Hamburger Menu Button
Thermo Fisher Scientific Logo
登录
没有账号?建立账号 注册
  • 产品
    • 抗体
    • 引物合成
    • GeneArt Gene Synthesis Instant Designer
    • TaqMan Assay and Array Search
    • PCR 设备和耗材
    • 色谱柱和纯化柱
    • 实验室离心机
    • 分子生物学试剂和试剂盒
    • 实验室塑料耗材及用品
    • 查看所有产品分类
  • 应用和技术
    • 色谱
    • 细胞转染和培养
    • 实时荧光定量PCR
    • 质谱
    • 实验室塑料耗材及用品
    • 电子显微镜
    • 蛋白质生物学
    • PCR
    • RNAi
    • 环境
    • 查看所有应用和技术
  • 服务
    • 定制服务
    • 企业级实验室信息化服务
    • 金融&租赁服务
    • 仪器服务
    • OEM和商业供应
    • 培训服务
    • 360° CDMO 和 CRO 服务
    • CDMO 服务
    • 临床试验 CRO 服务
    • Unity Lab Services
    • 查看所有帮助和支持
  • 帮助和支持
    • 学习中心
    • 联系我们
    • 更改国家或地区
    • 查看所有帮助和支持
  • 热门产品
    • TaqMan Real-Time PCR Assays
      TaqMan 实时荧光定量 PCR 试剂盒
    • Antibodies
      抗体
    • Oligos, Primers & Probes
      寡核苷酸、引物、探针
    • GeneArt Gene Synthesis
      GeneArt 基因合成
    • Cell Culture Plastics
      细胞培养耗材
  • Who We Serve
    • 抗体治疗解决方案
    • 细胞与基因治疗解决方案
    • 学术科研
    • 工业与应用
  • 联系我们
  • 货号直购
  • 订单查询
  • 查找文件&证书
Thermo Fisher Scientific Logo

Search

搜索全部或下列指定分类
Search button
          • 联系我们
          • 货号直购
          • 登录
            登录
            没有账号?建立账号 注册
            • 我的账号
            • 订单
            • 会员中心
            • 账单及发票查询
            • 定制产品及项目
          • Primary Antibodies ›
          • Ku80 Antibodies

          Proteintech

          XRCC5 Monoclonal Antibody (2G5E7)

          3 篇参考文献
          查看其他42个Ku80抗体

          {{$productOrderCtrl.translations['antibody.pdp.commerceCard.promotion.promotions']}}

          {{$productOrderCtrl.translations['antibody.pdp.commerceCard.promotion.viewpromo']}}

          {{$productOrderCtrl.translations['antibody.pdp.commerceCard.promotion.promocode']}}: {{promo.promoCode}} {{promo.promoTitle}} {{promo.promoDescription}}. {{$productOrderCtrl.translations['antibody.pdp.commerceCard.promotion.learnmore']}}

          说明书
          证书
          实验方案
          问题与答案
          技术支持
          说明书
          证书
          实验方案
          问题与答案
          技术支持
          说明书
          证书
          实验方案
          问题与答案
          技术支持

          Cite XRCC5 Monoclonal Antibody (2G5E7)

          Additional Information:
          {{banner.description}}
          {{$ctrl.isSkuNotesCollapsed ? 'View more' : 'View less'}}
          • 抗体检测数据 (9)
          XRCC5 Antibody in Immunocytochemistry (ICC/IF)
          Group 53 Created with Sketch.
          XRCC5 Antibody in Immunocytochemistry (ICC/IF)
          Group 53 Created with Sketch.

          图: 1 / 9

          {{ $ctrl.currentElement.advancedVerification.fullName }}
          {{ $ctrl.currentElement.advancedVerification.text }}

          XRCC5 Antibody (66546-1-IG) in ICC/IF

          Immunofluorescent analysis of ( 4% PFA) fixed HeLa cells using 66546-1-IG (XRCC5 antibody) at dilution of 1:100 and Alexa Fluor 488-conjugated AffiniPure Goat Anti-Mouse IGG (H+L). {{ $ctrl.currentElement.advancedVerification.fullName }} 验证信息 View more
          已发表图片由___提供 benchsci-logo
          PMID: {{$ctrl.currentElement.benchSciPubmedId}}
          查看产品

