Hamburger Menu Button
Thermo Fisher Scientific Logo
登录
没有账号?建立账号 注册
  • 产品
    • 抗体
    • 引物合成
    • GeneArt Gene Synthesis Instant Designer
    • TaqMan Assay and Array Search
    • PCR 设备和耗材
    • 色谱柱和纯化柱
    • 实验室离心机
    • 分子生物学试剂和试剂盒
    • 实验室塑料耗材及用品
    • 查看所有产品分类
  • 应用和技术
    • 色谱
    • 细胞转染和培养
    • 实时荧光定量PCR
    • 质谱
    • 实验室塑料耗材及用品
    • 电子显微镜
    • 蛋白质生物学
    • PCR
    • RNAi
    • 环境
    • 查看所有应用和技术
  • 服务
    • 定制服务
    • 企业级实验室信息化服务
    • 企业服务
    • 金融&租赁服务
    • 仪器服务
    • OEM和商业供应
    • 培训服务
    • 360° CDMO 和 CRO 服务
    • CDMO 服务
    • 临床试验 CRO 服务
    • 查看所有帮助和支持
  • 帮助和支持
    • 学习中心
    • 联系我们
    • 更改国家或地区
    • 查看所有帮助和支持
  • 热门产品
    • TaqMan Real-Time PCR Assays
      TaqMan 实时荧光定量 PCR 试剂盒
    • Antibodies
      抗体
    • Oligos, Primers & Probes
      寡核苷酸、引物、探针
    • GeneArt Gene Synthesis
      GeneArt 基因合成
    • Cell Culture Plastics
      细胞培养耗材
  • 联系我们
  • 货号直购
  • 订单查询
  • 查找文件&证书
Thermo Fisher Scientific Logo

Search

搜索全部或下列指定分类
Search button
          • 联系我们
          • 货号直购
          • 登录
            登录
            没有账号?建立账号 注册
            • 我的账号
            • 订单
            • 账单及发票查询
            • 定制产品及项目

          Disclaimer

          Clicking the images or links will redirect you to a website hosted by BenchSci that provides third-party scientific content. Neither the content nor the BenchSci technology and processes for selection have been evaluated by us; we are providing them as-is and without warranty of any kind, including for use or application of the Thermo Fisher Scientific products presented.

          • Primary Antibodies ›
          • p53 Antibodies

          OriGene

          p53 Monoclonal Antibody (OTI2C4), TrueMAB™

          查看其他183个p53抗体

          {{$productOrderCtrl.translations['antibody.pdp.commerceCard.promotion.promotions']}}

          {{$productOrderCtrl.translations['antibody.pdp.commerceCard.promotion.viewpromo']}}

          {{$productOrderCtrl.translations['antibody.pdp.commerceCard.promotion.promocode']}}: {{promo.promoCode}} {{promo.promoTitle}} {{promo.promoDescription}}. {{$productOrderCtrl.translations['antibody.pdp.commerceCard.promotion.learnmore']}}

          说明书
          证书
          实验方案
          问题与答案
          技术支持
          说明书
          证书
          实验方案
          问题与答案
          技术支持
          说明书
          证书
          实验方案
          问题与答案
          技术支持

          Cite p53 Monoclonal Antibody (OTI2C4), TrueMAB™

          • 抗体检测数据 (8)
          p53 Antibody in Immunocytochemistry (ICC/IF)
          Group 53 Created with Sketch.
          p53 Antibody in Immunocytochemistry (ICC/IF)
          Group 53 Created with Sketch.

          图: 1 / 8

          {{ $ctrl.currentElement.advancedVerification.fullName }}
          {{ $ctrl.currentElement.advancedVerification.text }}

          p53 Antibody (CF502781) in ICC/IF

          Anti-TP53 mouse monoclonal antibody (TA502781) Immunofluorescent staining of COS7 cells transiently transfected by pCMV6-ENTRY TP53(RC200003). {{ $ctrl.currentElement.advancedVerification.fullName }} 验证信息 View more
          已发表图片由___提供 benchsci-logo
          PMID: {{$ctrl.currentElement.benchSciPubmedId}}
          查看产品

          {{$ctrl.videoDesc}}

          {{$ctrl.videoLongDesc}}

          p53 Antibody in Immunocytochemistry (ICC/IF)
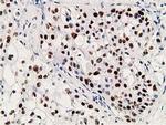
          p53 Antibody in Immunohistochemistry (Paraffin) (IHC (P))
          p53 Antibody in Immunohistochemistry (Paraffin) (IHC (P))
          p53 Antibody in Western Blot (WB)
          p53 Antibody in Western Blot (WB)
          p53 Antibody in Flow Cytometry (Flow)
          p53 Antibody in Flow Cytometry (Flow)
          p53 Antibody in Flow Cytometry (Flow)
          p53 Monoclonal Antibody (OTI2C4), TrueMAB™

