Hamburger Menu Button
Thermo Fisher Scientific Logo
登录
没有账号?建立账号 注册
  • 产品
    • 抗体
    • 引物合成
    • GeneArt Gene Synthesis Instant Designer
    • TaqMan Assay and Array Search
    • PCR 设备和耗材
    • 色谱柱和纯化柱
    • 实验室离心机
    • 分子生物学试剂和试剂盒
    • 实验室塑料耗材及用品
    • 查看所有产品分类
  • 应用和技术
    • 色谱
    • 细胞转染和培养
    • 实时荧光定量PCR
    • 质谱
    • 实验室塑料耗材及用品
    • 电子显微镜
    • 蛋白质生物学
    • PCR
    • RNAi
    • 环境
    • 查看所有应用和技术
  • 服务
    • 定制服务
    • 企业级实验室信息化服务
    • 金融&租赁服务
    • 仪器服务
    • OEM和商业供应
    • 培训服务
    • 360° CDMO 和 CRO 服务
    • CDMO 服务
    • 临床试验 CRO 服务
    • Unity Lab Services
    • 查看所有帮助和支持
  • 帮助和支持
    • 学习中心
    • 联系我们
    • 更改国家或地区
    • 查看所有帮助和支持
  • 热门产品
    • TaqMan Real-Time PCR Assays
      TaqMan 实时荧光定量 PCR 试剂盒
    • Antibodies
      抗体
    • Oligos, Primers & Probes
      寡核苷酸、引物、探针
    • GeneArt Gene Synthesis
      GeneArt 基因合成
    • Cell Culture Plastics
      细胞培养耗材
  • Who We Serve
    • 抗体治疗解决方案
    • 细胞与基因治疗解决方案
    • 学术科研
    • 工业与应用
  • 联系我们
  • 货号直购
  • 订单查询
  • 查找文件&证书
Thermo Fisher Scientific Logo

Search

搜索全部或下列指定分类
Search button
          • 联系我们
          • 货号直购
          • 登录
            登录
            没有账号?建立账号 注册
            • 我的账号
            • 订单
            • 会员中心
            • 账单及发票查询
            • 定制产品及项目
          • Primary Antibodies ›
          • c-Abl Antibodies

          Invitrogen

          c-Abl Polyclonal Antibody

          查看其他40个c-Abl抗体

          {{$productOrderCtrl.translations['antibody.pdp.commerceCard.promotion.promotions']}}

          {{$productOrderCtrl.translations['antibody.pdp.commerceCard.promotion.viewpromo']}}

          {{$productOrderCtrl.translations['antibody.pdp.commerceCard.promotion.promocode']}}: {{promo.promoCode}} {{promo.promoTitle}} {{promo.promoDescription}}. {{$productOrderCtrl.translations['antibody.pdp.commerceCard.promotion.learnmore']}}

          说明书
          证书
          实验方案
          问题与答案
          技术支持
          说明书
          证书
          实验方案
          问题与答案
          技术支持
          说明书
          证书
          实验方案
          问题与答案
          技术支持

          Cite c-Abl Polyclonal Antibody

          Additional Information:
          {{banner.description}}
          {{$ctrl.isSkuNotesCollapsed ? 'View more' : 'View less'}}
          • 抗体检测数据 (5)
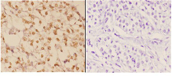
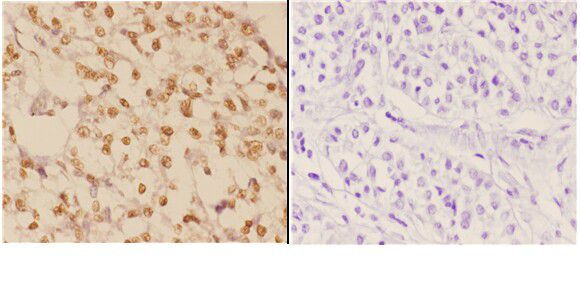
          c-Abl Antibody in Immunohistochemistry (Paraffin) (IHC (P))
          Group 53 Created with Sketch.
          c-Abl Antibody in Immunohistochemistry (Paraffin) (IHC (P))
          Group 53 Created with Sketch.

