Hamburger Menu Button
Thermo Fisher Scientific Logo
登录
没有账号?建立账号 注册
  • 产品
    • 抗体
    • 引物合成
    • GeneArt Gene Synthesis Instant Designer
    • TaqMan Assay and Array Search
    • PCR 设备和耗材
    • 色谱柱和纯化柱
    • 实验室离心机
    • 分子生物学试剂和试剂盒
    • 实验室塑料耗材及用品
    • 查看所有产品分类
  • 应用和技术
    • 色谱
    • 细胞转染和培养
    • 实时荧光定量PCR
    • 质谱
    • 实验室塑料耗材及用品
    • 电子显微镜
    • 蛋白质生物学
    • PCR
    • RNAi
    • 环境
    • 查看所有应用和技术
  • 服务
    • 定制服务
    • 企业级实验室信息化服务
    • 金融&租赁服务
    • 仪器服务
    • OEM和商业供应
    • 培训服务
    • 360° CDMO 和 CRO 服务
    • CDMO 服务
    • 临床试验 CRO 服务
    • Unity Lab Services
    • 查看所有帮助和支持
  • 帮助和支持
    • 学习中心
    • 联系我们
    • 更改国家或地区
    • 查看所有帮助和支持
  • 热门产品
    • TaqMan Real-Time PCR Assays
      TaqMan 实时荧光定量 PCR 试剂盒
    • Antibodies
      抗体
    • Oligos, Primers & Probes
      寡核苷酸、引物、探针
    • GeneArt Gene Synthesis
      GeneArt 基因合成
    • Cell Culture Plastics
      细胞培养耗材
  • Who We Serve
    • 抗体治疗解决方案
    • 细胞与基因治疗解决方案
    • 学术科研
    • 工业与应用
  • 联系我们
  • 货号直购
  • 订单查询
  • 查找文件&证书
Thermo Fisher Scientific Logo

Search

搜索全部或下列指定分类
Search button
          • 联系我们
          • 货号直购
          • 登录
            登录
            没有账号?建立账号 注册
            • 我的账号
            • 订单
            • 账单及发票查询
            • 定制产品及项目
          • Primary Antibodies ›
          • PLA2G6 Antibodies

          Proteintech

          iPLA2 Polyclonal Antibody

          5 篇参考文献
          查看其他7个PLA2G6抗体

          {{$productOrderCtrl.translations['antibody.pdp.commerceCard.promotion.promotions']}}

          {{$productOrderCtrl.translations['antibody.pdp.commerceCard.promotion.viewpromo']}}

          {{$productOrderCtrl.translations['antibody.pdp.commerceCard.promotion.promocode']}}: {{promo.promoCode}} {{promo.promoTitle}} {{promo.promoDescription}}. {{$productOrderCtrl.translations['antibody.pdp.commerceCard.promotion.learnmore']}}

          说明书
          证书
          实验方案
          问题与答案
          技术支持
          说明书
          证书
          实验方案
          问题与答案
          技术支持
          说明书
          证书
          实验方案
          问题与答案
          技术支持

          Cite iPLA2 Polyclonal Antibody

          Additional Information:
          {{banner.description}}
          {{$ctrl.isSkuNotesCollapsed ? 'View more' : 'View less'}}
          • 抗体检测数据 (7)
          iPLA2 Antibody in Immunohistochemistry (Paraffin) (IHC (P))
          Group 53 Created with Sketch.
          iPLA2 Antibody in Immunohistochemistry (Paraffin) (IHC (P))
          Group 53 Created with Sketch.

          图: 1 / 7

          {{ $ctrl.currentElement.advancedVerification.fullName }}
          {{ $ctrl.currentElement.advancedVerification.text }}

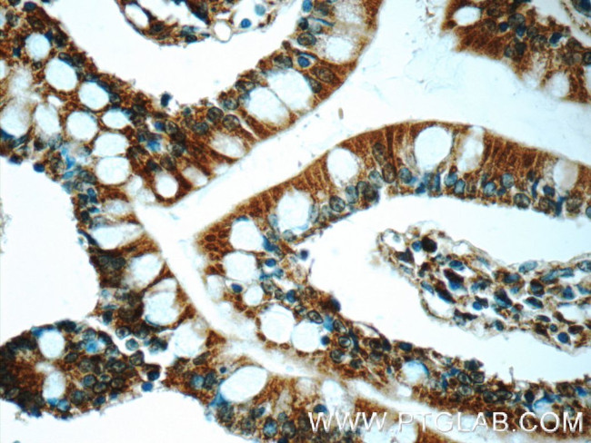
          iPLA2 Antibody (22030-1-AP) in IHC (P)

