Hamburger Menu Button
Thermo Fisher Scientific Logo
登录
没有账号?建立账号 注册
  • 产品
    • 抗体
    • 引物合成
    • GeneArt Gene Synthesis Instant Designer
    • TaqMan Assay and Array Search
    • PCR 设备和耗材
    • 色谱柱和纯化柱
    • 实验室离心机
    • 分子生物学试剂和试剂盒
    • 实验室塑料耗材及用品
    • 查看所有产品分类
  • 应用和技术
    • 色谱
    • 细胞转染和培养
    • 实时荧光定量PCR
    • 质谱
    • 实验室塑料耗材及用品
    • 电子显微镜
    • 蛋白质生物学
    • PCR
    • RNAi
    • 环境
    • 查看所有应用和技术
  • 服务
    • 定制服务
    • 企业级实验室信息化服务
    • 金融&租赁服务
    • 仪器服务
    • OEM和商业供应
    • 培训服务
    • 360° CDMO 和 CRO 服务
    • CDMO 服务
    • 临床试验 CRO 服务
    • Unity Lab Services
    • 查看所有帮助和支持
  • 帮助和支持
    • 学习中心
    • 联系我们
    • 更改国家或地区
    • 查看所有帮助和支持
  • 热门产品
    • TaqMan Real-Time PCR Assays
      TaqMan 实时荧光定量 PCR 试剂盒
    • Antibodies
      抗体
    • Oligos, Primers & Probes
      寡核苷酸、引物、探针
    • GeneArt Gene Synthesis
      GeneArt 基因合成
    • Cell Culture Plastics
      细胞培养耗材
  • Who We Serve
    • 抗体治疗解决方案
    • 细胞与基因治疗解决方案
    • 学术科研
    • 工业与应用
  • 联系我们
  • 货号直购
  • 订单查询
  • 查找文件&证书
Thermo Fisher Scientific Logo

Search

搜索全部或下列指定分类
Search button
          • 联系我们
          • 货号直购
          • 登录
            登录
            没有账号?建立账号 注册
            • 我的账号
            • 订单
            • 会员中心
            • 账单及发票查询
            • 定制产品及项目
          • Primary Antibodies ›
          • WNT3A Antibodies

          Invitrogen

          WNT3A Monoclonal Antibody (1E6G4)

          查看其他14个WNT3A抗体

          {{$productOrderCtrl.translations['antibody.pdp.commerceCard.promotion.promotions']}}

          {{$productOrderCtrl.translations['antibody.pdp.commerceCard.promotion.viewpromo']}}

          {{$productOrderCtrl.translations['antibody.pdp.commerceCard.promotion.promocode']}}: {{promo.promoCode}} {{promo.promoTitle}} {{promo.promoDescription}}. {{$productOrderCtrl.translations['antibody.pdp.commerceCard.promotion.learnmore']}}

          说明书
          证书
          实验方案
          问题与答案
          技术支持
          说明书
          证书
          实验方案
          问题与答案
          技术支持
          说明书
          证书
          实验方案
          问题与答案
          技术支持

          Cite WNT3A Monoclonal Antibody (1E6G4)

          Additional Information:
          {{banner.description}}
          {{$ctrl.isSkuNotesCollapsed ? 'View more' : 'View less'}}
          • 抗体检测数据 (8)
          WNT3A Antibody in Immunocytochemistry (ICC/IF)
          Group 53 Created with Sketch.
          WNT3A Antibody in Immunocytochemistry (ICC/IF)
          Group 53 Created with Sketch.

          图: 1 / 8

          {{ $ctrl.currentElement.advancedVerification.fullName }}
          {{ $ctrl.currentElement.advancedVerification.text }}

          WNT3A Antibody (MA5-31954) in ICC/IF

          Immunocytochemistry analysis of WNT3A in HeLa cells (green). Sample was incubated with WNT3A monoclonal antibody (Product # MA5-31954) using a dilution of 1:200-1:1000 followed by DRAQ5 fluorescent DNA dye (blue), and Alexa Fluor- 555 phalloidin (red labeled actin filaments) . {{ $ctrl.currentElement.advancedVerification.fullName }} 验证信息 View more
          已发表图片由___提供 benchsci-logo
          PMID: {{$ctrl.currentElement.benchSciPubmedId}}
          查看产品

