Hamburger Menu Button
Thermo Fisher Scientific Logo
登录
没有账号?建立账号 注册
  • 产品
    • 抗体
    • 引物合成
    • GeneArt Gene Synthesis Instant Designer
    • TaqMan Assay and Array Search
    • PCR 设备和耗材
    • 色谱柱和纯化柱
    • 实验室离心机
    • 分子生物学试剂和试剂盒
    • 实验室塑料耗材及用品
    • 查看所有产品分类
  • 应用和技术
    • 色谱
    • 细胞转染和培养
    • 实时荧光定量PCR
    • 质谱
    • 实验室塑料耗材及用品
    • 电子显微镜
    • 蛋白质生物学
    • PCR
    • RNAi
    • 环境
    • 查看所有应用和技术
  • 服务
    • 定制服务
    • 企业级实验室信息化服务
    • 企业服务
    • 金融&租赁服务
    • 仪器服务
    • OEM和商业供应
    • 培训服务
    • 360° CDMO 和 CRO 服务
    • CDMO 服务
    • 临床试验 CRO 服务
    • 查看所有帮助和支持
  • 帮助和支持
    • 学习中心
    • 联系我们
    • 更改国家或地区
    • 查看所有帮助和支持
  • 热门产品
    • TaqMan Real-Time PCR Assays
      TaqMan 实时荧光定量 PCR 试剂盒
    • Antibodies
      抗体
    • Oligos, Primers & Probes
      寡核苷酸、引物、探针
    • GeneArt Gene Synthesis
      GeneArt 基因合成
    • Cell Culture Plastics
      细胞培养耗材
  • 联系我们
  • 货号直购
  • 订单查询
  • 查找文件&证书
Thermo Fisher Scientific Logo

Search

搜索全部或下列指定分类
Search button
          • 联系我们
          • 货号直购
          • 登录
            登录
            没有账号?建立账号 注册
            • 我的账号
            • 订单
            • 账单及发票查询
            • 定制产品及项目

          Disclaimer

          Clicking the images or links will redirect you to a website hosted by BenchSci that provides third-party scientific content. Neither the content nor the BenchSci technology and processes for selection have been evaluated by us; we are providing them as-is and without warranty of any kind, including for use or application of the Thermo Fisher Scientific products presented.

          • Primary Antibodies ›
          • p27Kip1 Antibodies

          NeoBiotechnologies

          p27Kip1 (Mitotic Inhibitor/Suppressor Protein) Recombinant Rabbit Monoclonal Antibody (KIP1/9168R)

          查看其他73个p27Kip1抗体

          {{$productOrderCtrl.translations['antibody.pdp.commerceCard.promotion.promotions']}}

          {{$productOrderCtrl.translations['antibody.pdp.commerceCard.promotion.viewpromo']}}

          {{$productOrderCtrl.translations['antibody.pdp.commerceCard.promotion.promocode']}}: {{promo.promoCode}} {{promo.promoTitle}} {{promo.promoDescription}}. {{$productOrderCtrl.translations['antibody.pdp.commerceCard.promotion.learnmore']}}

          说明书
          证书
          实验方案
          问题与答案
          技术支持
          说明书
          证书
          实验方案
          问题与答案
          技术支持
          说明书
          证书
          实验方案
          问题与答案
          技术支持

          Cite p27Kip1 (Mitotic Inhibitor/Suppressor Protein) Recombinant Rabbit Monoclonal Antibody (KIP1/9168R)

          • 抗体检测数据 (1)
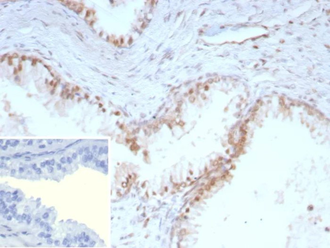
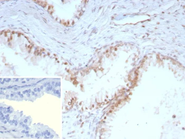
          p27Kip1 (Mitotic Inhibitor/Suppressor Protein) Antibody in Immunohistochemistry (Paraffin) (IHC (P))
          Group 53 Created with Sketch.
          p27Kip1 (Mitotic Inhibitor/Suppressor Protein) Antibody in Immunohistochemistry (Paraffin) (IHC (P))
          Group 53 Created with Sketch.

