Hamburger Menu Button
Thermo Fisher Scientific Logo
登录
没有账号?建立账号 注册
  • 产品
    • 抗体
    • 引物合成
    • GeneArt Gene Synthesis Instant Designer
    • TaqMan Assay and Array Search
    • PCR 设备和耗材
    • 色谱柱和纯化柱
    • 实验室离心机
    • 分子生物学试剂和试剂盒
    • 实验室塑料耗材及用品
    • 查看所有产品分类
  • 应用和技术
    • 色谱
    • 细胞转染和培养
    • 实时荧光定量PCR
    • 质谱
    • 实验室塑料耗材及用品
    • 电子显微镜
    • 蛋白质生物学
    • PCR
    • RNAi
    • 环境
    • 查看所有应用和技术
  • 服务
    • 定制服务
    • 企业级实验室信息化服务
    • 金融&租赁服务
    • 仪器服务
    • OEM和商业供应
    • 培训服务
    • 360° CDMO 和 CRO 服务
    • CDMO 服务
    • 临床试验 CRO 服务
    • Unity Lab Services
    • 查看所有帮助和支持
  • 帮助和支持
    • 学习中心
    • 联系我们
    • 更改国家或地区
    • 查看所有帮助和支持
  • 热门产品
    • TaqMan Real-Time PCR Assays
      TaqMan 实时荧光定量 PCR 试剂盒
    • Antibodies
      抗体
    • Oligos, Primers & Probes
      寡核苷酸、引物、探针
    • GeneArt Gene Synthesis
      GeneArt 基因合成
    • Cell Culture Plastics
      细胞培养耗材
  • Who We Serve
    • 抗体治疗解决方案
    • 细胞与基因治疗解决方案
    • 学术科研
    • 工业与应用
  • 联系我们
  • 货号直购
  • 订单查询
  • 查找文件&证书
Thermo Fisher Scientific Logo

Search

搜索全部或下列指定分类
Search button
          • 联系我们
          • 货号直购
          • 登录
            登录
            没有账号?建立账号 注册
            • 我的账号
            • 订单
            • 会员中心
            • 账单及发票查询
            • 定制产品及项目
          • Primary Antibodies ›
          • beta-2 Adrenergic Receptor Antibodies

          Invitrogen

          beta-2 Adrenergic Receptor Recombinant Rabbit Monoclonal Antibody (JM102-06)

          2个已发表图片
          1 篇参考文献
          查看其他44个beta-2 Adrenergic Receptor抗体

          {{$productOrderCtrl.translations['antibody.pdp.commerceCard.promotion.promotions']}}

          {{$productOrderCtrl.translations['antibody.pdp.commerceCard.promotion.viewpromo']}}

          {{$productOrderCtrl.translations['antibody.pdp.commerceCard.promotion.promocode']}}: {{promo.promoCode}} {{promo.promoTitle}} {{promo.promoDescription}}. {{$productOrderCtrl.translations['antibody.pdp.commerceCard.promotion.learnmore']}}

          说明书
          证书
          实验方案
          问题与答案
          技术支持
          说明书
          证书
          实验方案
          问题与答案
          技术支持
          说明书
          证书
          实验方案
          问题与答案
          技术支持

          Cite beta-2 Adrenergic Receptor Recombinant Rabbit Monoclonal Antibody (JM102-06)

          Additional Information:
          {{banner.description}}
          {{$ctrl.isSkuNotesCollapsed ? 'View more' : 'View less'}}
          • 抗体检测数据 (3)
          • 已发表图片 (2)
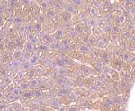
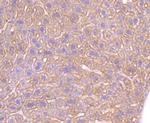
          beta-2 Adrenergic Receptor Antibody in Immunohistochemistry (Paraffin) (IHC (P))
          Group 53 Created with Sketch.
          beta-2 Adrenergic Receptor Antibody in Immunohistochemistry (Paraffin) (IHC (P))
          Group 53 Created with Sketch.

          图: 1 / 5

          {{ $ctrl.currentElement.advancedVerification.fullName }}
          {{ $ctrl.currentElement.advancedVerification.text }}

          beta-2 Adrenergic Receptor Antibody (MA5-32570) in IHC (P)

          Immunohistochemical analysis of beta-2 Adrenergic Receptor of paraffin-embedded Mouse brain tissue using a beta-2-Adrenergic-Receptor Monoclonal antibody (Product #MA5-32570). Counter stained with hematoxylin. {{ $ctrl.currentElement.advancedVerification.fullName }} 验证信息 View more
          已发表图片由___提供 benchsci-logo
          PMID: {{$ctrl.currentElement.benchSciPubmedId}}
          查看产品

