Hamburger Menu Button
Thermo Fisher Scientific Logo
登录
没有账号?建立账号 注册
  • 产品
    • 抗体
    • 引物合成
    • GeneArt Gene Synthesis Instant Designer
    • TaqMan Assay and Array Search
    • PCR 设备和耗材
    • 色谱柱和纯化柱
    • 实验室离心机
    • 分子生物学试剂和试剂盒
    • 实验室塑料耗材及用品
    • 查看所有产品分类
  • 应用和技术
    • 色谱
    • 细胞转染和培养
    • 实时荧光定量PCR
    • 质谱
    • 实验室塑料耗材及用品
    • 电子显微镜
    • 蛋白质生物学
    • PCR
    • RNAi
    • 环境
    • 查看所有应用和技术
  • 服务
    • 定制服务
    • 企业级实验室信息化服务
    • 企业服务
    • 金融&租赁服务
    • 仪器服务
    • OEM和商业供应
    • 培训服务
    • 360° CDMO 和 CRO 服务
    • CDMO 服务
    • 临床试验 CRO 服务
    • 查看所有帮助和支持
  • 帮助和支持
    • 学习中心
    • 联系我们
    • 更改国家或地区
    • 查看所有帮助和支持
  • 热门产品
    • TaqMan Real-Time PCR Assays
      TaqMan 实时荧光定量 PCR 试剂盒
    • Antibodies
      抗体
    • Oligos, Primers & Probes
      寡核苷酸、引物、探针
    • GeneArt Gene Synthesis
      GeneArt 基因合成
    • Cell Culture Plastics
      细胞培养耗材
  • 联系我们
  • 货号直购
  • 订单查询
  • 查找文件&证书
Thermo Fisher Scientific Logo

Search

搜索全部或下列指定分类
Search button
          • 联系我们
          • 货号直购
          • 登录
            登录
            没有账号?建立账号 注册
            • 我的账号
            • 订单
            • 账单及发票查询
            • 定制产品及项目

          Disclaimer

          Clicking the images or links will redirect you to a website hosted by BenchSci that provides third-party scientific content. Neither the content nor the BenchSci technology and processes for selection have been evaluated by us; we are providing them as-is and without warranty of any kind, including for use or application of the Thermo Fisher Scientific products presented.

          • Primary Antibodies ›
          • p38 MAPK Antibodies

          Proteintech

          p38 MAPK Monoclonal Antibody (1A1C2)

          44 篇参考文献
          查看其他24个p38 MAPK抗体

          {{$productOrderCtrl.translations['antibody.pdp.commerceCard.promotion.promotions']}}

          {{$productOrderCtrl.translations['antibody.pdp.commerceCard.promotion.viewpromo']}}

          {{$productOrderCtrl.translations['antibody.pdp.commerceCard.promotion.promocode']}}: {{promo.promoCode}} {{promo.promoTitle}} {{promo.promoDescription}}. {{$productOrderCtrl.translations['antibody.pdp.commerceCard.promotion.learnmore']}}

          说明书
          证书
          实验方案
          问题与答案
          技术支持
          说明书
          证书
          实验方案
          问题与答案
          技术支持
          说明书
          证书
          实验方案
          问题与答案
          技术支持

          Cite p38 MAPK Monoclonal Antibody (1A1C2)

          • 抗体检测数据 (10)
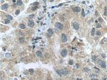
          p38 MAPK Antibody in Immunohistochemistry (Paraffin) (IHC (P))
          Group 53 Created with Sketch.
          p38 MAPK Antibody in Immunohistochemistry (Paraffin) (IHC (P))
          Group 53 Created with Sketch.

          图: 1 / 10

          {{ $ctrl.currentElement.advancedVerification.fullName }}
          {{ $ctrl.currentElement.advancedVerification.text }}

          p38 MAPK Antibody (66234-1-IG) in IHC (P)

          Immunohistochemistry of paraffin-embedded human lung cancer tissue slide using 66234-1-Ig (p38 MAPK Antibody) at dilution of 1:200 (under 40x lens). heat mediated antigen retrieved with Tris-EDTA buffer (pH 9). {{ $ctrl.currentElement.advancedVerification.fullName }} 验证信息 View more
          已发表图片由___提供 benchsci-logo
          PMID: {{$ctrl.currentElement.benchSciPubmedId}}
          查看产品