          Immunohistochemistry of paraffin-embedded human small intestine tissue slide using 22030-1-AP ( iPLA2 antibody at dilution of 1:50 (under 40x lens). {{ $ctrl.currentElement.advancedVerification.fullName }} 验证信息 View more
          已发表图片由___提供 benchsci-logo
          PMID: {{$ctrl.currentElement.benchSciPubmedId}}
          查看产品

          {{$ctrl.videoDesc}}

          {{$ctrl.videoLongDesc}}

          iPLA2 Antibody in Immunohistochemistry (Paraffin) (IHC (P))
          iPLA2 Antibody in Immunohistochemistry (Paraffin) (IHC (P))
          iPLA2 Antibody in Immunohistochemistry (Paraffin) (IHC (P))
          iPLA2 Antibody in Immunohistochemistry (Paraffin) (IHC (P))
          iPLA2 Antibody in Western Blot (WB)
          iPLA2 Antibody in Western Blot (WB)
          iPLA2 Antibody in Immunoprecipitation (IP)
          iPLA2 Polyclonal Antibody

          产品信息

          22030-1-AP

          应用
          建议稀释比
          已发表文章

          免疫印迹 (WB)

          1:500-1:2,000
          查看2篇已发表文章 2篇已发表文章

          免疫组化 (IHC)

          -
          查看2篇已发表文章 2篇已发表文章

          免疫组化(石蜡) (IHC (P))

          1:20-1:200
          -

          免疫细胞化学 (ICC/IF)

          -
          查看1篇已发表文章 1篇已发表文章

          免疫沉淀 (IP)

          0.5-4.0 µg
          -
          产品规格

          种属反应

          Human, Mouse

          已发表种属

          Human, Mouse

          宿主/亚型

          Rabbit / IgG

          分类

          Polyclonal

          类型

          Antibody

          抗原

          iPLA2 Fusion Protein Ag16896 (1-343 aa encoded by BC036742)
          3D表位/免疫原

          偶联物

          Unconjugated Unconjugated Unconjugated

          形式

          Liquid

          浓度

          0.35 mg/mL

          规格

          52.5 µg

          纯化类型

          Antigen affinity chromatography

          保存液

          PBS, pH 7.3, with 50% glycerol

          内含物

          0.02% sodium azide

          保存条件

          -20°C

          运输条件

          Wet ice (domestic); Dry ice (international)

          产品详细信息

          Immunogen sequence: MQFFGRLVN TFSGVTNLFS NPFRVKEVAV ADYTSSDRVR EEGQLILFQN TPNRTWDCVL VNPRNSQSGF RLFQLELEAD ALVNFHQYSS QLLPFYESSP QVLHTEVLQH LTDLIRNHPS WSVAHLAVEL GIRECFHHSR IISCANCAEN EEGCTPLHLA CRKGDGEILV ELVQYCHTQM DVTDYKGETV FHYAVQGDNS QVLQLLGRNA VAGLNQVNNQ GLTPLHLACQ LGKQEMVRVL LLCNARCNIM GPNGYPIHSA MKFSQKGCAE MIISMDSSQI HSKDPRYGAS PLHWAKNAEM ARMLLKRGCN VNSTSSAGNT ALHVAVMRNR FDCAIVLLTH GANA (1-343 aa encoded by BC036742)

          靶标信息

          The protein encoded by this gene is an A2 phospholipase, a class of enzyme that catalyzes the release of fatty acids from phospholipids. The encoded protein may play a role in phospholipid remodelling, arachidonic acid release, leukotriene and prostaglandin synthesis, fas-mediated apoptosis, and transmembrane ion flux in glucose-stimulated B-cells. Several transcript variants encoding multiple isoforms have been described, but the full-length nature of only two of them have been determined to date.

