Hamburger Menu Button
Thermo Fisher Scientific Logo
登录
没有账号?建立账号 注册
  • 产品
    • 抗体
    • 引物合成
    • GeneArt Gene Synthesis Instant Designer
    • TaqMan Assay and Array Search
    • PCR 设备和耗材
    • 色谱柱和纯化柱
    • 实验室离心机
    • 分子生物学试剂和试剂盒
    • 实验室塑料耗材及用品
    • 查看所有产品分类
  • 应用和技术
    • 色谱
    • 细胞转染和培养
    • 实时荧光定量PCR
    • 质谱
    • 实验室塑料耗材及用品
    • 电子显微镜
    • 蛋白质生物学
    • PCR
    • RNAi
    • 环境
    • 查看所有应用和技术
  • 服务
    • 定制服务
    • 企业级实验室信息化服务
    • 金融&租赁服务
    • 仪器服务
    • OEM和商业供应
    • 培训服务
    • 360° CDMO 和 CRO 服务
    • CDMO 服务
    • 临床试验 CRO 服务
    • Unity Lab Services
    • 查看所有帮助和支持
  • 帮助和支持
    • 学习中心
    • 联系我们
    • 更改国家或地区
    • 查看所有帮助和支持
  • 热门产品
    • TaqMan Real-Time PCR Assays
      TaqMan 实时荧光定量 PCR 试剂盒
    • Antibodies
      抗体
    • Oligos, Primers & Probes
      寡核苷酸、引物、探针
    • GeneArt Gene Synthesis
      GeneArt 基因合成
    • Cell Culture Plastics
      细胞培养耗材
  • Who We Serve
    • 抗体治疗解决方案
    • 细胞与基因治疗解决方案
    • 学术科研
    • 工业与应用
  • 联系我们
  • 货号直购
  • 订单查询
  • 查找文件&证书
Thermo Fisher Scientific Logo

Search

搜索全部或下列指定分类
Search button
          • 联系我们
          • 货号直购
          • 登录
            登录
            没有账号?建立账号 注册
            • 我的账号
            • 订单
            • 会员中心
            • 账单及发票查询
            • 定制产品及项目
          • Primary Antibodies ›
          • WNT7A/WNT7B Antibodies

          Invitrogen

          WNT7A/WNT7B Polyclonal Antibody

          {{$productOrderCtrl.translations['antibody.pdp.commerceCard.promotion.promotions']}}

          {{$productOrderCtrl.translations['antibody.pdp.commerceCard.promotion.viewpromo']}}

          {{$productOrderCtrl.translations['antibody.pdp.commerceCard.promotion.promocode']}}: {{promo.promoCode}} {{promo.promoTitle}} {{promo.promoDescription}}. {{$productOrderCtrl.translations['antibody.pdp.commerceCard.promotion.learnmore']}}

          说明书
          证书
          实验方案
          问题与答案
          技术支持
          说明书
          证书
          实验方案
          问题与答案
          技术支持
          说明书
          证书
          实验方案
          问题与答案
          技术支持

          Cite WNT7A/WNT7B Polyclonal Antibody

          Additional Information:
          {{banner.description}}
          {{$ctrl.isSkuNotesCollapsed ? 'View more' : 'View less'}}
          • 抗体检测数据 (1)
          WNT7A/WNT7B Antibody in Immunohistochemistry (Paraffin) (IHC (P))
          Group 53 Created with Sketch.
          WNT7A/WNT7B Antibody in Immunohistochemistry (Paraffin) (IHC (P))
          Group 53 Created with Sketch.

          图: 1 / 1

          {{ $ctrl.currentElement.advancedVerification.fullName }}
          {{ $ctrl.currentElement.advancedVerification.text }}

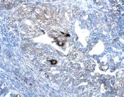
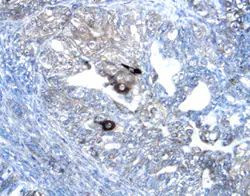
          WNT7A/WNT7B Antibody (PA5-47430) in IHC (P)

          Immunohistochemical analysis of WNT7A/WNT7B in immersion fixed paraffin-embedded sections of human endometrial cancer tissue. Samples were incubated in WNT7A/WNT7B polyclonal antibody (Product # PA5-47430) using a dilution of 15 µg/mL overnight at 4 °C. Tissue was stained with the Anti-Goat HRP-DAB Cell & Tissue Staining Kit (brown) and counterstained with hematoxylin (blue). {{ $ctrl.currentElement.advancedVerification.fullName }} 验证信息 View more
          已发表图片由___提供 benchsci-logo
          PMID: {{$ctrl.currentElement.benchSciPubmedId}}
          查看产品

