Hamburger Menu Button
Thermo Fisher Scientific Logo
登录
没有账号?建立账号 注册
  • 产品
    • 抗体
    • 引物合成
    • GeneArt Gene Synthesis Instant Designer
    • TaqMan Assay and Array Search
    • PCR 设备和耗材
    • 色谱柱和纯化柱
    • 实验室离心机
    • 分子生物学试剂和试剂盒
    • 实验室塑料耗材及用品
    • 查看所有产品分类
  • 应用和技术
    • 色谱
    • 细胞转染和培养
    • 实时荧光定量PCR
    • 质谱
    • 实验室塑料耗材及用品
    • 电子显微镜
    • 蛋白质生物学
    • PCR
    • RNAi
    • 环境
    • 查看所有应用和技术
  • 服务
    • 定制服务
    • 企业级实验室信息化服务
    • 金融&租赁服务
    • 仪器服务
    • OEM和商业供应
    • 培训服务
    • 360° CDMO 和 CRO 服务
    • CDMO 服务
    • 临床试验 CRO 服务
    • Unity Lab Services
    • 查看所有帮助和支持
  • 帮助和支持
    • 学习中心
    • 联系我们
    • 更改国家或地区
    • 查看所有帮助和支持
  • 热门产品
    • TaqMan Real-Time PCR Assays
      TaqMan 实时荧光定量 PCR 试剂盒
    • Antibodies
      抗体
    • Oligos, Primers & Probes
      寡核苷酸、引物、探针
    • GeneArt Gene Synthesis
      GeneArt 基因合成
    • Cell Culture Plastics
      细胞培养耗材
  • Who We Serve
    • 抗体治疗解决方案
    • 细胞与基因治疗解决方案
    • 学术科研
    • 工业与应用
  • 联系我们
  • 货号直购
  • 订单查询
  • 查找文件&证书
Thermo Fisher Scientific Logo

Search

搜索全部或下列指定分类
Search button
          • 联系我们
          • 货号直购
          • 登录
            登录
            没有账号?建立账号 注册
            • 我的账号
            • 订单
            • 会员中心
            • 账单及发票查询
            • 定制产品及项目
          • Primary Antibodies ›
          • beta Arrestin 1 Antibodies

          Invitrogen

          beta Arrestin 1 Recombinant Rabbit Monoclonal Antibody (ST51-08)

          查看其他24个beta Arrestin 1抗体

          {{$productOrderCtrl.translations['antibody.pdp.commerceCard.promotion.promotions']}}

          {{$productOrderCtrl.translations['antibody.pdp.commerceCard.promotion.viewpromo']}}

          {{$productOrderCtrl.translations['antibody.pdp.commerceCard.promotion.promocode']}}: {{promo.promoCode}} {{promo.promoTitle}} {{promo.promoDescription}}. {{$productOrderCtrl.translations['antibody.pdp.commerceCard.promotion.learnmore']}}

          说明书
          证书
          实验方案
          问题与答案
          技术支持
          说明书
          证书
          实验方案
          问题与答案
          技术支持
          说明书
          证书
          实验方案
          问题与答案
          技术支持

          Cite beta Arrestin 1 Recombinant Rabbit Monoclonal Antibody (ST51-08)

          Additional Information:
          {{banner.description}}
          {{$ctrl.isSkuNotesCollapsed ? 'View more' : 'View less'}}
          • 抗体检测数据 (9)
          beta Arrestin 1 Antibody in Immunocytochemistry (ICC/IF)
          Group 53 Created with Sketch.
          beta Arrestin 1 Antibody in Immunocytochemistry (ICC/IF)
          Group 53 Created with Sketch.

          图: 1 / 9

          {{ $ctrl.currentElement.advancedVerification.fullName }}
          {{ $ctrl.currentElement.advancedVerification.text }}

          beta Arrestin 1 Antibody (MA5-32156) in ICC/IF

          Immunocytochemical analysis of beta Arrestin 1 in PC12 cells using a beta Arrestin 1 Monoclonal antibody (Product # MA5-32156) as seen in green. The nuclear counter stain is DAPI (blue). Cells were fixed in paraformaldehyde, permeabilised with 0.25% Triton X100/PBS. {{ $ctrl.currentElement.advancedVerification.fullName }} 验证信息 View more
          已发表图片由___提供 benchsci-logo
          PMID: {{$ctrl.currentElement.benchSciPubmedId}}
          查看产品

