Hamburger Menu Button
Thermo Fisher Scientific Logo
登录
没有账号?建立账号 注册
  • 产品
    • 抗体
    • 引物合成
    • GeneArt Gene Synthesis Instant Designer
    • TaqMan Assay and Array Search
    • PCR 设备和耗材
    • 色谱柱和纯化柱
    • 实验室离心机
    • 分子生物学试剂和试剂盒
    • 实验室塑料耗材及用品
    • 查看所有产品分类
  • 应用和技术
    • 色谱
    • 细胞转染和培养
    • 实时荧光定量PCR
    • 质谱
    • 实验室塑料耗材及用品
    • 电子显微镜
    • 蛋白质生物学
    • PCR
    • RNAi
    • 环境
    • 查看所有应用和技术
  • 服务
    • 定制服务
    • 企业级实验室信息化服务
    • 企业服务
    • 金融&租赁服务
    • 仪器服务
    • OEM和商业供应
    • 培训服务
    • 360° CDMO 和 CRO 服务
    • CDMO 服务
    • 临床试验 CRO 服务
    • 查看所有帮助和支持
  • 帮助和支持
    • 学习中心
    • 联系我们
    • 更改国家或地区
    • 查看所有帮助和支持
  • 热门产品
    • TaqMan Real-Time PCR Assays
      TaqMan 实时荧光定量 PCR 试剂盒
    • Antibodies
      抗体
    • Oligos, Primers & Probes
      寡核苷酸、引物、探针
    • GeneArt Gene Synthesis
      GeneArt 基因合成
    • Cell Culture Plastics
      细胞培养耗材
  • 联系我们
  • 货号直购
  • 订单查询
  • 查找文件&证书
Thermo Fisher Scientific Logo

Search

搜索全部或下列指定分类
Search button
          • 联系我们
          • 货号直购
          • 登录
            登录
            没有账号?建立账号 注册
            • 我的账号
            • 订单
            • 账单及发票查询
            • 定制产品及项目

          Disclaimer

          Clicking the images or links will redirect you to a website hosted by BenchSci that provides third-party scientific content. Neither the content nor the BenchSci technology and processes for selection have been evaluated by us; we are providing them as-is and without warranty of any kind, including for use or application of the Thermo Fisher Scientific products presented.

          • Primary Antibodies ›
          • VCP Antibodies
          Validated with Transparency. Independently tested through the YCharOS Open Science Initiative.

          Invitrogen

          VCP Recombinant Rabbit Monoclonal Antibody (JM11-15)

          高级验证
          查看其他30个VCP抗体

          {{$productOrderCtrl.translations['antibody.pdp.commerceCard.promotion.promotions']}}

          {{$productOrderCtrl.translations['antibody.pdp.commerceCard.promotion.viewpromo']}}

          {{$productOrderCtrl.translations['antibody.pdp.commerceCard.promotion.promocode']}}: {{promo.promoCode}} {{promo.promoTitle}} {{promo.promoDescription}}. {{$productOrderCtrl.translations['antibody.pdp.commerceCard.promotion.learnmore']}}

          说明书
          证书
          实验方案
          问题与答案
          技术支持
          说明书
          证书
          实验方案
          问题与答案
          技术支持
          说明书
          证书
          实验方案
          问题与答案
          技术支持

          Cite VCP Recombinant Rabbit Monoclonal Antibody (JM11-15)

          • 抗体检测数据 (14)
          • 高级验证 (1)
          VCP Antibody in Immunocytochemistry (ICC/IF)
          Group 53 Created with Sketch.
          VCP Antibody in Immunocytochemistry (ICC/IF)
          Group 53 Created with Sketch.

          图: 1 / 15

          {{ $ctrl.currentElement.advancedVerification.fullName }}
          {{ $ctrl.currentElement.advancedVerification.text }}

          VCP Antibody (MA5-32612) in ICC/IF

          Immunocytochemical analysis of VCP in SW480 cells using a VCP Monoclonal antibody (Product # MA5-32612) as seen in red. The nuclear counter stain is DAPI (blue). Cells were fixed in paraformaldehyde, permeabilised with 0.25% Triton X100/PBS. {{ $ctrl.currentElement.advancedVerification.fullName }} 验证信息 View more
          已发表图片由___提供 benchsci-logo
          PMID: {{$ctrl.currentElement.benchSciPubmedId}}
          查看产品

