Hamburger Menu Button
Thermo Fisher Scientific Logo
登录
没有账号?建立账号 注册
  • 产品
    • 抗体
    • 引物合成
    • GeneArt Gene Synthesis Instant Designer
    • TaqMan Assay and Array Search
    • PCR 设备和耗材
    • 色谱柱和纯化柱
    • 实验室离心机
    • 分子生物学试剂和试剂盒
    • 实验室塑料耗材及用品
    • 查看所有产品分类
  • 应用和技术
    • 色谱
    • 细胞转染和培养
    • 实时荧光定量PCR
    • 质谱
    • 实验室塑料耗材及用品
    • 电子显微镜
    • 蛋白质生物学
    • PCR
    • RNAi
    • 环境
    • 查看所有应用和技术
  • 服务
    • 定制服务
    • 企业级实验室信息化服务
    • 金融&租赁服务
    • 仪器服务
    • OEM和商业供应
    • 培训服务
    • 360° CDMO 和 CRO 服务
    • CDMO 服务
    • 临床试验 CRO 服务
    • Unity Lab Services
    • 查看所有帮助和支持
  • 帮助和支持
    • 学习中心
    • 联系我们
    • 更改国家或地区
    • 查看所有帮助和支持
  • 热门产品
    • TaqMan Real-Time PCR Assays
      TaqMan 实时荧光定量 PCR 试剂盒
    • Antibodies
      抗体
    • Oligos, Primers & Probes
      寡核苷酸、引物、探针
    • GeneArt Gene Synthesis
      GeneArt 基因合成
    • Cell Culture Plastics
      细胞培养耗材
  • Who We Serve
    • 抗体治疗解决方案
    • 细胞与基因治疗解决方案
    • 学术科研
    • 工业与应用
  • 联系我们
  • 货号直购
  • 订单查询
  • 查找文件&证书
Thermo Fisher Scientific Logo

Search

搜索全部或下列指定分类
Search button
          • 联系我们
          • 货号直购
          • 登录
            登录
            没有账号?建立账号 注册
            • 我的账号
            • 订单
            • 会员中心
            • 账单及发票查询
            • 定制产品及项目
          • Primary Antibodies ›
          • CDK2 Antibodies

          Rockland

          cdk2 Polyclonal Antibody

          查看其他44个CDK2抗体

          {{$productOrderCtrl.translations['antibody.pdp.commerceCard.promotion.promotions']}}

          {{$productOrderCtrl.translations['antibody.pdp.commerceCard.promotion.viewpromo']}}

          {{$productOrderCtrl.translations['antibody.pdp.commerceCard.promotion.promocode']}}: {{promo.promoCode}} {{promo.promoTitle}} {{promo.promoDescription}}. {{$productOrderCtrl.translations['antibody.pdp.commerceCard.promotion.learnmore']}}

          说明书
          证书
          实验方案
          问题与答案
          技术支持
          说明书
          证书
          实验方案
          问题与答案
          技术支持
          说明书
          证书
          实验方案
          问题与答案
          技术支持

          Cite cdk2 Polyclonal Antibody

          Additional Information:
          {{banner.description}}
          {{$ctrl.isSkuNotesCollapsed ? 'View more' : 'View less'}}
          • 抗体检测数据 (2)
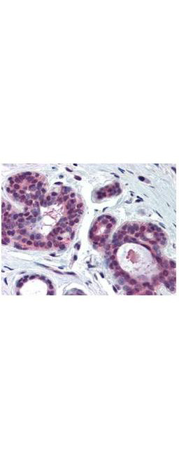
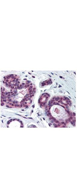
          cdk2 Antibody in Immunohistochemistry (Paraffin) (IHC (P))
          Group 53 Created with Sketch.
          cdk2 Antibody in Immunohistochemistry (Paraffin) (IHC (P))
          Group 53 Created with Sketch.

