Hamburger Menu Button
Thermo Fisher Scientific Logo
登录
没有账号?建立账号 注册
  • 产品
    • 抗体
    • 引物合成
    • GeneArt Gene Synthesis Instant Designer
    • TaqMan Assay and Array Search
    • PCR 设备和耗材
    • 色谱柱和纯化柱
    • 实验室离心机
    • 分子生物学试剂和试剂盒
    • 实验室塑料耗材及用品
    • 查看所有产品分类
  • 应用和技术
    • 色谱
    • 细胞转染和培养
    • 实时荧光定量PCR
    • 质谱
    • 实验室塑料耗材及用品
    • 电子显微镜
    • 蛋白质生物学
    • PCR
    • RNAi
    • 环境
    • 查看所有应用和技术
  • 服务
    • 定制服务
    • 企业级实验室信息化服务
    • 金融&租赁服务
    • 仪器服务
    • OEM和商业供应
    • 培训服务
    • 360° CDMO 和 CRO 服务
    • CDMO 服务
    • 临床试验 CRO 服务
    • Unity Lab Services
    • 查看所有帮助和支持
  • 帮助和支持
    • 学习中心
    • 联系我们
    • 更改国家或地区
    • 查看所有帮助和支持
  • 热门产品
    • TaqMan Real-Time PCR Assays
      TaqMan 实时荧光定量 PCR 试剂盒
    • Antibodies
      抗体
    • Oligos, Primers & Probes
      寡核苷酸、引物、探针
    • GeneArt Gene Synthesis
      GeneArt 基因合成
    • Cell Culture Plastics
      细胞培养耗材
  • Who We Serve
    • 抗体治疗解决方案
    • 细胞与基因治疗解决方案
    • 学术科研
    • 工业与应用
  • 联系我们
  • 货号直购
  • 订单查询
  • 查找文件&证书
Thermo Fisher Scientific Logo

Search

搜索全部或下列指定分类
Search button
          • 联系我们
          • 货号直购
          • 登录
            登录
            没有账号?建立账号 注册
            • 我的账号
            • 订单
            • 会员中心
            • 账单及发票查询
            • 定制产品及项目
          • Primary Antibodies ›
          • ZBP1 Antibodies

          Invitrogen

          ZBP1 Polyclonal Antibody

          5个已发表图片
          4 篇参考文献
          查看其他9个ZBP1抗体

          {{$productOrderCtrl.translations['antibody.pdp.commerceCard.promotion.promotions']}}

          {{$productOrderCtrl.translations['antibody.pdp.commerceCard.promotion.viewpromo']}}

          {{$productOrderCtrl.translations['antibody.pdp.commerceCard.promotion.promocode']}}: {{promo.promoCode}} {{promo.promoTitle}} {{promo.promoDescription}}. {{$productOrderCtrl.translations['antibody.pdp.commerceCard.promotion.learnmore']}}

          说明书
          证书
          实验方案
          问题与答案
          技术支持
          说明书
          证书
          实验方案
          问题与答案
          技术支持
          说明书
          证书
          实验方案
          问题与答案
          技术支持

          Cite ZBP1 Polyclonal Antibody

          Additional Information:
          {{banner.description}}
          {{$ctrl.isSkuNotesCollapsed ? 'View more' : 'View less'}}
          • 抗体检测数据 (4)
          • 已发表图片 (5)
          ZBP1 Antibody in Immunohistochemistry (IHC)
          Group 53 Created with Sketch.
          ZBP1 Antibody in Immunohistochemistry (IHC)
          Group 53 Created with Sketch.

