Hamburger Menu Button
Thermo Fisher Scientific Logo
登录
没有账号?建立账号 注册
  • 产品
    • 抗体
    • 引物合成
    • GeneArt Gene Synthesis Instant Designer
    • TaqMan Assay and Array Search
    • PCR 设备和耗材
    • 色谱柱和纯化柱
    • 实验室离心机
    • 分子生物学试剂和试剂盒
    • 实验室塑料耗材及用品
    • 查看所有产品分类
  • 应用和技术
    • 色谱
    • 细胞转染和培养
    • 实时荧光定量PCR
    • 质谱
    • 实验室塑料耗材及用品
    • 电子显微镜
    • 蛋白质生物学
    • PCR
    • RNAi
    • 环境
    • 查看所有应用和技术
  • 服务
    • 定制服务
    • 企业级实验室信息化服务
    • 企业服务
    • 金融&租赁服务
    • 仪器服务
    • OEM和商业供应
    • 培训服务
    • 360° CDMO 和 CRO 服务
    • CDMO 服务
    • 临床试验 CRO 服务
    • 查看所有帮助和支持
  • 帮助和支持
    • 学习中心
    • 联系我们
    • 更改国家或地区
    • 查看所有帮助和支持
  • 热门产品
    • TaqMan Real-Time PCR Assays
      TaqMan 实时荧光定量 PCR 试剂盒
    • Antibodies
      抗体
    • Oligos, Primers & Probes
      寡核苷酸、引物、探针
    • GeneArt Gene Synthesis
      GeneArt 基因合成
    • Cell Culture Plastics
      细胞培养耗材
  • 联系我们
  • 货号直购
  • 订单查询
  • 查找文件&证书
Thermo Fisher Scientific Logo

Search

搜索全部或下列指定分类
Search button
          • 联系我们
          • 货号直购
          • 登录
            登录
            没有账号?建立账号 注册
            • 我的账号
            • 订单
            • 账单及发票查询
            • 定制产品及项目

          Disclaimer

          Clicking the images or links will redirect you to a website hosted by BenchSci that provides third-party scientific content. Neither the content nor the BenchSci technology and processes for selection have been evaluated by us; we are providing them as-is and without warranty of any kind, including for use or application of the Thermo Fisher Scientific products presented.

          • Primary Antibodies ›
          • UBE2D1/2/3/4 Antibodies

          Proteintech

          UBE2D1/2/3/4 Polyclonal Antibody

          1 篇参考文献

          {{$productOrderCtrl.translations['antibody.pdp.commerceCard.promotion.promotions']}}

          {{$productOrderCtrl.translations['antibody.pdp.commerceCard.promotion.viewpromo']}}

          {{$productOrderCtrl.translations['antibody.pdp.commerceCard.promotion.promocode']}}: {{promo.promoCode}} {{promo.promoTitle}} {{promo.promoDescription}}. {{$productOrderCtrl.translations['antibody.pdp.commerceCard.promotion.learnmore']}}

          说明书
          证书
          实验方案
          问题与答案
          技术支持
          说明书
          证书
          实验方案
          问题与答案
          技术支持
          说明书
          证书
          实验方案
          问题与答案
          技术支持

          Cite UBE2D1/2/3/4 Polyclonal Antibody

          • 抗体检测数据 (4)
          UBE2D1/2/3/4 Antibody in Immunohistochemistry (Paraffin) (IHC (P))
          Group 53 Created with Sketch.
          UBE2D1/2/3/4 Antibody in Immunohistochemistry (Paraffin) (IHC (P))
          Group 53 Created with Sketch.