          {{$ctrl.videoDesc}}

          {{$ctrl.videoLongDesc}}

          beta-2 Adrenergic Receptor Antibody in Immunohistochemistry (Paraffin) (IHC (P))
          beta-2 Adrenergic Receptor Antibody in Immunohistochemistry (Paraffin) (IHC (P))
          beta-2 Adrenergic Receptor Antibody in Western Blot (WB)
          beta-2 Adrenergic Receptor Antibody in Western Blot (WB)
          beta-2 Adrenergic Receptor Antibody in Western Blot (WB)
          beta-2 Adrenergic Receptor Recombinant Rabbit Monoclonal Antibody (JM102-06)

          产品信息

          MA5-32570

          应用
          建议稀释比
          已发表文章

          免疫印迹 (WB)

          1:5,000-1:20,000
          查看1篇已发表文章 1篇已发表文章

          免疫组化(石蜡) (IHC (P))

          1:200-1:5000
          -

          免疫组化(冰冻) (IHC (F))

          1:500
          -

          免疫细胞化学 (ICC/IF)

          1:100
          -

          流式细胞分析 (Flow)

          1:1,000
          -
          产品规格

          种属反应

          Human, Mouse, Rat, Zebrafish

          宿主/亚型

          Rabbit / IgG

          Expression System

          HEK293 cells

          分类

          Recombinant Monoclonal

          类型

          Antibody

          克隆号

          JM102-06

          抗原

          Synthetic peptide within Human ADRB2 aa 369-400.
          3D表位/免疫原

          偶联物

          Unconjugated Unconjugated Unconjugated

          形式

          Liquid

          浓度

          1.043 mg/mL

          规格

          104.3 µg

          纯化类型

          Protein A

          保存液

          TBS, pH 7.4, with 40% Glycerol, 0.05% BSA

          内含物

          0.05% sodium azide

          保存条件

          Store at 4°C short term. For long term storage, store at -20°C, avoiding freeze/thaw cycles.

          运输条件

          Ambient (domestic); Wet ice (international)

          RRID

          AB_2809847

          产品详细信息

          Recombinant rabbit monoclonal antibodies are produced using in vitro expression systems. The expression systems are developed by cloning in the specific antibody DNA sequences from immunoreactive rabbits. Then, individual clones are screened to select the best candidates for production. The advantages of using recombinant rabbit monoclonal antibodies include: better specificity and sensitivity, lot-to-lot consistency, animal origin-free formulations, and broader immunoreactivity to diverse targets due to larger rabbit immune repertoire.

          靶标信息

          Adrenergic receptors (ARs) are members of the 7-transmembrane domain G-protein-coupled receptor superfamily that bind the endogenous catecholamines epinephrine and norepinephrine. Pharmacological, structural, and molecular cloning data indicate significant heterogeneity within this receptor family. Nine receptor subtypes have been identified thus far including three alpha-1 AR subtypes (1A/D, 1B, and 1C), three alpha-2 ARs (2A, 2B, and 2C), and three beta AR subtypes (1, 2, and 3). ARs participate in either the onset or maintenance of several disease states including hypertension, cardiac dysfunction (congestive heart failure, ischemia, arrhythmias), diabetes, glaucoma, depression, and impotence.

          仅用于科研。不用于诊断过程。未经明确授权不得转售。

          生物信息学

          蛋白别名: Adrenergic beta 2- receptor surface; adrenergic receptor, beta 2; adrenergic, beta-2-, receptor, surface; adrenoceptor beta 2 surface; AR beta2; beta 2-AR; Beta-2 adrenergic receptor; Beta-2 adrenoceptor; Beta-2 adrenoreceptor; beta2-Adrenoreceptor; catecholamine receptor; HGNC:286; putative; unnamed protein product