          图: 1 / 2

          {{ $ctrl.currentElement.advancedVerification.fullName }}
          {{ $ctrl.currentElement.advancedVerification.text }}

          cdk2 Antibody (100-401-161) in IHC (P)

          Rocklands Anti-CDK2 antibody was diluted 1:500 to detect CDK2 in human skin tissue. Tissue was formalin fixed and paraffin embedded. No pre-treatment of sample was required. The image shows the localization of antibody as the precipitated red signal, with a hematoxylin purple nuclear counter stain. {{ $ctrl.currentElement.advancedVerification.fullName }} 验证信息 View more
          已发表图片由___提供 benchsci-logo
          PMID: {{$ctrl.currentElement.benchSciPubmedId}}
          查看产品

          {{$ctrl.videoDesc}}

          {{$ctrl.videoLongDesc}}

          cdk2 Antibody in Immunohistochemistry (Paraffin) (IHC (P))
          cdk2 Antibody in Western Blot (WB)
          cdk2 Polyclonal Antibody

          产品信息

          100-401-161

          应用
          建议稀释比
          已发表文章

          免疫印迹 (WB)

          1:200-1:1,000
          -

          免疫组化(石蜡) (IHC (P))

          1:200-1:1,000
          -

          酶联免疫吸附实验 (ELISA)

          1:1,000-1:5,000
          -

          免疫沉淀 (IP)

          1:200-1:1,000
          -
          产品规格

          种属反应

          Human, Mouse, Rat

          宿主/亚型

          Rabbit / IgG

          分类

          Polyclonal

          类型

          Antibody

          抗原

          Anti-cdk2 antibody was prepared from whole rabbit serum by repeated immunizations with a synthetic peptide corresponding to the C-terminus of the human cdk-2 protein conjugated to Keyhole Limpet Hemocyanin (KLH).
          3D表位/免疫原

          偶联物

          Unconjugated Unconjugated Unconjugated

          形式

          Liquid

          浓度

          75 mg/mL

          规格

          7.5 mg

          保存液

          whole serum

          内含物

          0.01% sodium azide

          保存条件

          -20°C, Avoid Freeze/Thaw Cycles

          运输条件

          Ambient (domestic); Wet ice (international)

          产品详细信息

          Store vial at -20° C prior to opening. Aliquot contents and freeze at -20° C or below for extended storage. Avoid cycles of freezing and thawing. Centrifuge product if not completely clear after standing at room temperature. This product is stable for several weeks at 4° C as an undiluted liquid. Dilute only prior to immediate use.

          Antiserum will specifically react with a 33 kDa cdk2 protein from human, rat and mouse tissue. No reaction was observed against other related cyclin dependent kinases. Cross reactivity with cdk2 from other species may also occur.

          靶标信息

          CDK2/cyclinO is a member of the cyclin dependent protein kinase family complexed to CyclinO. CyclinO was used as a specific protein isoform name for the UNG gene which is localized exclusively in the nucleus. In addition, CyclinO was reported to shows significant uracil-DNA glycosylase activity. CDK2/cyclinO protein levels increase during G1 phase and the protein is turned over during the course of cell cycle. The levels of cyclin A-cdk2 is maximal at the G1/S transition and both cdk2 and cyclin A are found associated with DNA in the initiation complex during replication. Rb protein acts as substrate for cdk2-cyclin E and/or cdk2-cyclin A in vivo. Cdk2 is activated and specifically localized to the nucleus during late G1-, S-, and G2-phase.

          仅用于科研。不用于诊断过程。未经明确授权不得转售。

          篇参考文献 (0)

          您是否在文献中引用过该产品?请点击下方按钮邮件告知我们。
          引用该产品

          生物信息学

          蛋白别名: cdc2-related protein kinase; CDC28; CDC2A; CDK1; CDK2; Cell division protein kinase 2; cyclin dependent kinase 2-alpha; Cyclin-dependent kinase 2; EC 2.7.11.22; EC 2.7.11.23; kinase Cdc2; MPF; p33 protein kinase; p33CDK2; p34 protein kinase; unnamed protein product

          查看更多 收起

          基因别名: A630093N05Rik; CDK2; CDKN2; p33(CDK2)