          {{$ctrl.videoDesc}}

          {{$ctrl.videoLongDesc}}

          WNT3A Antibody in Immunocytochemistry (ICC/IF)
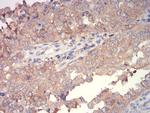
          WNT3A Antibody in Immunohistochemistry (Paraffin) (IHC (P))
          WNT3A Antibody in Immunohistochemistry (Paraffin) (IHC (P))
          WNT3A Antibody in Western Blot (WB)
          WNT3A Antibody in Western Blot (WB)
          WNT3A Antibody in Western Blot (WB)
          WNT3A Antibody in Flow Cytometry (Flow)
          WNT3A Antibody in ELISA (ELISA)
          WNT3A Monoclonal Antibody (1E6G4)

          产品信息

          MA5-31954

          应用
          建议稀释比
          已发表文章

          免疫印迹 (WB)

          1:500-1:2,000
          -

          免疫组化(石蜡) (IHC (P))

          1:200-1:1,000
          -

          免疫细胞化学 (ICC/IF)

          1:200-1:1,000
          -

          流式细胞分析 (Flow)

          1:200-1:400
          -

          酶联免疫吸附实验 (ELISA)

          1:10,000
          -
          产品规格

          种属反应

          Human

          宿主/亚型

          Mouse / IgG2b

          分类

          Monoclonal

          类型

          Antibody

          克隆号

          1E6G4

          抗原

          Purified recombinant fragment of human WNT3A (AA: 170-352) expressed in E. coli.
          3D表位/免疫原

          偶联物

          Unconjugated Unconjugated Unconjugated

          形式

          Liquid

          浓度

          1 mg/mL

          规格

          100 µg

          纯化类型

          Protein G

          保存液

          PBS

          内含物

          0.05% sodium azide

          保存条件

          Store at 4°C short term. For long term storage, store at -20°C, avoiding freeze/thaw cycles.

          运输条件

          Ambient (domestic); Wet ice (international)

          RRID

          AB_2787577

          产品详细信息

          MA5-31954 has been tested in indirect ELISA.

          靶标信息

          Wnt3a, part of the WNT gene family, consists of structurally related genes that encode secreted signaling proteins. These proteins have been implicated in oncogenesis and in several developmental processes, including regulation of cell fate and patterning during embryogenesis. This gene is a member of the WNT gene family. Study of its expression in the teratocarcinoma cell line NT2 suggests that it may be implicated in the early process of neuronal differentiation of NT2 cells induced by retinoic acid. This gene is clustered with WNT3, another family member, in the chromosome 17q21 region.

          仅用于科研。不用于诊断过程。未经明确授权不得转售。

          篇参考文献 (0)

          您是否在文献中引用过该产品?请点击下方按钮邮件告知我们。
          引用该产品

          生物信息学

          蛋白别名: MGC119418; MGC119419; MGC119420; Protein Wnt-3a; unnamed protein product; wingless-type MMTV integration site family, member 3A; Wnt 3a; WNT3A protein