          图: 1 / 9

          {{ $ctrl.currentElement.advancedVerification.fullName }}
          {{ $ctrl.currentElement.advancedVerification.text }}

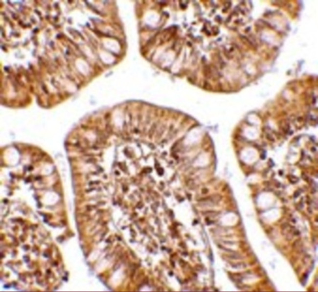
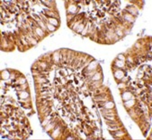
          ZBP1 Antibody (PA5-20455) in IHC

          Immunohistochemistry of ZBP1 in human small intestine tissue with ZBP1 Polyclonal Antibody (Product # PA5-20455) at 2.5 µg/mL. {{ $ctrl.currentElement.advancedVerification.fullName }} 验证信息 View more
          已发表图片由___提供 benchsci-logo
          PMID: {{$ctrl.currentElement.benchSciPubmedId}}
          查看产品

          {{$ctrl.videoDesc}}

          {{$ctrl.videoLongDesc}}

          ZBP1 Antibody in Immunohistochemistry (IHC)
          ZBP1 Antibody in Immunohistochemistry (IHC)
          ZBP1 Antibody in Western Blot (WB)
          ZBP1 Antibody in Western Blot (WB)
          ZBP1 Antibody in Western Blot, Immunohistochemistry (PFA fixed) (WB, IHC (PFA))
          ZBP1 Antibody in Immunohistochemistry (PFA fixed) (IHC (PFA))
          ZBP1 Antibody in Western Blot (WB)
          ZBP1 Antibody in Western Blot, Immunoprecipitation (WB, IP)
          ZBP1 Antibody in Western Blot (WB)
          ZBP1 Polyclonal Antibody

          产品信息

          PA5-20455

          应用
          建议稀释比
          已发表文章

          免疫印迹 (WB)

          0.5-2.0 µg/mL
          查看2篇已发表文章 2篇已发表文章

          免疫组化 (IHC)

          20 µg/mL
          -

          免疫组化(石蜡) (IHC (P))

          2.5 µg/mL
          -

          免疫组织化学(多聚甲醛固定) (IHC (PFA))

          -
          查看1篇已发表文章 1篇已发表文章

          免疫沉淀 (IP)

          -
          查看1篇已发表文章 1篇已发表文章
          产品规格

          种属反应

          Human, Mouse, Rat

          已发表种属

          Human

          宿主/亚型

          Rabbit / IgG

          分类

          Polyclonal

          类型

          Antibody

          抗原

          An 18 amino acid synthetic peptide from near the carboxy terminus of human ZBP1. The immunogen is located within the last 50 amino acids of ZBP1.
          3D表位/免疫原

          偶联物

          Unconjugated Unconjugated Unconjugated

          形式

          Liquid

          浓度

          1 mg/mL

          规格

          100 µg

          纯化类型

          Antigen affinity chromatography

          保存液

          PBS

          内含物

          0.02% sodium azide

          保存条件

          4°C

          运输条件

          Ambient (domestic); Wet ice (international)

          RRID

          AB_11154181

          产品详细信息

          Suggested positive controls are mouse small intestine or human small intestine tissue lysate.

          PA5-20455 can be used with blocking peptide PEP-0572.

          PA5-20455 detects ZBP1 in WB application with human samples.

          靶标信息

          Z-DNA binding protein 1 (ZBP1) belongs to a family of proteins that contain the Zalpha domain which binds specifically to left-handed Z-DNA and Z-RNA. ZBP1 was initially identified as a novel gene that was up-regulated in activated macrophages in mice bearing ascites tumors, suggesting that is may play a role in processes such as host response in neoplasia. More recent reports indicate that the cytosolic ZBP1 has can act like the toll-like receptor TLR9 by detecting cytosolic double-stranded (ds) DNA and trigger induction of type I interferon and other innate immune responses. It is thought that the binding of ZBP1 to dsDNA enhances its association with innate immune response proteins such as the IRF3 transcription factor and the serine/threonine kinase TBK1 (also known as NAK). Multiple isoforms of ZBP1 are known to exist.