          仅用于科研。不用于诊断过程。未经明确授权不得转售。

          生物信息学

          蛋白别名: 2-lysophosphatidylcholine acylhydrolase; 85 kDa calcium-independent phospholipase A2; 85/88 kDa calcium-independent phospholipase A2; CaI-PLA2; Group VI phospholipase A2; GVI PLA2; Intracellular membrane-associated calcium-independent phospholipase A2 beta; iPLA2; iPLA2-beta; neurodegeneration with brain iron accumulation 2; Palmitoyl-CoA hydrolase; Patatin-like phospholipase domain-containing protein 9; phospholipase A2, group VI (cytosolic, calcium-independent); PLA2G6; PNPLA9; unnamed protein product

          查看更多 收起

          基因别名: BB112799; CaI-PLA2; GVI; INAD1; iPLA(2)beta; iPLA2; IPLA2-VIA; iPLA2beta; NBIA2; NBIA2A; NBIA2B; PARK14; PLA2; PLA2G6; PLPLA9; PNPLA9

          查看更多 收起

          UniProt ID: (Human) O60733, (Mouse) P97819

          查看更多 收起

          Entrez Gene ID: (Human) 8398, (Mouse) 53357

          查看更多 收起

          功能
          1-alkyl-2-acetylglycerophosphocholine esterase activity lysophospholipase activity phospholipase A2 activity protein binding calmodulin binding hydrolase activity serine hydrolase activity identical protein binding calcium-independent phospholipase A2 activity long-chain acyl-CoA hydrolase activity protein kinase binding ATP-dependent protein binding phospholipase
          参与通路
          lipid metabolic process chemotaxis antibacterial humoral response phosphatidylcholine catabolic process positive regulation of insulin secretion involved in cellular response to glucose stimulus cardiolipin acyl-chain remodeling Fc-gamma receptor signaling pathway involved in phagocytosis phosphatidylethanolamine catabolic process platelet activating factor metabolic process phosphatidic acid metabolic process positive regulation of ceramide biosynthetic process positive regulation of protein phosphorylation positive regulation of cytosolic calcium ion concentration memory metabolic process urinary bladder smooth muscle contraction lipid catabolic process cardiolipin biosynthetic process response to endoplasmic reticulum stress positive regulation of vasodilation positive regulation of exocytosis negative regulation of synaptic transmission, glutamatergic positive regulation of protein kinase C signaling positive regulation of release of cytochrome c from mitochondria positive regulation of arachidonic acid secretion regulation of store-operated calcium channel activity
          It has to be done as per old AB suggested Products section.

          Disclaimer

          Close

          Clicking the images or links will redirect you to a website hosted by BenchSci that provides third-party scientific content. Neither the content nor the BenchSci technology and processes for selection have been evaluated by us; we are providing them as-is and without warranty of any kind, including for use or application of the Thermo Fisher Scientific products presented.

          guarantee_icon

          性能保障

          只要您发现Invitrogen抗体在实验中的表现与网站或说明书的所述内容不符,您即可享受免费退换货服务。*

          了解更多
          help_icon

          随时为您服务

          获取常见问题的专家解答,或者直接联系我们的技术专家,咨询应用、设备、常规产品使用问题。

          联系技术支持
          订购 Plus Icon Minus Icon
          • 订单状态查询
          • 订单支持
          • 货号直购
          • 现货供应中心
          • 电子采购
          支持 Plus Icon Minus Icon
          • 帮助&支持
          • 联系我们 - 400 820 8982
          • 技术支持中心
          • 查找文件&证书
          • 报告网站问题
          资源 Plus Icon Minus Icon
          • 学习中心
          • 促销
          • 活动&研讨会
          • 社交媒体
          关于赛默飞 Plus Icon Minus Icon
          • 关于我们
          • 招聘 招聘
          • 投资者关系 投资者关系
          • 新闻 新闻
          • 社会责任 社会责任
          • 商标
          • 政策和通知
          品牌 Plus Icon Minus Icon
          • Thermo Scientific
          • Applied Biosystems
          • Invitrogen
          • Gibco
          • Ion Torrent
          • Unity Lab Services
          • Patheon
          • PPD
          • 服务条款
          • 隐私政策
          • 定价和运输保险政策
          © 2006-2026 Thermo Fisher Scientific Inc. All rights reserved. All trademarks are the property of Thermo Fisher Scientific and its subsidiaries unless otherwise specified.
          China flag icon
          China
          本网站销售的所有产品均不得用于人类或动物之临床诊断或治疗,仅可用于工业或者科研等非医疗目的。
             电子营业执照 | 经营证照公示 | ICP备案号:沪ICP备11003924号 | 沪公网安备 31011502006935号

          Your items have has been added!


          Host server : magellan-search-green-b49b87d85-n9r8p:80/100.66.76.150:80.
          git-commit: 5b8c860b7cdb41e9cfe07630520f6b51e109d38e
          git-url: https://github.com/thermofisher/magellan-search
          git-branch: release/2.47.0-Offline