Hamburger Menu Button
Thermo Fisher Scientific Logo
登录
没有账号?建立账号 注册
  • 产品
    • 抗体
    • 引物合成
    • GeneArt Gene Synthesis Instant Designer
    • TaqMan Assay and Array Search
    • PCR 设备和耗材
    • 色谱柱和纯化柱
    • 实验室离心机
    • 分子生物学试剂和试剂盒
    • 实验室塑料耗材及用品
    • 查看所有产品分类
  • 应用和技术
    • 色谱
    • 细胞转染和培养
    • 实时荧光定量PCR
    • 质谱
    • 实验室塑料耗材及用品
    • 电子显微镜
    • 蛋白质生物学
    • PCR
    • RNAi
    • 环境
    • 查看所有应用和技术
  • 服务
    • 定制服务
    • 企业级实验室信息化服务
    • 金融&租赁服务
    • 仪器服务
    • OEM和商业供应
    • 培训服务
    • 360° CDMO 和 CRO 服务
    • CDMO 服务
    • 临床试验 CRO 服务
    • Unity Lab Services
    • 查看所有帮助和支持
  • 帮助和支持
    • 学习中心
    • 联系我们
    • 更改国家或地区
    • 查看所有帮助和支持
  • 热门产品
    • TaqMan Real-Time PCR Assays
      TaqMan 实时荧光定量 PCR 试剂盒
    • Antibodies
      抗体
    • Oligos, Primers & Probes
      寡核苷酸、引物、探针
    • GeneArt Gene Synthesis
      GeneArt 基因合成
    • Cell Culture Plastics
      细胞培养耗材
  • Who We Serve
    • 抗体治疗解决方案
    • 细胞与基因治疗解决方案
    • 学术科研
    • 工业与应用
  • 联系我们
  • 货号直购
  • 订单查询
  • 查找文件&证书
Thermo Fisher Scientific Logo

Search

搜索全部或下列指定分类
Search button
          • 联系我们
          • 货号直购
          • 登录
            登录
            没有账号?建立账号 注册
            • 我的账号
            • 订单
            • 会员中心
            • 账单及发票查询
            • 定制产品及项目
          • Primary Antibodies ›
          • SCNN1B Antibodies

          Proteintech

          beta-ENaC Polyclonal Antibody

          12 篇参考文献
          查看其他15个SCNN1B抗体

          {{$productOrderCtrl.translations['antibody.pdp.commerceCard.promotion.promotions']}}

          {{$productOrderCtrl.translations['antibody.pdp.commerceCard.promotion.viewpromo']}}

          {{$productOrderCtrl.translations['antibody.pdp.commerceCard.promotion.promocode']}}: {{promo.promoCode}} {{promo.promoTitle}} {{promo.promoDescription}}. {{$productOrderCtrl.translations['antibody.pdp.commerceCard.promotion.learnmore']}}

          说明书
          证书
          实验方案
          问题与答案
          技术支持
          说明书
          证书
          实验方案
          问题与答案
          技术支持
          说明书
          证书
          实验方案
          问题与答案
          技术支持

          Cite beta-ENaC Polyclonal Antibody

          Additional Information:
          {{banner.description}}
          {{$ctrl.isSkuNotesCollapsed ? 'View more' : 'View less'}}
          • 抗体检测数据 (3)
          beta-ENaC Antibody in Immunohistochemistry (Paraffin) (IHC (P))
          Group 53 Created with Sketch.
          beta-ENaC Antibody in Immunohistochemistry (Paraffin) (IHC (P))
          Group 53 Created with Sketch.

          图: 1 / 3

          {{ $ctrl.currentElement.advancedVerification.fullName }}
          {{ $ctrl.currentElement.advancedVerification.text }}

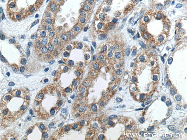
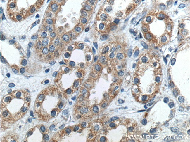
          beta-ENaC Antibody (14134-1-AP) in IHC (P)

          Immunohistochemical analysis of paraffin-embedded Human kidney tissue slide using (Product # 14134-1-AP) β-ENaC antibody at dilution of 1:200 (under 40x lens). {{ $ctrl.currentElement.advancedVerification.fullName }} 验证信息 View more
          已发表图片由___提供 benchsci-logo
          PMID: {{$ctrl.currentElement.benchSciPubmedId}}
          查看产品

