Hamburger Menu Button
Thermo Fisher Scientific Logo
登录
没有账号?建立账号 注册
  • 产品
    • 抗体
    • 引物合成
    • GeneArt Gene Synthesis Instant Designer
    • TaqMan Assay and Array Search
    • PCR 设备和耗材
    • 色谱柱和纯化柱
    • 实验室离心机
    • 分子生物学试剂和试剂盒
    • 实验室塑料耗材及用品
    • 查看所有产品分类
  • 应用和技术
    • 色谱
    • 细胞转染和培养
    • 实时荧光定量PCR
    • 质谱
    • 实验室塑料耗材及用品
    • 电子显微镜
    • 蛋白质生物学
    • PCR
    • RNAi
    • 环境
    • 查看所有应用和技术
  • 服务
    • 定制服务
    • 企业级实验室信息化服务
    • 企业服务
    • 金融&租赁服务
    • 仪器服务
    • OEM和商业供应
    • 培训服务
    • 360° CDMO 和 CRO 服务
    • CDMO 服务
    • 临床试验 CRO 服务
    • 查看所有帮助和支持
  • 帮助和支持
    • 学习中心
    • 联系我们
    • 更改国家或地区
    • 查看所有帮助和支持
  • 热门产品
    • TaqMan Real-Time PCR Assays
      TaqMan 实时荧光定量 PCR 试剂盒
    • Antibodies
      抗体
    • Oligos, Primers & Probes
      寡核苷酸、引物、探针
    • GeneArt Gene Synthesis
      GeneArt 基因合成
    • Cell Culture Plastics
      细胞培养耗材
  • 联系我们
  • 货号直购
  • 订单查询
  • 查找文件&证书
Thermo Fisher Scientific Logo

Search

搜索全部或下列指定分类
Search button
          • 联系我们
          • 货号直购
          • 登录
            登录
            没有账号?建立账号 注册
            • 我的账号
            • 订单
            • 账单及发票查询
            • 定制产品及项目

          Disclaimer

          Clicking the images or links will redirect you to a website hosted by BenchSci that provides third-party scientific content. Neither the content nor the BenchSci technology and processes for selection have been evaluated by us; we are providing them as-is and without warranty of any kind, including for use or application of the Thermo Fisher Scientific products presented.

          • Primary Antibodies ›
          • SRC Antibodies

          Proteintech

          c-SRC Monoclonal Antibody (5E10C4)

          10 篇参考文献
          查看其他66个SRC抗体

          {{$productOrderCtrl.translations['antibody.pdp.commerceCard.promotion.promotions']}}

          {{$productOrderCtrl.translations['antibody.pdp.commerceCard.promotion.viewpromo']}}

          {{$productOrderCtrl.translations['antibody.pdp.commerceCard.promotion.promocode']}}: {{promo.promoCode}} {{promo.promoTitle}} {{promo.promoDescription}}. {{$productOrderCtrl.translations['antibody.pdp.commerceCard.promotion.learnmore']}}

          说明书
          证书
          实验方案
          问题与答案
          技术支持
          说明书
          证书
          实验方案
          问题与答案
          技术支持
          说明书
          证书
          实验方案
          问题与答案
          技术支持

          Cite c-SRC Monoclonal Antibody (5E10C4)

          • 抗体检测数据 (10)
          c-SRC Antibody in Immunocytochemistry (ICC/IF)
          Group 53 Created with Sketch.
          c-SRC Antibody in Immunocytochemistry (ICC/IF)
          Group 53 Created with Sketch.