          图: 1 / 1

          {{ $ctrl.currentElement.advancedVerification.fullName }}
          {{ $ctrl.currentElement.advancedVerification.text }}

          p27Kip1 (Mitotic Inhibitor/Suppressor Protein) Antibody (1027-RBM9-P1) in IHC (P)

          IHC analysis of formalin-fixed, paraffin-embedded human prostate. Strong nuclear staining using KIP1/9168R at 2 µg/mL in PBS for 30 min RT. HIER: Tris/EDTA, pH9.0, 45 min. 2°C: HRP-polymer, 30 min. DAB, 5 min. {{ $ctrl.currentElement.advancedVerification.fullName }} 验证信息 View more
          已发表图片由___提供 benchsci-logo
          PMID: {{$ctrl.currentElement.benchSciPubmedId}}
          查看产品

          {{$ctrl.videoDesc}}

          {{$ctrl.videoLongDesc}}

          p27Kip1 (Mitotic Inhibitor/Suppressor Protein) Antibody in Immunohistochemistry (Paraffin) (IHC (P))
          p27Kip1 (Mitotic Inhibitor/Suppressor Protein) Recombinant Rabbit Monoclonal Antibody (KIP1/9168R)

          产品信息

          1027-RBM9-P1

          应用
          建议稀释比
          已发表文章

          免疫组化(石蜡) (IHC (P))

          1-2 µg/mL
          -
          产品规格

          种属反应

          Human

          宿主/亚型

          Rabbit / IgG, kappa

          Expression System

          CHO cells

          分类

          Recombinant Monoclonal

          类型

          Antibody

          克隆号

          KIP1/9168R

          抗原

          Recombinant full-length human CDKN1B protein
          查看免疫原

          偶联物

          Unconjugated Unconjugated Unconjugated

          形式

          Liquid

          浓度

          200 µg/mL

          纯化类型

          Protein A

          保存液

          PBS with 0.05% BSA

          内含物

          0.05% sodium azide

          保存条件

          4°C

          运输条件

          Ambient (domestic); Wet ice (international)

          产品详细信息

          Positive Control: Breast cervical or colon carcinoma. HeLa or MCF7 cells. Human tonsil

          Cellular Location: Nucleus.

          靶标信息

          p27 Kip1 functions as a negative regulator of G1 mouse expression and has been proposed to function as a possible mediator of TGFb induced G1 arrest. p27 Kip1 is an important regulator of cell cycle progression, a potent inhibitor of cyclin E- and cyclin A-CDK2 complexes. p27 Kip1 forms a complex with cyclin type D-CDK4 complexes and is involved in the assembly, stability, and modulation of CCND1-CDK4 complex activation. p27 Kip1 acts either as an inhibitor or an activator of cyclin type D-CDK4 complexes depending on its phosphorylation state and/or stoichometry. p27 Kip1 has a molecular weight of approximately 27kDa and the degradation of this protein, which is triggered by its CDK dependent phosphorylation and subsequent ubiquitination by SCF complexes, is required for the cellular transition from quiescence to the proliferative state.

          仅用于科研。不用于诊断过程。未经明确授权不得转售。

          篇参考文献 (0)

          您是否在文献中引用过该产品?请点击下方按钮邮件告知我们。
          引用该产品

          生物信息学

          蛋白别名: CDN1B; Cyclin-dependent kinase inhibitor 1B; cyclin-dependent kinase inhibitor 1B (p27, Kip1); Cyclin-dependent kinase inhibitor p27; Cyclin-dependent kinase inhibitor p27 Kip1; P27 CDKN1B; p27(KIP1); p27Kip1

