Hamburger Menu Button
Thermo Fisher Scientific Logo
登录
没有账号?建立账号 注册
  • 产品
    • 抗体
    • 引物合成
    • GeneArt Gene Synthesis Instant Designer
    • TaqMan Assay and Array Search
    • PCR 设备和耗材
    • 色谱柱和纯化柱
    • 实验室离心机
    • 分子生物学试剂和试剂盒
    • 实验室塑料耗材及用品
    • 查看所有产品分类
  • 应用和技术
    • 色谱
    • 细胞转染和培养
    • 实时荧光定量PCR
    • 质谱
    • 实验室塑料耗材及用品
    • 电子显微镜
    • 蛋白质生物学
    • PCR
    • RNAi
    • 环境
    • 查看所有应用和技术
  • 服务
    • 定制服务
    • 企业级实验室信息化服务
    • 企业服务
    • 金融&租赁服务
    • 仪器服务
    • OEM和商业供应
    • 培训服务
    • 360° CDMO 和 CRO 服务
    • CDMO 服务
    • 临床试验 CRO 服务
    • 查看所有帮助和支持
  • 帮助和支持
    • 学习中心
    • 联系我们
    • 更改国家或地区
    • 查看所有帮助和支持
  • 热门产品
    • TaqMan Real-Time PCR Assays
      TaqMan 实时荧光定量 PCR 试剂盒
    • Antibodies
      抗体
    • Oligos, Primers & Probes
      寡核苷酸、引物、探针
    • GeneArt Gene Synthesis
      GeneArt 基因合成
    • Cell Culture Plastics
      细胞培养耗材
  • 联系我们
  • 货号直购
  • 订单查询
  • 查找文件&证书
Thermo Fisher Scientific Logo

Search

搜索全部或下列指定分类
Search button
          • 联系我们
          • 货号直购
          • 登录
            登录
            没有账号?建立账号 注册
            • 我的账号
            • 订单
            • 账单及发票查询
            • 定制产品及项目

          Disclaimer

          Clicking the images or links will redirect you to a website hosted by BenchSci that provides third-party scientific content. Neither the content nor the BenchSci technology and processes for selection have been evaluated by us; we are providing them as-is and without warranty of any kind, including for use or application of the Thermo Fisher Scientific products presented.

          • Primary Antibodies ›
          • beta-2 Microglobulin Antibodies

          Invitrogen

          beta-2 Microglobulin Recombinant Rabbit Monoclonal Antibody (4H5L6)

          高级验证
          1个已发表图片
          3 篇参考文献
          查看其他74个beta-2 Microglobulin抗体

          {{$productOrderCtrl.translations['antibody.pdp.commerceCard.promotion.promotions']}}

          {{$productOrderCtrl.translations['antibody.pdp.commerceCard.promotion.viewpromo']}}

          {{$productOrderCtrl.translations['antibody.pdp.commerceCard.promotion.promocode']}}: {{promo.promoCode}} {{promo.promoTitle}} {{promo.promoDescription}}. {{$productOrderCtrl.translations['antibody.pdp.commerceCard.promotion.learnmore']}}

          说明书
          证书
          实验方案
          问题与答案
          技术支持
          说明书
          证书
          实验方案
          问题与答案
          技术支持
          说明书
          证书
          实验方案
          问题与答案
          技术支持

          Cite beta-2 Microglobulin Recombinant Rabbit Monoclonal Antibody (4H5L6)

          • 抗体检测数据 (8)
          • 已发表图片 (1)
          • 高级验证 (3)
          beta-2 Microglobulin Antibody in Western Blot (WB)
          Group 53 Created with Sketch.
          beta-2 Microglobulin Antibody in Western Blot (WB)
          Group 53 Created with Sketch.

          图: 1 / 12

          {{ $ctrl.currentElement.advancedVerification.fullName }}
          {{ $ctrl.currentElement.advancedVerification.text }}

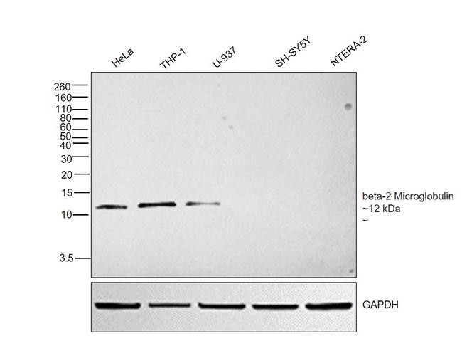
          beta-2 Microglobulin Antibody (701250) in WB

