Hamburger Menu Button
Thermo Fisher Scientific Logo
登录
没有账号?建立账号 注册
  • 产品
    • 抗体
    • 引物合成
    • GeneArt Gene Synthesis Instant Designer
    • TaqMan Assay and Array Search
    • PCR 设备和耗材
    • 色谱柱和纯化柱
    • 实验室离心机
    • 分子生物学试剂和试剂盒
    • 实验室塑料耗材及用品
    • 查看所有产品分类
  • 应用和技术
    • 色谱
    • 细胞转染和培养
    • 实时荧光定量PCR
    • 质谱
    • 实验室塑料耗材及用品
    • 电子显微镜
    • 蛋白质生物学
    • PCR
    • RNAi
    • 环境
    • 查看所有应用和技术
  • 服务
    • 定制服务
    • 企业级实验室信息化服务
    • 企业服务
    • 金融&租赁服务
    • 仪器服务
    • OEM和商业供应
    • 培训服务
    • 360° CDMO 和 CRO 服务
    • CDMO 服务
    • 临床试验 CRO 服务
    • 查看所有帮助和支持
  • 帮助和支持
    • 学习中心
    • 联系我们
    • 更改国家或地区
    • 查看所有帮助和支持
  • 热门产品
    • TaqMan Real-Time PCR Assays
      TaqMan 实时荧光定量 PCR 试剂盒
    • Antibodies
      抗体
    • Oligos, Primers & Probes
      寡核苷酸、引物、探针
    • GeneArt Gene Synthesis
      GeneArt 基因合成
    • Cell Culture Plastics
      细胞培养耗材
  • 联系我们
  • 货号直购
  • 订单查询
  • 查找文件&证书
Thermo Fisher Scientific Logo

Search

搜索全部或下列指定分类
Search button
          • 联系我们
          • 货号直购
          • 登录
            登录
            没有账号?建立账号 注册
            • 我的账号
            • 订单
            • 账单及发票查询
            • 定制产品及项目

          Disclaimer

          Clicking the images or links will redirect you to a website hosted by BenchSci that provides third-party scientific content. Neither the content nor the BenchSci technology and processes for selection have been evaluated by us; we are providing them as-is and without warranty of any kind, including for use or application of the Thermo Fisher Scientific products presented.

          • Primary Antibodies ›
          • Cytokeratin 1/2/4/5/6/7/8/71/72/75/78 Antibodies

          Bioss

          pan Cytokeratin Polyclonal Antibody

          {{$productOrderCtrl.translations['antibody.pdp.commerceCard.promotion.promotions']}}

          {{$productOrderCtrl.translations['antibody.pdp.commerceCard.promotion.viewpromo']}}

          {{$productOrderCtrl.translations['antibody.pdp.commerceCard.promotion.promocode']}}: {{promo.promoCode}} {{promo.promoTitle}} {{promo.promoDescription}}. {{$productOrderCtrl.translations['antibody.pdp.commerceCard.promotion.learnmore']}}

          说明书
          证书
          实验方案
          问题与答案
          技术支持
          说明书
          证书
          实验方案
          问题与答案
          技术支持
          说明书
          证书
          实验方案
          问题与答案
          技术支持

          Cite pan Cytokeratin Polyclonal Antibody

          • 抗体检测数据 (8)
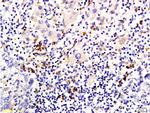
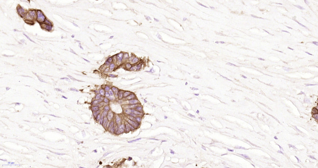
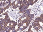
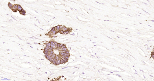
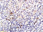
          pan Cytokeratin Antibody in Immunohistochemistry (Paraffin) (IHC (P))
          Group 53 Created with Sketch.
          pan Cytokeratin Antibody in Immunohistochemistry (Paraffin) (IHC (P))
          Group 53 Created with Sketch.

          图: 1 / 8

          {{ $ctrl.currentElement.advancedVerification.fullName }}
          {{ $ctrl.currentElement.advancedVerification.text }}

          pan Cytokeratin Antibody (BS-1712R) in IHC (P)

          Paraformaldehyde-fixed, paraffin embedded Human cervical cancer; Antigen retrieval by boiling in sodium citrate buffer (pH6.0) for 15min; Block endogenous peroxidase by 3% hydrogen peroxide for 20 minutes; Blocking buffer (normal goat serum) at 37°C for 30min; Antibody incubation with pan Cytokeratin Polyclonal Antibody, Unconjugated (bs-1712R) at 1:400 overnight at 4°C, DAB staining. {{ $ctrl.currentElement.advancedVerification.fullName }} 验证信息 View more
          已发表图片由___提供 benchsci-logo
          PMID: {{$ctrl.currentElement.benchSciPubmedId}}
          查看产品