          查看更多 收起

          基因别名: Adrb-2; ADRB2; ADRB2R; ADRBR; ARB2; B2AR; Badm; BAR; BETA2AR; Gpcr7

          查看更多 收起

          UniProt ID: (Human) P07550, (Mouse) P18762

          查看更多 收起

          Entrez Gene ID: (Human) 154, (Mouse) 11555, (Rat) 24176

          查看更多 收起

          功能
          beta-amyloid binding G-protein coupled receptor activity adrenergic receptor activity beta-adrenergic receptor activity beta2-adrenergic receptor activity protein binding adenylate cyclase binding potassium channel regulator activity enzyme binding identical protein binding protein homodimerization activity macromolecular complex binding norepinephrine binding G-protein alpha-subunit binding signal transducer activity drug binding B2 bradykinin receptor binding protein complex binding dopamine binding ionotropic glutamate receptor binding epinephrine binding PDZ domain binding G-protein coupled receptor
          参与通路
          regulation of systemic arterial blood pressure by norepinephrine-epinephrine diet induced thermogenesis vasodilation by norepinephrine-epinephrine involved in regulation of systemic arterial blood pressure regulation of sodium ion transport transcription from RNA polymerase II promoter receptor-mediated endocytosis smooth muscle contraction regulation of smooth muscle contraction signal transduction cell surface receptor signaling pathway G-protein coupled receptor signaling pathway adenylate cyclase-modulating G-protein coupled receptor signaling pathway adenylate cyclase-activating G-protein coupled receptor signaling pathway endosome to lysosome transport response to cold positive regulation of bone mineralization heat generation negative regulation of multicellular organism growth positive regulation of MAPK cascade bone resorption negative regulation of G-protein coupled receptor protein signaling pathway positive regulation of transcription from RNA polymerase II promoter negative regulation of smooth muscle contraction brown fat cell differentiation positive regulation of mini excitatory postsynaptic potential adrenergic receptor signaling pathway adenylate cyclase-activating adrenergic receptor signaling pathway regulation of blood vessel diameter AMPA selective glutamate receptor signaling pathway positive regulation of cold-induced thermogenesis positive regulation of cAMP/PKA signal transduction positive regulation of autophagosome maturation positive regulation of lipophagy cellular response to beta-amyloid response to psychosocial stress desensitization of G-protein coupled receptor protein signaling pathway by arrestin diaphragm contraction positive regulation of the force of heart contraction by epinephrine activation of adenylate cyclase activity cell-cell signaling positive regulation of cell proliferation associative learning positive regulation of sodium ion transport negative regulation of angiogenesis negative regulation of ossification positive regulation of protein ubiquitination positive regulation of ATPase activity synaptic transmission, glutamatergic negative regulation of urine volume wound healing regulation of vasodilation positive regulation of apoptotic process positive regulation of potassium ion transport positive regulation of heart contraction positive regulation of vasodilation positive regulation of skeletal muscle tissue growth negative regulation of inflammatory response regulation of calcium ion transport regulation of sensory perception of pain excitatory postsynaptic potential cellular response to hypoxia negative regulation of platelet aggregation mitophagy in response to mitochondrial depolarization response to hypoxia liver development female pregnancy aging response to progesterone response to testosterone response to estrogen estrous cycle response to dexamethasone response to monoamine liver regeneration
          It has to be done as per old AB suggested Products section.

          Disclaimer

          Close

          Clicking the images or links will redirect you to a website hosted by BenchSci that provides third-party scientific content. Neither the content nor the BenchSci technology and processes for selection have been evaluated by us; we are providing them as-is and without warranty of any kind, including for use or application of the Thermo Fisher Scientific products presented.

          guarantee_icon

          性能保障

          只要您发现Invitrogen抗体在实验中的表现与网站或说明书的所述内容不符,您即可享受免费退换货服务。*

          了解更多
          help_icon

          随时为您服务

          获取常见问题的专家解答,或者直接联系我们的技术专家,咨询应用、设备、常规产品使用问题。

          联系技术支持
          订购 Plus Icon Minus Icon
          • 订单状态查询
          • 订单支持
          • 货号直购
          • 现货供应中心
          • 电子采购
          支持 Plus Icon Minus Icon
          • 帮助&支持
          • 联系我们 - 400 820 8982
          • 技术支持中心
          • 查找文件&证书
          • 报告网站问题
          资源 Plus Icon Minus Icon
          • 学习中心
          • 促销
          • 活动&研讨会
          • 社交媒体
          关于赛默飞 Plus Icon Minus Icon
          • 关于我们
          • 招聘 招聘
          • 投资者关系 投资者关系
          • 新闻 新闻
          • 社会责任 社会责任
          • 商标
          • 政策和通知
          品牌 Plus Icon Minus Icon
          • Thermo Scientific
          • Applied Biosystems
          • Invitrogen
          • Gibco
          • Ion Torrent
          • Unity Lab Services
          • Patheon
          • PPD
          • 服务条款
          • 隐私政策
          • 定价和运输保险政策
          © 2006-2026 Thermo Fisher Scientific Inc. All rights reserved. All trademarks are the property of Thermo Fisher Scientific and its subsidiaries unless otherwise specified.
          China flag icon
          China
          本网站销售的所有产品均不得用于人类或动物之临床诊断或治疗,仅可用于工业或者科研等非医疗目的。
             电子营业执照 | 经营证照公示 | ICP备案号:沪ICP备11003924号 | 沪公网安备 31011502006935号

          Your items have has been added!


          Host server : magellan-search-green-6479c7f679-jmhj8:80/100.66.74.142:80.
          git-commit: b70c0dceb888abc3b0dcebb5bc3a5b8753e7e816
          git-url: https://github.com/thermofisher/magellan-search
          git-branch: release/2.50.0-Offline