Hamburger Menu Button
Thermo Fisher Scientific Logo
登录
没有账号?建立账号 注册
  • 产品
    • 抗体
    • 引物合成
    • GeneArt Gene Synthesis Instant Designer
    • TaqMan Assay and Array Search
    • PCR 设备和耗材
    • 色谱柱和纯化柱
    • 实验室离心机
    • 分子生物学试剂和试剂盒
    • 实验室塑料耗材及用品
    • 查看所有产品分类
  • 应用和技术
    • 色谱
    • 细胞转染和培养
    • 实时荧光定量PCR
    • 质谱
    • 实验室塑料耗材及用品
    • 电子显微镜
    • 蛋白质生物学
    • PCR
    • RNAi
    • 环境
    • 查看所有应用和技术
  • 服务
    • 定制服务
    • 企业级实验室信息化服务
    • 金融&租赁服务
    • 仪器服务
    • OEM和商业供应
    • 培训服务
    • 360° CDMO 和 CRO 服务
    • CDMO 服务
    • 临床试验 CRO 服务
    • Unity Lab Services
    • 查看所有帮助和支持
  • 帮助和支持
    • 学习中心
    • 联系我们
    • 更改国家或地区
    • 查看所有帮助和支持
  • 热门产品
    • TaqMan Real-Time PCR Assays
      TaqMan 实时荧光定量 PCR 试剂盒
    • Antibodies
      抗体
    • Oligos, Primers & Probes
      寡核苷酸、引物、探针
    • GeneArt Gene Synthesis
      GeneArt 基因合成
    • Cell Culture Plastics
      细胞培养耗材
  • Who We Serve
    • 抗体治疗解决方案
    • 细胞与基因治疗解决方案
    • 学术科研
    • 工业与应用
  • 联系我们
  • 货号直购
  • 订单查询
  • 查找文件&证书
Thermo Fisher Scientific Logo

Search

搜索全部或下列指定分类
Search button
          • 联系我们
          • 货号直购
          • 登录
            登录
            没有账号?建立账号 注册
            • 我的账号
            • 订单
            • 账单及发票查询
            • 定制产品及项目
          • Primary Antibodies ›
          • nNOS Antibodies

          Huabio

          nNOS Polyclonal Antibody

          查看其他17个nNOS抗体

          {{$productOrderCtrl.translations['antibody.pdp.commerceCard.promotion.promotions']}}

          {{$productOrderCtrl.translations['antibody.pdp.commerceCard.promotion.viewpromo']}}

          {{$productOrderCtrl.translations['antibody.pdp.commerceCard.promotion.promocode']}}: {{promo.promoCode}} {{promo.promoTitle}} {{promo.promoDescription}}. {{$productOrderCtrl.translations['antibody.pdp.commerceCard.promotion.learnmore']}}

          说明书
          证书
          实验方案
          问题与答案
          技术支持
          说明书
          证书
          实验方案
          问题与答案
          技术支持
          说明书
          证书
          实验方案
          问题与答案
          技术支持

          Cite nNOS Polyclonal Antibody

          Additional Information:
          {{banner.description}}
          {{$ctrl.isSkuNotesCollapsed ? 'View more' : 'View less'}}
          • 抗体检测数据 (10)
          nNOS Antibody in Immunocytochemistry (ICC/IF)
          Group 53 Created with Sketch.
          nNOS Antibody in Immunocytochemistry (ICC/IF)
          Group 53 Created with Sketch.

          图: 1 / 10

          {{ $ctrl.currentElement.advancedVerification.fullName }}
          {{ $ctrl.currentElement.advancedVerification.text }}

          nNOS Antibody (R1510-28) in ICC/IF

          Immunocytochemical staining of SK-BR-3 cells using anti-nNOS rabbit polyclonal antibody. {{ $ctrl.currentElement.advancedVerification.fullName }} 验证信息 View more
          已发表图片由___提供 benchsci-logo
          PMID: {{$ctrl.currentElement.benchSciPubmedId}}
          查看产品

