Hamburger Menu Button
Thermo Fisher Scientific Logo
登录
没有账号?建立账号 注册
  • 产品
    • 抗体
    • 引物合成
    • GeneArt Gene Synthesis Instant Designer
    • TaqMan Assay and Array Search
    • PCR 设备和耗材
    • 色谱柱和纯化柱
    • 实验室离心机
    • 分子生物学试剂和试剂盒
    • 实验室塑料耗材及用品
    • 查看所有产品分类
  • 应用和技术
    • 色谱
    • 细胞转染和培养
    • 实时荧光定量PCR
    • 质谱
    • 实验室塑料耗材及用品
    • 电子显微镜
    • 蛋白质生物学
    • PCR
    • RNAi
    • 环境
    • 查看所有应用和技术
  • 服务
    • 定制服务
    • 企业级实验室信息化服务
    • 金融&租赁服务
    • 仪器服务
    • OEM和商业供应
    • 培训服务
    • 360° CDMO 和 CRO 服务
    • CDMO 服务
    • 临床试验 CRO 服务
    • Unity Lab Services
    • 查看所有帮助和支持
  • 帮助和支持
    • 学习中心
    • 联系我们
    • 更改国家或地区
    • 查看所有帮助和支持
  • 热门产品
    • TaqMan Real-Time PCR Assays
      TaqMan 实时荧光定量 PCR 试剂盒
    • Antibodies
      抗体
    • Oligos, Primers & Probes
      寡核苷酸、引物、探针
    • GeneArt Gene Synthesis
      GeneArt 基因合成
    • Cell Culture Plastics
      细胞培养耗材
  • Who We Serve
    • 抗体治疗解决方案
    • 细胞与基因治疗解决方案
    • 学术科研
    • 工业与应用
  • 联系我们
  • 货号直购
  • 订单查询
  • 查找文件&证书
Thermo Fisher Scientific Logo

Search

搜索全部或下列指定分类
Search button
          • 联系我们
          • 货号直购
          • 登录
            登录
            没有账号?建立账号 注册
            • 我的账号
            • 订单
            • 会员中心
            • 账单及发票查询
            • 定制产品及项目
          • Primary Antibodies ›
          • XIAP Antibodies

          Proteintech

          XIAP Monoclonal Antibody (2A1A12)

          6 篇参考文献
          查看其他32个XIAP抗体

          {{$productOrderCtrl.translations['antibody.pdp.commerceCard.promotion.promotions']}}

          {{$productOrderCtrl.translations['antibody.pdp.commerceCard.promotion.viewpromo']}}

          {{$productOrderCtrl.translations['antibody.pdp.commerceCard.promotion.promocode']}}: {{promo.promoCode}} {{promo.promoTitle}} {{promo.promoDescription}}. {{$productOrderCtrl.translations['antibody.pdp.commerceCard.promotion.learnmore']}}

          说明书
          证书
          实验方案
          问题与答案
          技术支持
          说明书
          证书
          实验方案
          问题与答案
          技术支持
          说明书
          证书
          实验方案
          问题与答案
          技术支持

          Cite XIAP Monoclonal Antibody (2A1A12)

          Additional Information:
          {{banner.description}}
          {{$ctrl.isSkuNotesCollapsed ? 'View more' : 'View less'}}
          • 抗体检测数据 (10)
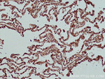
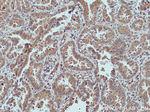
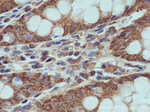
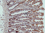
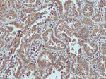
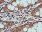
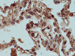
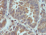
          XIAP Antibody in Immunohistochemistry (Paraffin) (IHC (P))
          Group 53 Created with Sketch.
          XIAP Antibody in Immunohistochemistry (Paraffin) (IHC (P))
          Group 53 Created with Sketch.