          {{$ctrl.videoDesc}}

          {{$ctrl.videoLongDesc}}

          pan Cytokeratin Antibody in Immunohistochemistry (Paraffin) (IHC (P))
          pan Cytokeratin Antibody in Immunohistochemistry (Paraffin) (IHC (P))
          pan Cytokeratin Antibody in Immunohistochemistry (Paraffin) (IHC (P))
          pan Cytokeratin Antibody in Immunohistochemistry (Paraffin) (IHC (P))
          pan Cytokeratin Antibody in Immunohistochemistry (Paraffin) (IHC (P))
          pan Cytokeratin Antibody in Immunohistochemistry (Paraffin) (IHC (P))
          pan Cytokeratin Antibody in Immunohistochemistry (Paraffin) (IHC (P))
          pan Cytokeratin Antibody in Western Blot (WB)

          产品信息

          BS-1712R

          应用
          建议稀释比
          已发表文章

          免疫印迹 (WB)

          1:300
          -

          免疫组化(石蜡) (IHC (P))

          1:400
          -

          免疫组化(冰冻) (IHC (F))

          1:100-1:500
          -

          免疫细胞化学 (ICC/IF)

          1:100-1:500
          -

          流式细胞分析 (Flow)

          1:20-1:100
          -

          酶联免疫吸附实验 (ELISA)

          1:500-1:1,000
          -
          产品规格

          种属反应

          Human, Mouse, Pig, Rat

          宿主/亚型

          Rabbit / IgG

          分类

          Polyclonal

          类型

          Antibody

          抗原

          KLH conjugated synthetic peptide derived from human pan cytokeratin.

          偶联物

          Unconjugated Unconjugated Unconjugated

          形式

          Liquid

          浓度

          1 mg/mL

          纯化类型

          Protein A

          保存液

          0.01M TBS, pH 7.4, with 50% glycerol, 1% BSA

          内含物

          0.02% ProClin 300

          保存条件

          -20°C

          运输条件

          Ambient (domestic); Wet ice (international)

          靶标信息

          Cytokeratins are proteins of keratin-containing intermediate filaments found in the intracytoplasmic cytoskeleton of epithelial tissue. The cytokeratins are encoded by a family encompassing 30 genes. Among them, 20 are epithelial genes and the remaining 10 are specific for trichocytes. In the cytoplasm, the keratin filaments conform a complex network which extends from the surface of the nucleus to the cell membrane. Numerous accessory proteins are involved in the genesis and maintenance of such structure. This association between the plasma membrane and the nuclear surface provides important implications for the organization of the cytoplasm and cellular communication mechanisms. Apart from the relatively static functions provided in terms of supporting the nucleus and providing tensile strength to the cell, the cytokeratin networks undergo rapid phosphate exchanges mediated depolymerization, with important implications in the more dynamic cellular processes such as mitosis and post-mitotic period, cell movement and differentiation. Cytokeratins interact with desmosomes and hemidesmosomes, thus collaborating to cell-cell adhesion and basal cell-underlying connective tissue connection.

          仅用于科研。不用于诊断过程。未经明确授权不得转售。

          篇参考文献 (0)