          产品信息

          CF502781

          应用
          建议稀释比
          已发表文章

          免疫印迹 (WB)

          1:500-1:2,000
          -

          免疫组化(石蜡) (IHC (P))

          1:150
          -

          免疫细胞化学 (ICC/IF)

          1:100
          -

          流式细胞分析 (Flow)

          1:100
          -
          产品规格

          种属反应

          Human

          宿主/亚型

          Mouse / IgG1

          分类

          Monoclonal

          类型

          Antibody

          克隆号

          OTI2C4

          抗原

          Full length human recombinant protein of human TP53 produced in HEK293T cell.
          查看免疫原

          偶联物

          Unconjugated Unconjugated Unconjugated

          形式

          Lyophilized

          浓度

          1 mg/mL

          纯化类型

          Affinity chromatography

          保存液

          PBS, pH 7.3, with 8% trehalose

          内含物

          no preservative

          保存条件

          -20°C, Avoid Freeze/Thaw Cycles

          运输条件

          Ambient (domestic); Wet ice (international)

          产品详细信息

          For reconstitution, we recommend adding 100 µL distilled water to a final antibody concentration of about 1 mg/mL. To use this carrier-free antibody for conjugation experiments, we strongly recommend performing another round of desalting. (Zeba Spin Desalting Columns, 7KMWCO, 0.5 mL, Product # 89882)

          靶标信息

          The tumor suppressor protein, p53, is a sequence specific transcription factor that is activated by cellular stress. p53 mediates cell cycle arrest or apoptosis in response to DNA damage or starvation for pyrimidine nucleotides. p53 is up-regulated in response to stress signals and stimulated to activate transcription of specific genes, resulting in expression of p21waf1 and other proteins involved in G1 or G2/M arrest. The structure of p53 comprises an N-terminal transactivation domain, a central DNA-binding domain, an oligomerisation domain, and a C-terminal regulatory domain. There are various phosphorylation sites on p53, of which the phosphorylation at Ser15 is important for p53 activation and stabilization. p53 has been characterized to play a role in blocking the proliferative action of damaged cells and act as an anticancer agent. Phosphorylation of Ser392 in p53 has been shown to associate with the formation of human tumors. In addition, p53 has also been linked to the effects of aging and oxidative stress and an increase in p53 has been linked to deficits in LTP (Long Term Potentiation) in learning and memory. p53 is found in very low levels in normal cells, however, in a variety of transformed cell lines, it is expressed in high amounts, and believed to contribute to transformation and malignancy. Mutants of p53 that frequently occur in a number of different human cancers fail to bind the consensus DNA binding site, and cause the loss of tumor suppressor activity. Alterations of the TP53 gene occur not only as somatic mutations in human malignancies, but also as germline mutations in some cancer-prone families such as Li-Fraumeni syndrome.

          仅用于科研。不用于诊断过程。未经明确授权不得转售。

          篇参考文献 (0)

          您是否在文献中引用过该产品?请点击下方按钮邮件告知我们。
          引用该产品

          生物信息学

          蛋白别名: Antigen NY-CO-13; Cellular tumor antigen p53; Cys 51 Stop; FLJ92943; HGNC11998; mutant tumor protein 53; OTTMUSP00000006194; p53 tumor suppressor; Phosphoprotein p53; transformation-related protein 53; tumor protein 53; Tumor suppressor p53; tumor supressor p53; Tumour Protein p53

