Hamburger Menu Button
Thermo Fisher Scientific Logo
登录
没有账号?建立账号 注册
  • 产品
    • 抗体
    • 引物合成
    • GeneArt Gene Synthesis Instant Designer
    • TaqMan Assay and Array Search
    • PCR 设备和耗材
    • 色谱柱和纯化柱
    • 实验室离心机
    • 分子生物学试剂和试剂盒
    • 实验室塑料耗材及用品
    • 查看所有产品分类
  • 应用和技术
    • 色谱
    • 细胞转染和培养
    • 实时荧光定量PCR
    • 质谱
    • 实验室塑料耗材及用品
    • 电子显微镜
    • 蛋白质生物学
    • PCR
    • RNAi
    • 环境
    • 查看所有应用和技术
  • 服务
    • 定制服务
    • 企业级实验室信息化服务
    • 金融&租赁服务
    • 仪器服务
    • OEM和商业供应
    • 培训服务
    • 360° CDMO 和 CRO 服务
    • CDMO 服务
    • 临床试验 CRO 服务
    • Unity Lab Services
    • 查看所有帮助和支持
  • 帮助和支持
    • 学习中心
    • 联系我们
    • 更改国家或地区
    • 查看所有帮助和支持
  • 热门产品
    • TaqMan Real-Time PCR Assays
      TaqMan 实时荧光定量 PCR 试剂盒
    • Antibodies
      抗体
    • Oligos, Primers & Probes
      寡核苷酸、引物、探针
    • GeneArt Gene Synthesis
      GeneArt 基因合成
    • Cell Culture Plastics
      细胞培养耗材
  • Who We Serve
    • 抗体治疗解决方案
    • 细胞与基因治疗解决方案
    • 学术科研
    • 工业与应用
  • 联系我们
  • 货号直购
  • 订单查询
  • 查找文件&证书
Thermo Fisher Scientific Logo

Search

搜索全部或下列指定分类
Search button
          • 联系我们
          • 货号直购
          • 登录
            登录
            没有账号?建立账号 注册
            • 我的账号
            • 订单
            • 会员中心
            • 账单及发票查询
            • 定制产品及项目
          • Primary Antibodies ›
          • ZC3H12A Antibodies

          Invitrogen

          ZC3H12A Polyclonal Antibody

          查看其他8个ZC3H12A抗体

          {{$productOrderCtrl.translations['antibody.pdp.commerceCard.promotion.promotions']}}

          {{$productOrderCtrl.translations['antibody.pdp.commerceCard.promotion.viewpromo']}}

          {{$productOrderCtrl.translations['antibody.pdp.commerceCard.promotion.promocode']}}: {{promo.promoCode}} {{promo.promoTitle}} {{promo.promoDescription}}. {{$productOrderCtrl.translations['antibody.pdp.commerceCard.promotion.learnmore']}}

          说明书
          证书
          实验方案
          问题与答案
          技术支持
          说明书
          证书
          实验方案
          问题与答案
          技术支持
          说明书
          证书
          实验方案
          问题与答案
          技术支持

          Cite ZC3H12A Polyclonal Antibody

          Additional Information:
          {{banner.description}}
          {{$ctrl.isSkuNotesCollapsed ? 'View more' : 'View less'}}
          • 抗体检测数据 (2)
          ZC3H12A Antibody in Immunohistochemistry (Paraffin) (IHC (P))
          Group 53 Created with Sketch.
          ZC3H12A Antibody in Immunohistochemistry (Paraffin) (IHC (P))
          Group 53 Created with Sketch.

          图: 1 / 2

          {{ $ctrl.currentElement.advancedVerification.fullName }}
          {{ $ctrl.currentElement.advancedVerification.text }}

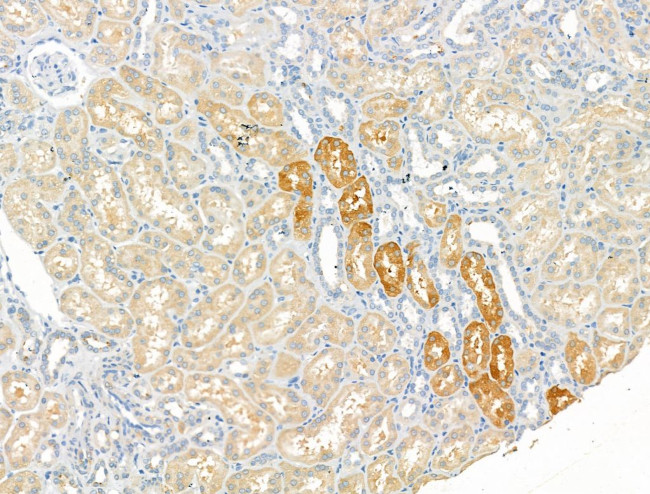
          ZC3H12A Antibody (PA5-115556) in IHC (P)

