Hamburger Menu Button
Thermo Fisher Scientific Logo
登录
没有账号?建立账号 注册
  • 产品
    • 抗体
    • 引物合成
    • GeneArt Gene Synthesis Instant Designer
    • TaqMan Assay and Array Search
    • PCR 设备和耗材
    • 色谱柱和纯化柱
    • 实验室离心机
    • 分子生物学试剂和试剂盒
    • 实验室塑料耗材及用品
    • 查看所有产品分类
  • 应用和技术
    • 色谱
    • 细胞转染和培养
    • 实时荧光定量PCR
    • 质谱
    • 实验室塑料耗材及用品
    • 电子显微镜
    • 蛋白质生物学
    • PCR
    • RNAi
    • 环境
    • 查看所有应用和技术
  • 服务
    • 定制服务
    • 企业级实验室信息化服务
    • 金融&租赁服务
    • 仪器服务
    • OEM和商业供应
    • 培训服务
    • 360° CDMO 和 CRO 服务
    • CDMO 服务
    • 临床试验 CRO 服务
    • Unity Lab Services
    • 查看所有帮助和支持
  • 帮助和支持
    • 学习中心
    • 联系我们
    • 更改国家或地区
    • 查看所有帮助和支持
  • 热门产品
    • TaqMan Real-Time PCR Assays
      TaqMan 实时荧光定量 PCR 试剂盒
    • Antibodies
      抗体
    • Oligos, Primers & Probes
      寡核苷酸、引物、探针
    • GeneArt Gene Synthesis
      GeneArt 基因合成
    • Cell Culture Plastics
      细胞培养耗材
  • Who We Serve
    • 抗体治疗解决方案
    • 细胞与基因治疗解决方案
    • 学术科研
    • 工业与应用
  • 联系我们
  • 货号直购
  • 订单查询
  • 查找文件&证书
Thermo Fisher Scientific Logo

Search

搜索全部或下列指定分类
Search button
          • 联系我们
          • 货号直购
          • 登录
            登录
            没有账号?建立账号 注册
            • 我的账号
            • 订单
            • 会员中心
            • 账单及发票查询
            • 定制产品及项目
          • Primary Antibodies ›
          • WNT5A Antibodies

          Invitrogen

          WNT5A Monoclonal Antibody (3D10)

          1 篇参考文献
          查看其他23个WNT5A抗体

          {{$productOrderCtrl.translations['antibody.pdp.commerceCard.promotion.promotions']}}

          {{$productOrderCtrl.translations['antibody.pdp.commerceCard.promotion.viewpromo']}}

          {{$productOrderCtrl.translations['antibody.pdp.commerceCard.promotion.promocode']}}: {{promo.promoCode}} {{promo.promoTitle}} {{promo.promoDescription}}. {{$productOrderCtrl.translations['antibody.pdp.commerceCard.promotion.learnmore']}}

          说明书
          证书
          实验方案
          问题与答案
          技术支持
          说明书
          证书
          实验方案
          问题与答案
          技术支持
          说明书
          证书
          实验方案
          问题与答案
          技术支持

          Cite WNT5A Monoclonal Antibody (3D10)

          Additional Information:
          {{banner.description}}
          {{$ctrl.isSkuNotesCollapsed ? 'View more' : 'View less'}}
          • 抗体检测数据 (2)
          WNT5A Antibody in Immunohistochemistry (Paraffin) (IHC (P))
          Group 53 Created with Sketch.
          WNT5A Antibody in Immunohistochemistry (Paraffin) (IHC (P))
          Group 53 Created with Sketch.

          图: 1 / 2

          {{ $ctrl.currentElement.advancedVerification.fullName }}
          {{ $ctrl.currentElement.advancedVerification.text }}

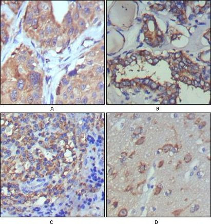
          WNT5A Antibody (MA5-15511) in IHC (P)

          Immunohistochemical analysis of paraffin-embedded human lung cancer (A), thyroid cancer (B), lymph node (C) and brain (D) showing cytoplasmic and extracellular matrix localization using WNT5A monoclonal antibody (Product # MA5-15511) followed with DAB staining. {{ $ctrl.currentElement.advancedVerification.fullName }} 验证信息 View more
          已发表图片由___提供 benchsci-logo
          PMID: {{$ctrl.currentElement.benchSciPubmedId}}
          查看产品

          {{$ctrl.videoDesc}}

          {{$ctrl.videoLongDesc}}

          WNT5A Antibody in Immunohistochemistry (Paraffin) (IHC (P))
          WNT5A Antibody in Western Blot (WB)

          产品信息

          MA5-15511

          应用
          建议稀释比
          已发表文章

          免疫印迹 (WB)

          1:500-1:2,000
          -

          免疫组化 (IHC)

          -
          查看1篇已发表文章 1篇已发表文章

          免疫组化(石蜡) (IHC (P))

          1:200-1:1,000
          -

          酶联免疫吸附实验 (ELISA)

          1:10,000
          -
          产品规格

          种属反应

          Human

          已发表种属

          Human

          宿主/亚型

          Mouse / IgG1

          分类

          Monoclonal

          类型

          Antibody

          克隆号

          3D10

          抗原

          Purified recombinant fragment of WNT5A expressed in E. Coli.