          图: 1 / 5

          {{ $ctrl.currentElement.advancedVerification.fullName }}
          {{ $ctrl.currentElement.advancedVerification.text }}

          c-Abl Antibody (PA5-86077) in IHC (P)

          Immunohistochemical analysis of c-Abl in paraffin-embedded human liver carcinoma tissue showing cytoplasmic/nuclear staining and negative control (right). Sample was incubated with polyclonal c-Abl antibody (Product # PA5-86077) using a 1:50 dilution, and followed by goat anti-rabbit IgG-biotin and avidin-peroxidase secondary antibodies. {{ $ctrl.currentElement.advancedVerification.fullName }} 验证信息 View more
          已发表图片由___提供 benchsci-logo
          PMID: {{$ctrl.currentElement.benchSciPubmedId}}
          查看产品

          {{$ctrl.videoDesc}}

          {{$ctrl.videoLongDesc}}

          c-Abl Antibody in Immunohistochemistry (Paraffin) (IHC (P))
          c-Abl Antibody in Immunohistochemistry (Paraffin) (IHC (P))
          c-Abl Antibody in Immunohistochemistry (Paraffin) (IHC (P))
          c-Abl Antibody in Immunohistochemistry (Paraffin) (IHC (P))
          c-Abl Antibody in Western Blot (WB)
          c-Abl Polyclonal Antibody

          产品信息

          PA5-86077

          应用
          建议稀释比
          已发表文章

          免疫印迹 (WB)

          1:500-1:1,000
          -

          免疫组化(石蜡) (IHC (P))

          1:50-1:200
          -
          产品规格

          种属反应

          Human, Mouse, Rat

          宿主/亚型

          Rabbit / IgG

          分类

          Polyclonal

          类型

          Antibody

          抗原

          Synthetic peptide, corresponding to amino acids 120-171 of Human ABL1.
          3D表位/免疫原

          偶联物

          Unconjugated Unconjugated Unconjugated

          形式

          Liquid

          浓度

          1 mg/mL

          规格

          100 µg

          纯化类型

          Antigen affinity chromatography

          保存液

          PBS, pH 7.2, with 50% glycerol

          内含物

          0.02% sodium azide

          保存条件

          Store at 4°C short term. For long term storage, store at -20°C, avoiding freeze/thaw cycles.

          运输条件

          Ambient (domestic); Wet ice (international)

          RRID

          AB_2802877

          产品详细信息

          Purity is > 95% by SDS-PAGE.

          靶标信息

          The ABL1 proto-oncogene encodes a cytoplasmic and nuclear protein tyrosine kinase that has been implicated in processes of cell differentiation, cell division, cell adhesion, and stress response. Activity of c-Abl protein is negatively regulated by its SH3 domain, and deletion of the SH3 domain turns c-Abl into an oncogene. The DNA-binding activity of the ubiquitously expressed ABL1 tyrosine kinase is regulated by CDC2-mediated phosphorylation, suggesting a cell cycle function for c-Abl. In chronic myelogenous leukemia and a subset of acute lymphoblastic leukemias, the c-Abl proto oncogene undergoes a (9;22) chromosomal translocation producing a novel rearranged chromosome (the Philadelphia chromosome). As the result of the fusion of c-Abl sequences from chromosome 9 to the Bcr gene on chromosome 22. The c-Abl oncogene was initially identified as the viral transforming gene of Abelson murine leukemia virus (A-MuLV). c-ABL potentially regulates DNA repair by activating the proapoptotic pathway when the DNA damage is too severe to be repaired.

          仅用于科研。不用于诊断过程。未经明确授权不得转售。

          篇参考文献 (0)

          您是否在文献中引用过该产品?请点击下方按钮邮件告知我们。
          引用该产品

          生物信息学

          蛋白别名: Abelson murine leukemia oncogene; Abelson murine leukemia viral (v-abl) oncogene homolog 1; Abelson murine leukemia viral oncogene homolog 1; Abelson tyrosine-protein kinase 1; Abl 1 antib; ABL kinase domain; abl protein; ABL protooncogene 1 nonreceptor tyrosine kinase; ABL1; ABL2; ABLL; ARG; B30; BCR-ABL1 p190; BCR/ABL e8a2 fusion; BCR/ABL1 e1a2 fusion protein; BCR/ABL1 fusion; bcr/c-abl oncogene protein; c-abl oncogene 1, non-receptor tyrosine kinase; c-abl oncogene 1, receptor tyrosine kinase; chimeric BCR::ABL1 protein; non-receptor tyrosine kinase; p150; p190; Proto-oncogene c-Abl; proto-oncogene tyrosine-protein kinase ABL1; RP11-83J21.1; Tyrosine kinase ARG; tyrosine kinase protein; Tyrosine-protein kinase ABL1; unnamed protein product; v-abl Abelson murine leukemia oncogene 1; v-abl Abelson murine leukemia viral oncogene 1; v-abl Abelson murine leukemia viral oncogene homolog 1

