Hamburger Menu Button
Thermo Fisher Scientific Logo
登录
没有账号?建立账号 注册
  • 产品
    • 抗体
    • 引物合成
    • GeneArt Gene Synthesis Instant Designer
    • TaqMan Assay and Array Search
    • PCR 设备和耗材
    • 色谱柱和纯化柱
    • 实验室离心机
    • 分子生物学试剂和试剂盒
    • 实验室塑料耗材及用品
    • 查看所有产品分类
  • 应用和技术
    • 色谱
    • 细胞转染和培养
    • 实时荧光定量PCR
    • 质谱
    • 实验室塑料耗材及用品
    • 电子显微镜
    • 蛋白质生物学
    • PCR
    • RNAi
    • 环境
    • 查看所有应用和技术
  • 服务
    • 定制服务
    • 企业级实验室信息化服务
    • 金融&租赁服务
    • 仪器服务
    • OEM和商业供应
    • 培训服务
    • 360° CDMO 和 CRO 服务
    • CDMO 服务
    • 临床试验 CRO 服务
    • Unity Lab Services
    • 查看所有帮助和支持
  • 帮助和支持
    • 学习中心
    • 联系我们
    • 更改国家或地区
    • 查看所有帮助和支持
  • 热门产品
    • TaqMan Real-Time PCR Assays
      TaqMan 实时荧光定量 PCR 试剂盒
    • Antibodies
      抗体
    • Oligos, Primers & Probes
      寡核苷酸、引物、探针
    • GeneArt Gene Synthesis
      GeneArt 基因合成
    • Cell Culture Plastics
      细胞培养耗材
  • Who We Serve
    • 抗体治疗解决方案
    • 细胞与基因治疗解决方案
    • 学术科研
    • 工业与应用
  • 联系我们
  • 货号直购
  • 订单查询
  • 查找文件&证书
Thermo Fisher Scientific Logo

Search

搜索全部或下列指定分类
Search button
          • 联系我们
          • 货号直购
          • 登录
            登录
            没有账号?建立账号 注册
            • 我的账号
            • 订单
            • 会员中心
            • 账单及发票查询
            • 定制产品及项目
          • Primary Antibodies ›
          • VCP Antibodies

          Bethyl Laboratories

          VCP Polyclonal Antibody

          查看其他34个VCP抗体

          {{$productOrderCtrl.translations['antibody.pdp.commerceCard.promotion.promotions']}}

          {{$productOrderCtrl.translations['antibody.pdp.commerceCard.promotion.viewpromo']}}

          {{$productOrderCtrl.translations['antibody.pdp.commerceCard.promotion.promocode']}}: {{promo.promoCode}} {{promo.promoTitle}} {{promo.promoDescription}}. {{$productOrderCtrl.translations['antibody.pdp.commerceCard.promotion.learnmore']}}

          说明书
          证书
          实验方案
          问题与答案
          技术支持
          说明书
          证书
          实验方案
          问题与答案
          技术支持
          说明书
          证书
          实验方案
          问题与答案
          技术支持

          Cite VCP Polyclonal Antibody

          Additional Information:
          {{banner.description}}
          {{$ctrl.isSkuNotesCollapsed ? 'View more' : 'View less'}}
          • 抗体检测数据 (3)
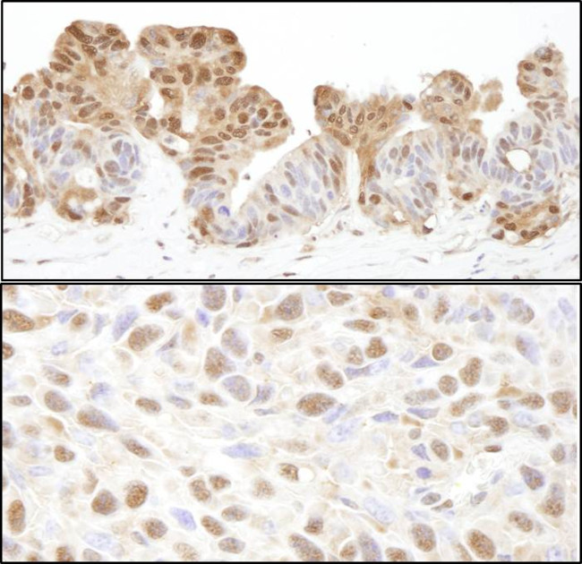
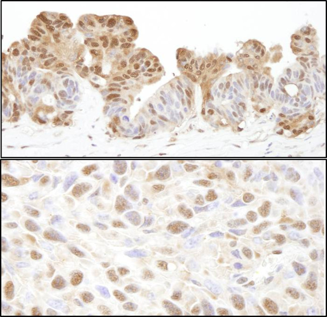
          VCP Antibody in Immunohistochemistry (Paraffin) (IHC (P))
          Group 53 Created with Sketch.
          VCP Antibody in Immunohistochemistry (Paraffin) (IHC (P))
          Group 53 Created with Sketch.

