Hamburger Menu Button
Thermo Fisher Scientific Logo
登录
没有账号?建立账号 注册
  • 产品
    • 抗体
    • 引物合成
    • GeneArt Gene Synthesis Instant Designer
    • TaqMan Assay and Array Search
    • PCR 设备和耗材
    • 色谱柱和纯化柱
    • 实验室离心机
    • 分子生物学试剂和试剂盒
    • 实验室塑料耗材及用品
    • 查看所有产品分类
  • 应用和技术
    • 色谱
    • 细胞转染和培养
    • 实时荧光定量PCR
    • 质谱
    • 实验室塑料耗材及用品
    • 电子显微镜
    • 蛋白质生物学
    • PCR
    • RNAi
    • 环境
    • 查看所有应用和技术
  • 服务
    • 定制服务
    • 企业级实验室信息化服务
    • 金融&租赁服务
    • 仪器服务
    • OEM和商业供应
    • 培训服务
    • 360° CDMO 和 CRO 服务
    • CDMO 服务
    • 临床试验 CRO 服务
    • Unity Lab Services
    • 查看所有帮助和支持
  • 帮助和支持
    • 学习中心
    • 联系我们
    • 更改国家或地区
    • 查看所有帮助和支持
  • 热门产品
    • TaqMan Real-Time PCR Assays
      TaqMan 实时荧光定量 PCR 试剂盒
    • Antibodies
      抗体
    • Oligos, Primers & Probes
      寡核苷酸、引物、探针
    • GeneArt Gene Synthesis
      GeneArt 基因合成
    • Cell Culture Plastics
      细胞培养耗材
  • Who We Serve
    • 抗体治疗解决方案
    • 细胞与基因治疗解决方案
    • 学术科研
    • 工业与应用
  • 联系我们
  • 货号直购
  • 订单查询
  • 查找文件&证书
Thermo Fisher Scientific Logo

Search

搜索全部或下列指定分类
Search button
          • 联系我们
          • 货号直购
          • 登录
            登录
            没有账号?建立账号 注册
            • 我的账号
            • 订单
            • 会员中心
            • 账单及发票查询
            • 定制产品及项目
          • Primary Antibodies ›
          • p300 Antibodies

          Bethyl Laboratories

          p300 Polyclonal Antibody

          查看其他18个p300抗体

          {{$productOrderCtrl.translations['antibody.pdp.commerceCard.promotion.promotions']}}

          {{$productOrderCtrl.translations['antibody.pdp.commerceCard.promotion.viewpromo']}}

          {{$productOrderCtrl.translations['antibody.pdp.commerceCard.promotion.promocode']}}: {{promo.promoCode}} {{promo.promoTitle}} {{promo.promoDescription}}. {{$productOrderCtrl.translations['antibody.pdp.commerceCard.promotion.learnmore']}}

          说明书
          证书
          实验方案
          问题与答案
          技术支持
          说明书
          证书
          实验方案
          问题与答案
          技术支持
          说明书
          证书
          实验方案
          问题与答案
          技术支持

          Cite p300 Polyclonal Antibody

          Additional Information:
          {{banner.description}}
          {{$ctrl.isSkuNotesCollapsed ? 'View more' : 'View less'}}
          • 抗体检测数据 (3)
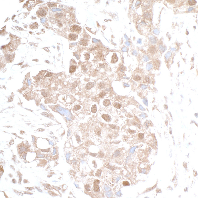
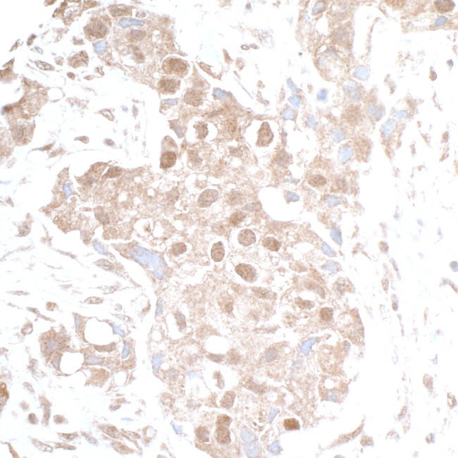
          p300 Antibody in Immunohistochemistry (Paraffin) (IHC (P))
          Group 53 Created with Sketch.
          p300 Antibody in Immunohistochemistry (Paraffin) (IHC (P))
          Group 53 Created with Sketch.