          {{$ctrl.videoDesc}}

          {{$ctrl.videoLongDesc}}

          WNT7A/WNT7B Antibody in Immunohistochemistry (Paraffin) (IHC (P))
          WNT7A/WNT7B Polyclonal Antibody

          产品信息

          PA5-47430

          应用
          建议稀释比
          已发表文章

          免疫印迹 (WB)

          0.1 µg/mL
          -

          免疫组化(石蜡) (IHC (P))

          5-15 µg/mL
          -
          产品规格

          种属反应

          Human

          宿主/亚型

          Goat / IgG

          分类

          Polyclonal

          类型

          Antibody

          抗原

          E. coli-derived recombinant human Wnt-7a Leu32-Glu72, Thr216-Arg292
          3D表位/免疫原

          偶联物

          Unconjugated Unconjugated Unconjugated

          形式

          Lyophilized

          浓度

          0.2 mg/mL

          规格

          100 µg

          纯化类型

          Antigen affinity chromatography

          保存液

          PBS with 5% trehalose

          内含物

          No Preservative

          保存条件

          -20°C, Avoid Freeze/Thaw Cycles

          运输条件

          Ambient (domestic); Wet ice (international)

          RRID

          AB_2610494

          产品详细信息

          In direct ELISAs and Western blots, less than 5% cross-reactivity with recombinant mouse (rm) Wnt-1, rmWnt-3a, rmWnt-4, rmWnt-5a, rmWnt-5b, rmWnt-9a, rmWnt-11, and rmWnt-16 is observed.

          Reconstitute at 0.2 mg/mL in sterile PBS.

          靶标信息

          Wnt proteins constitute a family of secreted glycoproteins that activate signal transduction pathways to mediate tissue homeostasis, cell fate, cell proliferation, and self-renewal. The canonical signaling pathway is initiated upon Wnt binding to a Frizzled family receptor and an LRP5/LRP6 coreceptor, which leads to activation of the beta-catenin cascade. Non-canonical Wnt signals are activated by binding to a Frizzled family receptor and ROR2 coreceptor. Extensive research has shown that deregulation of these pathways or its components can lead to cancer. Human Wnt-1 is encoded as a 370 amino acid precursor that, upon secretion, is cleaved into a 343 amino acid (42 kDa) mature form. At the amino acid level, mature human Wnt-1 is approximately 99% identical to mature mouse Wnt-1. Depending on the tissue, Wnt-1 can activate the canonical and non-canonical signaling pathways. Studies have demonstrated its involvement in a variety of functions, including embryonic development and carcinogenesis. Wnt-1 signaling can also induce the phosphorylation and subsequent degradation of c-Myb.

          仅用于科研。不用于诊断过程。未经明确授权不得转售。

          篇参考文献 (0)

          您是否在文献中引用过该产品?请点击下方按钮邮件告知我们。
          引用该产品

          生物信息学

          蛋白别名: Protein Wnt-7a; Protein Wnt-7b; proto-oncogene Wnt7a protein; unnamed protein product; wingless-type MMTV integration site family, member 7A; wingless-type MMTV integration site family, member 7B; WNT7a