          图: 1 / 10

          {{ $ctrl.currentElement.advancedVerification.fullName }}
          {{ $ctrl.currentElement.advancedVerification.text }}

          c-SRC Antibody (60315-1-IG) in ICC/IF

          Immunofluorescent analysis of ( -20°C Ethanol ) fixed MCF-7 cells using 60315-1-IG (c-SRC antibody) at dilution of 1:100 and Alexa Fluor 488-conjugated AffiniPure Goat Anti-Mouse IGG (H+L). {{ $ctrl.currentElement.advancedVerification.fullName }} 验证信息 View more
          已发表图片由___提供 benchsci-logo
          PMID: {{$ctrl.currentElement.benchSciPubmedId}}
          查看产品

          {{$ctrl.videoDesc}}

          {{$ctrl.videoLongDesc}}

          c-SRC Antibody in Immunocytochemistry (ICC/IF)
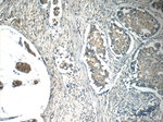
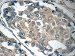
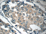
          c-SRC Antibody in Immunohistochemistry (Paraffin) (IHC (P))
          c-SRC Antibody in Immunohistochemistry (Paraffin) (IHC (P))
          c-SRC Antibody in Immunohistochemistry (Paraffin) (IHC (P))
          c-SRC Antibody in Immunohistochemistry (Paraffin) (IHC (P))
          c-SRC Antibody in Western Blot (WB)
          c-SRC Antibody in Western Blot (WB)
          c-SRC Antibody in Western Blot (WB)
          c-SRC Antibody in Western Blot (WB)
          c-SRC Antibody in Western Blot (WB)
          c-SRC Monoclonal Antibody (5E10C4)

          产品信息

          60315-1-IG

          应用
          建议稀释比
          已发表文章

          免疫印迹 (WB)

          1:1,000-1:8,000
          查看9篇已发表文章 9篇已发表文章

          免疫组化(石蜡) (IHC (P))

          1:100-1:400
          -

          免疫细胞化学 (ICC/IF)

          1:50-1:500
          查看1篇已发表文章 1篇已发表文章
          产品规格

          种属反应

          Hamster, Human, Mouse, Rat

          已发表种属

          Human

          宿主/亚型

          Mouse / IgG2b

          分类

          Monoclonal

          类型

          Antibody

          克隆号

          5E10C4

          抗原

          c-SRC Fusion Protein Ag22306 (1-536 aa encoded by BC011566)
          查看免疫原

          偶联物

          Unconjugated Unconjugated Unconjugated
          • CoraLite 594
          • CoraLite Plus 488
          • Request custom conjugation

          形式

          Liquid

          浓度

          1 mg/mL

          纯化类型

          Protein A

          保存液

          PBS, pH 7.3, with 50% glycerol

          内含物

          0.02% sodium azide

          保存条件

          -20°C

          运输条件

          Wet ice (domestic); Dry ice (international)

          产品详细信息

          Immunogen sequence: MGSNKSKPK DASQRRRSLE PAENVHGAGG GAFPASQTPS KPASADGHRG PSAAFAPAAA EPKLFGGFNS SDTVTSPQRA GPLAGGVTTF VALYDYESRT ETDLSFKKGE RLQIVNNTEG DWWLAHSLST GQTGYIPSNY VAPSDSIQAE EWYFGKITRR ESERLLLNAE NPRGTFLVRE SETTKGAYCL SVSDFDNAKG LNVKHYKIRK LDSGGFYITS RTQFNSLQQL VAYYSKHADG LCHRLTTVCP TSKPQTQGLA KDAWEIPRES LRLEVKLGQG CFGEVWMGTW NGTTRVAIKT LKPGTMSPEA FLQEAQVMKK LRHEKLVQLY AVVSEEPIYI VTEYMSKGSL LDFLKGETGK YLRLPQLVDM AAQIASGMAY VERMNYVHRD LRAANILVGE NLVCKVADFG LARLIEDNEY TARQGAKFPI KWTAPEAALY GRFTIKSDVW SFGILLTELT TKGRVPYPGM VNREVLDQVE RGYRMPCPPE CPESLHDLMC QCWRKEPEER PTFEYLQAFL EDYFTSTEPQ YQPGENL (1-536 aa encoded by BC011566)

          靶标信息

          SRC is a cytoplasmic tyrosine kinase and proto-oncogene involved in the regulation of embryonic development and cell growth. SRC is involved in the regulation of growth and differentiation of eukaryotic cells. SRC associates with the cytoplasmic region of various cell surface receptors to facilitate signal transduction, and is also involved in cytoskeletal organization, cell cycle regulation, and apoptosis. In humans, the gene encoding SRC is present on chromosome 20. Activity of SRC is regulated by two tyrosine residues (Tyr 416 and Tyr527), and phosphorylation of these two sites have opposing effects. Phosphorylation of Tyr416 in the activation loop of the kinase domain upregulates enzyme activity while the phosphorylation of Tyr527 decreases enzyme activity. Mutations in the SRC gene could be involved in the malignant progression of colon cancer. Two transcript variants encoding the same SRC protein have been found thus far.