          {{$ctrl.videoDesc}}

          {{$ctrl.videoLongDesc}}

          beta-ENaC Antibody in Immunohistochemistry (Paraffin) (IHC (P))
          beta-ENaC Antibody in Immunohistochemistry (Paraffin) (IHC (P))
          beta-ENaC Antibody in Western Blot (WB)
          beta-ENaC Polyclonal Antibody

          产品信息

          14134-1-AP

          应用
          建议稀释比
          已发表文章

          免疫印迹 (WB)

          1:500-1:1,000
          查看10篇已发表文章 10篇已发表文章

          免疫组化 (IHC)

          -
          查看2篇已发表文章 2篇已发表文章

          免疫组化(石蜡) (IHC (P))

          1:50-1:500
          -
          产品规格

          种属反应

          Human, Mouse, Rat

          已发表种属

          Hamster, Human, Mouse, Rat

          宿主/亚型

          Rabbit / IgG

          分类

          Polyclonal

          类型

          Antibody

          抗原

          beta-ENaC Fusion Protein Ag5348 (68-401 aa encoded by BC036352)
          3D表位/免疫原

          偶联物

          Unconjugated Unconjugated Unconjugated

          形式

          Liquid

          浓度

          0.15 mg/mL

          规格

          22.5 µg

          纯化类型

          Antigen affinity chromatography

          保存液

          PBS, pH 7.3, with 50% glycerol

          内含物

          0.02% sodium azide

          保存条件

          -20°C

          运输条件

          Wet ice (domestic); Dry ice (international)

          产品详细信息

          Immunogen sequence: GIFIRTYLS WEVSVSLSVG FKTMDFPAVT ICNASPFKYS KIKHLLKDLD ELMEAVLERI LAPELSHANA TRNLNFSIWN HTPLVLIDER NPHHPMVLDL FGDNHNGLTS SSASEKICNA HGCKMAMRLC SLNRTQCTFR NFTSATQALT EWYILQATNI FAQVPQQELV EMSYPGEQMI LACLFGAEPC NYRNFTSIFY PHYGNCYIFN WGMTEKALPS ANPGTEFGLK LILDIGQEDY VPFLASTAGV RLMLHEQRSY PFIRDEGIYA MSGTETSIGV LVDKLQRMGE PYSPCTVNGS EVPVQNFYSD YNTTYSIQAC LRSCFQDHMI RNCNC (68-401 aa encoded by B C036352)

          靶标信息

          Sodium permeable non-voltage-sensitive ion channel inhibited by the diuretic amiloride. Mediates the electrodiffusion of the luminal sodium (and water, which follows osmotically) through the apical membrane of epithelial cells. Controls the reabsorption of sodium in kidney, colon, lung and sweat glands. Also plays a role in taste perception. Heterotetramer of two alpha, one beta and one gamma subunit. A delta subunit can replace the alpha subunit. Interacts with the WW domains of NEDD4, NEDD4L, WWP1 and WWP2. Defects in SCNN1B are a cause of autosomal recessive pseudohypoaldosteronism type 1 (PHA1) [MIM:264350]. PHA1 is a rare salt wasting disease resulting from target organ unresponsiveness to mineralocorticoids. There are 2 forms of PHA1: the autosomal recessive form that is severe, and the dominant form which is more milder and due to defects in mineralocorticoid receptor. Autosomal recessive PHA1 is characterized by an often fulminant presentation in the neonatal period with dehydration, hyponatraemia, hyperkalaemia, metabolic acidosis, failure to thrive and weight loss. Defects in SCNN1B are a cause of Liddle syndrome. It is an autosomal dominant disorder characterized by pseudoaldosteronism and hypertension associated with hypokalemic alkalosis. The disease is caused by constitutive activation of the renal epithelial sodium channel.

