Search
Search

NuPAGE Bis-Tris and Bolt Bis-Tris Plus Gels |
NuPAGE Bis-Tris Gels and Bolt Bis-Tris Plus Gels are high-performance precast polyacrylamide gels developed to allow optimal separation of a wide range of protein sizes under denaturing conditions. The neutral pH of the Bis-Tris chemistry helps minimize protein modifications and reduce protein degradation. As a result, NuPAGE and Bolt gels are a good choice for any application where protein integrity is crucial.
NuPAGE Bis-Tris and Bolt Bis-Tris Plus Gels offer:
| NuPAGE Bis-Tris | Bolt Bis-Tris Plus | |
|---|---|---|
| Select for | Higher sample throughput, increased sample volume capacity | Faster run times, increased sample volume capacity |
| Available gel sizes | Mini: 8 cm x 8 cm (1.0 or 1.5 mm thick) Midi: 8 cm x 13 cm (1.0 mm thick) | Mini: 8 cm x 8 cm (1.0 mm thick) |
| Available Wells configurations* | WedgeWell format Midi: 12+2, 20, 26 wells Mini: 1, 9, 10, 12, 15, 17, 2D-well, IPG wells Midi: 12+2, 20, 26 wells | WedgeWell format Mini: 10, 12, 15, 17 well |
| Storage conditions | 4–25°C | |
| Shelf life | up to 16 months** | 16 months |
| High lot-to-lot consistency | Coefficient of variation (CV) of only 2% for Rf values (migration) | Coefficient of variation (CV) of only 2% for Rf values (migration) |
| Recommended sample buffer | NuPAGE LDS Sample Buffer | Bolt LDS sample buffer |
| Recommended running buffers | NuPAGE MES SDS or NuPAGE MOPS SDS Running Buffer | Bolt MES SDS or Bolt MOPS SDS running buffer |
| Run time | 35 min (MES buffer) 50 min (MOPS Buffer) | 20 min (MES buffer) 35 min (MOPS buffer) |
| Recommended transfer buffer | NuPAGE Transfer Buffer | Bolt Transfer Buffer |
| Gel chemistry | Bis-Tris | Bis-Tris Plus |
| Available polyacrylamide concentrations | 8%, 10%, 12%, 4–12% | |
| Separation range | 15 kDA to 260 kDa (MOPS buffer) 3.5 kDA to 160 kDa (MES buffer) | |
| For use with (equipment) mini gels | Mini Gel Tank or XCell SureLock Mini-Cell and with the Bio-Rad Mini-PROTEAN Tetra Cell tank with Tetra Electrophoresis Cores | |
| For use with (equipment) midi gels | SureLock Tandem Midi Gel Tank, Invitrogen XCell4 SureLock Midi-Cell or Bio-Rad Criterion (with adapters only) | Not available in midi size |
| Mode of separation | Molecular weight | |
| Application | SDS-PAGE | |
*Not all percentages are available in every well type
**Shelf life varies depending on gel format
Tetra Electrophoresis Cores are compatible with the Bio-Rad Mini-Protean Tetra Cell tank and allow you to run up to 4 Invitrogen Mini gels at the same time.
NuPAGE Bis-Tris and Bolt Bis-Tris Plus Gels are formulated for denaturing gel electrophoresis applications. For optimal sample preparation, we recommend using buffers containing SDS. The gels can be run using MES SDS running buffer to better resolve smaller proteins (1–200 kDa) and MOPS SDS running buffer to resolve medium- to large-size proteins (14–260 kDa).
Unlike traditional Tris-glycine gels, NuPAGE Bis-Tris and Bolt Bis-Tris Plus Gels are Bis-Tris HCl buffered (pH 6.4) and have an operating pH of about 7.0. This neutral pH paired with a unique, gentle sample preparation protocol means your protein samples always reside in mild, nonacidic conditions, preserving the integrity of the proteins and minimizing protein modifications (see next section). This helps to ensure highly sensitive, accurate western blot results every time.
