Hamburger Menu Button
Thermo Fisher Scientific Logo
登录
没有账号?建立账号 注册
  • 产品
    • 抗体
    • 引物合成
    • GeneArt Gene Synthesis Instant Designer
    • TaqMan Assay and Array Search
    • PCR 设备和耗材
    • 色谱柱和纯化柱
    • 实验室离心机
    • 分子生物学试剂和试剂盒
    • 实验室塑料耗材及用品
    • 查看所有产品分类
  • 应用和技术
    • 色谱
    • 细胞转染和培养
    • 实时荧光定量PCR
    • 质谱
    • 实验室塑料耗材及用品
    • 电子显微镜
    • 蛋白质生物学
    • PCR
    • RNAi
    • 环境
    • 查看所有应用和技术
  • 服务
    • 定制服务
    • 企业级实验室信息化服务
    • 金融&租赁服务
    • 仪器服务
    • OEM和商业供应
    • 培训服务
    • 360° CDMO 和 CRO 服务
    • CDMO 服务
    • 临床试验 CRO 服务
    • Unity Lab Services
    • 查看所有帮助和支持
  • 帮助和支持
    • 学习中心
    • 联系我们
    • 更改国家或地区
    • 查看所有帮助和支持
  • 热门产品
    • TaqMan Real-Time PCR Assays
      TaqMan 实时荧光定量 PCR 试剂盒
    • Antibodies
      抗体
    • Oligos, Primers & Probes
      寡核苷酸、引物、探针
    • GeneArt Gene Synthesis
      GeneArt 基因合成
    • Cell Culture Plastics
      细胞培养耗材
  • Who We Serve
    • 抗体治疗解决方案
    • 细胞与基因治疗解决方案
    • 学术科研
    • 工业与应用
  • 联系我们
  • 货号直购
  • 订单查询
  • 查找文件&证书
Thermo Fisher Scientific Logo

Search

搜索全部或下列指定分类
Search button
          • 联系我们
          • 货号直购
          • 登录
            登录
            没有账号?建立账号 注册
            • 我的账号
            • 订单
            • 会员中心
            • 账单及发票查询
            • 定制产品及项目
          • Primary Antibodies ›
          • XBP1 Antibodies

          Proteintech

          XBP1 Polyclonal Antibody

          7 篇参考文献
          查看其他30个XBP1抗体

          {{$productOrderCtrl.translations['antibody.pdp.commerceCard.promotion.promotions']}}

          {{$productOrderCtrl.translations['antibody.pdp.commerceCard.promotion.viewpromo']}}

          {{$productOrderCtrl.translations['antibody.pdp.commerceCard.promotion.promocode']}}: {{promo.promoCode}} {{promo.promoTitle}} {{promo.promoDescription}}. {{$productOrderCtrl.translations['antibody.pdp.commerceCard.promotion.learnmore']}}

          说明书
          证书
          实验方案
          问题与答案
          技术支持
          说明书
          证书
          实验方案
          问题与答案
          技术支持
          说明书
          证书
          实验方案
          问题与答案
          技术支持

          Cite XBP1 Polyclonal Antibody

          Additional Information:
          {{banner.description}}
          {{$ctrl.isSkuNotesCollapsed ? 'View more' : 'View less'}}
          • 抗体检测数据 (12)
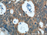
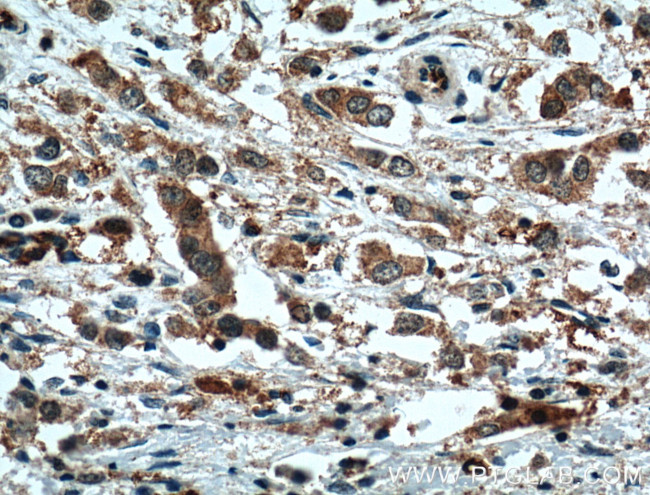
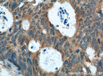
          XBP1 Antibody in Immunohistochemistry (Paraffin) (IHC (P))
          Group 53 Created with Sketch.
          XBP1 Antibody in Immunohistochemistry (Paraffin) (IHC (P))
          Group 53 Created with Sketch.