          查看更多 收起

          基因别名: WNT3A

          查看更多 收起

          UniProt ID: (Human) P56704

          查看更多 收起

          Entrez Gene ID: (Human) 89780

          查看更多 收起

          功能
          transcription coactivator activity receptor binding frizzled binding cytokine activity protein binding protein domain specific binding co-receptor binding identical protein binding receptor agonist activity
          参与通路
          osteoblast differentiation in utero embryonic development somitogenesis positive regulation of cytokine production heart looping positive regulation of receptor internalization transcription from RNA polymerase II promoter determination of left/right symmetry axonogenesis axon guidance mesoderm development heart development protein localization positive regulation of cell proliferation anterior/posterior pattern specification COP9 signalosome assembly regulation of gene expression positive regulation of gene expression negative regulation of neuron projection development Wnt signaling pathway spinal cord association neuron differentiation hippocampus development cell proliferation in forebrain Wnt signaling pathway involved in forebrain neuroblast division dorsal/ventral neural tube patterning neurogenesis hemopoiesis platelet activation neuron differentiation extracellular matrix organization mammary gland development positive regulation of B cell proliferation midbrain development cell proliferation in midbrain non-canonical Wnt signaling pathway skeletal muscle cell differentiation post-anal tail morphogenesis synaptic vesicle recycling B cell proliferation inner ear morphogenesis cell fate commitment fat cell differentiation myoblast differentiation regulation of cell differentiation negative regulation of fat cell differentiation positive regulation of transcription, DNA-templated positive regulation of transcription from RNA polymerase II promoter somatic stem cell division positive regulation of mesodermal cell fate specification paraxial mesodermal cell fate commitment animal organ development positive regulation of skeletal muscle tissue development positive regulation of collateral sprouting in absence of injury negative regulation of axon extension involved in axon guidance negative regulation of neurogenesis regulation of axonogenesis modulation of synaptic transmission regulation of synapse organization canonical Wnt signaling pathway cardiac muscle cell fate commitment positive regulation of dermatome development secondary palate development regulation of microtubule cytoskeleton organization platelet aggregation cellular response to retinoic acid axis elongation involved in somitogenesis positive regulation of canonical Wnt signaling pathway calcium ion transmembrane transport via low voltage-gated calcium channel presynapse assembly positive regulation of protein localization to plasma membrane negative regulation of dopaminergic neuron differentiation midbrain dopaminergic neuron differentiation regulation of postsynapse to nucleus signaling pathway regulation of presynapse assembly positive regulation of cell-cell adhesion mediated by cadherin positive regulation of neural precursor cell proliferation positive regulation of hepatocyte proliferation positive regulation of cardiac muscle cell differentiation regulation of RNA biosynthetic process
          It has to be done as per old AB suggested Products section.

          Disclaimer

          Close

          Clicking the images or links will redirect you to a website hosted by BenchSci that provides third-party scientific content. Neither the content nor the BenchSci technology and processes for selection have been evaluated by us; we are providing them as-is and without warranty of any kind, including for use or application of the Thermo Fisher Scientific products presented.

          guarantee_icon

          性能保障

          只要您发现Invitrogen抗体在实验中的表现与网站或说明书的所述内容不符,您即可享受免费退换货服务。*

          了解更多
          help_icon

          随时为您服务

          获取常见问题的专家解答,或者直接联系我们的技术专家,咨询应用、设备、常规产品使用问题。

          联系技术支持
          订购 Plus Icon Minus Icon
          • 订单状态查询
          • 订单支持
          • 货号直购
          • 现货供应中心
          • 电子采购
          支持 Plus Icon Minus Icon
          • 帮助&支持
          • 联系我们 - 400 820 8982
          • 技术支持中心
          • 查找文件&证书
          • 报告网站问题
          资源 Plus Icon Minus Icon
          • 学习中心
          • 促销
          • 活动&研讨会
          • 社交媒体
          关于赛默飞 Plus Icon Minus Icon
          • 关于我们
          • 招聘 招聘
          • 投资者关系 投资者关系
          • 新闻 新闻
          • 社会责任 社会责任
          • 商标
          • 政策和通知
          品牌 Plus Icon Minus Icon
          • Thermo Scientific
          • Applied Biosystems
          • Invitrogen
          • Gibco
          • Ion Torrent
          • Unity Lab Services
          • Patheon
          • PPD
          • 服务条款
          • 隐私政策
          • 定价和运输保险政策
          © 2006-2026 Thermo Fisher Scientific Inc. All rights reserved. All trademarks are the property of Thermo Fisher Scientific and its subsidiaries unless otherwise specified.
          China flag icon
          China
          本网站销售的所有产品均不得用于人类或动物之临床诊断或治疗,仅可用于工业或者科研等非医疗目的。
             电子营业执照 | 经营证照公示 | ICP备案号:沪ICP备11003924号 | 沪公网安备 31011502006935号

          Your items have has been added!


          Host server : magellan-search-green-6479c7f679-jmhj8:80/100.66.74.142:80.
          git-commit: b70c0dceb888abc3b0dcebb5bc3a5b8753e7e816
          git-url: https://github.com/thermofisher/magellan-search
          git-branch: release/2.50.0-Offline