          查看更多 收起

          基因别名: CDKN1B; CDKN4; KIP1; MEN1B; MEN4; p27; P27KIP1

          查看更多 收起

          UniProt ID: (Human) P46527

          查看更多 收起

          Entrez Gene ID: (Human) 1027

          查看更多 收起

          功能
          cyclin-dependent protein serine/threonine kinase inhibitor activity transforming growth factor beta receptor, cytoplasmic mediator activity protein binding cysteine-type endopeptidase activator activity involved in apoptotic process protein phosphatase binding Hsp70 protein binding protein complex binding chaperone binding kinase inhibitor
          参与通路
          regulation of cyclin-dependent protein serine/threonine kinase activity G1/S transition of mitotic cell cycle response to hypoxia potassium ion transport activation of cysteine-type endopeptidase activity involved in apoptotic process DNA damage response, signal transduction by p53 class mediator resulting in cell cycle arrest cell cycle arrest Notch signaling pathway sensory perception of sound positive regulation of cell proliferation negative regulation of cell proliferation response to glucose positive regulation of cell death negative regulation of cell growth positive regulation of microtubule polymerization response to estradiol negative regulation of kinase activity negative regulation of phosphorylation response to drug negative regulation of apoptotic process response to amino acid response to peptide hormone positive regulation of protein catabolic process negative regulation of cyclin-dependent protein serine/threonine kinase activity positive regulation of cyclin-dependent protein serine/threonine kinase activity positive regulation of cell cycle negative regulation of transcription, DNA-templated negative regulation of mitotic cell cycle response to cadmium ion autophagic cell death inner ear development negative regulation of cellular component movement negative regulation of epithelial cell proliferation involved in prostate gland development cellular response to antibiotic cellular response to lithium ion cellular response to organic cyclic compound mitotic cell cycle arrest negative regulation of vascular smooth muscle cell proliferation
          It has to be done as per old AB suggested Products section.
          guarantee_icon

          性能保障

          只要您发现Invitrogen抗体在实验中的表现与网站或说明书的所述内容不符,您即可享受免费退换货服务。*

          了解更多
          help_icon

          随时为您服务

          获取常见问题的专家解答,或者直接联系我们的技术专家,咨询应用、设备、常规产品使用问题。

          联系技术支持
          订购 Plus Icon Minus Icon
          • 订单状态查询
          • 订单支持
          • 货号直购
          • 现货供应中心
          • 电子采购
          支持 Plus Icon Minus Icon
          • 帮助&支持
          • 联系我们 - 400 820 8982
          • 技术支持中心
          • 查找文件&证书
          • 报告网站问题
          资源 Plus Icon Minus Icon
          • 学习中心
          • 促销
          • 活动&研讨会
          • 社交媒体
          关于赛默飞 Plus Icon Minus Icon
          • 关于我们
          • 招聘 招聘
          • 投资者关系 投资者关系
          • 新闻 新闻
          • 社会责任 社会责任
          • 商标
          • 政策和通知
          品牌 Plus Icon Minus Icon
          • Thermo Scientific
          • Applied Biosystems
          • Invitrogen
          • Gibco
          • Ion Torrent
          • Patheon
          • PPD
          • 服务条款
          • 隐私政策
          • 定价和运输保险政策
          © 2006-2026 Thermo Fisher Scientific Inc. All rights reserved. All trademarks are the property of Thermo Fisher Scientific and its subsidiaries unless otherwise specified.
          China flag icon
          China
          本网站销售的所有产品均不得用于人类或动物之临床诊断或治疗,仅可用于工业或者科研等非医疗目的。
             电子营业执照 | 经营证照公示 | ICP备案号:沪ICP备11003924号 | 沪公网安备 31011502006935号

          Your items have has been added!


          Host server : magellan-search-blue-55ff9ddd88-l2qgx:80/100.66.79.25:80.
          git-commit: d366ff9721d93504b2ac26a183b2b3e3d0e7d9ec
          git-url: https://github.com/thermofisher/magellan-search
          git-branch: release/2.42.0-2026.01.03-1.0