          {{$ctrl.videoDesc}}

          {{$ctrl.videoLongDesc}}

          nNOS Antibody in Immunocytochemistry (ICC/IF)
          nNOS Antibody in Immunocytochemistry (ICC/IF)
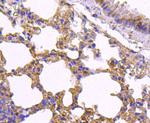
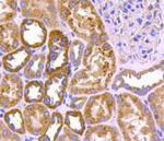
          nNOS Antibody in Immunohistochemistry (Paraffin) (IHC (P))
          nNOS Antibody in Immunohistochemistry (Paraffin) (IHC (P))
          nNOS Antibody in Immunohistochemistry (Paraffin) (IHC (P))
          nNOS Antibody in Immunohistochemistry (Paraffin) (IHC (P))
          nNOS Antibody in Immunohistochemistry (Paraffin) (IHC (P))
          nNOS Antibody in Immunohistochemistry (Paraffin) (IHC (P))
          nNOS Antibody in Western Blot (WB)
          nNOS Antibody in Flow Cytometry (Flow)
          nNOS Polyclonal Antibody

          产品信息

          R1510-28

          应用
          建议稀释比
          已发表文章

          免疫印迹 (WB)

          1:1,000
          -

          免疫组化(石蜡) (IHC (P))

          1:50-1:200
          -

          免疫组化(冰冻) (IHC (F))

          1:5,000
          -

          免疫细胞化学 (ICC/IF)

          1:50-1:200
          -

          流式细胞分析 (Flow)

          1:50-1:100
          -
          产品规格

          种属反应

          Human, Mouse, Rat

          宿主/亚型

          Rabbit / IgG

          分类

          Polyclonal

          类型

          Antibody

          抗原

          Synthetic peptide within C-terminal human nNOS.
          3D表位/免疫原

          偶联物

          Unconjugated Unconjugated Unconjugated

          形式

          Liquid

          浓度

          1 mg/mL

          规格

          100 µg

          纯化类型

          Antigen affinity chromatography

          保存液

          PBS, pH 7.4, with 0.2% BSA, 40% glycerol

          内含物

          0.05% sodium azide

          保存条件

          Store at 4°C short term. For long term storage, store at -20°C, avoiding freeze/thaw cycles.

          运输条件

          Ambient (domestic); Wet ice (international)

          靶标信息

          NOS activity requires homodimerization as well as three cosubstrates (L-arginine, NADPH and O2) and five cofactors or prosthetic groups (FAD, FMN, calmodulin, tetrahydrobiopterin and heme). Several distinct NOS isoforms have been described and been shown to represent the products of three distinct genes. These include two constitutive Ca2+/CaM-dependent forms of NOS, including NOS1 (also designated ncNOS) whose activity was first identified in neurons, and NOS3 (also designated ecNOS), first identified in endothelial cells.

          仅用于科研。不用于诊断过程。未经明确授权不得转售。

          篇参考文献 (0)

          您是否在文献中引用过该产品?请点击下方按钮邮件告知我们。
          引用该产品

          生物信息学

          蛋白别名: bNOS; bNOS1; Brain NOS; Constitutive NOS; N-NOS; NC-NOS; Neuronal NOS; nitric oxidase synthase; Nitric oxide synthase 1; nitric oxide synthase 1 (neuronal); Nitric oxide synthase, brain; nNOS; NOS Type 1; NOS type I; Peptidyl-cysteine S-nitrosylase NOS1; Phospho-bNOS; Phospho-Brain NOS; unnamed protein product

          查看更多 收起

          基因别名: 2310005C01Rik; Bnos; IHPS1; N-NOS; NC-NOS; nNOS; NO; NOS; Nos-1; NOS-I; NOS1