          {{$ctrl.videoDesc}}

          {{$ctrl.videoLongDesc}}

          XRCC5 Antibody in Immunocytochemistry (ICC/IF)
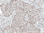
          XRCC5 Antibody in Immunohistochemistry (Paraffin) (IHC (P))
          XRCC5 Antibody in Immunohistochemistry (Paraffin) (IHC (P))
          XRCC5 Antibody in Immunohistochemistry (Paraffin) (IHC (P))
          XRCC5 Antibody in Immunohistochemistry (Paraffin) (IHC (P))
          XRCC5 Antibody in Western Blot (WB)
          XRCC5 Antibody in Western Blot (WB)
          XRCC5 Antibody in Immunoprecipitation (IP)
          XRCC5 Antibody in Immunoprecipitation (IP)
          XRCC5 Monoclonal Antibody (2G5E7)

          产品信息

          66546-1-IG

          应用
          建议稀释比
          已发表文章

          免疫印迹 (WB)

          1:5,000-1:50,000
          查看1篇已发表文章 1篇已发表文章

          免疫组化(石蜡) (IHC (P))

          1:500-1:2,000
          -

          免疫细胞化学 (ICC/IF)

          1:50-1:500
          查看2篇已发表文章 2篇已发表文章

          免疫沉淀 (IP)

          0.5-4.0 µg
          -
          产品规格

          种属反应

          Human, Mouse, Rat

          宿主/亚型

          Mouse / IgG1

          分类

          Monoclonal

          类型

          Antibody

          克隆号

          2G5E7

          抗原

          XRCC5 Fusion Protein Ag9512 (384-732 aa encoded by BC019027)
          3D表位/免疫原

          偶联物

          Unconjugated Unconjugated Unconjugated
          • CoraLite 555
          • CoraLite 594
          • CoraLite Plus 488
          • CoraLite Plus 647
          • Request custom conjugation

          形式

          Liquid

          浓度

          1 mg/mL

          规格

          150 µg

          纯化类型

          Protein G

          保存液

          PBS, pH 7.3, with 50% glycerol

          内含物

          0.02% sodium azide

          保存条件

          -20°C

          运输条件

          Wet ice (domestic); Dry ice (international)

          产品详细信息

          Immunogen sequence: LDDLDMVAI VRYAYDKRAN PQVGVAFPHI KHNYECLVYV QLPFMEDLRQ YMFSSLKNSK KYAPTEAQLN AVDALIDSMS LAKKDEKTDT LEDLFPTTKI PNPRFQRLFQ CLLHRALHPR EPLPPIQQHI WNMLNPPAEV TTKSQIPLSK IKTLFPLIEA KKKDQVTAQE IFQDNHEDGP TAKKLKTEQG GAHFSVSSLA EGSVTSVGSV NPAENFRVLV KQKKASFEEA SNQLINHIEQ FLDTNETPYF MKSIDCIRAF REEAIKFSEE QRFNNFLKAL QEKVEIKQLN HFWEIVVQDG ITLITKEEAS GSSVTAEEAK KFLAPKDKPS GDTAAVFEEG GDVDDLLDMI (384-732 aa encoded by BC019027)

          靶标信息

          The protein encoded by this gene is the 80-kilodalton subunit of the Ku heterodimer protein which is also known as ATP-dependant DNA helicase II or DNA repair protein XRCC5. Ku is the DNA-binding component of the DNA-dependent protein kinase, and it functions together with the DNA ligase IV-XRCC4 complex in the repair of DNA double-strand break by non-homologous end joining and the completion of V(D)J recombination events. This gene functionally complements Chinese hamster xrs-6, a mutant defective in DNA double-strand break repair and in ability to undergo V(D)J recombination. A rare microsatellite polymorphism in this gene is associated with cancer in patients of varying radiosensitivity.

          仅用于科研。不用于诊断过程。未经明确授权不得转售。

          生物信息学

          蛋白别名: 86 kDa subunit of Ku antigen; ATP-dependent DNA helicase 2 subunit 2; ATP-dependent DNA helicase II 80 kDa subunit; CTC box-binding factor 85 kDa subunit; CTC85; CTCBF; DNA repair protein Ku80; DNA repair protein XRCC5; FLJ39089; HGNC:12833; Ku (p70/p80) subunit; Ku antigen; Ku autoantigen protein p86 homolog; Ku autoantigen, 80kD); Ku autoantigen, 80kDa; Ku p80; Ku-80; Ku-86; Ku80; Ku86; Ku86 autoantigen related protein 1; Lupu; lupus; Lupus Ku autoantigen protein p86; Nuclear factor IV; OTTHUMP00000164061; OTTHUMP00000206791; Thyroid-lupus autoantigen; TLAA; unnamed protein product; X-ray repair complementing defective repair in Chinese hamster cells 5 (double-strand-break rejoining); X-ray repair cross complementation (double-strand-break rejoining; X-ray repair cross complementation (double-strand-break rejoining; Ku autoantigen, 80kD); X-ray repair cross-complementing protein 5