          图: 1 / 3

          {{ $ctrl.currentElement.advancedVerification.fullName }}
          {{ $ctrl.currentElement.advancedVerification.text }}

          p300 Antibody (A300-358A) in IHC (P)

          Detection of human p300 by immunohistochemistry. Sample: FFPE section of human lung carcinoma. Antibody: Affinity purified rabbit anti-p300 (Product # A300-358A) (Lot 5) used at 1:1,000 (1 µg/mL). Detection: DAB. {{ $ctrl.currentElement.advancedVerification.fullName }} 验证信息 View more
          已发表图片由___提供 benchsci-logo
          PMID: {{$ctrl.currentElement.benchSciPubmedId}}
          查看产品

          {{$ctrl.videoDesc}}

          {{$ctrl.videoLongDesc}}

          p300 Antibody in Immunohistochemistry (Paraffin) (IHC (P))
          p300 Antibody in Western Blot (WB)
          p300 Antibody in Immunoprecipitation (IP)
          p300 Polyclonal Antibody

          产品信息

          A300-358A

          应用
          建议稀释比
          已发表文章

          免疫印迹 (WB)

          1:10,000-1:25,000
          -

          免疫组化(石蜡) (IHC (P))

          1:1,000-1:5,000
          -

          免疫沉淀 (IP)

          2-10 µg/mg lysate
          -

          染色质免疫沉淀测序 (ChIP-Seq)

          10 µL/IP
          -
          产品规格

          种属反应

          Human

          宿主/亚型

          Rabbit / IgG

          分类

          Polyclonal

          类型

          Antibody

          抗原

          Region between residues 950 and 1000 of human E1A-associated protein p300.
          3D表位/免疫原

          偶联物

          Unconjugated Unconjugated Unconjugated

          形式

          Liquid

          浓度

          1 mg/mL

          规格

          100 µg

          纯化类型

          Antigen affinity chromatography

          保存液

          phosphate/tris citrate, pH 7-8

          内含物

          0.09% sodium azide

          保存条件

          4°C

          运输条件

          Ambient (domestic); Wet ice (international)

          产品详细信息

          The recommended shelf life for this product is 1 year from date of receipt.

          Application Note: For IHC, epitope retrieval with citrate buffer pH 6.0 is recommended for FFPE tissue sections.

          靶标信息

          EP300 encodes the adenovirus E1A-associated cellular p300 transcriptional co-activator protein. p300 is related by sequence to CPB (CREB-binding protein [CREB: cyclic-AMP responsive element binding protein]), and like CPB can stimulate transcription through activation of CREB. This EP300 activity is specifically inhibited by the adenovirus oncoprotein E1A. EP300 has also been identified as a co-activator of HIF1A (hypoxia-inducible factor 1 alpha), and thus plays a role in the stimulation of hypoxia-induced genes such as VEGF.

          仅用于科研。不用于诊断过程。未经明确授权不得转售。

          篇参考文献 (0)

          您是否在文献中引用过该产品?请点击下方按钮邮件告知我们。
          引用该产品

          生物信息学

          蛋白别名: E1A binding protein p300; E1A-associated protein p300; E1A-binding protein, 300kD; Histone acetyltransferase p300; Histone butyryltransferase p300; Histone crotonyltransferase p300; p300 HAT; Protein 2-hydroxyisobutyryltransferase p300; Protein isonicotinyltransferase p300; Protein lactyltransferas p300; Protein propionyltransferase p300

