Hamburger Menu Button
Thermo Fisher Scientific Logo
登录
没有账号?建立账号 注册
  • 产品
    • 抗体
    • 引物合成
    • GeneArt Gene Synthesis Instant Designer
    • TaqMan Assay and Array Search
    • PCR 设备和耗材
    • 色谱柱和纯化柱
    • 实验室离心机
    • 分子生物学试剂和试剂盒
    • 实验室塑料耗材及用品
    • 查看所有产品分类
  • 应用和技术
    • 色谱
    • 细胞转染和培养
    • 实时荧光定量PCR
    • 质谱
    • 实验室塑料耗材及用品
    • 电子显微镜
    • 蛋白质生物学
    • PCR
    • RNAi
    • 环境
    • 查看所有应用和技术
  • 服务
    • 定制服务
    • 企业级实验室信息化服务
    • 企业服务
    • 金融&租赁服务
    • 仪器服务
    • OEM和商业供应
    • 培训服务
    • 360° CDMO 和 CRO 服务
    • CDMO 服务
    • 临床试验 CRO 服务
    • 查看所有帮助和支持
  • 帮助和支持
    • 学习中心
    • 联系我们
    • 更改国家或地区
    • 查看所有帮助和支持
  • 热门产品
    • TaqMan Real-Time PCR Assays
      TaqMan 实时荧光定量 PCR 试剂盒
    • Antibodies
      抗体
    • Oligos, Primers & Probes
      寡核苷酸、引物、探针
    • GeneArt Gene Synthesis
      GeneArt 基因合成
    • Cell Culture Plastics
      细胞培养耗材
  • 联系我们
  • 货号直购
  • 订单查询
  • 查找文件&证书
Thermo Fisher Scientific Logo

Search

搜索全部或下列指定分类
Search button
          • 联系我们
          • 货号直购
          • 登录
            登录
            没有账号?建立账号 注册
            • 我的账号
            • 订单
            • 账单及发票查询
            • 定制产品及项目

          Disclaimer

          Clicking the images or links will redirect you to a website hosted by BenchSci that provides third-party scientific content. Neither the content nor the BenchSci technology and processes for selection have been evaluated by us; we are providing them as-is and without warranty of any kind, including for use or application of the Thermo Fisher Scientific products presented.

          • Primary Antibodies ›
          • c-Abl Antibodies

          Invitrogen

          c-Abl Recombinant Rabbit Monoclonal Antibody (4Y8V9)

          查看其他40个c-Abl抗体

          {{$productOrderCtrl.translations['antibody.pdp.commerceCard.promotion.promotions']}}

          {{$productOrderCtrl.translations['antibody.pdp.commerceCard.promotion.viewpromo']}}

          {{$productOrderCtrl.translations['antibody.pdp.commerceCard.promotion.promocode']}}: {{promo.promoCode}} {{promo.promoTitle}} {{promo.promoDescription}}. {{$productOrderCtrl.translations['antibody.pdp.commerceCard.promotion.learnmore']}}

          说明书
          证书
          实验方案
          问题与答案
          技术支持
          说明书
          证书
          实验方案
          问题与答案
          技术支持
          说明书
          证书
          实验方案
          问题与答案
          技术支持

          Cite c-Abl Recombinant Rabbit Monoclonal Antibody (4Y8V9)

          • 抗体检测数据 (2)
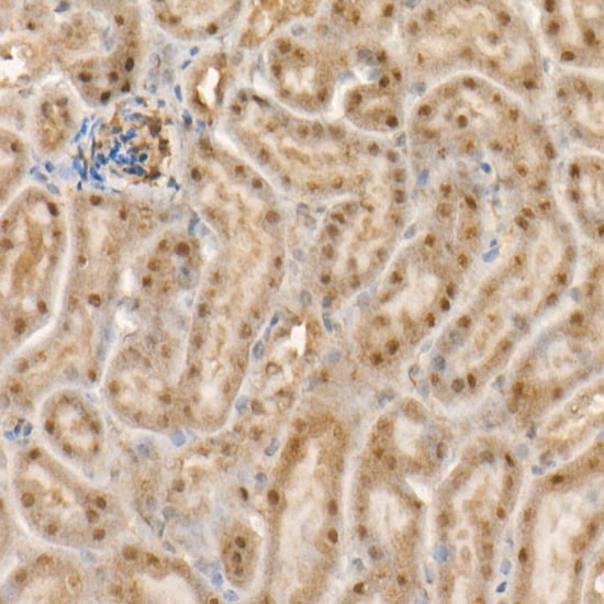
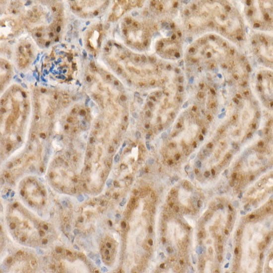
          c-Abl Antibody in Immunohistochemistry (Paraffin) (IHC (P))
          Group 53 Created with Sketch.
          c-Abl Antibody in Immunohistochemistry (Paraffin) (IHC (P))
          Group 53 Created with Sketch.