          查看更多 收起

          基因别名: SANTOS; Wnt-7a; WNT7A; WNT7B

          查看更多 收起

          UniProt ID: (Human) O00755, (Human) P56706

          查看更多 收起

          Entrez Gene ID: (Human) 7476, (Human) 7477

          查看更多 收起

          功能
          receptor binding frizzled binding cytokine activity protein binding receptor agonist activity
          参与通路
          embryonic axis specification cartilage condensation angiogenesis chondrocyte differentiation apoptotic process neurotransmitter secretion axonogenesis synapse assembly sex differentiation positive regulation of cell proliferation tissue development dorsal/ventral pattern formation positive regulation of endothelial cell migration positive regulation of gene expression skeletal muscle satellite cell activation skeletal muscle satellite cell maintenance involved in skeletal muscle regeneration Wnt signaling pathway cerebellar granule cell differentiation cell proliferation in forebrain central nervous system vasculogenesis establishment of cell polarity cell differentiation neuron differentiation embryonic limb morphogenesis regulation of axon diameter response to estradiol somatic stem cell population maintenance embryonic forelimb morphogenesis embryonic hindlimb morphogenesis wound healing, spreading of epidermal cells non-canonical Wnt signaling pathway synaptic vesicle recycling regulation of cell proliferation embryonic digit morphogenesis negative regulation of apoptotic process response to estrogen cell fate commitment asymmetric protein localization involved in cell fate determination positive regulation of transcription, DNA-templated positive regulation of transcription from RNA polymerase II promoter positive regulation of JNK cascade somatic stem cell division animal organ development system development stem cell development regulation of epithelial cell proliferation negative regulation of neurogenesis regulation of axonogenesis synapse organization cartilage development positive regulation of protein metabolic process positive regulation of synapse assembly positive regulation of epithelial cell proliferation involved in wound healing uterus development oviduct development canonical Wnt signaling pathway Wnt signaling pathway, planar cell polarity pathway limb development establishment of blood-brain barrier dendritic spine morphogenesis uterus morphogenesis secondary palate development lens fiber cell development cellular response to transforming growth factor beta stimulus presynapse assembly postsynapse assembly regulation of postsynapse organization excitatory synapse assembly positive regulation of excitatory synapse assembly positive regulation of protein localization to presynapse regulation of presynapse assembly regulation of synaptic vesicle exocytosis positive regulation of excitatory postsynaptic potential in utero embryonic development metanephros morphogenesis establishment or maintenance of polarity of embryonic epithelium forebrain regionalization lung development neuron projection development oxygen homeostasis regulation of cell projection size chemoattraction of dopaminergic neuron axon homeostatic process positive regulation of osteoblast differentiation fibroblast proliferation embryonic organ development neuron projection morphogenesis response to glucocorticoid lung morphogenesis lung epithelium development lobar bronchus development trachea cartilage morphogenesis developmental growth involved in morphogenesis embryonic placenta morphogenesis chorio-allantoic fusion mammary gland epithelium development cellular response to retinoic acid renal inner medulla development renal outer medulla development outer medullary collecting duct development inner medullary collecting duct development stem cell proliferation metanephric collecting duct development metanephric epithelium development metanephric loop of Henle development
          It has to be done as per old AB suggested Products section.

          Disclaimer

          Close

          Clicking the images or links will redirect you to a website hosted by BenchSci that provides third-party scientific content. Neither the content nor the BenchSci technology and processes for selection have been evaluated by us; we are providing them as-is and without warranty of any kind, including for use or application of the Thermo Fisher Scientific products presented.

          guarantee_icon

          性能保障

          只要您发现Invitrogen抗体在实验中的表现与网站或说明书的所述内容不符,您即可享受免费退换货服务。*

          了解更多
          help_icon

          随时为您服务

          获取常见问题的专家解答,或者直接联系我们的技术专家,咨询应用、设备、常规产品使用问题。

          联系技术支持
          订购 Plus Icon Minus Icon
          • 订单状态查询
          • 订单支持
          • 货号直购
          • 现货供应中心
          • 电子采购
          支持 Plus Icon Minus Icon
          • 帮助&支持
          • 联系我们 - 400 820 8982
          • 技术支持中心
          • 查找文件&证书
          • 报告网站问题
          资源 Plus Icon Minus Icon
          • 学习中心
          • 促销
          • 活动&研讨会
          • 社交媒体
          关于赛默飞 Plus Icon Minus Icon
          • 关于我们
          • 招聘 招聘
          • 投资者关系 投资者关系
          • 新闻 新闻
          • 社会责任 社会责任
          • 商标
          • 政策和通知
          品牌 Plus Icon Minus Icon
          • Thermo Scientific
          • Applied Biosystems
          • Invitrogen
          • Gibco
          • Ion Torrent
          • Unity Lab Services
          • Patheon
          • PPD
          • 服务条款
          • 隐私政策
          • 定价和运输保险政策
          © 2006-2026 Thermo Fisher Scientific Inc. All rights reserved. All trademarks are the property of Thermo Fisher Scientific and its subsidiaries unless otherwise specified.
          China flag icon
          China
          本网站销售的所有产品均不得用于人类或动物之临床诊断或治疗,仅可用于工业或者科研等非医疗目的。
             电子营业执照 | 经营证照公示 | ICP备案号:沪ICP备11003924号 | 沪公网安备 31011502006935号

          Your items have has been added!


          Host server : magellan-search-green-6479c7f679-zb4k5:80/100.66.74.142:80.
          git-commit: b70c0dceb888abc3b0dcebb5bc3a5b8753e7e816
          git-url: https://github.com/thermofisher/magellan-search
          git-branch: release/2.50.0-Offline