          {{$ctrl.videoDesc}}

          {{$ctrl.videoLongDesc}}

          beta Arrestin 1 Antibody in Immunocytochemistry (ICC/IF)
          beta Arrestin 1 Antibody in Immunocytochemistry (ICC/IF)
          beta Arrestin 1 Antibody in Immunocytochemistry (ICC/IF)
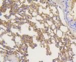
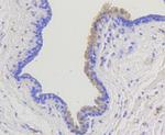
          beta Arrestin 1 Antibody in Immunohistochemistry (Paraffin) (IHC (P))
          beta Arrestin 1 Antibody in Immunohistochemistry (Paraffin) (IHC (P))
          beta Arrestin 1 Antibody in Immunohistochemistry (Paraffin) (IHC (P))
          beta Arrestin 1 Antibody in Immunohistochemistry (Paraffin) (IHC (P))
          beta Arrestin 1 Antibody in Immunohistochemistry (Paraffin) (IHC (P))
          beta Arrestin 1 Antibody in Western Blot (WB)
          beta Arrestin 1 Recombinant Rabbit Monoclonal Antibody (ST51-08)

          产品信息

          MA5-32156

          应用
          建议稀释比
          已发表文章

          免疫印迹 (WB)

          1:1,000-1:2,000
          -

          免疫组化(石蜡) (IHC (P))

          1:200
          -

          免疫细胞化学 (ICC/IF)

          1:50
          -
          产品规格

          种属反应

          Human, Mouse, Rat

          宿主/亚型

          Rabbit / IgG

          Expression System

          HEK293 cells

          分类

          Recombinant Monoclonal

          类型

          Antibody

          克隆号

          ST51-08

          抗原

          Synthetic peptide within Human beta Arrestin 1 aa 1-50.
          3D表位/免疫原

          偶联物

          Unconjugated Unconjugated Unconjugated

          形式

          Liquid

          浓度

          1 mg/mL

          规格

          100 µg

          纯化类型

          Protein A

          保存液

          TBS, pH 7.4, with 40% Glycerol, 0.05% BSA

          内含物

          0.05% sodium azide

          保存条件

          Store at 4°C short term. For long term storage, store at -20°C, avoiding freeze/thaw cycles.

          运输条件

          Ambient (domestic); Wet ice (international)

          RRID

          AB_2809445

          产品详细信息

          Recombinant rabbit monoclonal antibodies are produced using in vitro expression systems. The expression systems are developed by cloning in the specific antibody DNA sequences from immunoreactive rabbits. Then, individual clones are screened to select the best candidates for production. The advantages of using recombinant rabbit monoclonal antibodies include: better specificity and sensitivity, lot-to-lot consistency, animal origin-free formulations, and broader immunoreactivity to diverse targets due to larger rabbit immune repertoire.

          靶标信息

          Beta Arrestin 1 is a member of a family of proteins widely expressed but especially abundant in the central nervous system. Serving as an adaptor or scaffold molecule, beta Arrestin 1 is essential for mitogenic signaling and mediates agonist-dependent desensitization and internalization of Gprotein-coupled receptors (GPCRs, e.g., beta 2-adrenergic receptor). After binding to their ligand and interacting with heterotrimeric G proteins, GPCRs are phosphorylated by G-protein receptor kinases (GRKs) on serine residues. Beta Arrestin 1 in the cytosol is phosphorylated by ERK1 and 2 on serine412 in a negative feedback mechanism and binds to the phosphorylated receptors at the plasma membrane. Serine 412 is then dephosphorylated and the GPCRs are internalized, leading to activation of the Ras, Raf, ERK1 and 2 signaling pathway.

          仅用于科研。不用于诊断过程。未经明确授权不得转售。

          篇参考文献 (0)

          您是否在文献中引用过该产品?请点击下方按钮邮件告知我们。
          引用该产品

          生物信息学

          蛋白别名: arrestin; arrestin 2; Arrestin beta-1; beta-arrestin; Beta-arrestin-1; beta-arrestin1; Non-visual arrestin-2; unnamed protein product

