Hamburger Menu Button
Thermo Fisher Scientific Logo
登录
没有账号?建立账号 注册
  • 产品
    • 抗体
    • 引物合成
    • GeneArt Gene Synthesis Instant Designer
    • TaqMan Assay and Array Search
    • PCR 设备和耗材
    • 色谱柱和纯化柱
    • 实验室离心机
    • 分子生物学试剂和试剂盒
    • 实验室塑料耗材及用品
    • 查看所有产品分类
  • 应用和技术
    • 色谱
    • 细胞转染和培养
    • 实时荧光定量PCR
    • 质谱
    • 实验室塑料耗材及用品
    • 电子显微镜
    • 蛋白质生物学
    • PCR
    • RNAi
    • 环境
    • 查看所有应用和技术
  • 服务
    • 定制服务
    • 企业级实验室信息化服务
    • 金融&租赁服务
    • 仪器服务
    • OEM和商业供应
    • 培训服务
    • 360° CDMO 和 CRO 服务
    • CDMO 服务
    • 临床试验 CRO 服务
    • Unity Lab Services
    • 查看所有帮助和支持
  • 帮助和支持
    • 学习中心
    • 联系我们
    • 更改国家或地区
    • 查看所有帮助和支持
  • 热门产品
    • TaqMan Real-Time PCR Assays
      TaqMan 实时荧光定量 PCR 试剂盒
    • Antibodies
      抗体
    • Oligos, Primers & Probes
      寡核苷酸、引物、探针
    • GeneArt Gene Synthesis
      GeneArt 基因合成
    • Cell Culture Plastics
      细胞培养耗材
  • Who We Serve
    • 抗体治疗解决方案
    • 细胞与基因治疗解决方案
    • 学术科研
    • 工业与应用
  • 联系我们
  • 货号直购
  • 订单查询
  • 查找文件&证书
Thermo Fisher Scientific Logo

Search

搜索全部或下列指定分类
Search button
          • 联系我们
          • 货号直购
          • 登录
            登录
            没有账号?建立账号 注册
            • 我的账号
            • 订单
            • 会员中心
            • 账单及发票查询
            • 定制产品及项目
          • Primary Antibodies ›
          • USP13 Antibodies

          Proteintech

          USP13 Polyclonal Antibody

          20 篇参考文献
          查看其他16个USP13抗体

          {{$productOrderCtrl.translations['antibody.pdp.commerceCard.promotion.promotions']}}

          {{$productOrderCtrl.translations['antibody.pdp.commerceCard.promotion.viewpromo']}}

          {{$productOrderCtrl.translations['antibody.pdp.commerceCard.promotion.promocode']}}: {{promo.promoCode}} {{promo.promoTitle}} {{promo.promoDescription}}. {{$productOrderCtrl.translations['antibody.pdp.commerceCard.promotion.learnmore']}}

          说明书
          证书
          实验方案
          问题与答案
          技术支持
          说明书
          证书
          实验方案
          问题与答案
          技术支持
          说明书
          证书
          实验方案
          问题与答案
          技术支持

          Cite USP13 Polyclonal Antibody

          Additional Information:
          {{banner.description}}
          {{$ctrl.isSkuNotesCollapsed ? 'View more' : 'View less'}}
          • 抗体检测数据 (26)
          USP13 Antibody in Immunocytochemistry (ICC/IF)
          Group 53 Created with Sketch.
          USP13 Antibody in Immunocytochemistry (ICC/IF)
          Group 53 Created with Sketch.

          图: 1 / 26

          {{ $ctrl.currentElement.advancedVerification.fullName }}
          {{ $ctrl.currentElement.advancedVerification.text }}

          USP13 Antibody (16840-1-AP) in ICC/IF

          Immunofluorescent analysis of (-20°C Ethanol) fixed HeLa cells using (Product # 16840-1-AP) (USP13 antibody) at dilution of 1:50 and Alexa Fluor 488-Conjugated AffiniPure Goat Anti-Rabbit IgG(H+L). {{ $ctrl.currentElement.advancedVerification.fullName }} 验证信息 View more
          已发表图片由___提供 benchsci-logo
          PMID: {{$ctrl.currentElement.benchSciPubmedId}}
          查看产品