          图: 1 / 12

          {{ $ctrl.currentElement.advancedVerification.fullName }}
          {{ $ctrl.currentElement.advancedVerification.text }}

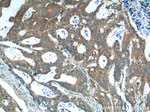
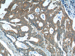
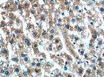
          XBP1 Antibody (24168-1-AP) in IHC (P)

          Immunohistochemistry of paraffin-embedded human breast cancer tissue slide using 24168-1-AP ( XBP1 Antibody) at dilution of 1:200 (under 40x lens). heat mediated antigen retrieved with Tris-EDTA buffer (pH 9). {{ $ctrl.currentElement.advancedVerification.fullName }} 验证信息 View more
          已发表图片由___提供 benchsci-logo
          PMID: {{$ctrl.currentElement.benchSciPubmedId}}
          查看产品

          {{$ctrl.videoDesc}}

          {{$ctrl.videoLongDesc}}

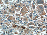
          XBP1 Antibody in Immunohistochemistry (Paraffin) (IHC (P))
          XBP1 Antibody in Immunohistochemistry (Paraffin) (IHC (P))
          XBP1 Antibody in Immunohistochemistry (Paraffin) (IHC (P))
          XBP1 Antibody in Immunohistochemistry (Paraffin) (IHC (P))
          XBP1 Antibody in Immunohistochemistry (Paraffin) (IHC (P))
          XBP1 Antibody in Immunohistochemistry (Paraffin) (IHC (P))
          XBP1 Antibody in Immunohistochemistry (Paraffin) (IHC (P))
          XBP1 Antibody in Immunohistochemistry (Paraffin) (IHC (P))
          XBP1 Antibody in Western Blot (WB)
          XBP1 Antibody in Western Blot (WB)
          XBP1 Antibody in Western Blot (WB)
          XBP1 Antibody in Western Blot (WB)
          XBP1 Polyclonal Antibody

          产品信息

          24168-1-AP

          应用
          建议稀释比
          已发表文章

          免疫印迹 (WB)

          1:200-1:1,000
          查看7篇已发表文章 7篇已发表文章

          免疫组化(石蜡) (IHC (P))

          1:50-1:500
          -
          产品规格

          种属反应

          Human, Mouse

          宿主/亚型

          Rabbit / IgG

          分类

          Polyclonal

          类型

          Antibody

          抗原

          XBP1 Fusion Protein Ag21454 (1-167 aa encoded by BC000938)
          3D表位/免疫原

          偶联物

          Unconjugated Unconjugated Unconjugated

          形式

          Liquid

          浓度

          0.37 mg/mL

          规格

          55.5 µg

          纯化类型

          Antigen affinity chromatography

          保存液

          PBS, pH 7.3, with 50% glycerol

          内含物

          0.02% sodium azide

          保存条件

          -20°C

          运输条件

          Wet ice (domestic); Dry ice (international)

          产品详细信息

          The XBP1 antibody (24168-1-AP) can detect both isoforms XBP1(U) and XBP1(S).