          您是否在文献中引用过该产品?请点击下方按钮邮件告知我们。
          引用该产品

          生物信息学

          蛋白别名: 57kd keratin; 57kDa keratin; 58 kDa cytokeratin; 67 kDa cytokeratin; caracul; CK 2e; CK-1; CK-2e; CK-4; CK-5; CK-6G; CK-7; CK-71; CK-72; CK-75; CK-78; CK-8; cytokeratin 1; cytokeratin 4; cytokeratin 5; Cytokeratin 7; cytokeratin 8; Cytokeratin endo A; cytokeratin KRT2-6HF; cytokeratin type II; Cytokeratin-1; Cytokeratin-2e; Cytokeratin-4; Cytokeratin-5; Cytokeratin-6G; Cytokeratin-7; Cytokeratin-71; Cytokeratin-72; Cytokeratin-75; Cytokeratin-78; Cytokeratin-8; Cytoskeletal 57 kDa keratin; epidermolysis bullosa simplex 2 Dowling-Meara/Kobner/Weber-Cockayne types; epidermolytic hyperkeratosis 1; Epithelial keratin-2e; Hair alpha protein; hK6hf; hK6irs; hK6irs1; K1; K2e; K4; K5; K6-irs1 keratin; K6G; K7; K71; K72; K75; K78; K8; keratin 1, type II; keratin 2 (epidermal ichthyosis bullosa of Siemens); keratin 2 epidermis; keratin 2, type II; keratin 2A; keratin 4, type II; keratin 5 (epidermolysis bullosa simplex Dowling-Meara/Kobner/Weber-Cockayne types); keratin 5 (epidermolysis bullosa simplex, Dowling-Meara/Kobner/Weber-Cockayne types); keratin 5, type II; Keratin 6 irs; keratin 6, inner root sheath, 2; keratin 7, type II; keratin 71; keratin 71, type II; keratin 72, pseudogene; keratin 72, type II; keratin 75; keratin 75, type II; keratin 78, type II; keratin 8, type II; keratin 86; keratin complex 2, basic, gene 1; keratin complex 2, basic, gene 17; keratin complex 2, basic, gene 35; keratin complex 2, basic, gene 4; keratin complex 2, basic, gene 5; keratin complex 2, basic, gene 6g; keratin complex 2, basic, gene 7; keratin complex 2, basic, gene 8; keratin complex 2, gene 17; keratin complex 2, gene 6g; keratin Kb40; keratin protein K6irs; keratin, 55K type II cytoskeletal; keratin, simple epithelial type I, K7; Keratin, type II cytoskeletal 1; Keratin, type II cytoskeletal 2 epidermal; Keratin, type II cytoskeletal 4; Keratin, type II cytoskeletal 5; Keratin, type II cytoskeletal 7; Keratin, type II cytoskeletal 71; Keratin, type II cytoskeletal 72; Keratin, type II cytoskeletal 75; Keratin, type II cytoskeletal 78; Keratin, type II cytoskeletal 8; Keratin-1; Keratin-2 epidermis; Keratin-2e; Keratin-4; Keratin-5; Keratin-5b; Keratin-6 hair follicle; Keratin-6G; Keratin-7; Keratin-71; Keratin-72; Keratin-75; Keratin-78; Keratin-8; keratinocyte associated protein 1; krt1 {ECO:0000250|UniProtKB:P04264}; krt2; krt2 {ECO:0000250|UniProtKB:P35908}; krt4 {ECO:0000250|UniProtKB:P19013}; krt5; krt7; krt7 {ECO:0000250|UniProtKB:P08729}; mK6hf; mK6irs; mK6irs1/Krt2-6g; Sarcolectin; tuftelin interacting protein 8; Type II inner root sheath-specific keratin-K6irs1; Type II inner root sheath-specific keratin-K6irs2; type II keratin Kb1; type II keratin Kb18; type II keratin Kb2; type II keratin Kb35; type II keratin Kb4; type II keratin Kb40; type II keratin Kb7; type II keratin-18; Type II keratin-K6hf; type II mesothelial keratin K7; Type-II keratin Kb1; Type-II keratin Kb18; Type-II keratin Kb2; Type-II keratin Kb34; Type-II keratin Kb35; Type-II keratin Kb4; Type-II keratin Kb40; Type-II keratin Kb5; Type-II keratin Kb7; Type-II keratin Kb8; type-II keratin-35

          查看更多 收起

          基因别名: 2310030B04Rik; 3300001P10Rik; 4732468K03Rik; AA589387; AA589543; AA960620; AI507495; AL022697; AU019895; AW108092; AW146334; BB005427; Ca; Cal4; CARD2; CK-2e; CK-4; CK-78; CK-8; CK1; CK4; CK5; CK7; CK8; Cu; CYK4; CYK8; CYKER; D15Wsu77e; DDD; DDD1; EBS2; EHK; EHK1; EndoA; EPPK; HYPT13; K1; K2C7; K2C8; K2e; K4; K5; K5B; K6-IRS1; K6HF; K6irs; K6IRS1; K6IRS2; K7; K78; K8; Kb1; KB18; Kb2; KB34; KB35; Kb4; KB40; Kb7; KO; Krt-2.1; Krt-2.4; Krt-2.8; KRT1; KRT1A; KRT2; Krt2-1; Krt2-17; Krt2-2; Krt2-35; Krt2-4; Krt2-5; Krt2-6g; Krt2-6hf; Krt2-7; Krt2-8; KRT2A; KRT2E; KRT4; KRT5; KRT5A; KRT6; Krt6g; KRT6IRS; KRT6IRS1; KRT6IRS2; KRT7; KRT71; KRT72; Krt72-ps; KRT75; KRT78; KRT8; Krt86; KRTA; Krtcap1; KRTE; mK6irs; mK6irs1; NEPPK; PFB; Sak57; SCL; Tfip8; WSN1