          Immunohistochemistry analysis of ZC3H12A in human kidney cancer and adjacent normal tissues. Samples were treated with formaldehyde and treated with citrate buffer for antigen retrieval, blocked, and incubated (1.5 hours at 22°C) with polyclonal antibody (Product # PA5-115556) at a dilution of 1:100. Secondary staining was applied with HRP conjugated anti-Rabbit. {{ $ctrl.currentElement.advancedVerification.fullName }} 验证信息 View more
          已发表图片由___提供 benchsci-logo
          PMID: {{$ctrl.currentElement.benchSciPubmedId}}
          查看产品

          {{$ctrl.videoDesc}}

          {{$ctrl.videoLongDesc}}

          ZC3H12A Antibody in Immunohistochemistry (Paraffin) (IHC (P))
          ZC3H12A Antibody in Western Blot (WB)
          ZC3H12A Polyclonal Antibody

          产品信息

          PA5-115556

          应用
          建议稀释比
          已发表文章

          免疫印迹 (WB)

          1:500-1:2,000
          -

          免疫组化(石蜡) (IHC (P))

          1:50-1:200
          -
          产品规格

          种属反应

          Human, Mouse, Rat

          宿主/亚型

          Rabbit / IgG

          分类

          Polyclonal

          类型

          Antibody

          抗原

          A synthesized peptide derived from human ZC3H12A(Accession Q5D1E8), corresponding to amino acid residues V222-D272.
          3D表位/免疫原

          偶联物

          Unconjugated Unconjugated Unconjugated

          形式

          Liquid

          浓度

          1 mg/mL

          规格

          100 µg

          纯化类型

          Affinity chromatography

          保存液

          PBS with 50% glycerol

          内含物

          0.02% sodium azide

          保存条件

          -20°C

          运输条件

          Ambient (domestic); Wet ice (international)

          RRID

          AB_2900191

          产品详细信息

          Antibody detects endogenous levels of total MCPIP1.

          靶标信息

          ZC3H12A is an MCP1 -induced protein that acts as a transcriptional activator and causes cell death of cardiomyocytes, possibly via induction of genes associated with apoptosis.

          仅用于科研。不用于诊断过程。未经明确授权不得转售。

          篇参考文献 (0)

          您是否在文献中引用过该产品?请点击下方按钮邮件告知我们。
          引用该产品

          生物信息学

          蛋白别名: bifunctional endoribonuclease and deubiquitinase ZC3H12A; Endoribonuclease ZC3H12A; FLJ23231; MCP-1 induced protein 1; MCPIP1; MCP-1 treatment-induced protein; MCP-induced protein 1; MCPIP; transcription factor; Monocyte chemotactic protein-induced protein 1; Reg1; Regnase-1; ribonuclease ZC3H12A; RP3-423B22.1; unnamed protein product; zc3h12a; zc3h12a {ECO:0000312|RGD:1306776}; Zinc finger CCCH domain-containing protein 12A