Figure 1. Greater sensitivity with Bolt Bis-Tris Plus gels. Total cell extracts from A431 cells were transferred to NC and PVDF membranes from a 4–12% Bolt Bis-Tris Plus gel, and 4–20% Tris-glycine precast gel using the iBlot 2 Gel Transfer Device. The cells were treated with 100 ng/mL of human epidermal growth factor (hEGF) to up-regulate expression of the phospho-EGF receptor. The protein loads of the cell extracts ranged from 20 μg to 1.2 μg of extract. The blots were processed on the iBind Western System using a 1:200 dilution of Phospho-EGF Receptor (Tyr1068) (1H12) Mouse mAb (Cell Signaling Technology) and a 1:2,000 dilution of anti-mouse HRP secondary antibody.
Sample preparation is a crucial step in successful protein analysis. The pH of the traditional Laemmli-style sample buffer changes from 6.8 to 5.2 when heated at 100°C. This lower pH is known to induce aspartyl-prolyl (Asp-Pro) peptide bond cleavage, which leads to protein degradation. By maintaining a >7.0 pH environment, the Invitrogen NuPAGE LDS Sample Buffer and Bolt LDS Sample Buffer preserve protein integrity by minimizing this Asp-Pro cleavage. As seen below, the sample integrity is maintained throughout electrophoresis with the Invitrogen NuPAGE system; protein degradation is seen in samples prepared with Laemmli (Tris-glycine) sample buffer. The Invitrogen NuPAGE Antioxidant running buffer additive greatly minimizes protein oxidation during electrophoresis and keeps reduced protein bands sharp and clear.
Figure 2. High sample integrity. Integrity of samples is maintained throughout electrophoresis with the NuPAGE Bis-Tris Gel System (left), compared to samples prepared with Laemmli (tris-glycine) sample buffer (right).
Neutral-pH buffers in NuPAGE Bis-Tris and Bolt Bis-Tris Plus Gels deliver sharp straight bands. During separation, the gels operate close to pH 7. In the Laemmli system (Tris-glycine), the gel is run at basic pH (pH ~9.5). At high pH the residual unpolymerized acrylamide can react with cysteine and lysine residues of the proteins being separated. This may affect downstream analysis such as western blot transfer. At the neutral pH of NuPAGE Bis-Tris and Bolt Bis-Tris Gels, these reactions take place several orders of magnitude more slowly than at the basic pH of Tris-glycine gels, resulting in sharper bands and better resolution.
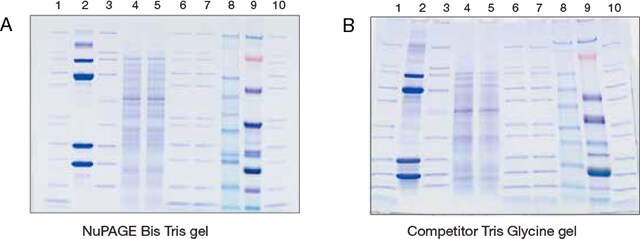
Figure 3. Protein separation comparing NuPAGE Bis-Tris Gel and traditional tris-glycine gel. The samples listed below were run on (A) a NuPAGE 4–12% Bis-Tris Gel in Invitrogen NuPAGE MES SDS Running Buffer or (B) another manufacturer’s 4–20% tris-glycine gel. Note the high resolution of the sample bands in the NuPAGE protein gel. The poorly resolved “fuzzy” bands seen in the other manufacturer’s gel are a result of reoxidation of some disulfide bonds within the sample, leading to slight changes in migration rates. Lanes 1, 6, 7, 10: Invitrogen Mark12 Unstained Standard; lane 2: high protein load (4 proteins, 6 µg/protein); lane 3: Broad Range Standard; lanes 4, 5: E. coli extract; lane 8: E-PAGE SeeBlue Pre-stained Standard; lane 9: Invitrogen MultiMark Multi-Colored Protein Standard.
NuPAGE and Bolt gels preserve protein integrity with neutral-pH gel chemistry. This formulation minimizes protein modifications during electrophoresis.
Figure 4. A western blot of a Bolt Bis-Tris Plus gel shows clean, sharp protein signals corresponding to only full-length proteins, whereas a western blot of a Bio-Rad TGX gel shows multiple low molecular weight degradation products. Protein kinases implicated in cancer (IKKϐ, EPHB3, HCK, MAPK14, FLT1 and DDR2) were analyzed on a Bolt Bis-Tris Plus Gel and a Bio-Rad TGX tris-glycine gel. The purified kinases (50 ng each), along with MagicMark protein standard and purified recombinant GST protein, were loaded on a 10-well, 4–12% Bolt gel and a 10-well, 4–20% Bio-Rad TGX gel. The samples were separated and transferred to 0.45-μm PVDF membranes using the respective manufacturers’ protocols. Immunodetection was performed using an anti-GST antibody and WesternBreeze chemiluminescence detection.