          查看更多 收起

          UniProt ID: (Human) P24941, (Mouse) P97377

          查看更多 收起

          Entrez Gene ID: (Human) 1017, (Rat) 362817, (Mouse) 12566

          查看更多 收起

          功能
          nucleotide binding magnesium ion binding protein kinase activity protein serine/threonine kinase activity cyclin-dependent protein serine/threonine kinase activity protein binding ATP binding kinase activity transferase activity protein domain specific binding cyclin binding histone kinase activity metal ion binding cyclin-dependent protein kinase activity protein serine kinase activity protein complex binding transferase activity, transferring phosphorus-containing groups non-receptor serine/threonine protein kinase
          参与通路
          G1/S transition of mitotic cell cycle G2/M transition of mitotic cell cycle negative regulation of transcription from RNA polymerase II promoter telomere maintenance DNA replication DNA repair chromatin remodeling transcription, DNA-templated protein phosphorylation potassium ion transport cellular response to DNA damage stimulus centriole replication signal transduction Ras protein signal transduction regulation of mitotic cell cycle positive regulation of cell proliferation regulation of G2/M transition of mitotic cell cycle regulation of gene expression peptidyl-serine phosphorylation positive regulation of heterochromatin assembly mitotic G1 DNA damage checkpoint protection from non-homologous end joining at telomere positive regulation of DNA-dependent DNA replication initiation telomere maintenance in response to DNA damage post-translational protein modification positive regulation of DNA replication positive regulation of transcription, DNA-templated centrosome duplication cell division meiotic cell cycle cellular response to nitric oxide cellular senescence regulation of anaphase-promoting complex-dependent catabolic process lens development in camera-type eye mitotic nuclear division response to toxic substance histone phosphorylation organ regeneration response to estradiol cellular response to insulin stimulus response to drug response to ethanol response to cadmium ion response to cAMP response to electrical stimulus regulation of cell cycle regulation of gene silencing cell cycle phosphorylation
          It has to be done as per old AB suggested Products section.

          Disclaimer

          Close

          Clicking the images or links will redirect you to a website hosted by BenchSci that provides third-party scientific content. Neither the content nor the BenchSci technology and processes for selection have been evaluated by us; we are providing them as-is and without warranty of any kind, including for use or application of the Thermo Fisher Scientific products presented.

          guarantee_icon

          性能保障

          只要您发现Invitrogen抗体在实验中的表现与网站或说明书的所述内容不符,您即可享受免费退换货服务。*

          了解更多
          help_icon

          随时为您服务

          获取常见问题的专家解答,或者直接联系我们的技术专家,咨询应用、设备、常规产品使用问题。

          联系技术支持
          订购 Plus Icon Minus Icon
          • 订单状态查询
          • 订单支持
          • 货号直购
          • 现货供应中心
          • 电子采购
          支持 Plus Icon Minus Icon
          • 帮助&支持
          • 联系我们 - 400 820 8982
          • 技术支持中心
          • 查找文件&证书
          • 报告网站问题
          资源 Plus Icon Minus Icon
          • 学习中心
          • 促销
          • 活动&研讨会
          • 社交媒体
          关于赛默飞 Plus Icon Minus Icon
          • 关于我们
          • 招聘 招聘
          • 投资者关系 投资者关系
          • 新闻 新闻
          • 社会责任 社会责任
          • 商标
          • 政策和通知
          品牌 Plus Icon Minus Icon
          • Thermo Scientific
          • Applied Biosystems
          • Invitrogen
          • Gibco
          • Ion Torrent
          • Unity Lab Services
          • Patheon
          • PPD
          • 服务条款
          • 隐私政策
          • 定价和运输保险政策
          © 2006-2026 Thermo Fisher Scientific Inc. All rights reserved. All trademarks are the property of Thermo Fisher Scientific and its subsidiaries unless otherwise specified.
          China flag icon
          China
          本网站销售的所有产品均不得用于人类或动物之临床诊断或治疗,仅可用于工业或者科研等非医疗目的。
             电子营业执照 | 经营证照公示 | ICP备案号:沪ICP备11003924号 | 沪公网安备 31011502006935号

          Your items have has been added!


          Host server : magellan-search-blue-7c59b9b899-49tpj:80/100.66.77.222:80.
          git-commit: 8ef7cf686e3c81d28b13492708ce56d167b2f995
          git-url: https://github.com/thermofisher/magellan-search
          git-branch: release/2.49.0-Offline