          查看更多 收起

          UniProt ID: (Human) P86104, (Human) P35908, (Human) P19013, (Human) P13647, (Human) P08729, (Human) Q3SY84, (Human) Q14CN4, (Human) O95678, (Human) Q8N1N4, (Human) P05787, (Mouse) P04104, (Rat) Q6IMF3, (Rat) Q6IG02, (Mouse) Q3TTY5, (Mouse) P07744, (Rat) Q6IG00, (Rat) Q6P6Q2, (Mouse) Q922U2, (Mouse) Q9DCV7, (Rat) Q6IG12, (Mouse) Q9R0H5, (Mouse) Q6IME9, (Rat) Q6IG04, (Mouse) Q8BGZ7, (Rat) Q6IG05, (Rat) Q10758, (Mouse) P11679

          查看更多 收起

          Entrez Gene ID: (Human) 3848, (Pig) 100049664, (Human) 3849, (Pig) 100049665, (Human) 3851, (Pig) 100157675, (Pig) 100511564, (Human) 3852, (Human) 3855, (Human) 112802, (Human) 140807, (Human) 9119, (Pig) 110260666, (Human) 196374, (Pig) 100152077, (Human) 3856, (Mouse) 16678, (Rat) 300250, (Rat) 406228, (Mouse) 16681, (Mouse) 16682, (Rat) 315323, (Rat) 369017, (Mouse) 110308, (Mouse) 110310, (Rat) 300242, (Rat) 683613, (Mouse) 56735, (Mouse) 105866, (Rat) 406227, (Mouse) 109052, (Rat) 300247, (Rat) 315324, (Mouse) 332131, (Rat) 25626, (Mouse) 16691, (Pig) 100525745, (Pig) 733618

          查看更多 收起

          功能
          receptor activity structural molecule activity protein binding carbohydrate binding structural constituent of cytoskeleton scaffold protein binding molecular_function protein complex binding protein heterodimerization activity
          参与通路
          complement activation, lectin pathway retina homeostasis response to oxidative stress fibrinolysis regulation of angiogenesis negative regulation of inflammatory response establishment of skin barrier hematopoietic progenitor cell differentiation hair follicle morphogenesis intermediate filament organization cytoskeleton organization embryo development epithelial cell differentiation negative regulation of epithelial cell proliferation biological_process keratinization keratinocyte activation keratinocyte proliferation keratinocyte migration tumor necrosis factor-mediated signaling pathway sarcomere organization response to hydrostatic pressure response to other organism cell differentiation involved in embryonic placenta development extrinsic apoptotic signaling pathway hepatocyte apoptotic process viral process epidermis development cell morphogenesis involved in differentiation multicellular organism development hemidesmosome assembly
          It has to be done as per old AB suggested Products section.
          guarantee_icon

          性能保障

          只要您发现Invitrogen抗体在实验中的表现与网站或说明书的所述内容不符,您即可享受免费退换货服务。*

          了解更多
          help_icon

          随时为您服务

          获取常见问题的专家解答,或者直接联系我们的技术专家,咨询应用、设备、常规产品使用问题。

          联系技术支持
          订购 Plus Icon Minus Icon
          • 订单状态查询
          • 订单支持
          • 货号直购
          • 现货供应中心
          • 电子采购
          支持 Plus Icon Minus Icon
          • 帮助&支持
          • 联系我们 - 400 820 8982
          • 技术支持中心
          • 查找文件&证书
          • 报告网站问题
          资源 Plus Icon Minus Icon
          • 学习中心
          • 促销
          • 活动&研讨会
          • 社交媒体
          关于赛默飞 Plus Icon Minus Icon
          • 关于我们
          • 招聘 招聘
          • 投资者关系 投资者关系
          • 新闻 新闻
          • 社会责任 社会责任
          • 商标
          • 政策和通知
          品牌 Plus Icon Minus Icon
          • Thermo Scientific
          • Applied Biosystems
          • Invitrogen
          • Gibco
          • Ion Torrent
          • Patheon
          • PPD
          • 服务条款
          • 隐私政策
          • 定价和运输保险政策
          © 2006-2026 Thermo Fisher Scientific Inc. All rights reserved. All trademarks are the property of Thermo Fisher Scientific and its subsidiaries unless otherwise specified.
          China flag icon
          China
          本网站销售的所有产品均不得用于人类或动物之临床诊断或治疗,仅可用于工业或者科研等非医疗目的。
             电子营业执照 | 经营证照公示 | ICP备案号:沪ICP备11003924号 | 沪公网安备 31011502006935号

          Your items have has been added!


          Host server : magellan-search-blue-55ff9ddd88-4hx7v:80/100.66.77.245:80.
          git-commit: d366ff9721d93504b2ac26a183b2b3e3d0e7d9ec
          git-url: https://github.com/thermofisher/magellan-search
          git-branch: release/2.42.0-2026.01.03-1.0