          Western blot was performed using Anti-beta-2 Microglobulin Recombinant Rabbit Monoclonal Antibody (4H5L6) (Product # 701250) and a 12kDa band corresponding to beta-2 Microglobulin was observed across all cell lines tested except for SH-SY5Y and NTERA2 cl.D1, which are reported to express very low levels of beta-2 Microglobulin. Whole cell extracts (30 µg lysate) of HeLa (Lane 1), THP-1 (Lane 2), U-937 (Lane... View More {{ $ctrl.currentElement.advancedVerification.fullName }} 验证信息 View more
          已发表图片由___提供 benchsci-logo
          PMID: {{$ctrl.currentElement.benchSciPubmedId}}
          查看产品

          {{$ctrl.videoDesc}}

          {{$ctrl.videoLongDesc}}

          beta-2 Microglobulin Antibody in Immunocytochemistry (ICC/IF)
          beta-2 Microglobulin Antibody in Immunohistochemistry (Paraffin) (IHC (P))
          beta-2 Microglobulin Antibody in Immunohistochemistry (Paraffin) (IHC (P))
          beta-2 Microglobulin Antibody in Western Blot (WB)
          beta-2 Microglobulin Antibody in Western Blot (WB)
          beta-2 Microglobulin Antibody in Western Blot (WB)
          beta-2 Microglobulin Antibody in Western Blot (WB)
          beta-2 Microglobulin Antibody in Western Blot (WB)
          beta-2 Microglobulin Antibody in Western Blot (WB)
          beta-2 Microglobulin Antibody
          beta-2 Microglobulin Antibody
          beta-2 Microglobulin Antibody
          beta-2 Microglobulin Recombinant Rabbit Monoclonal Antibody (4H5L6)

          产品信息

          701250

          应用
          建议稀释比
          已发表文章

          免疫印迹 (WB)

          1-2 µg/mL
          查看3篇已发表文章 3篇已发表文章

          免疫组化(石蜡) (IHC (P))

          1:20
          -

          免疫细胞化学 (ICC/IF)

          1:100
          -
          产品规格

          种属反应

          Human, Mouse

          已发表种属

          Human, Mouse

          宿主/亚型

          Rabbit / IgG

          Expression System

          Expi293

          分类

          Recombinant Monoclonal

          类型

          Antibody

          克隆号

          4H5L6

          抗原

          Recombinant protein corresponding to amino acids 21-119 of human b2-microglobulin
          查看免疫原

          偶联物

          Unconjugated Unconjugated Unconjugated

          形式

          Liquid

          浓度

          0.5 mg/mL

          纯化类型

          Protein A

          保存液

          PBS

          内含物

          0.09% sodium azide

          保存条件

          Store at 4°C short term. For long term storage, store at -20°C, avoiding freeze/thaw cycles.

          运输条件

          Wet ice

          RRID

          AB_2532441

          产品详细信息

          This antibody is predicted to react with non-human primate, mouse and rat based on sequence homology.

          Intact IgG appears on a non-reducing gel as ~150 kDa band and upon reduction generating a ~25 kDa light chain band and a ~50 kDa heavy chain.

          Recombinant rabbit monoclonal antibodies are produced using in vitro expression systems. The expression systems are developed by cloning in the specific antibody DNA sequences from immunoreactive rabbits. Then, individual clones are screened to select the best candidates for production. The advantages of using recombinant rabbit monoclonal antibodies include: better specificity and sensitivity, lot-to-lot consistency, animal origin-free formulations, and broader immunoreactivity to diverse targets due to larger rabbit immune repertoire.

          靶标信息

          Beta-2-microglobulin (B2M) is a 12-14 kDa protein that is a subunit of the major histocompatibility complex (MHC) class I. Human beta 2 Microglobulin associated with HLA Class I antigens are expressed on many types of cells including lymphocytes, thymocytes, monocytes, granulocytes, platelets, endothelial cells, and epithelial cells, but is absent on erythrocytes. Beta-2 microglobulin is also found in free form in the plasma. The amino acid sequence of Beta-2-microglobulin is homologous to the constant regions of immunoglobulin heavy and light chains, with a predominantly beta pleated sheet structure. The protein is ubiquitously expressed in the cytoplasm, and is involved in antigen processing and presentation. Beta-2-microglobulin also plays a role in TCR signaling, and downstream signaling in naive CD8+ cells. Beta 2-microglobulin is encoded by the B2M gene located on chromosome 15. A mutation in the Beta-2-microglobulin gene has been shown to result in hypercatabolic hypoproteinemia. Levels of beta 2 microglobulin can be used to assess renal function in kidney transplant recipients. Beta-2-microglobulin that protein can be used as a prognostic marker for HIV infection.

