Hamburger Menu Button
Thermo Fisher Scientific Logo
登录
没有账号?建立账号 注册
  • 产品
    • 抗体
    • 引物合成
    • GeneArt Gene Synthesis Instant Designer
    • TaqMan Assay and Array Search
    • PCR 设备和耗材
    • 色谱柱和纯化柱
    • 实验室离心机
    • 分子生物学试剂和试剂盒
    • 实验室塑料耗材及用品
    • 查看所有产品分类
  • 应用和技术
    • 色谱
    • 细胞转染和培养
    • 实时荧光定量PCR
    • 质谱
    • 实验室塑料耗材及用品
    • 电子显微镜
    • 蛋白质生物学
    • PCR
    • RNAi
    • 环境
    • 查看所有应用和技术
  • 服务
    • 定制服务
    • 企业级实验室信息化服务
    • 金融&租赁服务
    • 仪器服务
    • OEM和商业供应
    • 培训服务
    • 360° CDMO 和 CRO 服务
    • CDMO 服务
    • 临床试验 CRO 服务
    • Unity Lab Services
    • 查看所有帮助和支持
  • 帮助和支持
    • 学习中心
    • 联系我们
    • 更改国家或地区
    • 查看所有帮助和支持
  • 热门产品
    • TaqMan Real-Time PCR Assays
      TaqMan 实时荧光定量 PCR 试剂盒
    • Antibodies
      抗体
    • Oligos, Primers & Probes
      寡核苷酸、引物、探针
    • GeneArt Gene Synthesis
      GeneArt 基因合成
    • Cell Culture Plastics
      细胞培养耗材
  • Who We Serve
    • 抗体治疗解决方案
    • 细胞与基因治疗解决方案
    • 学术科研
    • 工业与应用
  • 联系我们
  • 货号直购
  • 订单查询
  • 查找文件&证书
Thermo Fisher Scientific Logo

Search

搜索全部或下列指定分类
Search button
          • 联系我们
          • 货号直购
          • 登录
            登录
            没有账号?建立账号 注册
            • 我的账号
            • 订单
            • 会员中心
            • 账单及发票查询
            • 定制产品及项目
          • Primary Antibodies ›
          • WNT1 Antibodies

          Invitrogen

          WNT1 Polyclonal Antibody

          查看其他12个WNT1抗体

          {{$productOrderCtrl.translations['antibody.pdp.commerceCard.promotion.promotions']}}

          {{$productOrderCtrl.translations['antibody.pdp.commerceCard.promotion.viewpromo']}}

          {{$productOrderCtrl.translations['antibody.pdp.commerceCard.promotion.promocode']}}: {{promo.promoCode}} {{promo.promoTitle}} {{promo.promoDescription}}. {{$productOrderCtrl.translations['antibody.pdp.commerceCard.promotion.learnmore']}}

          说明书
          证书
          实验方案
          问题与答案
          技术支持
          说明书
          证书
          实验方案
          问题与答案
          技术支持
          说明书
          证书
          实验方案
          问题与答案
          技术支持

          Cite WNT1 Polyclonal Antibody

          Additional Information:
          {{banner.description}}
          {{$ctrl.isSkuNotesCollapsed ? 'View more' : 'View less'}}
          • 抗体检测数据 (2)
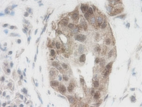
          WNT1 Antibody in Immunohistochemistry (Paraffin) (IHC (P))
          Group 53 Created with Sketch.
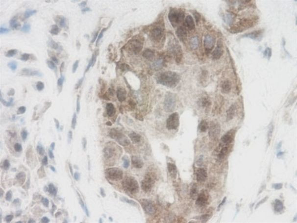
          WNT1 Antibody in Immunohistochemistry (Paraffin) (IHC (P))
          Group 53 Created with Sketch.