          {{$ctrl.videoDesc}}

          {{$ctrl.videoLongDesc}}

          USP13 Antibody in Immunocytochemistry (ICC/IF)
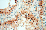
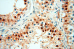
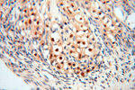
          USP13 Antibody in Immunohistochemistry (Paraffin) (IHC (P))
          USP13 Antibody in Immunohistochemistry (Paraffin) (IHC (P))
          USP13 Antibody in Immunohistochemistry (Paraffin) (IHC (P))
          USP13 Antibody in Immunohistochemistry (Paraffin) (IHC (P))
          USP13 Antibody in Immunohistochemistry (Paraffin) (IHC (P))
          USP13 Antibody in Immunohistochemistry (Paraffin) (IHC (P))
          USP13 Antibody in Immunohistochemistry (Paraffin) (IHC (P))
          USP13 Antibody in Immunohistochemistry (Paraffin) (IHC (P))
          USP13 Antibody in Immunohistochemistry (Paraffin) (IHC (P))
          USP13 Antibody in Immunohistochemistry (Paraffin) (IHC (P))
          USP13 Antibody in Immunohistochemistry (Paraffin) (IHC (P))
          USP13 Antibody in Immunohistochemistry (Paraffin) (IHC (P))
          USP13 Antibody in Immunohistochemistry (Paraffin) (IHC (P))
          USP13 Antibody in Immunohistochemistry (Paraffin) (IHC (P))
          USP13 Antibody in Western Blot (WB)
          USP13 Antibody in Western Blot (WB)
          USP13 Antibody in Western Blot (WB)
          USP13 Antibody in Western Blot (WB)
          USP13 Antibody in Western Blot (WB)
          USP13 Antibody in Western Blot (WB)
          USP13 Antibody in Western Blot (WB)
          USP13 Antibody in Western Blot (WB)
          USP13 Antibody in Western Blot (WB)
          USP13 Antibody in Western Blot (WB)
          USP13 Antibody in Immunoprecipitation (IP)
          USP13 Polyclonal Antibody

          产品信息

          16840-1-AP

          应用
          建议稀释比
          已发表文章

          免疫印迹 (WB)

          1:500-1:3,000
          查看13篇已发表文章 13篇已发表文章

          免疫组化 (IHC)

          -
          查看3篇已发表文章 3篇已发表文章

          免疫组化(石蜡) (IHC (P))

          1:20-1:200
          -

          免疫细胞化学 (ICC/IF)

          1:50
          查看2篇已发表文章 2篇已发表文章

          免疫沉淀 (IP)

          0.5-4.0 µg
          查看2篇已发表文章 2篇已发表文章
          产品规格

          种属反应

          Human, Mouse, Rat

          已发表种属

          Human, Mouse, Rat

          宿主/亚型

          Rabbit / IgG

          分类

          Polyclonal

          类型

          Antibody

          抗原

          USP13 Fusion Protein Ag10527 (515-863 aa encoded by BC016146)
          3D表位/免疫原

          偶联物

          Unconjugated Unconjugated Unconjugated

          形式

          Liquid

          浓度

          0.31 mg/mL

          规格

          46.5 µg

          纯化类型

          Antigen affinity chromatography

          保存液

          PBS, pH 7.3, with 50% glycerol

          内含物

          0.02% sodium azide

          保存条件

          -20°C

          运输条件

          Wet ice (domestic); Dry ice (international)

          产品详细信息

          Immunogen sequence: IAYELTRRE AEANRRPLPE LVRAKIPFSA CLQAFSEPEN VDDFWSSALQ AKSAGVKTSR FASFPEYLVV QIKKFTFGLD WVPKKFDVSI DMPDLLDINH LRARGLQPGE EELPDISPPI VIPDDSKDRL MNQLIDPSDI DESSVMQLAE MGFPLEACRK AVYFTGNMGA EVAFNWIIVH MEEPDFAEPL TMPGYGGAAS AGASVFGASG LDNQPPEEIV AIITSMGFQR NQAIQALRAT NNNLERALDW IFSHPEFEED SDFVIEMENN ANANIISEAK PEGPRVKDGS GTYELFAFIS HMGTSTMSGH YICHIKKEGR WVIYNDHKVC ASERPPKDLG YMYFYRRIPS (515-863 aa encoded by BC016146)

          靶标信息

          Deubiquitinase that mediates deubiquitination of target proteins such as BECN1, MITF, SKP2 and USP10 and is involved in various processes such as autophagy and endoplasmic reticulum-associated degradation (ERAD). Component of a regulatory loop that controls autophagy and p53/TP53 levels: mediates deubiquitination of BECN1, a key regulator of autophagy, leading to stabilize the PIK3C3/VPS34-containing complexes. Also deubiquitinates USP10, an essential regulator of p53/TP53 stability. In turn, PIK3C3/VPS34-containing complexes regulate USP13 stability, suggesting the existence of a regulatory system by which PIK3C3/VPS34-containing complexes regulate p53/TP53 protein levels via USP10 and USP13. Recruited by nuclear UFD1 and mediates deubiquitination of SKP2, thereby regulating endoplasmic reticulum-associated degradation (ERAD). Also regulates ERAD through the deubiquitination of UBL4A a component of the BAG6/BAT3 complex. Mediates stabilization of SIAH2 independently of deubiquitinase activity: binds ubiquitinated SIAH2 and acts by impairing SIAH2 autoubiquitination. Has a weak deubiquitinase activity in vitro and preferentially cleaves 'Lys-63'-linked polyubiquitin chains. In contrast to USP5, it is not able to mediate unanchored polyubiquitin disassembly. Able to cleave ISG15 in vitro; however, additional experiments are required to confirm such data. [UniProt]