          图: 1 / 10

          {{ $ctrl.currentElement.advancedVerification.fullName }}
          {{ $ctrl.currentElement.advancedVerification.text }}

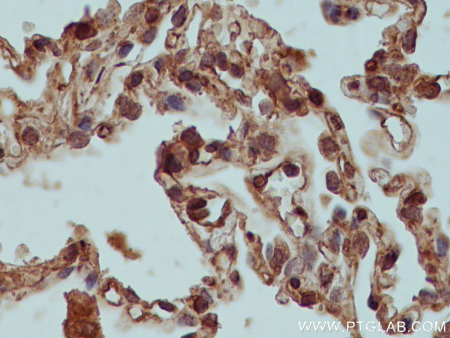
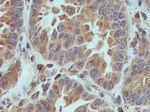
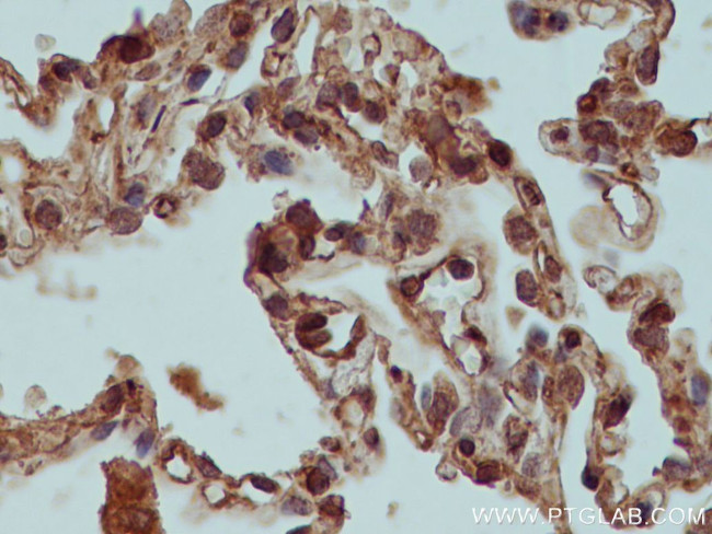
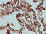
          XIAP Antibody (66800-1-IG) in IHC (P)

          Immunohistochemistry of paraffin-embedded human lung cancer tissue slide using 66800-1-Ig (XIAP antibody) at dilution of 1:500 (under 40x lens) heat mediated antigen retrieved with Tris-EDTA buffer (pH 9). {{ $ctrl.currentElement.advancedVerification.fullName }} 验证信息 View more
          已发表图片由___提供 benchsci-logo
          PMID: {{$ctrl.currentElement.benchSciPubmedId}}
          查看产品

          {{$ctrl.videoDesc}}

          {{$ctrl.videoLongDesc}}

          XIAP Antibody in Immunohistochemistry (Paraffin) (IHC (P))
          XIAP Antibody in Immunohistochemistry (Paraffin) (IHC (P))
          XIAP Antibody in Immunohistochemistry (Paraffin) (IHC (P))
          XIAP Antibody in Immunohistochemistry (Paraffin) (IHC (P))
          XIAP Antibody in Immunohistochemistry (Paraffin) (IHC (P))
          XIAP Antibody in Immunohistochemistry (Paraffin) (IHC (P))
          XIAP Antibody in Immunohistochemistry (PFA fixed) (IHC (PFA))
          XIAP Antibody in Western Blot (WB)
          XIAP Antibody in Western Blot (WB)
          XIAP Antibody in Western Blot (WB)
          XIAP Monoclonal Antibody (2A1A12)

          产品信息

          66800-1-IG

          应用
          建议稀释比
          已发表文章

          免疫印迹 (WB)

          1:2,000-1:10,000
          查看5篇已发表文章 5篇已发表文章

          免疫组化 (IHC)

          -
          查看1篇已发表文章 1篇已发表文章

          免疫组化(石蜡) (IHC (P))

          1:1,000
          -

          免疫组织化学(多聚甲醛固定) (IHC (PFA))

          1:500
          -
          产品规格

          种属反应

          Human, Mouse, Rat

          宿主/亚型

          Mouse / IgG1

          分类

          Monoclonal

          类型

          Antibody

          克隆号

          2A1A12

          抗原

          XIAP Fusion Protein Ag18088 (1-497 aa encoded by BC032729)
          3D表位/免疫原

          偶联物

          Unconjugated Unconjugated Unconjugated
          • CoraLite Plus 488
          • Request custom conjugation