          图: 1 / 3

          {{ $ctrl.currentElement.advancedVerification.fullName }}
          {{ $ctrl.currentElement.advancedVerification.text }}

          VCP Antibody (A300-588A) in IHC (P)

          Detection of human and mouse VCP by immunohistochemistry. Sample: FFPE sections of human ovarian carcinoma (upper) and mouse squamous cell carcinoma (lower). Antibody: Affinity purified rabbit anti-VCP (Product # A300-588A) (Lot 1) used at a dilution of 1:200 (1 µg/mL). Detection: DAB. {{ $ctrl.currentElement.advancedVerification.fullName }} 验证信息 View more
          已发表图片由___提供 benchsci-logo
          PMID: {{$ctrl.currentElement.benchSciPubmedId}}
          查看产品

          {{$ctrl.videoDesc}}

          {{$ctrl.videoLongDesc}}

          VCP Antibody in Immunohistochemistry (Paraffin) (IHC (P))
          VCP Antibody in Western Blot (WB)
          VCP Antibody in Immunoprecipitation (IP)
          VCP Polyclonal Antibody

          产品信息

          A300-588A

          应用
          建议稀释比
          已发表文章

          免疫印迹 (WB)

          1:2,000-1:10,000
          -

          免疫组化 (IHC)

          1:200-1:1,000
          -

          免疫组化(石蜡) (IHC (P))

          1:200-1:1,000
          -

          免疫沉淀 (IP)

          1-5 µg/mg lysate
          -
          产品规格

          种属反应

          Human, Mouse

          宿主/亚型

          Rabbit / IgG

          分类

          Polyclonal

          类型

          Antibody

          抗原

          Region between residues 1 and 50 of Human Valosin-Containing Protein.
          3D表位/免疫原

          偶联物

          Unconjugated Unconjugated Unconjugated

          形式

          Liquid

          浓度

          0.20 mg/mL

          规格

          20 µg

          纯化类型

          Antigen affinity chromatography

          保存液

          TBS, pH 7.0 to 8.0, with 0.1% BSA

          内含物

          0.09% sodium azide

          保存条件

          4°C

          运输条件

          Ambient (domestic); Wet ice (international)

          产品详细信息

          The recommended shelf life for this product is 1 year from date of receipt.

          Application Note: For IHC, epitope retrieval with citrate buffer pH 6.0 is recommended for FFPE tissue sections.

          Based on 100% sequence identity, this antibody is predicted to react with Rat, Zebrafish, Bovine and Pig

          靶标信息

          The protein encoded by this gene is a member of a family that includes putative ATP-binding proteins involved in vesicle transport and fusion, 26S proteasome function, and assembly of peroxisomes. This protein, as a structural protein, is associated with clathrin, and heat-shock protein Hsc70, to form a complex. It has been implicated in a number of cellular events that are regulated during mitosis, including homotypic membrane fusion, spindle pole body function, and ubiquitin-dependent protein degradation.

          仅用于科研。不用于诊断过程。未经明确授权不得转售。

          篇参考文献 (0)

          您是否在文献中引用过该产品?请点击下方按钮邮件告知我们。
          引用该产品

          生物信息学

          蛋白别名: 15S Mg(2+)-ATPase p97 subunit; AAA ATPase p97; homolog of yeast cdc48; Inv protein; or HEL-S-70; p97 atpase; TER ATPase; Transitional endoplasmic reticulum ATPase; unnamed protein product; Valosin-containing protein; VCP