          Immunogen sequence: MVVVAAAPN PADGTPKVLL LSGQPASAAG APAGQALPLM VPAQRGASPE AASGGLPQAR KRQRLTHLSP EEKALRRKLK NRVAAQTARD RKKARMSELE QQVVDLEEEN QKLLLENQLL REKTHGLVVE NQELRQRLGM DALVAEEEAE AKGNEVRPVA GSAESAAL (1-167 aa encoded by BC000938)

          靶标信息

          XBP1 encodes a transcription factor that regulates MHC class II genes by binding to a promoter element referred to as an X box. This gene product is a bZIP protein, which was also identified as a cellular transcription factor that binds to an enhancer in the promoter of the T cell leukemia virus type 1 promoter. It may increase expression of viral proteins by acting as the DNA binding partner of a viral transactivator. It has been found that upon accumulation of unfolded proteins in the endoplasmic reticulum (ER), the mRNA of this gene is processed to an active form by an unconventional splicing mechanism that is mediated by the endonuclease inositol-requiring enzyme 1 (IRE1). The resulting loss of 26 nt from the spliced mRNA causes a frame-shift and an isoform XBP1(S), which is the functionally active transcription factor. The isoform encoded by the unspliced mRNA, XBP1(U), is constitutively expressed, and thought to function as a negative feedback regulator of XBP1(S), which shuts off transcription of target genes during the recovery phase of ER stress. A pseudogene of XBP1 has been identified and localized to chromosome 5.

          仅用于科研。不用于诊断过程。未经明确授权不得转售。

          生物信息学

          蛋白别名: OTTHUMP00000028682; Tax-responsive element-binding protein 5; tax-responsive element-binding protein 5 homolog; TREB-5; unnamed protein product; X box binding protein-1; X-box-binding protein 1; XBP-1; XBP1

          查看更多 收起

          基因别名: D11Ertd39e; TREB-5; TREB5; XBP-1; XBP1; XBP2

          查看更多 收起

          UniProt ID: (Human) P17861, (Mouse) O35426

          查看更多 收起

          Entrez Gene ID: (Human) 7494, (Mouse) 22433

          查看更多 收起

          功能
          transcription regulatory region sequence-specific DNA binding RNA polymerase II regulatory region sequence-specific DNA binding RNA polymerase II core promoter proximal region sequence-specific DNA binding RNA polymerase II transcription factor activity, sequence-specific DNA binding core promoter proximal region sequence-specific DNA binding protease binding DNA binding transcription factor activity, sequence-specific DNA binding protein binding protein kinase binding estrogen receptor binding chromatin DNA binding ubiquitin protein ligase binding identical protein binding histone deacetylase binding sequence-specific DNA binding ubiquitin-like protein ligase binding protein heterodimerization activity sequence-specific double-stranded DNA binding core promoter binding RNA polymerase II transcription factor binding enhancer sequence-specific DNA binding phosphatidylinositol 3-kinase regulatory subunit binding transcription regulatory region DNA binding
          参与通路
          negative regulation of transcription from RNA polymerase II promoter angiogenesis regulation of cell growth liver development positive regulation of protein phosphorylation endothelial cell proliferation glandular epithelial cell maturation positive regulation of immunoglobulin production regulation of transcription, DNA-templated regulation of transcription from RNA polymerase II promoter transcription from RNA polymerase II promoter ubiquitin-dependent protein catabolic process lipid metabolic process fatty acid biosynthetic process autophagy apoptotic process immune response response to unfolded protein muscle organ development positive regulation of cell proliferation regulation of autophagy positive regulation of autophagy negative regulation of myotube differentiation protein transport cell differentiation positive regulation of cell migration negative regulation of transforming growth factor beta receptor signaling pathway endoplasmic reticulum unfolded protein response exocrine pancreas development regulation of protein stability protein destabilization cellular response to nutrient positive regulation of TOR signaling positive regulation of interleukin-6 production cellular response to insulin stimulus cellular response to oxidative stress response to endoplasmic reticulum stress cellular triglyceride homeostasis positive regulation of vascular wound healing cellular response to vascular endothelial growth factor stimulus IRE1-mediated unfolded protein response ATF6-mediated unfolded protein response ERAD pathway cellular response to glucose starvation positive regulation of protein import into nucleus cholesterol homeostasis negative regulation of apoptotic process proteasome-mediated ubiquitin-dependent protein catabolic process protein kinase B signaling positive regulation of MHC class II biosynthetic process positive regulation of B cell differentiation positive regulation of T cell differentiation positive regulation of fat cell differentiation positive regulation of angiogenesis positive regulation of transcription from RNA polymerase II promoter vascular endothelial growth factor receptor signaling pathway neuron development positive regulation of protein kinase B signaling fatty acid homeostasis sterol homeostasis negative regulation of SMAD protein import into nucleus adipose tissue development epithelial cell maturation involved in salivary gland development intrinsic apoptotic signaling pathway in response to endoplasmic reticulum stress negative regulation of ERK1 and ERK2 cascade positive regulation of phospholipid biosynthetic process cellular response to lipopolysaccharide cellular response to amino acid stimulus cellular response to fructose stimulus cellular response to glucose stimulus cellular response to interleukin-4 cellular response to peptide hormone stimulus cellular response to fluid shear stress cellular response to laminar fluid shear stress positive regulation of plasma cell differentiation negative regulation of endoplasmic reticulum unfolded protein response positive regulation of protein acetylation negative regulation of endoplasmic reticulum stress-induced intrinsic apoptotic signaling pathway positive regulation of lactation positive regulation of ERAD pathway positive regulation of vascular smooth muscle cell proliferation positive regulation of vascular associated smooth muscle cell migration response to insulin-like growth factor stimulus cellular response to leukemia inhibitory factor positive regulation of hepatocyte proliferation positive regulation of endothelial cell apoptotic process epithelial cell maturation transcription, DNA-templated transport positive regulation of transcription from RNA polymerase II promoter involved in unfolded protein response multicellular organism development phosphatidylinositol 3-kinase signaling cell growth positive regulation of histone methylation response to drug glucose homeostasis positive regulation of transcription factor import into nucleus positive regulation of immunoglobulin secretion response to electrical stimulus serotonin secretion, neurotransmission positive regulation of endoplasmic reticulum unfolded protein response positive regulation of proteasomal protein catabolic process positive regulation of interleukin-6 secretion
          It has to be done as per old AB suggested Products section.