          形式

          Liquid

          浓度

          0.5 mg/mL

          规格

          75 µg

          纯化类型

          Protein G

          保存液

          PBS, pH 7.3, with 50% glycerol

          内含物

          0.02% sodium azide

          保存条件

          -20°C

          运输条件

          Wet ice (domestic); Dry ice (international)

          产品详细信息

          Immunogen sequence: MTFNSFEGS KTCVPADINK EEEFVEEFNR LKTFANFPSG SPVSASTLAR AGFLYTGEGD TVRCFSCHAA VDRWQYGDSA VGRHRKVSPN CRFINGFYLE NSATQSTNSG IQNGQYKVEN YLGSRDHFAL DRPSETHADY LLRTGQVVDI SDTIYPRNPA MYSEEARLKS FQNWPDYAHL TPRELASAGL YYTGIGDQVQ CFCCGGKLKN WEPCDRAWSE HRRHFPNCFF VLGRNLNIRS ESDAVSSDRN FPNSTNLPRN PSMADYEARI FTFGTWIYSV NKEQLARAGF YALGEGDKVK CFHCGGGLTD WKPSEDPWEQ HAKWYPGCKY LLEQKGQEYI NNIHLTHSLE ECLVRTTEKT PSLTRRIDDT IFQNPMVQEA IRMGFSFKDI KKIMEEKIQI SGSNYKSLEV LVADLVNAQK DSMQDESSQT SLQKEISTEE QLRRLQEEKL CKICMDRNIA IVFVPCGHLV TCKQCAEAVD KCPMCYTVIT FKQKIFMS (1-497 aa encoded by BC032729)

          靶标信息

          ATP synthase is extremely conserved through evolution and can be found in plants, fungi, bacteria, and animals. The ATP synthase enzyme is a transmembrane protein responsible for driving the reversible reaction from ADP+ phosphate to ATP. This reaction is accomplished by a flux of protons across the membrane as a result of electron transfer. The ATP synthase protein has two main sections; the F1 ATP-ase (soluble) and the F0 ATP-ase (membrane embedded). The F1 section consists of the alpha, beta, gamma, delta, and epsilon subunits. While the F0 consists of a, b, and c subunits.

          仅用于科研。不用于诊断过程。未经明确授权不得转售。

          生物信息学

          蛋白别名: apoptosis inhibitor protein 3; baculoviral IAP repeat-containing 4; Baculoviral IAP repeat-containing protein 4; BIR4; E3 ubiquitin-protein ligase XIAP; HILP; IAP homolog A; IAP-3; IAP-like protein; IAP-like protein 1; ILP; Inhibitor of apoptosis protein 3; RIAP-3; RING-type E3 ubiquitin transferase XIAP; RP1-315G1.5; unnamed protein product; X-linked IAP; X-linked inhibitor of apoptosis protein; X-linked inhibitor of apoptosis, E3 ubiquitin protein ligase

          查看更多 收起

          基因别名: 1110015C02Rik; Aipa; API3; BIRC4; hIAP-3; hIAP3; IAP-3; IAP3; ILP-1; ILP1; MIHA; riap3; XIAP; XLP2