          {{$ctrl.videoDesc}}

          {{$ctrl.videoLongDesc}}

          p38 MAPK Antibody in Immunohistochemistry (Paraffin) (IHC (P))
          p38 MAPK Antibody in Immunohistochemistry (Paraffin) (IHC (P))
          p38 MAPK Antibody in Immunohistochemistry (Paraffin) (IHC (P))
          p38 MAPK Antibody in Immunohistochemistry (Paraffin) (IHC (P))
          p38 MAPK Antibody in Immunohistochemistry (Paraffin) (IHC (P))
          p38 MAPK Antibody in Immunohistochemistry (Paraffin) (IHC (P))
          p38 MAPK Antibody in Western Blot (WB)
          p38 MAPK Antibody in Western Blot (WB)
          p38 MAPK Antibody in Western Blot (WB)
          p38 MAPK Antibody in Western Blot (WB)
          p38 MAPK Monoclonal Antibody (1A1C2)

          产品信息

          66234-1-IG

          应用
          建议稀释比
          已发表文章

          免疫印迹 (WB)

          1:2,000-1:6,000
          查看41篇已发表文章 41篇已发表文章

          免疫组化 (IHC)

          -
          查看1篇已发表文章 1篇已发表文章

          免疫组化(石蜡) (IHC (P))

          1:250-1:1,000
          -

          其他PubMed (Misc)

          -
          查看1篇已发表文章 1篇已发表文章

          不适用 (N/A)

          -
          查看1篇已发表文章 1篇已发表文章
          产品规格

          种属反应

          Human, Pig

          已发表种属

          Mouse, Pig

          宿主/亚型

          Mouse / IgG2b

          分类

          Monoclonal

          类型

          Antibody

          克隆号

          1A1C2

          抗原

          p38 MAPK Fusion Protein Ag5797 (1-307 aa encoded by BC031574)
          查看免疫原

          偶联物

          Unconjugated Unconjugated Unconjugated

          形式

          Liquid

          浓度

          1.33 mg/mL

          纯化类型

          Protein A

          保存液

          PBS, pH 7.3, with 50% glycerol

          内含物

          0.02% sodium azide

          保存条件

          -20°C

          运输条件

          Wet ice (domestic); Dry ice (international)

          产品详细信息

          Immunogen sequence: MSQERPTFY RQELNKTIWE VPERYQNLSP VGSGAYGSVC AAFDTKTGLR VAVKKLSRPF QSIIHAKRTY RELRLLKHMK HENVIGLLDV FTPARSLEEF NDVYLVTHLM GADLNNIVKC QKLTDDHVQF LIYQILRGLK YIHSADIIHR DLKPSNLAVN EDCELKILDF GLARHTDDEM TGYVATRWYR APEIMLNWMH YNQTVDIWSV GCIMAELLTG RTLFPGTDHI DQLKLILRLV GTPGAELLKK ISSESARNYI QSLTQMPKMN FANVFIGANP LAVDLLEKML VLDSDKRITA AQALAHAY (1-307 aa encoded by BC031574)

          靶标信息

          The p38 MAPK cascade regulates a variety of cellular responses to stress, inflammation, and other signals. p38 MAPK is relatively inactive in the nonphosphorylated form and becomes rapidly activated by dual phosphorylation of a Thr-Gly-Tyr motifs. There are four isoforms of p38 MAPK, which differ in their tissue expression and affinity for upstream activators and downstream effectors. When cells are exposed to tumor necrosis factor, interleukin-1, heat shock, or other activating stimuli, activation of MAPK kinase-3 occurs by phosphorylation. Activated MAPK kinase-3/6 phosphorylate each residue of Thr180 and Tyr182 in p38 MAPK. Phospho-p38 MAPK activates ATF-2, CHOP-1, MEF-2 and other transcription factors through phosphorylation.

          仅用于科研。不用于诊断过程。未经明确授权不得转售。

          生物信息学

          蛋白别名: CSAID-binding protein; Csaids binding protein; cytokine suppressive anti-inflammatory drug binding protein; Cytokine suppressive anti-inflammatory drug-binding protein; MAP kinase 14; MAP kinase MXI2; MAP kinase p38 alpha; MAX-interacting protein 2; Mitogen-activated protein kinase 14; Mitogen-activated protein kinase p38 alpha; p38 MAP kinase; p38 mitogen activated protein kinase; p38alpha Exip; SAPK2a; Stress-activated protein kinase 2a