          偶联物

          Unconjugated Unconjugated Unconjugated

          形式

          Liquid

          浓度

          Conc. not determined

          保存液

          ascites

          内含物

          0.03% sodium azide

          保存条件

          Store at 4°C short term. For long term storage, store at -20°C, avoiding freeze/thaw cycles.

          运输条件

          Ambient (domestic); Wet ice (international)

          RRID

          AB_11001610

          产品详细信息

          MA5-15511 targets WNT5A in indirect ELISA, IHC and WB applications and shows reactivity with Human samples.

          The MA5-15511 immunogen is purified recombinant fragment of WNT5A expressed in E. Coli.
          .

          MA5-15511 detects WNT5A which has a predicted molecular weight of approximately 42.3kDa.

          靶标信息

          Wnt5A is a secreted protein found in the extracellular region that belongs to the Wnt family. It is a proto-oncogene that functions in modulating cell fate and behavior during vertebrate development and has an important role in Wnt signaling pathway. It is a glycoprotein that plays an important role in cell communication and development. Wnt5A acts as a ligand for members of the frizzled family of seven transmembrane receptors. It is suspected that Wnt5A is a developmental protein. Wnt5A is a signaling molecule which affects the development of discrete regions of tissues and is likely to signal over only few cell diameters.

          仅用于科研。不用于诊断过程。未经明确授权不得转售。

          生物信息学

          蛋白别名: epididymis secretory sperm binding protein; hWNT5A; OTTHUMP00000212837; OTTHUMP00000212861; Protein Wnt-5a; unnamed protein product; wingless-type MMTV integration site family, member 5A; WNT-5A protein

          查看更多 收起

          基因别名: hWNT5A; WNT5A

          查看更多 收起

          UniProt ID: (Human) P41221

          查看更多 收起

          Entrez Gene ID: (Human) 7474

          查看更多 收起

          功能
          receptor binding frizzled binding receptor tyrosine kinase-like orphan receptor binding cytokine activity protein binding phospholipid binding protein domain specific binding receptor agonist activity chemoattractant activity involved in axon guidance
          参与通路
          establishment of planar polarity somitogenesis positive regulation of cytokine production kidney development epithelial to mesenchymal transition neural tube closure positive regulation of endothelial cell proliferation heart looping morphogenesis of an epithelium positive regulation of mesenchymal cell proliferation lens development in camera-type eye positive regulation of cytokine production involved in immune response primary heart field specification secondary heart field specification ventricular septum development atrial septum development type B pancreatic cell development pericardium morphogenesis axis elongation optic cup formation involved in camera-type eye development inflammatory response phospholipase C-activating G-protein coupled receptor signaling pathway Wnt signaling pathway, calcium modulating pathway JNK cascade determination of left/right symmetry axonogenesis axon guidance hindgut morphogenesis midgut development protein localization cell proliferation fibroblast growth factor receptor signaling pathway male gonad development anterior/posterior axis specification, embryo anterior/posterior pattern specification mesenchymal cell proliferation positive regulation of endothelial cell migration positive regulation of gene expression epithelial cell migration macrophage derived foam cell differentiation positive regulation of T cell chemotaxis positive regulation of neuron projection development Wnt signaling pathway cell migration olfactory bulb interneuron development neural tube development neurogenesis cell differentiation neuron differentiation keratinocyte differentiation lung development embryonic limb morphogenesis BMP signaling pathway negative regulation of BMP signaling pathway midbrain development positive regulation of chemokine production positive regulation of interferon-gamma production positive regulation of interleukin-1 beta production positive regulation of interleukin-6 production positive regulation of interleukin-8 production positive regulation of tumor necrosis factor production regulation of protein localization positive regulation of Rac protein signal transduction limb morphogenesis non-canonical Wnt signaling pathway post-anal tail morphogenesis chemoattraction of serotonergic neuron axon chemorepulsion of dopaminergic neuron axon negative regulation of fibroblast growth factor receptor signaling pathway wound healing inner ear morphogenesis embryonic digit morphogenesis positive regulation of macrophage activation negative regulation of apoptotic process regulation of I-kappaB kinase/NF-kappaB signaling positive regulation of MAPK cascade cell fate commitment establishment of epithelial cell apical/basal polarity negative regulation of fat cell differentiation positive regulation of protein catabolic process positive regulation of angiogenesis positive regulation of ossification positive regulation of endocytosis positive regulation of meiotic nuclear division negative regulation of transcription, DNA-templated positive regulation of transcription, DNA-templated positive regulation of transcription from RNA polymerase II promoter positive regulation of JNK cascade development of primary male sexual characteristics negative regulation of melanin biosynthetic process positive regulation of fibroblast proliferation paraxial mesoderm formation digestive tract morphogenesis notochord morphogenesis embryonic skeletal system development genitalia development neuron projection morphogenesis negative regulation of axon extension involved in axon guidance axon extension involved in axon guidance hypophysis morphogenesis epithelial cell proliferation positive regulation of epithelial cell proliferation negative regulation of epithelial cell proliferation regulation of inflammatory response positive regulation of inflammatory response regulation of synapse organization negative chemotaxis cartilage development positive regulation of anagen positive regulation of protein kinase B signaling negative regulation of synapse assembly convergent extension convergent extension involved in axis elongation convergent extension involved in organogenesis uterus development cervix development vagina development canonical Wnt signaling pathway Wnt signaling pathway, planar cell polarity pathway urinary bladder development face development positive regulation of type I interferon-mediated signaling pathway lateral sprouting involved in mammary gland duct morphogenesis tube closure mesenchymal-epithelial cell signaling negative regulation of prostatic bud formation mammary gland branching involved in thelarche epithelial cell proliferation involved in mammary gland duct elongation positive regulation of response to cytokine stimulus regulation of branching involved in mammary gland duct morphogenesis mesodermal to mesenchymal transition involved in gastrulation positive regulation of macrophage cytokine production positive regulation of cartilage development somite development secondary palate development thymocyte apoptotic process positive regulation of thymocyte apoptotic process cellular response to molecule of bacterial origin cellular response to lipopolysaccharide cellular response to calcium ion cellular response to retinoic acid cellular response to interferon-gamma hematopoietic stem cell proliferation dopaminergic neuron differentiation cellular response to transforming growth factor beta stimulus stem cell proliferation negative regulation of mesenchymal cell proliferation primitive streak formation negative regulation of canonical Wnt signaling pathway cochlea morphogenesis melanocyte proliferation presynapse assembly postsynapse assembly postsynaptic modulation of chemical synaptic transmission regulation of postsynapse organization regulation of postsynaptic cytosolic calcium ion concentration meiotic nuclear division positive regulation of neuron projection arborization positive regulation of protein kinase C activity positive regulation of hematopoietic stem cell proliferation positive regulation of protein localization to synapse excitatory synapse assembly inhibitory synapse assembly negative regulation of cell proliferation in midbrain midbrain dopaminergic neuron differentiation positive regulation of cell-cell adhesion mediated by cadherin positive regulation of non-canonical Wnt signaling pathway positive regulation of stem cell proliferation positive regulation of apoptotic signaling pathway
          It has to be done as per old AB suggested Products section.