          仅用于科研。不用于诊断过程。未经明确授权不得转售。

          生物信息学

          蛋白别名: B-F; B2-microglobulin; Beta 2 microglobin; Beta 2 microglobulin; beta chain of MHC class I molecules; beta-2-microglobin; Beta-2-microglobulin; Beta2 microglobulin; MHC Class I; microglobulin beta-2; Orla-B2m

          查看更多 收起

          基因别名: B2M; beta2-m; beta2m; CDABP0092; HDCMA22P; IMD43; Ly-m11

          查看更多 收起

          UniProt ID: (Human) P61769, (Mouse) P01887

          查看更多 收起

          Entrez Gene ID: (Human) 567, (Mouse) 12010

          查看更多 收起

          功能
          glycoprotein binding protein binding identical protein binding major histocompatibility complex protein
          参与通路
          retina homeostasis positive regulation of T cell mediated cytotoxicity antigen processing and presentation of peptide antigen via MHC class I antigen processing and presentation of exogenous peptide antigen via MHC class I, TAP-dependent antigen processing and presentation of exogenous peptide antigen via MHC class I, TAP-independent antigen processing and presentation of exogenous protein antigen via MHC class Ib, TAP-dependent positive regulation of T cell cytokine production regulation of membrane depolarization negative regulation of neuron projection development antibacterial humoral response antigen processing and presentation of endogenous peptide antigen via MHC class I positive regulation of protein binding T cell differentiation in thymus protein refolding response to drug cellular protein metabolic process innate immune response response to cadmium ion positive regulation of receptor-mediated endocytosis regulation of defense response to virus by virus regulation of immune response defense response to Gram-negative bacterium defense response to Gram-positive bacterium iron ion homeostasis interferon-gamma-mediated signaling pathway cellular response to lipopolysaccharide cellular response to iron ion negative regulation of receptor binding positive regulation of receptor binding positive regulation of ferrous iron import into cell positive regulation of ferrous iron binding positive regulation of transferrin receptor binding response to molecule of bacterial origin immune system process cellular defense response
          It has to be done as per old AB suggested Products section.
          guarantee_icon

          性能保障

          只要您发现Invitrogen抗体在实验中的表现与网站或说明书的所述内容不符,您即可享受免费退换货服务。*

          了解更多
          help_icon

          随时为您服务

          获取常见问题的专家解答,或者直接联系我们的技术专家,咨询应用、设备、常规产品使用问题。

          联系技术支持
          订购 Plus Icon Minus Icon
          • 订单状态查询
          • 订单支持
          • 货号直购
          • 现货供应中心
          • 电子采购
          支持 Plus Icon Minus Icon
          • 帮助&支持
          • 联系我们 - 400 820 8982
          • 技术支持中心
          • 查找文件&证书
          • 报告网站问题
          资源 Plus Icon Minus Icon
          • 学习中心
          • 促销
          • 活动&研讨会
          • 社交媒体
          关于赛默飞 Plus Icon Minus Icon
          • 关于我们
          • 招聘 招聘
          • 投资者关系 投资者关系
          • 新闻 新闻
          • 社会责任 社会责任
          • 商标
          • 政策和通知
          品牌 Plus Icon Minus Icon
          • Thermo Scientific
          • Applied Biosystems
          • Invitrogen
          • Gibco
          • Ion Torrent
          • Patheon
          • PPD
          • 服务条款
          • 隐私政策
          • 定价和运输保险政策
          © 2006-2026 Thermo Fisher Scientific Inc. All rights reserved. All trademarks are the property of Thermo Fisher Scientific and its subsidiaries unless otherwise specified.
          China flag icon
          China
          本网站销售的所有产品均不得用于人类或动物之临床诊断或治疗,仅可用于工业或者科研等非医疗目的。
             电子营业执照 | 经营证照公示 | ICP备案号:沪ICP备11003924号 | 沪公网安备 31011502006935号

          Your items have has been added!


          Host server : magellan-search-blue-55ff9ddd88-ctdjb:80/100.66.76.55:80.
          git-commit: d366ff9721d93504b2ac26a183b2b3e3d0e7d9ec
          git-url: https://github.com/thermofisher/magellan-search
          git-branch: release/2.42.0-2026.01.03-1.0