          查看更多 收起

          基因别名: BCC7; LFS1; P53; TP53; TRP53

          查看更多 收起

          UniProt ID: (Human) P04637

          查看更多 收起

          Entrez Gene ID: (Human) 7157

          查看更多 收起

          功能
          RNA polymerase II transcription factor activity, sequence-specific DNA binding core promoter sequence-specific DNA binding RNA polymerase II transcription factor binding transcriptional activator activity, RNA polymerase II transcription regulatory region sequence-specific binding protease binding p53 binding DNA binding chromatin binding damaged DNA binding double-stranded DNA binding transcription factor activity, sequence-specific DNA binding copper ion binding protein binding ATP binding transcription factor binding zinc ion binding enzyme binding protein kinase binding protein phosphatase binding receptor tyrosine kinase binding ubiquitin protein ligase binding histone acetyltransferase binding identical protein binding sequence-specific DNA binding protein self-association transcription regulatory region DNA binding protein heterodimerization activity protein N-terminus binding chaperone binding protein phosphatase 2A binding P53-like transcription factor
          参与通路
          negative regulation of transcription from RNA polymerase II promoter DNA strand renaturation base-excision repair nucleotide-excision repair regulation of transcription, DNA-templated transcription from RNA polymerase II promoter protein complex assembly cellular response to DNA damage stimulus DNA damage response, signal transduction by p53 class mediator resulting in cell cycle arrest DNA damage response, signal transduction by p53 class mediator resulting in transcription of p21 class mediator ER overload response cell cycle arrest Ras protein signal transduction multicellular organism development cell aging protein localization cell proliferation negative regulation of cell proliferation determination of adult lifespan response to X-ray response to gamma radiation positive regulation of gene expression viral process protein sumoylation cell differentiation negative regulation of cell growth DNA damage response, signal transduction by p53 class mediator positive regulation of histone deacetylation chromatin assembly mitotic G1 DNA damage checkpoint positive regulation of protein oligomerization cellular response to UV cellular response to drug cellular response to glucose starvation intrinsic apoptotic signaling pathway in response to DNA damage by p53 class mediator regulation of apoptotic process positive regulation of apoptotic process negative regulation of apoptotic process entrainment of circadian clock by photoperiod proteasome-mediated ubiquitin-dependent protein catabolic process positive regulation of neuron apoptotic process negative regulation of transcription, DNA-templated positive regulation of transcription, DNA-templated positive regulation of transcription from RNA polymerase II promoter response to antibiotic positive regulation of protein export from nucleus regulation of mitochondrial membrane permeability negative regulation of fibroblast proliferation circadian behavior positive regulation of peptidyl-tyrosine phosphorylation negative regulation of helicase activity protein tetramerization negative regulation of telomerase activity positive regulation of thymocyte apoptotic process positive regulation of cell cycle arrest cellular response to hypoxia cellular response to ionizing radiation intrinsic apoptotic signaling pathway by p53 class mediator positive regulation of release of cytochrome c from mitochondria replicative senescence oxidative stress-induced premature senescence intrinsic apoptotic signaling pathway oligodendrocyte apoptotic process positive regulation of execution phase of apoptosis positive regulation of protein insertion into mitochondrial membrane involved in apoptotic signaling pathway regulation of signal transduction by p53 class mediator regulation of cell cycle G2/M phase transition positive regulation of transcription from RNA polymerase II promoter in response to endoplasmic reticulum stress positive regulation of reactive oxygen species metabolic process positive regulation of intrinsic apoptotic signaling pathway
          It has to be done as per old AB suggested Products section.
          guarantee_icon

          性能保障

          只要您发现Invitrogen抗体在实验中的表现与网站或说明书的所述内容不符,您即可享受免费退换货服务。*

          了解更多
          help_icon

          随时为您服务

          获取常见问题的专家解答,或者直接联系我们的技术专家,咨询应用、设备、常规产品使用问题。

          联系技术支持
          订购 Plus Icon Minus Icon
          • 订单状态查询
          • 订单支持
          • 货号直购
          • 现货供应中心
          • 电子采购
          支持 Plus Icon Minus Icon
          • 帮助&支持
          • 联系我们 - 400 820 8982
          • 技术支持中心
          • 查找文件&证书
          • 报告网站问题
          资源 Plus Icon Minus Icon
          • 学习中心
          • 促销
          • 活动&研讨会
          • 社交媒体
          关于赛默飞 Plus Icon Minus Icon
          • 关于我们
          • 招聘 招聘
          • 投资者关系 投资者关系
          • 新闻 新闻
          • 社会责任 社会责任
          • 商标
          • 政策和通知
          品牌 Plus Icon Minus Icon
          • Thermo Scientific
          • Applied Biosystems
          • Invitrogen
          • Gibco
          • Ion Torrent
          • Patheon
          • PPD
          • 服务条款
          • 隐私政策
          • 定价和运输保险政策
          © 2006-2026 Thermo Fisher Scientific Inc. All rights reserved. All trademarks are the property of Thermo Fisher Scientific and its subsidiaries unless otherwise specified.
          China flag icon
          China
          本网站销售的所有产品均不得用于人类或动物之临床诊断或治疗,仅可用于工业或者科研等非医疗目的。
             电子营业执照 | 经营证照公示 | ICP备案号:沪ICP备11003924号 | 沪公网安备 31011502006935号

          Your items have has been added!


          Host server : magellan-search-blue-55ff9ddd88-qlhjl:80/100.66.79.31:80.
          git-commit: d366ff9721d93504b2ac26a183b2b3e3d0e7d9ec
          git-url: https://github.com/thermofisher/magellan-search
          git-branch: release/2.42.0-2026.01.03-1.0