          Disclaimer

          Close

          Clicking the images or links will redirect you to a website hosted by BenchSci that provides third-party scientific content. Neither the content nor the BenchSci technology and processes for selection have been evaluated by us; we are providing them as-is and without warranty of any kind, including for use or application of the Thermo Fisher Scientific products presented.

          guarantee_icon

          性能保障

          只要您发现Invitrogen抗体在实验中的表现与网站或说明书的所述内容不符,您即可享受免费退换货服务。*

          了解更多
          help_icon

          随时为您服务

          获取常见问题的专家解答,或者直接联系我们的技术专家,咨询应用、设备、常规产品使用问题。

          联系技术支持
          订购 Plus Icon Minus Icon
          • 订单状态查询
          • 订单支持
          • 货号直购
          • 现货供应中心
          • 电子采购
          支持 Plus Icon Minus Icon
          • 帮助&支持
          • 联系我们 - 400 820 8982
          • 技术支持中心
          • 查找文件&证书
          • 报告网站问题
          资源 Plus Icon Minus Icon
          • 学习中心
          • 促销
          • 活动&研讨会
          • 社交媒体
          关于赛默飞 Plus Icon Minus Icon
          • 关于我们
          • 招聘 招聘
          • 投资者关系 投资者关系
          • 新闻 新闻
          • 社会责任 社会责任
          • 商标
          • 政策和通知
          品牌 Plus Icon Minus Icon
          • Thermo Scientific
          • Applied Biosystems
          • Invitrogen
          • Gibco
          • Ion Torrent
          • Unity Lab Services
          • Patheon
          • PPD
          • 服务条款
          • 隐私政策
          • 定价和运输保险政策
          © 2006-2026 Thermo Fisher Scientific Inc. All rights reserved. All trademarks are the property of Thermo Fisher Scientific and its subsidiaries unless otherwise specified.
          China flag icon
          China
          本网站销售的所有产品均不得用于人类或动物之临床诊断或治疗,仅可用于工业或者科研等非医疗目的。
             电子营业执照 | 经营证照公示 | ICP备案号:沪ICP备11003924号 | 沪公网安备 31011502006935号

          Your items have has been added!


          Host server : magellan-search-green-6479c7f679-jmhj8:80/100.66.74.142:80.
          git-commit: b70c0dceb888abc3b0dcebb5bc3a5b8753e7e816
          git-url: https://github.com/thermofisher/magellan-search
          git-branch: release/2.50.0-Offline