          图: 1 / 4

          {{ $ctrl.currentElement.advancedVerification.fullName }}
          {{ $ctrl.currentElement.advancedVerification.text }}

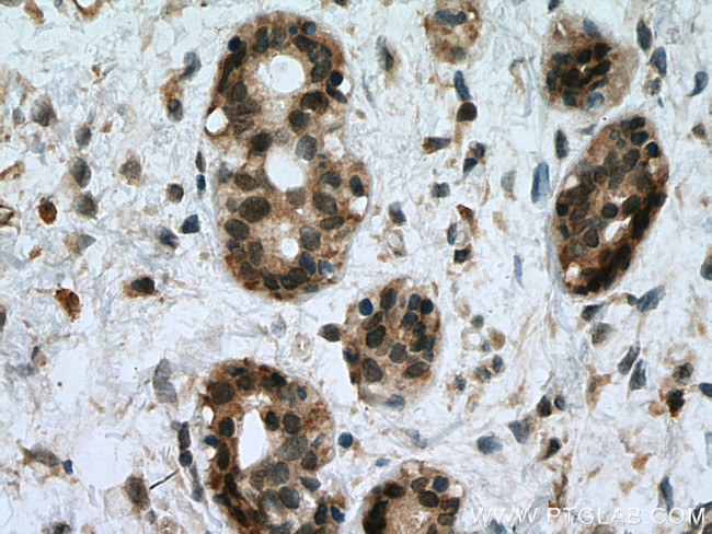
          UBE2D1/2/3/4 Antibody (28328-1-AP) in IHC (P)

          Immunohistochemical analysis of paraffin-embedded human breast cancer tissue slide using 28328-1-AP (UBE2D1/2/3/4 antibody) at dilution of 1:500 (under 40x lens). Heat mediated antigen retrieval with Tris-EDTA buffer (pH 9.0). {{ $ctrl.currentElement.advancedVerification.fullName }} 验证信息 View more
          已发表图片由___提供 benchsci-logo
          PMID: {{$ctrl.currentElement.benchSciPubmedId}}
          查看产品

          {{$ctrl.videoDesc}}

          {{$ctrl.videoLongDesc}}

          UBE2D1/2/3/4 Antibody in Immunohistochemistry (Paraffin) (IHC (P))
          UBE2D1/2/3/4 Antibody in Immunohistochemistry (Paraffin) (IHC (P))
          UBE2D1/2/3/4 Antibody in Western Blot (WB)
          UBE2D1/2/3/4 Antibody in Western Blot (WB)

          产品信息

          28328-1-AP

          应用
          建议稀释比
          已发表文章

          免疫印迹 (WB)

          1:1,000
          查看1篇已发表文章 1篇已发表文章

          免疫组化(石蜡) (IHC (P))

          1:500
          -
          产品规格

          种属反应

          Human, Mouse, Rat

          宿主/亚型

          Rabbit / IgG

          分类

          Polyclonal

          类型

          Antibody

          抗原

          UBE2D2 Fusion Protein Ag28736

          偶联物

          Unconjugated Unconjugated Unconjugated

          形式

          Liquid

          浓度

          333 µg/mL

          纯化类型

          Antigen affinity chromatography

          保存液

          PBS, pH 7.3, with 50% glycerol

          内含物

          0.02% sodium azide

          保存条件

          -20°C

          运输条件

          Wet ice

          产品详细信息

          Aliquoting is unnecessary for -20°C storage.

          靶标信息

          Ubiquitination is a post-translational modification pathway or is part of the specific protein-degradation pathway by the 26S proteasome. Ubiquitination of a target protein involves multistep enzymatic reaction catalyzed by a cascade of enzymes including Ub-activating enzymes (E1s), Ub-conjugating enzymes (E2s) and Ub ligases (E3s) (PMID: 23542885). UBE2D family, which has 4 members named as UBE2D1/2/3/4, is an E2 ubiquitin-conjugating enzyme family in the ubiquitin-proteasome system. This antibody can recognize all the four members of UBE2D due to the high homology.