          查看更多 收起

          基因别名: EP300; KAT3B; MKHK2; P300; RSTS2

          查看更多 收起

          UniProt ID: (Human) Q09472

          查看更多 收起

          Entrez Gene ID: (Human) 2033

          查看更多 收起

          功能
          transcription cofactor binding transcription coactivator binding p53 binding DNA binding chromatin binding damaged DNA binding transcription cofactor activity transcription coactivator activity histone acetyltransferase activity lysine N-acetyltransferase activity, acting on acetyl phosphate as donor protein binding beta-catenin binding zinc ion binding H3 histone acetyltransferase activity H4 histone acetyltransferase activity acetyltransferase activity transferase activity transferase activity, transferring acyl groups ligand-dependent nuclear receptor binding chromatin DNA binding histone acetyltransferase activity (H3-K18 specific) histone H2B acetyltransferase activity histone acetyltransferase activity (H3-K27 specific) metal ion binding tau protein binding androgen receptor binding NF-kappaB binding RNA polymerase II sequence-specific DNA binding transcription factor binding peptide-lysine-N-acetyltransferase activity protein propionyltransferase activity pre-mRNA intronic binding STAT family protein binding peptide 2-hydroxyisobutyryltransferase activity peptide lactyltransferase (CoA-dependent) activity histone lactyltransferase (CoA-dependent) activity acetylation-dependent protein binding peptide crotonyltransferase activity peptide butyryltransferase activity histone crotonyltransferase activity histone butyryltransferase activity DNA-binding transcription factor binding histone reader activity histone H3K122 acetyltransferase activity
          参与通路
          autophagosome assembly negative regulation of transcription from RNA polymerase II promoter response to hypoxia somitogenesis thigmotaxis behavioral defense response stimulatory C-type lectin receptor signaling pathway gluconeogenesis glycolytic process regulation of glycolytic process chromatin remodeling regulation of transcription, DNA-templated regulation of transcription from RNA polymerase II promoter transcription from RNA polymerase II promoter protein acetylation internal protein amino acid acetylation apoptotic process I-kappaB kinase/NF-kappaB signaling JAK-STAT cascade nervous system development heart development skeletal muscle tissue development learning or memory circadian rhythm lipid biosynthetic process organ morphogenesis regulation of autophagy negative regulation of autophagy positive regulation of gene expression regulation of mitochondrion organization positive regulation of neuron projection development N-terminal peptidyl-lysine acetylation internal peptidyl-lysine acetylation B cell differentiation platelet formation lung development positive regulation of transforming growth factor beta receptor signaling pathway negative regulation of protein complex assembly protein destabilization cellular response to nutrient levels negative regulation of protein oligomerization cellular response to UV multicellular organism growth megakaryocyte development endodermal cell differentiation swimming TORC1 signaling TORC2 signaling positive regulation of protein import into nucleus intrinsic apoptotic signaling pathway in response to DNA damage by p53 class mediator protein kinase B signaling response to estrogen positive regulation by host of viral transcription fat cell differentiation negative regulation of gluconeogenesis positive regulation of gene expression, epigenetic positive regulation of transcription, DNA-templated positive regulation of transcription from RNA polymerase II promoter positive regulation of JAK-STAT cascade rhythmic process protein stabilization positive regulation of sequence-specific DNA binding transcription factor activity positive regulation of protein kinase B signaling canonical Wnt signaling pathway face morphogenesis regulation of androgen receptor signaling pathway peptidyl-lysine propionylation protein localization to chromatin cellular response to leucine tricarboxylic acid metabolic process T-helper 17 cell lineage commitment regulation of tubulin deacetylation peptidyl-lysine crotonylation peptidyl-lysine butyrylation regulation of cellular response to heat positive regulation of protein localization to nucleus regulation of signal transduction by p53 class mediator positive regulation of TORC1 signaling positive regulation of TORC2 signaling positive regulation of T-helper 17 cell lineage commitment
          It has to be done as per old AB suggested Products section.

          Disclaimer

          Close

          Clicking the images or links will redirect you to a website hosted by BenchSci that provides third-party scientific content. Neither the content nor the BenchSci technology and processes for selection have been evaluated by us; we are providing them as-is and without warranty of any kind, including for use or application of the Thermo Fisher Scientific products presented.

          guarantee_icon

          性能保障

          只要您发现Invitrogen抗体在实验中的表现与网站或说明书的所述内容不符,您即可享受免费退换货服务。*

          了解更多
          help_icon

          随时为您服务

          获取常见问题的专家解答,或者直接联系我们的技术专家,咨询应用、设备、常规产品使用问题。

          联系技术支持
          订购 Plus Icon Minus Icon
          • 订单状态查询
          • 订单支持
          • 货号直购
          • 现货供应中心
          • 电子采购
          支持 Plus Icon Minus Icon
          • 帮助&支持
          • 联系我们 - 400 820 8982
          • 技术支持中心
          • 查找文件&证书
          • 报告网站问题
          资源 Plus Icon Minus Icon
          • 学习中心
          • 促销
          • 活动&研讨会
          • 社交媒体
          关于赛默飞 Plus Icon Minus Icon
          • 关于我们
          • 招聘 招聘
          • 投资者关系 投资者关系
          • 新闻 新闻
          • 社会责任 社会责任
          • 商标
          • 政策和通知
          品牌 Plus Icon Minus Icon
          • Thermo Scientific
          • Applied Biosystems
          • Invitrogen
          • Gibco
          • Ion Torrent
          • Unity Lab Services
          • Patheon
          • PPD
          • 服务条款
          • 隐私政策
          • 定价和运输保险政策
          © 2006-2026 Thermo Fisher Scientific Inc. All rights reserved. All trademarks are the property of Thermo Fisher Scientific and its subsidiaries unless otherwise specified.
          China flag icon
          China
          本网站销售的所有产品均不得用于人类或动物之临床诊断或治疗,仅可用于工业或者科研等非医疗目的。
             电子营业执照 | 经营证照公示 | ICP备案号:沪ICP备11003924号 | 沪公网安备 31011502006935号

          Your items have has been added!


          Host server : magellan-search-green-6479c7f679-zb4k5:80/100.66.74.142:80.
          git-commit: b70c0dceb888abc3b0dcebb5bc3a5b8753e7e816
          git-url: https://github.com/thermofisher/magellan-search
          git-branch: release/2.50.0-Offline