          仅用于科研。不用于诊断过程。未经明确授权不得转售。

          生物信息学

          蛋白别名: Amiloride-sensitive sodium channel subunit beta; amiloride-sensitive sodium channel subunit beta 1; Beta ENaC; Beta-ENaC; Beta-NaCH; ENaC beta; ENaC subunit beta; ENaC; sodium channel beta-2; Epithelial Na(+) channel subunit beta; epithelial sodium channel beta-2 subunit; epithelial sodium channel beta-3 subunit; Epithelial sodium channel subunit beta; mutant sodium channel epithelial 1 beta subunit; nasal ENaC; hnENac; nasal epithelial sodium channel beta subunit; Nonvoltage-gated sodium channel 1 subunit beta; SCNEB; SCNN 1B; sodium channel epithelial 1 beta subunit; sodium channel, non-voltage-gated 1, beta subunit; sodium channel, nonvoltage-gated 1, beta; sodium channel, nonvoltage-gated, type I, beta; unnamed protein product

          查看更多 收起

          基因别名: BESC1; beta-ENaC; beta-NaCH; ENaCb; ENaCbeta; LIDLS1; PHA1B2; RNENACB; SCNEB; SCNN1B

          查看更多 收起

          UniProt ID: (Human) P51168, (Mouse) Q9WU38, (Rat) P37090

          查看更多 收起

          Entrez Gene ID: (Human) 6338, (Mouse) 20277, (Rat) 24767

          查看更多 收起

          功能
          sodium channel activity protein binding ligand-gated sodium channel activity WW domain binding ion channel
          参与通路
          leukocyte activation involved in inflammatory response neutrophil activation involved in immune response renal system process ion transport sodium ion transport cellular sodium ion homeostasis regulation of blood pressure response to xenobiotic stimulus gene expression artery smooth muscle contraction response to food aldosterone metabolic process erythrocyte homeostasis ion transmembrane transport multicellular organism growth sodium ion transmembrane transport epithelial fluid transport multicellular organismal water homeostasis sensory perception of salty taste sensory perception of sour taste potassium ion homeostasis sodium ion homeostasis mucus secretion neutrophil mediated killing of bacterium cellular response to acidic pH sodium ion import across plasma membrane cellular response to aldosterone cellular response to vasopressin regulation of sodium ion transport transport wound healing, spreading of epidermal cells response to stimulus sensory perception of taste response to hypoxia
          It has to be done as per old AB suggested Products section.

          Disclaimer

          Close

          Clicking the images or links will redirect you to a website hosted by BenchSci that provides third-party scientific content. Neither the content nor the BenchSci technology and processes for selection have been evaluated by us; we are providing them as-is and without warranty of any kind, including for use or application of the Thermo Fisher Scientific products presented.

          guarantee_icon

          性能保障

          只要您发现Invitrogen抗体在实验中的表现与网站或说明书的所述内容不符,您即可享受免费退换货服务。*

          了解更多
          help_icon

          随时为您服务

          获取常见问题的专家解答,或者直接联系我们的技术专家,咨询应用、设备、常规产品使用问题。

          联系技术支持
          订购 Plus Icon Minus Icon
          • 订单状态查询
          • 订单支持
          • 货号直购
          • 现货供应中心
          • 电子采购
          支持 Plus Icon Minus Icon
          • 帮助&支持
          • 联系我们 - 400 820 8982
          • 技术支持中心
          • 查找文件&证书
          • 报告网站问题
          资源 Plus Icon Minus Icon
          • 学习中心
          • 促销
          • 活动&研讨会
          • 社交媒体
          关于赛默飞 Plus Icon Minus Icon
          • 关于我们
          • 招聘 招聘
          • 投资者关系 投资者关系
          • 新闻 新闻
          • 社会责任 社会责任
          • 商标
          • 政策和通知
          品牌 Plus Icon Minus Icon
          • Thermo Scientific
          • Applied Biosystems
          • Invitrogen
          • Gibco
          • Ion Torrent
          • Unity Lab Services
          • Patheon
          • PPD
          • 服务条款
          • 隐私政策
          • 定价和运输保险政策
          © 2006-2026 Thermo Fisher Scientific Inc. All rights reserved. All trademarks are the property of Thermo Fisher Scientific and its subsidiaries unless otherwise specified.
          China flag icon
          China
          本网站销售的所有产品均不得用于人类或动物之临床诊断或治疗,仅可用于工业或者科研等非医疗目的。
             电子营业执照 | 经营证照公示 | ICP备案号:沪ICP备11003924号 | 沪公网安备 31011502006935号

          Your items have has been added!


          Host server : magellan-search-green-6479c7f679-rv8h9:80/100.66.78.195:80.
          git-commit: b70c0dceb888abc3b0dcebb5bc3a5b8753e7e816
          git-url: https://github.com/thermofisher/magellan-search
          git-branch: release/2.50.0-Offline