          仅用于科研。不用于诊断过程。未经明确授权不得转售。

          生物信息学

          蛋白别名: (E3-independent) E2 ubiquitin-conjugating enzyme D1; (E3-independent) E2 ubiquitin-conjugating enzyme D2; (E3-independent) E2 ubiquitin-conjugating enzyme D3; E2 ubiquitin-conjugating enzyme D1; E2 ubiquitin-conjugating enzyme D2; E2 ubiquitin-conjugating enzyme D2B; E2 ubiquitin-conjugating enzyme D3; E2 ubiquitin-conjugating enzyme D4; E2(17)KB 1; E2(17)KB 2; E2(17)KB 2B; E2(17)KB 3; HBUCE1; p53-regulated ubiquitin-conjugating enzyme 1; PAPase; Phosphoarginine phosphatase; PRO2116; SFT; Stimulator of Fe transport; ubc2e ubiquitin conjugating enzyme; UBC4/5 homolog; UbcH5; UBE2D1/UBE2D3/UBE2D3/UBE2D4; Ubiquitin carrier protein D1; Ubiquitin carrier protein D2; Ubiquitin carrier protein D2B; Ubiquitin carrier protein D3; Ubiquitin carrier protein D4; ubiquitin conjugating enzyme E2D 1; ubiquitin conjugating enzyme E2D 2; ubiquitin conjugating enzyme E2D 3; ubiquitin conjugating enzyme E2D 4 (putative); Ubiquitin-conjugating enzyme E2 D1; Ubiquitin-conjugating enzyme E2 D2; Ubiquitin-conjugating enzyme E2 D2B; Ubiquitin-conjugating enzyme E2 D3; Ubiquitin-conjugating enzyme E2 D4; Ubiquitin-conjugating enzyme E2(17)KB 1; Ubiquitin-conjugating enzyme E2(17)KB 2; Ubiquitin-conjugating enzyme E2(17)KB 2B; Ubiquitin-conjugating enzyme E2(17)KB 3; Ubiquitin-conjugating enzyme E2-17 kDa 1; Ubiquitin-conjugating enzyme E2-17 kDa 2; Ubiquitin-conjugating enzyme E2-17 kDa 2B; Ubiquitin-conjugating enzyme E2-17 kDa 3; ubiquitin-conjugating enzyme E2D 1 (UBC4/5 homolog, yeast); ubiquitin-conjugating enzyme E2D 1, UBC4/5 homolog; ubiquitin-conjugating enzyme E2D 2; ubiquitin-conjugating enzyme E2D 2 (homologous to yeast UBC4/5); ubiquitin-conjugating enzyme E2D 2 (UBC4/5 homolog, yeast); ubiquitin-conjugating enzyme E2D 3 (homologous to yeast UBC4/5); ubiquitin-conjugating enzyme E2D 3 (UBC4/5 homolog, yeast); ubiquitin-conjugating enzyme E2D 4 (putative); ubiquitin-conjugating enzyme HBUCE1; Ubiquitin-protein ligase D1; Ubiquitin-protein ligase D2; Ubiquitin-protein ligase D2B; Ubiquitin-protein ligase D3; Ubiquitin-protein ligase D4

          查看更多 收起

          基因别名: 1100001F19Rik; 9430029A22Rik; AA414951; E2(17)KB1; E2(17)KB2; E2(17)KB3; E217kB; HBUCE1; PUBC1; RGD69425; SFT; Ubc2e; UBC4; UBC4/5; UBC5A; UBC5B; UBC5C; UBCH4; UBCH5; UBCH5A; UBCH5B; UBCH5C; UBCH5D; UBE2D1; UBE2D2; Ube2d2b; UBE2D3; UBE2D4

          查看更多 收起

          UniProt ID: (Human) P51668, (Human) P62837, (Human) P61077, (Human) Q9Y2X8, (Mouse) P61080, (Rat) D3ZDK2, (Mouse) P61079, (Rat) P61078, (Rat) P70711