          查看更多 收起

          UniProt ID: (Human) P29475, (Rat) P29476, (Mouse) Q9Z0J4

          查看更多 收起

          Entrez Gene ID: (Human) 4842, (Rat) 24598, (Mouse) 18125

          查看更多 收起

          功能
          nitric-oxide synthase activity calcium channel regulator activity protein binding calmodulin binding FMN binding oxidoreductase activity sodium channel regulator activity heme binding tetrahydrobiopterin binding arginine binding peptidyl-cysteine S-nitrosylase activity ion channel binding cadmium ion binding metal ion binding calcium-dependent protein binding flavin adenine dinucleotide binding NADP binding scaffold protein binding NADPH-hemoprotein reductase activity iron ion binding amino acid binding enzyme binding protein homodimerization activity ATPase binding oxidoreductase
          参与通路
          response to hypoxia regulation of sodium ion transport arginine catabolic process nitric oxide biosynthetic process potassium ion transport calcium ion transport striated muscle contraction cell communication nitric oxide mediated signal transduction myoblast fusion blood circulation response to heat response to hormone negative regulation of calcium ion transport into cytosol regulation of cardiac muscle contraction by calcium ion signaling regulation of metal ion transport signaling response to lipopolysaccharide multicellular organismal response to stress xenobiotic catabolic process vasodilation negative regulation of potassium ion transport negative regulation of ion transport positive regulation of neuron apoptotic process cell redox homeostasis negative regulation of blood pressure positive regulation of transcription, DNA-templated positive regulation of transcription from RNA polymerase II promoter regulation of neurogenesis negative regulation of serotonin uptake establishment of localization in cell negative regulation of calcium ion transport regulation of cardiac muscle contraction regulation of postsynaptic membrane potential regulation of biological quality cellular response to growth factor stimulus positive regulation of the force of heart contraction synaptic signaling by nitric oxide positive regulation of adenylate cyclase-activating G protein-coupled receptor signaling pathway positive regulation of sodium ion transmembrane transport regulation of calcium ion transmembrane transport via high voltage-gated calcium channel regulation of blood circulation positive regulation of membrane repolarization during ventricular cardiac muscle cell action potential muscle contraction female pregnancy aging regulation of heart contraction negative regulation of cell proliferation response to organonitrogen compound response to lead ion response to organic cyclic compound response to activity peptidyl-cysteine S-nitrosylation positive regulation of guanylate cyclase activity response to nutrient levels negative regulation of peptidyl-serine phosphorylation response to vitamin E positive regulation of histone acetylation response to nicotine exogenous drug catabolic process negative regulation of apoptotic process response to peptide hormone response to estrogen response to ethanol negative regulation of heart contraction negative regulation of vasoconstriction positive regulation of vasodilation negative regulation of insulin secretion behavioral response to cocaine negative regulation of hydrolase activity negative regulation of cytosolic calcium ion concentration regulation of sensory perception of pain oxidation-reduction process cellular response to mechanical stimulus response to nitric oxide cellular response to epinephrine stimulus positive regulation of long-term synaptic potentiation positive regulation of adrenergic receptor signaling pathway involved in heart process positive regulation of neuron death
          It has to be done as per old AB suggested Products section.

          Disclaimer

          Close

          Clicking the images or links will redirect you to a website hosted by BenchSci that provides third-party scientific content. Neither the content nor the BenchSci technology and processes for selection have been evaluated by us; we are providing them as-is and without warranty of any kind, including for use or application of the Thermo Fisher Scientific products presented.

          guarantee_icon

          性能保障

          只要您发现Invitrogen抗体在实验中的表现与网站或说明书的所述内容不符,您即可享受免费退换货服务。*

          了解更多
          help_icon

          随时为您服务

          获取常见问题的专家解答,或者直接联系我们的技术专家,咨询应用、设备、常规产品使用问题。

          联系技术支持
          订购 Plus Icon Minus Icon
          • 订单状态查询
          • 订单支持
          • 货号直购
          • 现货供应中心
          • 电子采购
          支持 Plus Icon Minus Icon
          • 帮助&支持
          • 联系我们 - 400 820 8982
          • 技术支持中心
          • 查找文件&证书
          • 报告网站问题
          资源 Plus Icon Minus Icon
          • 学习中心
          • 促销
          • 活动&研讨会
          • 社交媒体
          关于赛默飞 Plus Icon Minus Icon
          • 关于我们
          • 招聘 招聘
          • 投资者关系 投资者关系
          • 新闻 新闻
          • 社会责任 社会责任
          • 商标
          • 政策和通知
          品牌 Plus Icon Minus Icon
          • Thermo Scientific
          • Applied Biosystems
          • Invitrogen
          • Gibco
          • Ion Torrent
          • Unity Lab Services
          • Patheon
          • PPD
          • 服务条款
          • 隐私政策
          • 定价和运输保险政策
          © 2006-2026 Thermo Fisher Scientific Inc. All rights reserved. All trademarks are the property of Thermo Fisher Scientific and its subsidiaries unless otherwise specified.
          China flag icon
          China
          本网站销售的所有产品均不得用于人类或动物之临床诊断或治疗,仅可用于工业或者科研等非医疗目的。
             电子营业执照 | 经营证照公示 | ICP备案号:沪ICP备11003924号 | 沪公网安备 31011502006935号

          Your items have has been added!


          Host server : magellan-search-blue-744bc48644-fvx7n:80/100.66.78.247:80.
          git-commit: 747bde55a712f6f97bf7760408d445eefba4e16f
          git-url: https://github.com/thermofisher/magellan-search
          git-branch: release/2.48.0-Offline