          仅用于科研。不用于诊断过程。未经明确授权不得转售。

          生物信息学

          蛋白别名: c-Src; EC 2.7.10.2; neuronal proto-oncogene tyrosine-protein kinase Src; OTTHUMP00000174476; OTTHUMP00000174477; OTTHUMP00000174478; p60-Src; pp60c-src; pp60src; Proto-oncogene c-Src; Proto-oncogene tyrosine-protein kinase Src; protooncogene SRC, Rous sarcoma; Rous sarcoma oncogene; RP5-823N20.1; tyrosine kinase pp60c-src; tyrosine protein kinase c-src; tyrosine protein kinase pp60-c-src; tyrosine-protein kinase SRC-1; v-src avian sarcoma (Schmidt-Ruppin A-2) viral oncogene homolog; v-src sarcoma (Schmidt-Ruppin A-2) viral oncogene homolog

          查看更多 收起

          基因别名: ASV; AW259666; c-SRC; p60-Src; pp60c-src; SRC; SRC1; THC6

          查看更多 收起

          UniProt ID: (Human) P12931, (Mouse) P05480, (Rat) Q9WUD9

          查看更多 收起

          Entrez Gene ID: (Human) 6714, (Chinese hamster) 100757188, (Mouse) 20779, (Rat) 83805

          查看更多 收起

          功能
          protein kinase activity protein tyrosine kinase activity non-membrane spanning protein tyrosine kinase activity SH3/SH2 adaptor activity protein kinase C binding receptor binding insulin receptor binding integrin binding protein binding ATP binding protein C-terminus binding kinase activity enzyme binding kinase binding heme binding estrogen receptor binding SH2 domain binding ion channel binding ephrin receptor binding phosphoprotein binding hormone receptor binding growth factor receptor binding scaffold protein binding cadherin binding involved in cell-cell adhesion nucleotide binding transferase activity transferase activity, transferring phosphorus-containing groups protein kinase binding protein domain specific binding protein complex binding cell adhesion molecule binding
          参与通路
          immune system process protein phosphorylation cell cycle cell adhesion epidermal growth factor receptor signaling pathway transforming growth factor beta receptor signaling pathway integrin-mediated signaling pathway cell proliferation positive regulation of gene expression regulation of epithelial cell migration positive regulation of epithelial cell migration positive regulation of glucose metabolic process positive regulation of smooth muscle cell migration phosphorylation cell migration peptidyl-serine phosphorylation peptidyl-tyrosine phosphorylation regulation of cell-cell adhesion cell differentiation forebrain development positive regulation of protein autophosphorylation activation of protein kinase B activity negative regulation of protein homooligomerization regulation of intracellular estrogen receptor signaling pathway adherens junction organization substrate adhesion-dependent cell spreading cellular response to reactive oxygen species intracellular signal transduction osteoclast development cellular response to platelet-derived growth factor stimulus peptidyl-tyrosine autophosphorylation regulation of cell proliferation positive regulation of apoptotic process negative regulation of apoptotic process stress fiber assembly negative regulation of cysteine-type endopeptidase activity involved in apoptotic process regulation of protein binding positive regulation of MAP kinase activity positive regulation of phosphatidylinositol 3-kinase activity transcytosis innate immune response bone resorption positive regulation of cyclin-dependent protein serine/threonine kinase activity positive regulation of cell adhesion negative regulation of transcription, DNA-templated positive regulation of transcription, DNA-templated positive regulation of insulin receptor signaling pathway protein autophosphorylation neurotrophin TRK receptor signaling pathway oogenesis positive regulation of cytokine secretion progesterone receptor signaling pathway positive regulation of protein transport regulation of cell cycle negative regulation of focal adhesion assembly positive regulation of protein kinase B signaling negative regulation of mitochondrial depolarization uterus development branching involved in mammary gland duct morphogenesis regulation of cell projection assembly positive regulation of ERK1 and ERK2 cascade response to interleukin-1 cellular response to peptide hormone stimulus cellular response to progesterone stimulus cellular response to fluid shear stress cellular response to transforming growth factor beta stimulus positive regulation of podosome assembly angiotensin-activated signaling pathway involved in heart process positive regulation of canonical Wnt signaling pathway positive regulation of intracellular signal transduction positive regulation of lamellipodium morphogenesis positive regulation of DNA biosynthetic process regulation of early endosome to late endosome transport negative regulation of anoikis negative regulation of extrinsic apoptotic signaling pathway negative regulation of intrinsic apoptotic signaling pathway regulation of caveolin-mediated endocytosis stimulatory C-type lectin receptor signaling pathway signal transduction signal complex assembly central nervous system development response to mechanical stimulus response to virus response to acidic pH positive regulation of platelet-derived growth factor receptor signaling pathway single organismal cell-cell adhesion platelet activation intracellular estrogen receptor signaling pathway T cell costimulation protein destabilization response to nutrient levels negative regulation of telomere maintenance via telomerase cellular response to insulin stimulus positive regulation of integrin activation Fc-gamma receptor signaling pathway involved in phagocytosis ERBB2 signaling pathway response to drug response to hydrogen peroxide regulation of vascular permeability regulation of bone resorption platelet-derived growth factor receptor signaling pathway vascular endothelial growth factor receptor signaling pathway ephrin receptor signaling pathway positive regulation of peptidyl-tyrosine phosphorylation leukocyte migration positive regulation of small GTPase mediated signal transduction response to mineralocorticoid response to electrical stimulus negative regulation of telomerase activity cellular response to lipopolysaccharide cellular response to fatty acid cellular response to hypoxia regulation of podosome assembly positive regulation of protein serine/threonine kinase activity response to fatty acid
          It has to be done as per old AB suggested Products section.
          guarantee_icon

