Search
Search
Bethyl Laboratories
{{$productOrderCtrl.translations['antibody.pdp.commerceCard.promotion.promotions']}}
{{$productOrderCtrl.translations['antibody.pdp.commerceCard.promotion.viewpromo']}}
{{$productOrderCtrl.translations['antibody.pdp.commerceCard.promotion.promocode']}}: {{promo.promoCode}} {{promo.promoTitle}} {{promo.promoDescription}}. {{$productOrderCtrl.translations['antibody.pdp.commerceCard.promotion.learnmore']}}
The recommended shelf life for this product is 1 year from date of receipt.
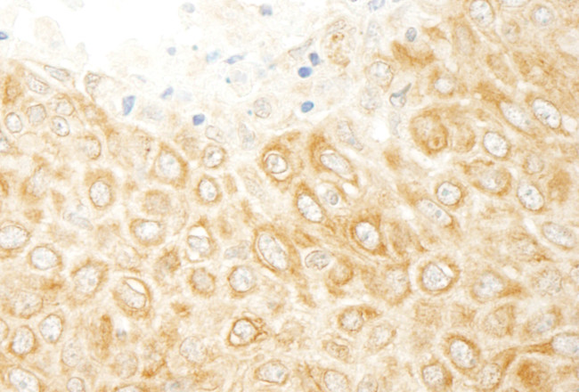
Application Note: For IHC, epitope retrieval with citrate buffer pH 6.0 is recommended for FFPE tissue sections.
ZAK is a leucine zipper-containing mitogen-activated protein related to the MLKs in both sequence and function. Like the MLKs and other MAP3Ks, ZAK activates MAP2Ks. ZAK is a member of the MAPKKK family of signal transduction molecules and encodes a protein with an N-terminal kinase catalytic domain, followed by a leucine zipper motif and a sterile-alpha motif. This magnesium-binding protein forms homodimers and is located in the cytoplasm. The protein mediates gamma radiation signaling leading to cell cycle arrest and activity of this protein plays a role in cell cycle checkpoint regulation in cells. The protein also has pro-apoptotic activity. Alternate transcriptional splice variants, encoding different isoforms, have been characterized.
仅用于科研。不用于诊断过程。未经明确授权不得转售。
蛋白别名: HCCS-4; Human cervical cancer suppressor gene 4 protein; Leucine zipper- and sterile alpha motif-containing kinase; Mitogen-activated protein kinase kinase kinase 20; Mitogen-activated protein kinase kinase kinase MLT; Mixed lineage kinase 7; mixed lineage kinase with a leucine zipper and a sterile alpha motif; Mixed lineage kinase-related kinase; mixed lineage kinase-related kinase MRK-beta; MLK-like mitogen-activated protein triple kinase; MLK-related kinase; Sterile alpha motif- and leucine zipper-containing kinase AZK
基因别名: AZK; HCCS4; MAP3K20; MLK7; mlklak; MLT; MLTK; MRK; pk; SFMMP; ZAK
UniProt ID: (Human) Q9NYL2
Entrez Gene ID: (Human) 51776