          查看更多 收起

          基因别名: BC036563; dJ423B22.1; MCPIP; MCPIP-1; MCPIP1; Reg1; RGD1306776; ZC3H12A

          查看更多 收起

          UniProt ID: (Human) Q5D1E8, (Rat) A0JPN4, (Mouse) Q5D1E7

          查看更多 收起

          Entrez Gene ID: (Human) 80149, (Rat) 313587, (Mouse) 230738

          查看更多 收起

          功能
          DNA binding chromatin binding RNA binding mRNA binding mRNA 3'-UTR binding nuclease activity endonuclease activity endoribonuclease activity exoribonuclease activity ribonuclease activity thiol-dependent ubiquitin-specific protease activity protein binding zinc ion binding hydrolase activity miRNA binding RNA stem-loop binding mRNA 3'-UTR AU-rich region binding ribosome binding metal ion binding phosphoric ester hydrolase activity T/G mismatch-specific endonuclease activity retroviral 3' processing activity endoribonuclease
          参与通路
          negative regulation of transcription from RNA polymerase II promoter nuclear-transcribed mRNA catabolic process, nonsense-mediated decay angiogenesis negative regulation of protein phosphorylation positive regulation of defense response to virus by host immune system process immune response-activating signal transduction mRNA catabolic process apoptotic process inflammatory response cellular response to DNA damage stimulus nervous system development regulation of gene expression positive regulation of autophagy miRNA catabolic process positive regulation of endothelial cell migration positive regulation of gene expression negative regulation of gene expression negative regulation of muscle cell apoptotic process positive regulation of lipid storage protein deubiquitination cell differentiation negative regulation of interferon-gamma production negative regulation of interleukin-1 beta production negative regulation of interleukin-6 production negative regulation of tumor necrosis factor production cellular response to oxidative stress cellular response to glucose starvation positive regulation of protein import into nucleus negative regulation of macrophage activation negative regulation of I-kappaB kinase/NF-kappaB signaling negative regulation by host of viral genome replication negative regulation of nitric oxide biosynthetic process positive regulation of fat cell differentiation positive regulation of angiogenesis positive regulation of transcription from RNA polymerase II promoter T cell receptor signaling pathway protein oligomerization defense response to virus negative regulation of cardiac muscle contraction positive regulation of mRNA catabolic process 3'-UTR-mediated mRNA destabilization cellular response to lipopolysaccharide cellular response to interleukin-1 cellular response to tumor necrosis factor cellular response to virus negative regulation of cytokine production involved in inflammatory response positive regulation of execution phase of apoptosis positive regulation of p38MAPK cascade negative regulation of NIK/NF-kappaB signaling positive regulation of protein deubiquitination cellular response to sodium arsenite cellular response to ionomycin cellular response to chemokine negative regulation of T-helper 17 cell differentiation positive regulation of reactive oxygen species metabolic process positive regulation of miRNA catabolic process negative regulation of NF-kappaB transcription factor activity nucleic acid phosphodiester bond hydrolysis multicellular organism development
          It has to be done as per old AB suggested Products section.

          Disclaimer

          Close

          Clicking the images or links will redirect you to a website hosted by BenchSci that provides third-party scientific content. Neither the content nor the BenchSci technology and processes for selection have been evaluated by us; we are providing them as-is and without warranty of any kind, including for use or application of the Thermo Fisher Scientific products presented.

          guarantee_icon

          性能保障

          只要您发现Invitrogen抗体在实验中的表现与网站或说明书的所述内容不符,您即可享受免费退换货服务。*

          了解更多
          help_icon

          随时为您服务

          获取常见问题的专家解答,或者直接联系我们的技术专家,咨询应用、设备、常规产品使用问题。

          联系技术支持
          订购 Plus Icon Minus Icon
          • 订单状态查询
          • 订单支持
          • 货号直购
          • 现货供应中心
          • 电子采购
          支持 Plus Icon Minus Icon
          • 帮助&支持
          • 联系我们 - 400 820 8982
          • 技术支持中心
          • 查找文件&证书
          • 报告网站问题
          资源 Plus Icon Minus Icon
          • 学习中心
          • 促销
          • 活动&研讨会
          • 社交媒体
          关于赛默飞 Plus Icon Minus Icon
          • 关于我们
          • 招聘 招聘
          • 投资者关系 投资者关系
          • 新闻 新闻
          • 社会责任 社会责任
          • 商标
          • 政策和通知
          品牌 Plus Icon Minus Icon
          • Thermo Scientific
          • Applied Biosystems
          • Invitrogen
          • Gibco
          • Ion Torrent
          • Unity Lab Services
          • Patheon
          • PPD
          • 服务条款
          • 隐私政策
          • 定价和运输保险政策
          © 2006-2026 Thermo Fisher Scientific Inc. All rights reserved. All trademarks are the property of Thermo Fisher Scientific and its subsidiaries unless otherwise specified.
          China flag icon
          China
          本网站销售的所有产品均不得用于人类或动物之临床诊断或治疗,仅可用于工业或者科研等非医疗目的。
             电子营业执照 | 经营证照公示 | ICP备案号:沪ICP备11003924号 | 沪公网安备 31011502006935号

          Your items have has been added!


          Host server : magellan-search-green-6479c7f679-v472f:80/100.66.78.195:80.
          git-commit: b70c0dceb888abc3b0dcebb5bc3a5b8753e7e816
          git-url: https://github.com/thermofisher/magellan-search
          git-branch: release/2.50.0-Offline