          图: 1 / 2

          {{ $ctrl.currentElement.advancedVerification.fullName }}
          {{ $ctrl.currentElement.advancedVerification.text }}

          c-Abl Antibody (MA5-51220) in IHC (P)

          Immunohistochemistry analysis of c-Abl in paraffin-embedded mouse kidney. Samples were incubated with c-Abl Recombinant monoclonal antibody (Product # MA5-51220) using a dilution of 1:100 (40x lens). Perform high pressure antigen retrieval with 10 mM citrate buffer pH 6.0 before commencing with IHC staining protocol. {{ $ctrl.currentElement.advancedVerification.fullName }} 验证信息 View more
          已发表图片由___提供 benchsci-logo
          PMID: {{$ctrl.currentElement.benchSciPubmedId}}
          查看产品

          {{$ctrl.videoDesc}}

          {{$ctrl.videoLongDesc}}

          c-Abl Antibody in Immunohistochemistry (Paraffin) (IHC (P))
          c-Abl Antibody in Immunohistochemistry (Paraffin) (IHC (P))
          c-Abl Recombinant Rabbit Monoclonal Antibody (4Y8V9)

          产品信息

          MA5-51220

          应用
          建议稀释比
          已发表文章

          免疫组化(石蜡) (IHC (P))

          1:50-1:200
          -

          酶联免疫吸附实验 (ELISA)

          1 µg/mL
          -
          产品规格

          种属反应

          Mouse, Rat

          宿主/亚型

          Rabbit / IgG

          Expression System

          HEK293 cells

          分类

          Recombinant Monoclonal

          类型

          Antibody

          克隆号

          4Y8V9

          抗原

          Recombinant fusion protein containing a sequence corresponding to amino acids 1000-1130 of human c-Abl (NP_005148.2).
          查看免疫原

          偶联物

          Unconjugated Unconjugated Unconjugated

          形式

          Liquid

          浓度

          0.076 mg/mL

          纯化类型

          Affinity chromatography

          保存液

          PBS, pH 7.3, with 0.05% BSA, 50% glycerol

          内含物

          0.05% ProClin 300

          保存条件

          -20°C, Avoid Freeze/Thaw Cycles

          运输条件

          Ambient (domestic); Wet ice (international)

          RRID

          AB_3092437

          产品详细信息

          Immunogen sequence: TAFIPLISTR VSLRKTRQPP ERIASGAITK GVVLDSTEAL CLAISRNSEQ MASHSAVLEA GKNLYTFCVS YVDSIQQMRN KFAFREAINK LENNLRELQI CPATAGSGPA ATQDFSKLLS SVKEISDIVQ R

          靶标信息

          The ABL1 proto-oncogene encodes a cytoplasmic and nuclear protein tyrosine kinase that has been implicated in processes of cell differentiation, cell division, cell adhesion, and stress response. Activity of c-Abl protein is negatively regulated by its SH3 domain, and deletion of the SH3 domain turns c-Abl into an oncogene. The DNA-binding activity of the ubiquitously expressed ABL1 tyrosine kinase is regulated by CDC2-mediated phosphorylation, suggesting a cell cycle function for c-Abl. In chronic myelogenous leukemia and a subset of acute lymphoblastic leukemias, the c-Abl proto oncogene undergoes a (9;22) chromosomal translocation producing a novel rearranged chromosome (the Philadelphia chromosome). As the result of the fusion of c-Abl sequences from chromosome 9 to the Bcr gene on chromosome 22. The c-Abl oncogene was initially identified as the viral transforming gene of Abelson murine leukemia virus (A-MuLV). c-ABL potentially regulates DNA repair by activating the proapoptotic pathway when the DNA damage is too severe to be repaired.

          仅用于科研。不用于诊断过程。未经明确授权不得转售。

          篇参考文献 (0)

          您是否在文献中引用过该产品?请点击下方按钮邮件告知我们。
          引用该产品

          生物信息学

          蛋白别名: Abelson murine leukemia oncogene; Abelson murine leukemia viral (v-abl) oncogene homolog 1; Abelson murine leukemia viral oncogene homolog 1; Abelson tyrosine-protein kinase 1; Abl 1 antib; ABL2; ABLL; ARG; B30; c-abl oncogene 1, non-receptor tyrosine kinase; c-abl oncogene 1, receptor tyrosine kinase; p150; Proto-oncogene c-Abl; proto-oncogene tyrosine-protein kinase ABL1; RP11-83J21.1; Tyrosine kinase ARG; Tyrosine-protein kinase ABL1; v-abl Abelson murine leukemia oncogene 1; v-abl Abelson murine leukemia viral oncogene 1