          图: 1 / 2

          {{ $ctrl.currentElement.advancedVerification.fullName }}
          {{ $ctrl.currentElement.advancedVerification.text }}

          WNT1 Antibody (PA1-84986) in IHC (P)

          Immunohistochemical staining of formalin-fixed, paraffin-embedded human breast invasive ductal carcinoma using a Wnt1 polyclonal antibody (Product # PA1-84986) following heat mediated antigen retrieval using sodium citrate buffer (pH6.0) {{ $ctrl.currentElement.advancedVerification.fullName }} 验证信息 View more
          已发表图片由___提供 benchsci-logo
          PMID: {{$ctrl.currentElement.benchSciPubmedId}}
          查看产品

          {{$ctrl.videoDesc}}

          {{$ctrl.videoLongDesc}}

          WNT1 Antibody in Immunohistochemistry (Paraffin) (IHC (P))
          WNT1 Antibody in Immunohistochemistry (Paraffin) (IHC (P))

          产品信息

          PA1-84986

          应用
          建议稀释比
          已发表文章

          免疫印迹 (WB)

          0.1-0.2 µg/mL
          -

          免疫组化(石蜡) (IHC (P))

          Assay-dependent
          -

          酶联免疫吸附实验 (ELISA)

          0.5-2.0 µg/mL
          -
          产品规格

          种属反应

          Human

          宿主/亚型

          Rabbit / IgG

          分类

          Polyclonal

          类型

          Antibody

          抗原

          Recombinant human Wnt-1

          偶联物

          Unconjugated Unconjugated Unconjugated

          形式

          Lyophilized

          浓度

          1 mg/mL

          规格

          100 µg

          纯化类型

          Affinity chromatography

          保存液

          PBS

          内含物

          no preservative

          保存条件

          -20°C

          运输条件

          Ambient (domestic); Wet ice (international)

          RRID

          AB_2241751

          产品详细信息

          Heat-mediated antigen retrieval using a sodium citrate buffer (pH 6.0) is recommended for the staining of paraffin sections.

          Reconstitute with 0.1 mL of distilled water. For long term storage the addition of 0.09% sodium azide is recommended. Prior to reconstitution, store at 4°C. After reconstitution, store undiluted at -20°C, avoiding freeze/thaw cycles.

          Rabbit anti Human WNT-1 antibody recognizes Wnt-1, formerly known as int-1, a 343 amino acid non-glycosylated secreted protein associated with the extracellular matrix, involved in normal embryonic development and particularly linked with breast cancer.

          靶标信息

          Wnt proteins constitute a family of secreted glyocoproteins that activate signal transduction pathways to mediate tissue homeostasis, cell fate, cell proliferation, and self-renewal. The canonical signaling pathway is initiated upon Wnt binding to a Frizzled family receptor and an LRP5/LRP6 coreceptor, which leads to activation of the beta-catenin cascade. Non-canonical Wnt signals are activated by binding to a Frizzled family receptor and ROR2 coreceptor. Extensive research has shown that deregulation of these pathways or its components can lead to cancer. Human Wnt-1 is encoded as a 370 amino acid precursor that, upon secretion, is cleaved into a 343 amino acid (42 kDa) mature form. At the amino acid level, mature human Wnt-1 is approximately 99% identical to mature mouse Wnt-1. Depending on the tissue, Wnt-1 can activate the canonical and non-canonical signaling pathways. Studies have demonstrated its involvement in a variety of functions, including embryonic development and carcinogenesis. Wnt-1 signaling can also induce the phosphorylation and subsequent degradation of c-Myb.

          仅用于科研。不用于诊断过程。未经明确授权不得转售。

          篇参考文献 (0)

          您是否在文献中引用过该产品?请点击下方按钮邮件告知我们。
          引用该产品

          生物信息学

          蛋白别名: Proto-oncogene Int-1 homolog; Proto-oncogene Wnt-1; wingless-type MMTV integration site family member 1; wingless-type MMTV integration site family, member 1 (oncogene INT1)