          查看更多 收起

          基因别名: 1200006I17Rik; ARB1; ARR1; ARRB1; AW208571; BARRES; G430100A01Rik

          查看更多 收起

          UniProt ID: (Human) P49407, (Rat) P29066, (Mouse) Q8BWG8

          查看更多 收起

          Entrez Gene ID: (Human) 408, (Rat) 25387, (Mouse) 109689

          查看更多 收起

          功能
          G-protein coupled receptor binding transcription coactivator activity histone acetyltransferase activity enzyme inhibitor activity GTPase activator activity insulin-like growth factor receptor binding protein binding enzyme binding ubiquitin protein ligase binding angiotensin receptor binding binding, bridging arrestin family protein binding transcription factor binding clathrin binding estrogen receptor binding mitogen-activated protein kinase kinase binding alpha-1A adrenergic receptor binding alpha-1B adrenergic receptor binding follicle-stimulating hormone receptor binding V2 vasopressin receptor binding AP-2 adaptor complex binding clathrin adaptor activity cysteine-type endopeptidase inhibitor activity involved in apoptotic process transcription regulatory region DNA binding ion channel binding protein phosphorylated amino acid binding phosphoprotein binding scaffold/adaptor protein
          参与通路
          positive regulation of protein phosphorylation desensitization of G-protein coupled receptor protein signaling pathway G-protein coupled receptor internalization positive regulation of receptor internalization regulation of transcription from RNA polymerase II promoter ubiquitin-dependent protein catabolic process signal transduction sensory perception negative regulation of signal transduction positive regulation of cardiac muscle hypertrophy protein transport protein ubiquitination negative regulation of protein ubiquitination negative regulation of NF-kappaB transcription factor activity negative regulation of interleukin-6 production negative regulation of interleukin-8 production positive regulation of Rho protein signal transduction stress fiber assembly proteasome-mediated ubiquitin-dependent protein catabolic process negative regulation of Notch signaling pathway positive regulation of transcription from RNA polymerase II promoter positive regulation of ERK1 and ERK2 cascade positive regulation of intracellular signal transduction activation of MAPK activity negative regulation of protein phosphorylation desensitization of G-protein coupled receptor protein signaling pathway by arrestin transcription from RNA polymerase II promoter endocytosis receptor-mediated endocytosis G-protein coupled receptor signaling pathway adenylate cyclase-modulating G-protein coupled receptor signaling pathway phototransduction regulation of G-protein coupled receptor protein signaling pathway sensory perception of pain regulation of cAMP biosynthetic process regulation of cAMP catabolic process positive regulation of protein ubiquitination positive regulation of protein binding positive regulation of peptidyl-serine phosphorylation negative regulation of GTPase activity positive regulation of smooth muscle cell apoptotic process positive regulation of histone acetylation positive regulation of insulin secretion involved in cellular response to glucose stimulus follicle-stimulating hormone signaling pathway negative regulation of cysteine-type endopeptidase activity involved in apoptotic process positive regulation of cysteine-type endopeptidase activity involved in apoptotic process positive regulation of GTPase activity sensory perception of touch negative regulation of ERK1 and ERK2 cascade positive regulation of histone H4 acetylation transcription, DNA-templated regulation of transcription, DNA-templated transport
          It has to be done as per old AB suggested Products section.

          Disclaimer

          Close

          Clicking the images or links will redirect you to a website hosted by BenchSci that provides third-party scientific content. Neither the content nor the BenchSci technology and processes for selection have been evaluated by us; we are providing them as-is and without warranty of any kind, including for use or application of the Thermo Fisher Scientific products presented.

          guarantee_icon

          性能保障

          只要您发现Invitrogen抗体在实验中的表现与网站或说明书的所述内容不符,您即可享受免费退换货服务。*

          了解更多
          help_icon

          随时为您服务

          获取常见问题的专家解答,或者直接联系我们的技术专家,咨询应用、设备、常规产品使用问题。

          联系技术支持
          订购 Plus Icon Minus Icon
          • 订单状态查询
          • 订单支持
          • 货号直购
          • 现货供应中心
          • 电子采购
          支持 Plus Icon Minus Icon
          • 帮助&支持
          • 联系我们 - 400 820 8982
          • 技术支持中心
          • 查找文件&证书
          • 报告网站问题
          资源 Plus Icon Minus Icon
          • 学习中心
          • 促销
          • 活动&研讨会
          • 社交媒体
          关于赛默飞 Plus Icon Minus Icon
          • 关于我们
          • 招聘 招聘
          • 投资者关系 投资者关系
          • 新闻 新闻
          • 社会责任 社会责任
          • 商标
          • 政策和通知
          品牌 Plus Icon Minus Icon
          • Thermo Scientific
          • Applied Biosystems
          • Invitrogen
          • Gibco
          • Ion Torrent
          • Unity Lab Services
          • Patheon
          • PPD
          • 服务条款
          • 隐私政策
          • 定价和运输保险政策
          © 2006-2026 Thermo Fisher Scientific Inc. All rights reserved. All trademarks are the property of Thermo Fisher Scientific and its subsidiaries unless otherwise specified.
          China flag icon
          China
          本网站销售的所有产品均不得用于人类或动物之临床诊断或治疗,仅可用于工业或者科研等非医疗目的。
             电子营业执照 | 经营证照公示 | ICP备案号:沪ICP备11003924号 | 沪公网安备 31011502006935号

          Your items have has been added!


          Host server : magellan-search-green-6479c7f679-zb4k5:80/100.66.74.142:80.
          git-commit: b70c0dceb888abc3b0dcebb5bc3a5b8753e7e816
          git-url: https://github.com/thermofisher/magellan-search
          git-branch: release/2.50.0-Offline