          {{$ctrl.videoDesc}}

          {{$ctrl.videoLongDesc}}

          VCP Antibody in Immunocytochemistry (ICC/IF)
          VCP Antibody in Immunocytochemistry (ICC/IF)
          VCP Antibody in Immunocytochemistry (ICC/IF)
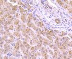
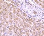
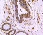
          VCP Antibody in Immunohistochemistry (Paraffin) (IHC (P))
          VCP Antibody in Immunohistochemistry (Paraffin) (IHC (P))
          VCP Antibody in Immunohistochemistry (Paraffin) (IHC (P))
          VCP Antibody in Immunohistochemistry (Paraffin) (IHC (P))
          VCP Antibody in Immunohistochemistry (Paraffin) (IHC (P))
          VCP Antibody in Immunohistochemistry (Paraffin) (IHC (P))
          VCP Antibody in Western Blot (WB)
          VCP Antibody in Western Blot (WB)
          VCP Antibody in Western Blot (WB)
          VCP Antibody in Flow Cytometry (Flow)
          VCP Antibody in Immunoprecipitation (IP)
          VCP Antibody
          VCP Recombinant Rabbit Monoclonal Antibody (JM11-15)

          产品信息

          MA5-32612

          应用
          建议稀释比
          已发表文章

          免疫印迹 (WB)

          1:1,000-1:5,000
          -

          免疫组化(石蜡) (IHC (P))

          1:50-1:200
          -

          免疫细胞化学 (ICC/IF)

          1:100
          -

          流式细胞分析 (Flow)

          1:1,000
          -

          免疫沉淀 (IP)

          Assay-dependent
          -
          产品规格

          种属反应

          Human, Mouse, Rat, Zebrafish

          宿主/亚型

          Rabbit / IgG

          Expression System

          HEK293 cells

          分类

          Recombinant Monoclonal

          类型

          Antibody

          克隆号

          JM11-15

          抗原

          Synthetic peptide within Human VCP aa 1-48.
          查看免疫原

          偶联物

          Unconjugated Unconjugated Unconjugated

          形式

          Liquid

          浓度

          1 mg/mL

          纯化类型

          Protein A

          保存液

          TBS, pH 7.4, with 40% Glycerol, 0.05% BSA

          内含物

          0.05% sodium azide

          保存条件

          Store at 4°C short term. For long term storage, store at -20°C, avoiding freeze/thaw cycles.

          运输条件

          Ambient (domestic); Wet ice (international)

          RRID

          AB_2809889

          产品详细信息

          Recombinant rabbit monoclonal antibodies are produced using in vitro expression systems. The expression systems are developed by cloning in the specific antibody DNA sequences from immunoreactive rabbits. Then, individual clones are screened to select the best candidates for production. The advantages of using recombinant rabbit monoclonal antibodies include: better specificity and sensitivity, lot-to-lot consistency, animal origin-free formulations, and broader immunoreactivity to diverse targets due to larger rabbit immune repertoire.

          靶标信息

          The protein encoded by this gene is a member of a family that includes putative ATP-binding proteins involved in vesicle transport and fusion, 26S proteasome function, and assembly of peroxisomes. This protein, as a structural protein, is associated with clathrin, and heat-shock protein Hsc70, to form a complex. It has been implicated in a number of cellular events that are regulated during mitosis, including homotypic membrane fusion, spindle pole body function, and ubiquitin-dependent protein degradation.

          仅用于科研。不用于诊断过程。未经明确授权不得转售。

          篇参考文献 (0)

          您是否在文献中引用过该产品?请点击下方按钮邮件告知我们。
          引用该产品

          生物信息学

          蛋白别名: 15S Mg(2+)-ATPase p97 subunit; AAA ATPase p97; epididymis luminal protein 220; epididymis secretory protein Li 70; homolog of yeast cdc48; Inv protein; or HEL-S-70; p97 atpase; Protein CDC48; TER ATPase; Transitional endoplasmic reticulum ATPase; Valosin-containing protein; VCP; yeast Cdc48p homolog

          查看更多 收起

          基因别名: 3110001E05; ALS14; CDC48; CMT2Y; HEL-220; HEL-S-70; IBMPFD; IBMPFD1; p97; p97/VCP; si:ch211-113n10.2; TERA; VCP; wu:fd16d05; wu:fj63d11