          查看更多 收起

          基因别名: ABL; ABL1; AI325092; BCR-ABL; bcr/abl; c-ABL; c-ABL1; CHDSKM; E430008G22Rik; JTK7; p150; v-abl

          查看更多 收起

          UniProt ID: (Human) P00519, (Mouse) P00520

          查看更多 收起

          Entrez Gene ID: (Human) 25, (Rat) 311860, (Mouse) 11350

          查看更多 收起

          功能
          nucleotide binding magnesium ion binding four-way junction DNA binding bubble DNA binding phosphotyrosine binding DNA binding transcription coactivator activity actin monomer binding nicotinate-nucleotide adenylyltransferase activity protein kinase activity protein serine/threonine kinase activity protein tyrosine kinase activity non-membrane spanning protein tyrosine kinase activity protein kinase C binding protein binding ATP binding enzyme activator activity kinase activity transferase activity enzyme binding protein kinase binding protein domain specific binding syntaxin binding manganese ion binding neuropilin binding SH2 domain binding protein serine/threonine kinase activator activity metal ion binding ephrin receptor binding actin filament binding mitogen-activated protein kinase binding proline-rich region binding delta-catenin binding supercoiled DNA binding sequence-specific double-stranded DNA binding receptor binding protein C-terminus binding SH3 domain binding transferase activity, transferring phosphorus-containing groups
          参与通路
          B-1 B cell homeostasis B cell proliferation involved in immune response transitional one stage B cell differentiation phagocytosis cellular response to DNA damage stimulus DNA damage induced protein phosphorylation response to oxidative stress epidermal growth factor receptor signaling pathway positive regulation of cytosolic calcium ion concentration learning or memory associative learning cell migration peptidyl-tyrosine phosphorylation cerebellum morphogenesis negative regulation of cell-cell adhesion microspike assembly actin cytoskeleton organization actin filament polymerization negative regulation of BMP signaling pathway regulation of actin cytoskeleton organization positive regulation of osteoblast proliferation substrate adhesion-dependent cell spreading cellular response to oxidative stress response to endoplasmic reticulum stress peptidyl-tyrosine autophosphorylation B cell proliferation response to drug signal transduction in response to DNA damage positive regulation of apoptotic process positive regulation of I-kappaB kinase/NF-kappaB signaling negative regulation of I-kappaB kinase/NF-kappaB signaling positive regulation of neuron apoptotic process innate immune response positive regulation of vasoconstriction negative regulation of mitotic cell cycle positive regulation of mitotic cell cycle alpha-beta T cell differentiation protein autophosphorylation platelet-derived growth factor receptor signaling pathway positive regulation of fibroblast proliferation spleen development thymus development collateral sprouting positive regulation of peptidyl-tyrosine phosphorylation activated T cell proliferation B cell receptor signaling pathway neuromuscular process controlling balance positive regulation of release of sequestered calcium ion into cytosol positive regulation of oxidoreductase activity negative regulation of ubiquitin-protein transferase activity regulation of cell cycle Bergmann glial cell differentiation negative regulation of ERK1 and ERK2 cascade positive regulation of ERK1 and ERK2 cascade cellular response to lipopolysaccharide cellular response to transforming growth factor beta stimulus response to epinephrine negative regulation of protein serine/threonine kinase activity actin filament branching positive regulation of dendrite development positive regulation of interleukin-2 secretion negative regulation of phospholipase C activity positive regulation of neuron death positive regulation of hydrogen peroxide-mediated programmed cell death positive regulation of interferon-gamma secretion regulation of extracellular matrix organization positive regulation of extracellular matrix organization glomerular visceral epithelial cell apoptotic process positive regulation of Wnt signaling pathway, planar cell polarity pathway negative regulation of endothelial cell apoptotic process regulation of cellular senescence negative regulation of cellular senescence regulation of response to DNA damage stimulus mitotic cell cycle neural tube closure immune effector process immune response-activating cell surface receptor signaling pathway DNA repair mismatch repair regulation of transcription, DNA-templated endocytosis autophagy apoptotic process cell adhesion integrin-mediated signaling pathway I-kappaB kinase/NF-kappaB signaling intrinsic apoptotic signaling pathway in response to DNA damage response to xenobiotic stimulus post-embryonic development regulation of gene expression regulation of autophagy positive regulation of macromolecule biosynthetic process positive regulation of endothelial cell migration regulation of endocytosis regulation of cell adhesion neuron differentiation BMP signaling pathway regulation of axon extension phospholipase C-inhibiting G-protein coupled receptor signaling pathway regulation of microtubule polymerization regulation of Cdc42 protein signal transduction positive regulation of interferon-gamma production positive regulation of interleukin-2 production cellular response to stress intracellular signal transduction platelet-derived growth factor receptor-beta signaling pathway protein modification process Fc-gamma receptor signaling pathway involved in phagocytosis neuropilin signaling pathway regulation of cell proliferation endothelial cell migration regulation of T cell differentiation regulation of cell differentiation positive regulation of cell adhesion positive regulation of transcription from RNA polymerase II promoter ephrin receptor signaling pathway T cell receptor signaling pathway neuron apoptotic process myoblast proliferation positive regulation of stress fiber assembly establishment of localization in cell mitochondrial depolarization positive regulation of focal adhesion assembly cardiac muscle cell proliferation neuroepithelial cell differentiation cellular response to hydrogen peroxide ERK1 and ERK2 cascade DNA conformation change circulatory system development positive regulation of cell migration involved in sprouting angiogenesis cellular senescence vascular endothelial cell response to oscillatory fluid shear stress cell-cell adhesion regulation of postsynaptic specialization assembly positive regulation of phospholipase C/protein kinase C signal transduction positive regulation of substrate adhesion-dependent cell spreading negative regulation of long-term synaptic potentiation cellular response to oxygen-containing compound regulation of hematopoietic stem cell differentiation regulation of intracellular signal transduction cellular response to dopamine positive regulation of establishment of T cell polarity DN4 thymocyte differentiation protein localization to cytoplasmic microtubule plus-end regulation of modification of synaptic structure positive regulation of blood vessel branching negative regulation of double-strand break repair via homologous recombination regulation of cell motility positive regulation of T cell migration positive regulation of protein phosphorylation protein phosphorylation phosphorylation
          It has to be done as per old AB suggested Products section.