          仅用于科研。不用于诊断过程。未经明确授权不得转售。

          生物信息学

          蛋白别名: DAI; DNA-dependent activator of IFN-regulatory factors; DNA-dependent activator of IRFs; RP4-718J7.1; Tumor stroma and activated macrophage protein DLM-1; unnamed protein product; Z-DNA-binding protein 1

          查看更多 收起

          基因别名: 2010010H03Rik; C20orf183; DAI; DLM-1; DLM1; mZaDLM; ZBP1

          查看更多 收起

          UniProt ID: (Human) Q9H171, (Mouse) Q9QY24

          查看更多 收起

          Entrez Gene ID: (Human) 81030, (Mouse) 58203, (Rat) 171091

          查看更多 收起

          功能
          DNA binding left-handed Z-DNA binding RNA binding double-stranded RNA binding double-stranded RNA adenosine deaminase activity protein binding identical protein binding DNA metabolism protein nucleic acid metabolism protein
          参与通路
          activation of innate immune response immune system process apoptotic process programmed cell death positive regulation of apoptotic process innate immune response regulation of inflammatory response positive regulation of inflammatory response defense response to fungus defense response to virus positive regulation of type I interferon-mediated signaling pathway positive regulation of necroptotic process pyroptosis necroptotic signaling pathway execution phase of necroptosis antiviral innate immune response regulation of interleukin-1-mediated signaling pathway viral process metabolic process
          It has to be done as per old AB suggested Products section.

          Disclaimer

          Close

          Clicking the images or links will redirect you to a website hosted by BenchSci that provides third-party scientific content. Neither the content nor the BenchSci technology and processes for selection have been evaluated by us; we are providing them as-is and without warranty of any kind, including for use or application of the Thermo Fisher Scientific products presented.

          guarantee_icon

          性能保障

          只要您发现Invitrogen抗体在实验中的表现与网站或说明书的所述内容不符,您即可享受免费退换货服务。*

          了解更多
          help_icon

          随时为您服务

          获取常见问题的专家解答,或者直接联系我们的技术专家,咨询应用、设备、常规产品使用问题。

          联系技术支持
          订购 Plus Icon Minus Icon
          • 订单状态查询
          • 订单支持
          • 货号直购
          • 现货供应中心
          • 电子采购
          支持 Plus Icon Minus Icon
          • 帮助&支持
          • 联系我们 - 400 820 8982
          • 技术支持中心
          • 查找文件&证书
          • 报告网站问题
          资源 Plus Icon Minus Icon
          • 学习中心
          • 促销
          • 活动&研讨会
          • 社交媒体
          关于赛默飞 Plus Icon Minus Icon
          • 关于我们
          • 招聘 招聘
          • 投资者关系 投资者关系
          • 新闻 新闻
          • 社会责任 社会责任
          • 商标
          • 政策和通知
          品牌 Plus Icon Minus Icon
          • Thermo Scientific
          • Applied Biosystems
          • Invitrogen
          • Gibco
          • Ion Torrent
          • Unity Lab Services
          • Patheon
          • PPD
          • 服务条款
          • 隐私政策
          • 定价和运输保险政策
          © 2006-2026 Thermo Fisher Scientific Inc. All rights reserved. All trademarks are the property of Thermo Fisher Scientific and its subsidiaries unless otherwise specified.
          China flag icon
          China
          本网站销售的所有产品均不得用于人类或动物之临床诊断或治疗,仅可用于工业或者科研等非医疗目的。
             电子营业执照 | 经营证照公示 | ICP备案号:沪ICP备11003924号 | 沪公网安备 31011502006935号

          Your items have has been added!


          Host server : magellan-search-green-6479c7f679-jmhj8:80/100.66.74.142:80.
          git-commit: b70c0dceb888abc3b0dcebb5bc3a5b8753e7e816
          git-url: https://github.com/thermofisher/magellan-search
          git-branch: release/2.50.0-Offline