          查看更多 收起

          基因别名: BMND16; INT1; OI15; WNT1

          查看更多 收起

          UniProt ID: (Human) P04628

          查看更多 收起

          Entrez Gene ID: (Human) 7471

          查看更多 收起

          功能
          receptor binding frizzled binding cytokine activity morphogen activity protein domain specific binding receptor agonist activity
          参与通路
          embryonic axis specification branching involved in ureteric bud morphogenesis cell-cell signaling myoblast fusion cell proliferation positive regulation of cell proliferation response to wounding positive regulation of lamellipodium assembly negative regulation of cell-substrate adhesion myotube differentiation Wnt signaling pathway spinal cord association neuron differentiation diencephalon development cerebellum development central nervous system morphogenesis cerebellum formation forebrain anterior/posterior pattern specification midbrain-hindbrain boundary maturation during brain development neurogenesis metencephalon development negative regulation of cell-cell adhesion neuron differentiation negative regulation of transforming growth factor beta receptor signaling pathway negative regulation of BMP signaling pathway midbrain development midbrain-hindbrain boundary development organ regeneration T cell differentiation in thymus cell proliferation in midbrain astrocyte-dopaminergic neuron signaling inner ear morphogenesis signal transduction in response to DNA damage negative regulation of apoptotic process positive regulation of insulin-like growth factor receptor signaling pathway cell fate commitment fat cell differentiation negative regulation of cell differentiation negative regulation of fat cell differentiation positive regulation of Notch signaling pathway positive regulation of transcription, DNA-templated positive regulation of transcription from RNA polymerase II promoter positive regulation of fibroblast proliferation neuron fate commitment neuron fate determination Spemann organizer formation canonical Wnt signaling pathway bone development positive regulation of dermatome development hepatocyte differentiation cellular response to peptide hormone stimulus hematopoietic stem cell proliferation dopaminergic neuron differentiation positive regulation of hematopoietic stem cell proliferation negative regulation of oxidative stress-induced neuron intrinsic apoptotic signaling pathway midbrain dopaminergic neuron differentiation embryonic brain development negative regulation of protein ubiquitination involved in ubiquitin-dependent protein catabolic process negative regulation of cellular senescence
          It has to be done as per old AB suggested Products section.

          Disclaimer

          Close

          Clicking the images or links will redirect you to a website hosted by BenchSci that provides third-party scientific content. Neither the content nor the BenchSci technology and processes for selection have been evaluated by us; we are providing them as-is and without warranty of any kind, including for use or application of the Thermo Fisher Scientific products presented.

          guarantee_icon

          性能保障

          只要您发现Invitrogen抗体在实验中的表现与网站或说明书的所述内容不符,您即可享受免费退换货服务。*

          了解更多
          help_icon

          随时为您服务

          获取常见问题的专家解答,或者直接联系我们的技术专家,咨询应用、设备、常规产品使用问题。

          联系技术支持
          订购 Plus Icon Minus Icon
          • 订单状态查询
          • 订单支持
          • 货号直购
          • 现货供应中心
          • 电子采购
          支持 Plus Icon Minus Icon
          • 帮助&支持
          • 联系我们 - 400 820 8982
          • 技术支持中心
          • 查找文件&证书
          • 报告网站问题
          资源 Plus Icon Minus Icon
          • 学习中心
          • 促销
          • 活动&研讨会
          • 社交媒体
          关于赛默飞 Plus Icon Minus Icon
          • 关于我们
          • 招聘 招聘
          • 投资者关系 投资者关系
          • 新闻 新闻
          • 社会责任 社会责任
          • 商标
          • 政策和通知
          品牌 Plus Icon Minus Icon
          • Thermo Scientific
          • Applied Biosystems
          • Invitrogen
          • Gibco
          • Ion Torrent
          • Unity Lab Services
          • Patheon
          • PPD
          • 服务条款
          • 隐私政策
          • 定价和运输保险政策
          © 2006-2026 Thermo Fisher Scientific Inc. All rights reserved. All trademarks are the property of Thermo Fisher Scientific and its subsidiaries unless otherwise specified.
          China flag icon
          China
          本网站销售的所有产品均不得用于人类或动物之临床诊断或治疗,仅可用于工业或者科研等非医疗目的。
             电子营业执照 | 经营证照公示 | ICP备案号:沪ICP备11003924号 | 沪公网安备 31011502006935号

          Your items have has been added!


          Host server : magellan-search-green-6479c7f679-sz4vp:80/100.66.76.236:80.
          git-commit: b70c0dceb888abc3b0dcebb5bc3a5b8753e7e816
          git-url: https://github.com/thermofisher/magellan-search
          git-branch: release/2.50.0-Offline