          查看更多 收起

          UniProt ID: (Human) P98170, (Rat) Q9R0I6, (Mouse) Q60989

          查看更多 收起

          Entrez Gene ID: (Human) 331, (Rat) 63879, (Mouse) 11798

          查看更多 收起

          功能
          ubiquitin-protein transferase activity cysteine-type endopeptidase inhibitor activity protein binding zinc ion binding transferase activity peptidase inhibitor activity identical protein binding cysteine-type endopeptidase inhibitor activity involved in apoptotic process metal ion binding ubiquitin protein ligase activity protein serine/threonine kinase binding protease binding ligase activity scaffold protein binding UDP-N-acetylmuramoylalanyl-D-glutamyl-2,6-diaminopimelate-D-alanyl-D-alanine ligase activity ribosomal S6-glutamic acid ligase activity coenzyme F420-0 gamma-glutamyl ligase activity coenzyme F420-2 alpha-glutamyl ligase activity protein-glycine ligase activity protein-glycine ligase activity, initiating protein-glycine ligase activity, elongating tubulin-glycine ligase activity protein-glutamic acid ligase activity tubulin-glutamic acid ligase activity protease inhibitor
          参与通路
          ubiquitin-dependent protein catabolic process apoptotic process cellular response to DNA damage stimulus I-kappaB kinase/NF-kappaB signaling negative regulation of tumor necrosis factor-mediated signaling pathway Wnt signaling pathway regulation of BMP signaling pathway positive regulation of protein ubiquitination negative regulation of type I interferon production positive regulation of type I interferon production response to lipopolysaccharide p38MAPK cascade defense response to bacterium regulation of apoptotic process negative regulation of apoptotic process positive regulation of I-kappaB kinase/NF-kappaB signaling negative regulation of I-kappaB kinase/NF-kappaB signaling regulation of innate immune response positive regulation of JNK cascade regulation of inflammatory response neuron apoptotic process regulation of cell cycle copper ion homeostasis regulation of apoptosis involved in tissue homeostasis regulation of nucleotide-binding oligomerization domain containing signaling pathway nucleotide-binding oligomerization domain containing 1 signaling pathway nucleotide-binding oligomerization domain containing 2 signaling pathway protein K63-linked ubiquitination positive regulation of canonical Wnt signaling pathway protein linear polyubiquitination execution phase of apoptosis positive regulation of protein linear polyubiquitination protein ubiquitination negative regulation of cysteine-type endopeptidase activity involved in apoptotic process negative regulation of neuron apoptotic process mitotic spindle assembly inhibition of cysteine-type endopeptidase activity involved in apoptotic process
          It has to be done as per old AB suggested Products section.

          Disclaimer

          Close

          Clicking the images or links will redirect you to a website hosted by BenchSci that provides third-party scientific content. Neither the content nor the BenchSci technology and processes for selection have been evaluated by us; we are providing them as-is and without warranty of any kind, including for use or application of the Thermo Fisher Scientific products presented.

          guarantee_icon

          性能保障

          只要您发现Invitrogen抗体在实验中的表现与网站或说明书的所述内容不符,您即可享受免费退换货服务。*

          了解更多
          help_icon

          随时为您服务

          获取常见问题的专家解答,或者直接联系我们的技术专家,咨询应用、设备、常规产品使用问题。

          联系技术支持
          订购 Plus Icon Minus Icon
          • 订单状态查询
          • 订单支持
          • 货号直购
          • 现货供应中心
          • 电子采购
          支持 Plus Icon Minus Icon
          • 帮助&支持
          • 联系我们 - 400 820 8982
          • 技术支持中心
          • 查找文件&证书
          • 报告网站问题
          资源 Plus Icon Minus Icon
          • 学习中心
          • 促销
          • 活动&研讨会
          • 社交媒体
          关于赛默飞 Plus Icon Minus Icon
          • 关于我们
          • 招聘 招聘
          • 投资者关系 投资者关系
          • 新闻 新闻
          • 社会责任 社会责任
          • 商标
          • 政策和通知
          品牌 Plus Icon Minus Icon
          • Thermo Scientific
          • Applied Biosystems
          • Invitrogen
          • Gibco
          • Ion Torrent
          • Unity Lab Services
          • Patheon
          • PPD
          • 服务条款
          • 隐私政策
          • 定价和运输保险政策
          © 2006-2026 Thermo Fisher Scientific Inc. All rights reserved. All trademarks are the property of Thermo Fisher Scientific and its subsidiaries unless otherwise specified.
          China flag icon
          China
          本网站销售的所有产品均不得用于人类或动物之临床诊断或治疗,仅可用于工业或者科研等非医疗目的。
             电子营业执照 | 经营证照公示 | ICP备案号:沪ICP备11003924号 | 沪公网安备 31011502006935号

          Your items have has been added!


          Host server : magellan-search-green-6479c7f679-jmhj8:80/100.66.74.142:80.
          git-commit: b70c0dceb888abc3b0dcebb5bc3a5b8753e7e816
          git-url: https://github.com/thermofisher/magellan-search
          git-branch: release/2.50.0-Offline