          Disclaimer

          Close

          Clicking the images or links will redirect you to a website hosted by BenchSci that provides third-party scientific content. Neither the content nor the BenchSci technology and processes for selection have been evaluated by us; we are providing them as-is and without warranty of any kind, including for use or application of the Thermo Fisher Scientific products presented.

          guarantee_icon

          性能保障

          只要您发现Invitrogen抗体在实验中的表现与网站或说明书的所述内容不符,您即可享受免费退换货服务。*

          了解更多
          help_icon

          随时为您服务

          获取常见问题的专家解答,或者直接联系我们的技术专家,咨询应用、设备、常规产品使用问题。

          联系技术支持
          订购 Plus Icon Minus Icon
          • 订单状态查询
          • 订单支持
          • 货号直购
          • 现货供应中心
          • 电子采购
          支持 Plus Icon Minus Icon
          • 帮助&支持
          • 联系我们 - 400 820 8982
          • 技术支持中心
          • 查找文件&证书
          • 报告网站问题
          资源 Plus Icon Minus Icon
          • 学习中心
          • 促销
          • 活动&研讨会
          • 社交媒体
          关于赛默飞 Plus Icon Minus Icon
          • 关于我们
          • 招聘 招聘
          • 投资者关系 投资者关系
          • 新闻 新闻
          • 社会责任 社会责任
          • 商标
          • 政策和通知
          品牌 Plus Icon Minus Icon
          • Thermo Scientific
          • Applied Biosystems
          • Invitrogen
          • Gibco
          • Ion Torrent
          • Unity Lab Services
          • Patheon
          • PPD
          • 服务条款
          • 隐私政策
          • 定价和运输保险政策
          © 2006-2026 Thermo Fisher Scientific Inc. All rights reserved. All trademarks are the property of Thermo Fisher Scientific and its subsidiaries unless otherwise specified.
          China flag icon
          China
          本网站销售的所有产品均不得用于人类或动物之临床诊断或治疗,仅可用于工业或者科研等非医疗目的。
             电子营业执照 | 经营证照公示 | ICP备案号:沪ICP备11003924号 | 沪公网安备 31011502006935号

          Your items have has been added!


          Host server : magellan-search-green-6479c7f679-k9lz7:80/100.66.74.142:80.
          git-commit: b70c0dceb888abc3b0dcebb5bc3a5b8753e7e816
          git-url: https://github.com/thermofisher/magellan-search
          git-branch: release/2.50.0-Offline