          仅用于科研。不用于诊断过程。未经明确授权不得转售。

          生物信息学

          蛋白别名: Deubiquitinating enzyme 13; Isopeptidase T-3; ISOT-3; Ubiquitin carboxyl-terminal hydrolase 13; ubiquitin specific peptidase 13 (isopeptidase T-3); ubiquitin specific protease 13 (isopeptidase T-3); Ubiquitin thioesterase 13; ubiquitin thiolesterase 13; Ubiquitin-specific-processing protease 13; unnamed protein product

          查看更多 收起

          基因别名: 2700071E21Rik; AI848077; IsoT-3; ISOT3; USP13

          查看更多 收起

          UniProt ID: (Human) Q92995, (Mouse) Q5BKP2

          查看更多 收起

          Entrez Gene ID: (Human) 8975, (Mouse) 72607, (Rat) 310306

          查看更多 收起

          功能
          cysteine-type endopeptidase activity thiol-dependent ubiquitin-specific protease activity protein binding peptidase activity cysteine-type peptidase activity zinc ion binding hydrolase activity ubiquitin protein ligase binding ubiquitin binding ubiquitin-like protein ligase binding metal ion binding chaperone binding proteasome binding BAT3 complex binding Lys48-specific deubiquitinase activity omega peptidase activity thiol-dependent ubiquitinyl hydrolase activity cysteine protease
          参与通路
          regulation of transcription, DNA-templated proteolysis autophagy cell proliferation regulation of autophagy protein deubiquitination melanocyte differentiation regulation of protein stability protein K29-linked deubiquitination maintenance of unfolded protein protein K6-linked deubiquitination protein stabilization protein K63-linked deubiquitination positive regulation of proteasomal protein catabolic process positive regulation of ERAD pathway ubiquitin-dependent protein catabolic process proteasome-mediated ubiquitin-dependent protein catabolic process regulation of proteasomal protein catabolic process
          It has to be done as per old AB suggested Products section.

          Disclaimer

          Close

          Clicking the images or links will redirect you to a website hosted by BenchSci that provides third-party scientific content. Neither the content nor the BenchSci technology and processes for selection have been evaluated by us; we are providing them as-is and without warranty of any kind, including for use or application of the Thermo Fisher Scientific products presented.

          guarantee_icon

          性能保障

          只要您发现Invitrogen抗体在实验中的表现与网站或说明书的所述内容不符,您即可享受免费退换货服务。*

          了解更多
          help_icon

          随时为您服务

          获取常见问题的专家解答,或者直接联系我们的技术专家,咨询应用、设备、常规产品使用问题。

          联系技术支持
          订购 Plus Icon Minus Icon
          • 订单状态查询
          • 订单支持
          • 货号直购
          • 现货供应中心
          • 电子采购
          支持 Plus Icon Minus Icon
          • 帮助&支持
          • 联系我们 - 400 820 8982
          • 技术支持中心
          • 查找文件&证书
          • 报告网站问题
          资源 Plus Icon Minus Icon
          • 学习中心
          • 促销
          • 活动&研讨会
          • 社交媒体
          关于赛默飞 Plus Icon Minus Icon
          • 关于我们
          • 招聘 招聘
          • 投资者关系 投资者关系
          • 新闻 新闻
          • 社会责任 社会责任
          • 商标
          • 政策和通知
          品牌 Plus Icon Minus Icon
          • Thermo Scientific
          • Applied Biosystems
          • Invitrogen
          • Gibco
          • Ion Torrent
          • Unity Lab Services
          • Patheon
          • PPD
          • 服务条款
          • 隐私政策
          • 定价和运输保险政策
          © 2006-2026 Thermo Fisher Scientific Inc. All rights reserved. All trademarks are the property of Thermo Fisher Scientific and its subsidiaries unless otherwise specified.
          China flag icon
          China
          本网站销售的所有产品均不得用于人类或动物之临床诊断或治疗,仅可用于工业或者科研等非医疗目的。
             电子营业执照 | 经营证照公示 | ICP备案号:沪ICP备11003924号 | 沪公网安备 31011502006935号

          Your items have has been added!


          Host server : magellan-search-blue-7c59b9b899-49tpj:80/100.66.77.222:80.
          git-commit: 8ef7cf686e3c81d28b13492708ce56d167b2f995
          git-url: https://github.com/thermofisher/magellan-search
          git-branch: release/2.49.0-Offline