons which originate in the Raphe nuclei of the brain, and melatonin synthesis takes place within the pineal gland. Although TPH catalyzes the same reaction within the Raphe nuclei and the pineal gland, TPH activity is rate-limiting for serotonin but not melatonin biosynthesis. Serotonin functions mainly as a neurotransmitter, whereas melatonin is the principal hormone secreted by the pineal gland. The activity of TPH is enhanced by phosphorylation by cAMP-dependent protein kinase (PKA) and Ca2+/calmodulin kinase II (CAM K II) (Jiang et al., 2000; Johansen et al., 1996). Both PKA and CAM K II phosphorylate Ser58 which lies within the regulatory domain of TPH (Kuhn et al., 1997).

          仅用于科研。不用于诊断过程。未经明确授权不得转售。

          篇参考文献 (0)

          您是否在文献中引用过该产品?请点击下方按钮邮件告知我们。
          引用该产品

          生物信息学

          蛋白别名: indoleacetic acid-5-hydroxylase; L-tryptophan hydroxylase; MGC119994; Neuronal tryptophan hydroxylase; Tryptophan 5-hydroxylase 1; Tryptophan 5-hydroxylase 2; Tryptophan 5-monooxygenase 1; Tryptophan 5-monooxygenase 2; tryptophan hydroxylase (tryptophan 5-monooxygenase)

          查看更多 收起

          基因别名: ADHD7; AU043594; NTPH; TPH; TPH1; TPH2; TPRH; TRPH

          查看更多 收起

          UniProt ID: (Human) P17752, (Human) Q8IWU9, (Mouse) P17532, (Rat) P09810, (Mouse) Q8CGV2, (Rat) Q8CGU9

          查看更多 收起

          Entrez Gene ID: (Human) 7166, (Human) 121278, (Mouse) 21990, (Rat) 24848, (Mouse) 216343, (Rat) 317675

          查看更多 收起

          功能
          tryptophan 5-monooxygenase activity iron ion binding amino acid binding monooxygenase activity oxidoreductase activity oxidoreductase activity, acting on paired donors, with incorporation or reduction of molecular oxygen, reduced pteridine as one donor, and incorporation of one atom of oxygen metal ion binding molecular_function
          参与通路
          circadian rhythm aromatic amino acid family metabolic process negative regulation of ossification response to immobilization stress serotonin biosynthetic process positive regulation of fat cell differentiation indolalkylamine biosynthetic process bone remodeling oxidation-reduction process mammary gland alveolus development response to activity response to nutrient levels response to estrogen response to glucocorticoid response to calcium ion cellular response to lithium ion serotonin biosynthetic process from tryptophan metabolic process
          It has to be done as per old AB suggested Products section.
          guarantee_icon

          性能保障

          只要您发现Invitrogen抗体在实验中的表现与网站或说明书的所述内容不符,您即可享受免费退换货服务。*

          了解更多
          help_icon

          随时为您服务

          获取常见问题的专家解答,或者直接联系我们的技术专家,咨询应用、设备、常规产品使用问题。

          联系技术支持
          订购 Plus Icon Minus Icon
          • 订单状态查询
          • 订单支持
          • 货号直购
          • 现货供应中心
          • 电子采购
          支持 Plus Icon Minus Icon
          • 帮助&支持
          • 联系我们 - 400 820 8982
          • 技术支持中心
          • 查找文件&证书
          • 报告网站问题
          资源 Plus Icon Minus Icon
          • 学习中心
          • 促销
          • 活动&研讨会
          • 社交媒体
          关于赛默飞 Plus Icon Minus Icon
          • 关于我们
          • 招聘 招聘
          • 投资者关系 投资者关系
          • 新闻 新闻
          • 社会责任 社会责任
          • 商标
          • 政策和通知
          品牌 Plus Icon Minus Icon
          • Thermo Scientific
          • Applied Biosystems
          • Invitrogen
          • Gibco
          • Ion Torrent
          • Patheon
          • PPD
          • 服务条款
          • 隐私政策
          • 定价和运输保险政策
          © 2006-2026 Thermo Fisher Scientific Inc. All rights reserved. All trademarks are the property of Thermo Fisher Scientific and its subsidiaries unless otherwise specified.
          China flag icon
          China
          本网站销售的所有产品均不得用于人类或动物之临床诊断或治疗,仅可用于工业或者科研等非医疗目的。
             电子营业执照 | 经营证照公示 | ICP备案号:沪ICP备11003924号 | 沪公网安备 31011502006935号

          Your items have has been added!


          Host server : magellan-search-blue-55ff9ddd88-qvstf:80/100.66.73.196:80.
          git-commit: d366ff9721d93504b2ac26a183b2b3e3d0e7d9ec
          git-url: https://github.com/thermofisher/magellan-search
          git-branch: release/2.42.0-2026.01.03-1.0