          查看更多 收起

          Entrez Gene ID: (Human) 7321, (Human) 7322, (Human) 7323, (Human) 51619, (Mouse) 216080, (Rat) 361831, (Rat) 641452, (Mouse) 66105, (Rat) 81920, (Rat) 79435

          查看更多 收起

          功能
          ubiquitin-protein transferase activity protein binding ATP binding ubiquitin conjugating enzyme activity nucleotide binding ligase activity molecular_function ubiquitin-protein ligase
          参与通路
          negative regulation of transcription from RNA polymerase II promoter protein polyubiquitination stimulatory C-type lectin receptor signaling pathway ubiquitin-dependent protein catabolic process BMP signaling pathway anaphase-promoting complex-dependent catabolic process positive regulation of protein ubiquitination TRIF-dependent toll-like receptor signaling pathway Fc-epsilon receptor signaling pathway protein ubiquitination involved in ubiquitin-dependent protein catabolic process proteasome-mediated ubiquitin-dependent protein catabolic process T cell receptor signaling pathway negative regulation of ubiquitin-protein ligase activity involved in mitotic cell cycle positive regulation of ubiquitin-protein ligase activity involved in regulation of mitotic cell cycle transition regulation of ubiquitin-protein ligase activity involved in mitotic cell cycle regulation of transcription from RNA polymerase II promoter in response to hypoxia protein K48-linked ubiquitination cellular protein modification process protein ubiquitination protein autoubiquitination DNA repair protein monoubiquitination apoptotic process protein K11-linked ubiquitination positive regulation of protein targeting to mitochondrion protein K29-linked ubiquitination protein K27-linked ubiquitination protein K63-linked ubiquitination protein K6-linked ubiquitination metabolic process cellular response to DNA damage stimulus biological_process
          It has to be done as per old AB suggested Products section.
          guarantee_icon

          性能保障

          只要您发现Invitrogen抗体在实验中的表现与网站或说明书的所述内容不符,您即可享受免费退换货服务。*

          了解更多
          help_icon

          随时为您服务

          获取常见问题的专家解答,或者直接联系我们的技术专家,咨询应用、设备、常规产品使用问题。

          联系技术支持
          订购 Plus Icon Minus Icon
          • 订单状态查询
          • 订单支持
          • 货号直购
          • 现货供应中心
          • 电子采购
          支持 Plus Icon Minus Icon
          • 帮助&支持
          • 联系我们 - 400 820 8982
          • 技术支持中心
          • 查找文件&证书
          • 报告网站问题
          资源 Plus Icon Minus Icon
          • 学习中心
          • 促销
          • 活动&研讨会
          • 社交媒体
          关于赛默飞 Plus Icon Minus Icon
          • 关于我们
          • 招聘 招聘
          • 投资者关系 投资者关系
          • 新闻 新闻
          • 社会责任 社会责任
          • 商标
          • 政策和通知
          品牌 Plus Icon Minus Icon
          • Thermo Scientific
          • Applied Biosystems
          • Invitrogen
          • Gibco
          • Ion Torrent
          • Patheon
          • PPD
          • 服务条款
          • 隐私政策
          • 定价和运输保险政策
          © 2006-2026 Thermo Fisher Scientific Inc. All rights reserved. All trademarks are the property of Thermo Fisher Scientific and its subsidiaries unless otherwise specified.
          China flag icon
          China
          本网站销售的所有产品均不得用于人类或动物之临床诊断或治疗,仅可用于工业或者科研等非医疗目的。
             电子营业执照 | 经营证照公示 | ICP备案号:沪ICP备11003924号 | 沪公网安备 31011502006935号

          Your items have has been added!


          Host server : magellan-search-blue-55ff9ddd88-wkmnr:80/100.66.75.107:80.
          git-commit: d366ff9721d93504b2ac26a183b2b3e3d0e7d9ec
          git-url: https://github.com/thermofisher/magellan-search
          git-branch: release/2.42.0-2026.01.03-1.0