          性能保障

          只要您发现Invitrogen抗体在实验中的表现与网站或说明书的所述内容不符,您即可享受免费退换货服务。*

          了解更多
          help_icon

          随时为您服务

          获取常见问题的专家解答,或者直接联系我们的技术专家,咨询应用、设备、常规产品使用问题。

          联系技术支持
          订购 Plus Icon Minus Icon
          • 订单状态查询
          • 订单支持
          • 货号直购
          • 现货供应中心
          • 电子采购
          支持 Plus Icon Minus Icon
          • 帮助&支持
          • 联系我们 - 400 820 8982
          • 技术支持中心
          • 查找文件&证书
          • 报告网站问题
          资源 Plus Icon Minus Icon
          • 学习中心
          • 促销
          • 活动&研讨会
          • 社交媒体
          关于赛默飞 Plus Icon Minus Icon
          • 关于我们
          • 招聘 招聘
          • 投资者关系 投资者关系
          • 新闻 新闻
          • 社会责任 社会责任
          • 商标
          • 政策和通知
          品牌 Plus Icon Minus Icon
          • Thermo Scientific
          • Applied Biosystems
          • Invitrogen
          • Gibco
          • Ion Torrent
          • Patheon
          • PPD
          • 服务条款
          • 隐私政策
          • 定价和运输保险政策
          © 2006-2026 Thermo Fisher Scientific Inc. All rights reserved. All trademarks are the property of Thermo Fisher Scientific and its subsidiaries unless otherwise specified.
          China flag icon
          China
          本网站销售的所有产品均不得用于人类或动物之临床诊断或治疗,仅可用于工业或者科研等非医疗目的。
             电子营业执照 | 经营证照公示 | ICP备案号:沪ICP备11003924号 | 沪公网安备 31011502006935号

          Your items have has been added!


          Host server : magellan-search-blue-55ff9ddd88-lffdw:80/100.66.79.31:80.
          git-commit: d366ff9721d93504b2ac26a183b2b3e3d0e7d9ec
          git-url: https://github.com/thermofisher/magellan-search
          git-branch: release/2.42.0-2026.01.03-1.0