          查看更多 收起

          基因别名: 3110001E05; CDC48; FTDALS6; HEL-220; HEL-S-70; p97; p97/VCP; TERA; VCP

          查看更多 收起

          UniProt ID: (Human) P55072, (Mouse) Q01853

          查看更多 收起

          Entrez Gene ID: (Human) 7415, (Mouse) 269523

          查看更多 收起

          功能
          nucleotide binding RNA binding protein binding ATP binding lipid binding hydrolase activity ATPase activity protein phosphatase binding protein domain specific binding polyubiquitin binding ubiquitin protein ligase binding deubiquitinase activator activity K48-linked polyubiquitin binding MHC class I protein binding identical protein binding ADP binding ubiquitin-like protein ligase binding macromolecular complex binding ubiquitin-dependent protein binding BAT3 complex binding ubiquitin-specific protease binding receptor binding protein complex binding poly(A) RNA binding
          参与通路
          DNA repair double-strand break repair ubiquitin-dependent protein catabolic process transport ER to Golgi vesicle-mediated transport activation of cysteine-type endopeptidase activity involved in apoptotic process cellular response to DNA damage stimulus protein ubiquitination protein N-linked glycosylation via asparagine viral genome replication translesion synthesis ER-associated ubiquitin-dependent protein catabolic process retrograde protein transport, ER to cytosol positive regulation of protein complex assembly positive regulation of proteasomal ubiquitin-dependent protein catabolic process protein hexamerization positive regulation of protein catabolic process protein homooligomerization aggresome assembly ER-associated misfolded protein catabolic process positive regulation of protein K63-linked deubiquitination positive regulation of Lys63-specific deubiquitinase activity autophagy I-kappaB kinase/NF-kappaB signaling proteasomal protein catabolic process positive regulation of mitochondrial membrane potential macroautophagy NAD metabolic process endoplasmic reticulum unfolded protein response endosome to lysosome transport via multivesicular body sorting pathway cellular response to heat negative regulation of hippo signaling stress granule disassembly interstrand cross-link repair ERAD pathway regulation of apoptotic process proteasome-mediated ubiquitin-dependent protein catabolic process establishment of protein localization negative regulation of smoothened signaling pathway ATP metabolic process regulation of synapse organization mitotic spindle disassembly endoplasmic reticulum stress-induced pre-emptive quality control cellular response to misfolded protein flavin adenine dinucleotide catabolic process positive regulation of canonical Wnt signaling pathway autophagosome maturation protein-DNA covalent cross-linking repair negative regulation of protein localization to chromatin cytoplasm protein quality control positive regulation of NIK/NF-kappaB signaling regulation of aerobic respiration cellular response to arsenite ion positive regulation of oxidative phosphorylation regulation of protein localization to chromatin positive regulation of protein ubiquitination involved in ubiquitin-dependent protein catabolic process positive regulation of ATP biosynthetic process
          It has to be done as per old AB suggested Products section.

          Disclaimer

          Close

          Clicking the images or links will redirect you to a website hosted by BenchSci that provides third-party scientific content. Neither the content nor the BenchSci technology and processes for selection have been evaluated by us; we are providing them as-is and without warranty of any kind, including for use or application of the Thermo Fisher Scientific products presented.

          guarantee_icon

          性能保障

          只要您发现Invitrogen抗体在实验中的表现与网站或说明书的所述内容不符,您即可享受免费退换货服务。*

          了解更多
          help_icon

          随时为您服务

          获取常见问题的专家解答,或者直接联系我们的技术专家,咨询应用、设备、常规产品使用问题。

          联系技术支持
          订购 Plus Icon Minus Icon
          • 订单状态查询
          • 订单支持
          • 货号直购
          • 现货供应中心
          • 电子采购
          支持 Plus Icon Minus Icon
          • 帮助&支持
          • 联系我们 - 400 820 8982
          • 技术支持中心
          • 查找文件&证书
          • 报告网站问题
          资源 Plus Icon Minus Icon
          • 学习中心
          • 促销
          • 活动&研讨会
          • 社交媒体
          关于赛默飞 Plus Icon Minus Icon
          • 关于我们
          • 招聘 招聘
          • 投资者关系 投资者关系
          • 新闻 新闻
          • 社会责任 社会责任
          • 商标
          • 政策和通知
          品牌 Plus Icon Minus Icon
          • Thermo Scientific
          • Applied Biosystems
          • Invitrogen
          • Gibco
          • Ion Torrent
          • Unity Lab Services
          • Patheon
          • PPD
          • 服务条款
          • 隐私政策
          • 定价和运输保险政策
          © 2006-2026 Thermo Fisher Scientific Inc. All rights reserved. All trademarks are the property of Thermo Fisher Scientific and its subsidiaries unless otherwise specified.
          China flag icon
          China
          本网站销售的所有产品均不得用于人类或动物之临床诊断或治疗,仅可用于工业或者科研等非医疗目的。
             电子营业执照 | 经营证照公示 | ICP备案号:沪ICP备11003924号 | 沪公网安备 31011502006935号

          Your items have has been added!


          Host server : magellan-search-blue-7c59b9b899-4kcjf:80/100.66.78.36:80.
          git-commit: 8ef7cf686e3c81d28b13492708ce56d167b2f995
          git-url: https://github.com/thermofisher/magellan-search
          git-branch: release/2.49.0-Offline