          查看更多 收起

          UniProt ID: (Human) P55072, (Mouse) Q01853, (Rat) P46462, (Zebrafish) Q7ZU99

          查看更多 收起

          Entrez Gene ID: (Human) 7415, (Mouse) 269523, (Rat) 116643, (Zebrafish) 327197

          查看更多 收起

          功能
          protein binding ATP binding lipid binding ATPase activity protein phosphatase binding protein domain specific binding polyubiquitin binding ubiquitin protein ligase binding deubiquitinase activator activity K48-linked polyubiquitin binding MHC class I protein binding identical protein binding ADP binding ubiquitin-like protein ligase binding poly(A) RNA binding BAT3 complex binding ubiquitin-specific protease binding nucleotide binding receptor binding hydrolase activity protein complex binding
          参与通路
          DNA repair double-strand break repair ubiquitin-dependent protein catabolic process transport ER to Golgi vesicle-mediated transport activation of cysteine-type endopeptidase activity involved in apoptotic process cellular response to DNA damage stimulus protein ubiquitination protein N-linked glycosylation via asparagine viral genome replication translesion synthesis ER-associated ubiquitin-dependent protein catabolic process retrograde protein transport, ER to cytosol positive regulation of protein complex assembly positive regulation of proteasomal ubiquitin-dependent protein catabolic process protein hexamerization positive regulation of protein catabolic process protein homooligomerization aggresome assembly ER-associated misfolded protein catabolic process positive regulation of protein K63-linked deubiquitination positive regulation of Lys63-specific deubiquitinase activity autophagy cell cycle locomotory behavior regulation of autophagy macroautophagy regulation of proteasomal ubiquitin-dependent protein catabolic process endosome to lysosome transport via multivesicular body sorting pathway chordate embryonic development mitotic spindle disassembly autophagosome maturation regulation of protein ubiquitination involved in ubiquitin-dependent protein catabolic process NADH metabolic process positive regulation of mitochondrial membrane potential endoplasmic reticulum unfolded protein response ERAD pathway regulation of apoptotic process proteasome-mediated ubiquitin-dependent protein catabolic process establishment of protein localization ATP metabolic process error-free translesion synthesis flavin adenine dinucleotide catabolic process regulation of aerobic respiration positive regulation of oxidative phosphorylation positive regulation of ubiquitin-specific protease activity positive regulation of ATP biosynthetic process
          It has to be done as per old AB suggested Products section.
          guarantee_icon

          性能保障

          只要您发现Invitrogen抗体在实验中的表现与网站或说明书的所述内容不符,您即可享受免费退换货服务。*

          了解更多
          help_icon

          随时为您服务

          获取常见问题的专家解答,或者直接联系我们的技术专家,咨询应用、设备、常规产品使用问题。

          联系技术支持
          订购 Plus Icon Minus Icon
          • 订单状态查询
          • 订单支持
          • 货号直购
          • 现货供应中心
          • 电子采购
          支持 Plus Icon Minus Icon
          • 帮助&支持
          • 联系我们 - 400 820 8982
          • 技术支持中心
          • 查找文件&证书
          • 报告网站问题
          资源 Plus Icon Minus Icon
          • 学习中心
          • 促销
          • 活动&研讨会
          • 社交媒体
          关于赛默飞 Plus Icon Minus Icon
          • 关于我们
          • 招聘 招聘
          • 投资者关系 投资者关系
          • 新闻 新闻
          • 社会责任 社会责任
          • 商标
          • 政策和通知
          品牌 Plus Icon Minus Icon
          • Thermo Scientific
          • Applied Biosystems
          • Invitrogen
          • Gibco
          • Ion Torrent
          • Patheon
          • PPD
          • 服务条款
          • 隐私政策
          • 定价和运输保险政策
          © 2006-2026 Thermo Fisher Scientific Inc. All rights reserved. All trademarks are the property of Thermo Fisher Scientific and its subsidiaries unless otherwise specified.
          China flag icon
          China
          本网站销售的所有产品均不得用于人类或动物之临床诊断或治疗,仅可用于工业或者科研等非医疗目的。
             电子营业执照 | 经营证照公示 | ICP备案号:沪ICP备11003924号 | 沪公网安备 31011502006935号

          Your items have has been added!


          Host server : magellan-search-blue-55ff9ddd88-lffdw:80/100.66.79.31:80.
          git-commit: d366ff9721d93504b2ac26a183b2b3e3d0e7d9ec
          git-url: https://github.com/thermofisher/magellan-search
          git-branch: release/2.42.0-2026.01.03-1.0