          查看更多 收起

          基因别名: AI314015; G22P2; KARP-1; KARP1; KU80; Ku86; KUB2; Kup80; NFIV; XRCC5

          查看更多 收起

          UniProt ID: (Human) P13010, (Mouse) P27641

          查看更多 收起

          Entrez Gene ID: (Human) 7520, (Rat) 363247, (Mouse) 22596

          查看更多 收起

          功能
          nucleotide binding transcription regulatory region sequence-specific DNA binding DNA binding DNA helicase activity damaged DNA binding double-stranded DNA binding double-stranded telomeric DNA binding RNA binding helicase activity protein binding ATP binding enzyme activator activity DNA-dependent ATPase activity hydrolase activity ATPase activity ubiquitin protein ligase binding U3 snoRNA binding telomeric DNA binding macromolecular complex binding DNA end binding 5'-deoxyribose-5-phosphate lyase activity ATP-dependent DNA helicase activity protein C-terminus binding transcription regulatory region DNA binding poly(A) RNA binding hydrolase activity, acting on acid anhydrides DNA helicase
          参与通路
          telomere maintenance recombinational repair activation of innate immune response immune system process DNA repair double-strand break repair double-strand break repair via nonhomologous end joining DNA recombination cellular response to DNA damage stimulus telomere maintenance via telomerase negative regulation of macromolecule biosynthetic process neurogenesis regulation of telomere maintenance small-subunit processome assembly ribosome biogenesis innate immune response positive regulation of protein kinase activity negative regulation of transcription, DNA-templated regulation of smooth muscle cell proliferation positive regulation of neurogenesis hematopoietic stem cell differentiation protein localization to chromosome, telomeric region hematopoietic stem cell proliferation cellular response to gamma radiation negative regulation of t-circle formation cellular response to leukemia inhibitory factor brain development cell proliferation DNA duplex unwinding response to drug cellular response to fatty acid cellular hyperosmotic salinity response cellular response to X-ray transcription, DNA-templated regulation of transcription, DNA-templated
          It has to be done as per old AB suggested Products section.

          Disclaimer

          Close

          Clicking the images or links will redirect you to a website hosted by BenchSci that provides third-party scientific content. Neither the content nor the BenchSci technology and processes for selection have been evaluated by us; we are providing them as-is and without warranty of any kind, including for use or application of the Thermo Fisher Scientific products presented.

          guarantee_icon

          性能保障

          只要您发现Invitrogen抗体在实验中的表现与网站或说明书的所述内容不符,您即可享受免费退换货服务。*

          了解更多
          help_icon

          随时为您服务

          获取常见问题的专家解答,或者直接联系我们的技术专家,咨询应用、设备、常规产品使用问题。

          联系技术支持
          订购 Plus Icon Minus Icon
          • 订单状态查询
          • 订单支持
          • 货号直购
          • 现货供应中心
          • 电子采购
          支持 Plus Icon Minus Icon
          • 帮助&支持
          • 联系我们 - 400 820 8982
          • 技术支持中心
          • 查找文件&证书
          • 报告网站问题
          资源 Plus Icon Minus Icon
          • 学习中心
          • 促销
          • 活动&研讨会
          • 社交媒体
          关于赛默飞 Plus Icon Minus Icon
          • 关于我们
          • 招聘 招聘
          • 投资者关系 投资者关系
          • 新闻 新闻
          • 社会责任 社会责任
          • 商标
          • 政策和通知
          品牌 Plus Icon Minus Icon
          • Thermo Scientific
          • Applied Biosystems
          • Invitrogen
          • Gibco
          • Ion Torrent
          • Unity Lab Services
          • Patheon
          • PPD
          • 服务条款
          • 隐私政策
          • 定价和运输保险政策
          © 2006-2026 Thermo Fisher Scientific Inc. All rights reserved. All trademarks are the property of Thermo Fisher Scientific and its subsidiaries unless otherwise specified.
          China flag icon
          China
          本网站销售的所有产品均不得用于人类或动物之临床诊断或治疗,仅可用于工业或者科研等非医疗目的。
             电子营业执照 | 经营证照公示 | ICP备案号:沪ICP备11003924号 | 沪公网安备 31011502006935号

          Your items have has been added!


          Host server : magellan-search-green-6479c7f679-sz4vp:80/100.66.76.236:80.
          git-commit: b70c0dceb888abc3b0dcebb5bc3a5b8753e7e816
          git-url: https://github.com/thermofisher/magellan-search
          git-branch: release/2.50.0-Offline