Search
Search
Proteintech
{{$productOrderCtrl.translations['antibody.pdp.commerceCard.promotion.promotions']}}
{{$productOrderCtrl.translations['antibody.pdp.commerceCard.promotion.viewpromo']}}
{{$productOrderCtrl.translations['antibody.pdp.commerceCard.promotion.promocode']}}: {{promo.promoCode}} {{promo.promoTitle}} {{promo.promoDescription}}. {{$productOrderCtrl.translations['antibody.pdp.commerceCard.promotion.learnmore']}}
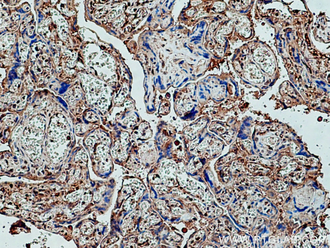
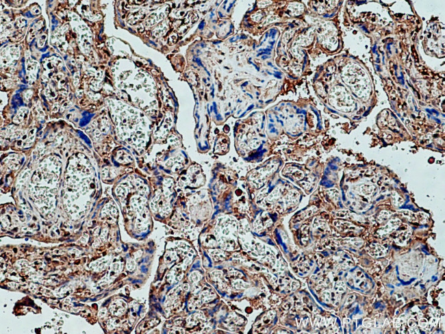
图: 1 / 9
Immunogen sequence: ITAHYTLNR QAMGELSELS FHYLIMAKGV IVRSGTHTLP VESGDMKGSF ALSFPVESDV APIARMFIFA ILPDGEVVGD SEKFEIENCL ANKVDLSFSP AQSPPASHAH LQVAAAPQSL CALRAVDQSV LLMKPEAELS VSSVYNLLTV KDLTNFPDNV DQQEEEQGHC PRPFFIHNGA IYVPLSSNEA DIYSFLKGMG LKVFTNSKIR KPKSCSVIPS VSAGAVGQGY YGAGLGVVER PYVPQLGTYN VIPLNNEQSS GPVPETVRSY FPETWIWELV AVNSSGVAEV GVTVPDTITE WKAGAFCLSE DAGLGISSTA SLRAFQPFFV ELTMPYSVIR GEVFTLKATV L (341-690 aa encoded by BC111756)
The protein encoded by this gene is highly expressed in late-pregnancy serum and is similar in structure to alpha-2-macroglobulin. The encoded protein, which acts as a homotetramer, inhibits the activity of all four classes of proteinases. This protein contains cleavage sites for several proteinases. Upon binding of a proteinase, the conformation of this protein changes to trap the proteinase, limiting its activity. This protein appears to be elevated in the sera of presymptomatic Alzheimer's disease patients.
仅用于科研。不用于诊断过程。未经明确授权不得转售。
蛋白别名: C3 and PZP-like alpha-2-macroglobulin domain-containing protein 6; Pregnancy zone protein; pregnancy-zone protein
基因别名: CPAMD6
Entrez Gene ID: (Human) 5858