          查看更多 收起

          基因别名: CSBP; CSBP1; CSBP2; CSPB1; EXIP; MAPK14; MXI2; p38; p38ALPHA; PRKM14; PRKM15; RK; SAPK2A

          查看更多 收起

          UniProt ID: (Human) Q16539

          查看更多 收起

          Entrez Gene ID: (Human) 1432, (Pig) 100156630

          查看更多 收起

          功能
          protein serine/threonine kinase activity MAP kinase activity MAP kinase kinase activity protein binding ATP binding protein C-terminus binding enzyme binding protein phosphatase binding NFAT protein binding non-receptor serine/threonine protein kinase
          参与通路
          DNA damage checkpoint activation of MAPK activity cell morphogenesis cartilage condensation angiogenesis placenta development chondrocyte differentiation glucose metabolic process transcription, DNA-templated regulation of transcription from RNA polymerase II promoter apoptotic process movement of cell or subcellular component chemotaxis signal transduction cell surface receptor signaling pathway transmembrane receptor protein serine/threonine kinase signaling pathway Ras protein signal transduction skeletal muscle tissue development response to glucose positive regulation of gene expression positive regulation of myotube differentiation myoblast differentiation involved in skeletal muscle regeneration peptidyl-serine phosphorylation fatty acid oxidation osteoclast differentiation positive regulation of cyclase activity lipopolysaccharide-mediated signaling pathway response to muramyl dipeptide intracellular signal transduction cellular response to vascular endothelial growth factor stimulus response to muscle stretch p38MAPK cascade positive regulation of protein import into nucleus signal transduction in response to DNA damage positive regulation of blood vessel endothelial cell migration positive regulation of erythrocyte differentiation positive regulation of myoblast differentiation positive regulation of transcription from RNA polymerase II promoter positive regulation of glucose import protein autophosphorylation vascular endothelial growth factor receptor signaling pathway regulation of sequence-specific DNA binding transcription factor activity striated muscle cell differentiation positive regulation of muscle cell differentiation positive regulation of cardiac muscle cell proliferation 3'-UTR-mediated mRNA stabilization cellular response to lipopolysaccharide cellular response to ionizing radiation negative regulation of canonical Wnt signaling pathway positive regulation of brown fat cell differentiation stress-induced premature senescence cellular response to virus regulation of cytokine production involved in inflammatory response positive regulation of myoblast fusion regulation of signal transduction by p53 class mediator positive regulation of reactive oxygen species metabolic process positive regulation of interleukin-12 secretion
          It has to be done as per old AB suggested Products section.
          guarantee_icon

          性能保障

          只要您发现Invitrogen抗体在实验中的表现与网站或说明书的所述内容不符,您即可享受免费退换货服务。*

          了解更多
          help_icon

          随时为您服务

          获取常见问题的专家解答,或者直接联系我们的技术专家,咨询应用、设备、常规产品使用问题。

          联系技术支持
          订购 Plus Icon Minus Icon
          • 订单状态查询
          • 订单支持
          • 货号直购
          • 现货供应中心
          • 电子采购
          支持 Plus Icon Minus Icon
          • 帮助&支持
          • 联系我们 - 400 820 8982
          • 技术支持中心
          • 查找文件&证书
          • 报告网站问题
          资源 Plus Icon Minus Icon
          • 学习中心
          • 促销
          • 活动&研讨会
          • 社交媒体
          关于赛默飞 Plus Icon Minus Icon
          • 关于我们
          • 招聘 招聘
          • 投资者关系 投资者关系
          • 新闻 新闻
          • 社会责任 社会责任
          • 商标
          • 政策和通知
          品牌 Plus Icon Minus Icon
          • Thermo Scientific
          • Applied Biosystems
          • Invitrogen
          • Gibco
          • Ion Torrent
          • Patheon
          • PPD
          • 服务条款
          • 隐私政策
          • 定价和运输保险政策
          © 2006-2026 Thermo Fisher Scientific Inc. All rights reserved. All trademarks are the property of Thermo Fisher Scientific and its subsidiaries unless otherwise specified.
          China flag icon
          China
          本网站销售的所有产品均不得用于人类或动物之临床诊断或治疗,仅可用于工业或者科研等非医疗目的。
             电子营业执照 | 经营证照公示 | ICP备案号:沪ICP备11003924号 | 沪公网安备 31011502006935号

          Your items have has been added!


          Host server : magellan-search-blue-55ff9ddd88-lffdw:80/100.66.79.31:80.
          git-commit: d366ff9721d93504b2ac26a183b2b3e3d0e7d9ec
          git-url: https://github.com/thermofisher/magellan-search
          git-branch: release/2.42.0-2026.01.03-1.0