          查看更多 收起

          基因别名: Abl; Abl1; AI325092; c-Abl; E430008G22Rik

          查看更多 收起

          UniProt ID: (Mouse) P00520

          查看更多 收起

          Entrez Gene ID: (Rat) 311860, (Mouse) 11350

          查看更多 收起

          功能
          magnesium ion binding protein kinase activity protein tyrosine kinase activity non-membrane spanning protein tyrosine kinase activity receptor binding protein binding ATP binding protein C-terminus binding kinase activity SH3 domain binding protein kinase binding protein domain specific binding syntaxin binding manganese ion binding actin filament binding mitogen-activated protein kinase binding proline-rich region binding delta-catenin binding nucleotide binding DNA binding transferase activity transferase activity, transferring phosphorus-containing groups metal ion binding
          参与通路
          B-1 B cell homeostasis B cell proliferation involved in immune response transitional one stage B cell differentiation phagocytosis cellular response to DNA damage stimulus DNA damage induced protein phosphorylation response to oxidative stress epidermal growth factor receptor signaling pathway positive regulation of cytosolic calcium ion concentration learning or memory associative learning cell migration peptidyl-tyrosine phosphorylation cerebellum morphogenesis negative regulation of cell-cell adhesion microspike assembly actin cytoskeleton organization actin filament polymerization negative regulation of BMP signaling pathway regulation of actin cytoskeleton organization positive regulation of osteoblast proliferation substrate adhesion-dependent cell spreading cellular response to oxidative stress response to endoplasmic reticulum stress peptidyl-tyrosine autophosphorylation B cell proliferation response to drug signal transduction in response to DNA damage positive regulation of apoptotic process positive regulation of I-kappaB kinase/NF-kappaB signaling negative regulation of I-kappaB kinase/NF-kappaB signaling positive regulation of neuron apoptotic process innate immune response positive regulation of vasoconstriction negative regulation of mitotic cell cycle positive regulation of mitotic cell cycle alpha-beta T cell differentiation protein autophosphorylation platelet-derived growth factor receptor signaling pathway positive regulation of fibroblast proliferation spleen development thymus development collateral sprouting positive regulation of peptidyl-tyrosine phosphorylation activated T cell proliferation B cell receptor signaling pathway neuromuscular process controlling balance positive regulation of release of sequestered calcium ion into cytosol positive regulation of oxidoreductase activity negative regulation of ubiquitin-protein transferase activity regulation of cell cycle Bergmann glial cell differentiation negative regulation of ERK1 and ERK2 cascade positive regulation of ERK1 and ERK2 cascade cellular response to lipopolysaccharide cellular response to transforming growth factor beta stimulus response to epinephrine negative regulation of protein serine/threonine kinase activity actin filament branching positive regulation of dendrite development positive regulation of interleukin-2 secretion negative regulation of phospholipase C activity positive regulation of neuron death positive regulation of hydrogen peroxide-mediated programmed cell death positive regulation of interferon-gamma secretion regulation of extracellular matrix organization positive regulation of extracellular matrix organization glomerular visceral epithelial cell apoptotic process positive regulation of Wnt signaling pathway, planar cell polarity pathway negative regulation of endothelial cell apoptotic process regulation of cellular senescence negative regulation of cellular senescence regulation of response to DNA damage stimulus positive regulation of protein phosphorylation DNA repair protein phosphorylation endocytosis autophagy apoptotic process cell adhesion phosphorylation
          It has to be done as per old AB suggested Products section.
          guarantee_icon

          性能保障

          只要您发现Invitrogen抗体在实验中的表现与网站或说明书的所述内容不符,您即可享受免费退换货服务。*

          了解更多
          help_icon

          随时为您服务

          获取常见问题的专家解答,或者直接联系我们的技术专家,咨询应用、设备、常规产品使用问题。

          联系技术支持
          订购 Plus Icon Minus Icon
          • 订单状态查询
          • 订单支持
          • 货号直购
          • 现货供应中心
          • 电子采购
          支持 Plus Icon Minus Icon
          • 帮助&支持
          • 联系我们 - 400 820 8982
          • 技术支持中心
          • 查找文件&证书
          • 报告网站问题
          资源 Plus Icon Minus Icon
          • 学习中心
          • 促销
          • 活动&研讨会
          • 社交媒体
          关于赛默飞 Plus Icon Minus Icon
          • 关于我们
          • 招聘 招聘
          • 投资者关系 投资者关系
          • 新闻 新闻
          • 社会责任 社会责任
          • 商标
          • 政策和通知
          品牌 Plus Icon Minus Icon
          • Thermo Scientific
          • Applied Biosystems
          • Invitrogen
          • Gibco
          • Ion Torrent
          • Patheon
          • PPD
          • 服务条款
          • 隐私政策
          • 定价和运输保险政策
          © 2006-2026 Thermo Fisher Scientific Inc. All rights reserved. All trademarks are the property of Thermo Fisher Scientific and its subsidiaries unless otherwise specified.
          China flag icon
          China
          本网站销售的所有产品均不得用于人类或动物之临床诊断或治疗,仅可用于工业或者科研等非医疗目的。
             电子营业执照 | 经营证照公示 | ICP备案号:沪ICP备11003924号 | 沪公网安备 31011502006935号

          Your items have has been added!


          Host server : magellan-search-blue-55ff9ddd88-phcsm:80/100.66.77.16:80.
          git-commit: d366ff9721d93504b2ac26a183b2b3e3d0e7d9ec
          git-url: https://github.com/thermofisher/magellan-search
          git-branch: release/2.42.0-2026.01.03-1.0