          Disclaimer

          Close

          Clicking the images or links will redirect you to a website hosted by BenchSci that provides third-party scientific content. Neither the content nor the BenchSci technology and processes for selection have been evaluated by us; we are providing them as-is and without warranty of any kind, including for use or application of the Thermo Fisher Scientific products presented.

          guarantee_icon

          性能保障

          只要您发现Invitrogen抗体在实验中的表现与网站或说明书的所述内容不符,您即可享受免费退换货服务。*

          了解更多
          help_icon

          随时为您服务

          获取常见问题的专家解答,或者直接联系我们的技术专家,咨询应用、设备、常规产品使用问题。

          联系技术支持
          订购 Plus Icon Minus Icon
          • 订单状态查询
          • 订单支持
          • 货号直购
          • 现货供应中心
          • 电子采购
          支持 Plus Icon Minus Icon
          • 帮助&支持
          • 联系我们 - 400 820 8982
          • 技术支持中心
          • 查找文件&证书
          • 报告网站问题
          资源 Plus Icon Minus Icon
          • 学习中心
          • 促销
          • 活动&研讨会
          • 社交媒体
          关于赛默飞 Plus Icon Minus Icon
          • 关于我们
          • 招聘 招聘
          • 投资者关系 投资者关系
          • 新闻 新闻
          • 社会责任 社会责任
          • 商标
          • 政策和通知
          品牌 Plus Icon Minus Icon
          • Thermo Scientific
          • Applied Biosystems
          • Invitrogen
          • Gibco
          • Ion Torrent
          • Unity Lab Services
          • Patheon
          • PPD
          • 服务条款
          • 隐私政策
          • 定价和运输保险政策
          © 2006-2026 Thermo Fisher Scientific Inc. All rights reserved. All trademarks are the property of Thermo Fisher Scientific and its subsidiaries unless otherwise specified.
          China flag icon
          China
          本网站销售的所有产品均不得用于人类或动物之临床诊断或治疗,仅可用于工业或者科研等非医疗目的。
             电子营业执照 | 经营证照公示 | ICP备案号:沪ICP备11003924号 | 沪公网安备 31011502006935号

          Your items have has been added!


          Host server : magellan-search-blue-7c59b9b899-49tpj:80/100.66.77.222:80.
          git-commit: 8ef7cf686e3c81d28b13492708ce56d167b2f995
          git-url: https://github.com/thermofisher/magellan-search
          git-branch: release/2.49.0-Offline