NuPAGE and Bolt Bis-Tris Plus Gels have better resolving power than Bio-Rad’s gels. With 10% greater resolving distance, optimized gel chemistry, and gradient format, you can see more protein bands resolved on a Bolt gel. In experimental analysis, you can see two separate bands for the insulin B chain and insulin A chain, which have similar molecular weights. The protein bands on the Bolt gel appear straight and the signal intensities are even across the entire bands, whereas Bio-Rad’s gel show fewer (Figure 5C), or poorly resolved (Figure 5B, lane 2, 7 and 8) protein bands.
Figure 5. Bolt Bis-Tris Gel band resolution—comparison of Bio-Rad's stained protein gels. (A) Bolt Bis-Tris gradient gel stained with Invitrogen SimplyBlue SafeStain. (B) Bio-Rad's tris-glycine gradient gel stained with competitor’s stain. (C) Enlargement of a section of lane 5 from the two gels shows the insulin B chain (3.5 kDa) and insulin A chain (2.5 kDa).
Publication-quality protein electrophoresis data is easily generated using the higher-throughput NuPAGE WedgeWell format Bis-Tris midi gels and the SureLock Tandem Midi Gel Tank. The gel produces crisp bands and straight protein lanes.
Figure 6. High sample volume capacity of Bolt Bis-Tris Plus gels. (A) Increasing volumes (40–70μL) of a fluorescent protein standard were loaded in every other lane of an Invitrogen Bolt 4–12% Bis-Tris Plus 10-well Gel. (B) Increasing volumes (10–40 μL) of the same protein standard were loaded in every other lane of Bio-Rad's 4–20% 10-well gel. Sample spillover and cross-well contamination is observed as signals from the sample loaded in the adjacent wells.
WedgeWell format wells are wedge-shaped wells that double the sample loading capacity of traditional wells. WedgeWell format Midi protein gels allow the separation of up to 26 protein samples in the same run, without compromising on sample loading volume. Here are the key benefits of WedgeWell Midi gels:
NuPAGE Bis-Tris Midi WedgeWellformat gels meet the performance, reliability, and consistency standards Invitrogen precast gels are known for.
| Well size | Recommended loading volume (µL) | Maximum loading volume (µL) |
|---|---|---|
| WedgeWell format midi gels | ||
| 12 + 2 (large well) | 90 | 100 |
| 12 + 2 (small well) | 30 | 35 |
| 20 | 50 | 60 |
| 26 | 30 | 40 |
| WedgeWell format mini gels | ||
| 10 | 40 | 60 |
| 12 | 30 | 45 |
| 15 | 20 | 35 |
| 17 | 15 | 30 |
| Midi gels | ||
| 12 + 2 (large well) | 45 | 60 |
| 12 + 2 (small well) | 15 | 20 |
| 20 | 25 | 30 |
| 26 | 15 | 20 |
| Mini gels* | ||
| 9 | 17 | 28 |
| 10 | 15 | 25 |
| 12 | 12 | 20 |
| 15 | 9 | 15 |
| 17 | 9 | 15 |
NuPAGE Bis-Tris Midi WedgeWell format gels offer the same exceptional protein separation of conventional NuPAGE Bis-Tris Midi gels.
Figure 7. Straight, well-resolved bands for both WedgeWell and standard midi gels. Both gels were loaded as follows: Lanes 1, 20: 5 µL PageRuler Broad Range Unstained Protein Ladder (Cat. No. 26630); lanes 2–7: 10 µg, 8 µg, 6 µg, 4 µg, 2 µg, 1 µg HeLa lysate, respectively; lanes 8, 13: 5 µL Novex Mark12 Unstained Standard (Cat. No. LC5677); lanes 9–12: 240 ng, 180 ng, 120 ng, 60 ng of protein mix containing β-galactosidase, lactate dehydrogenase, and lysozyme; lanes 14–19: 10 µg, 8 µg, 6 µg, 4 µg, 2 µg, 1 µg E. coli lysate, respectively. Electrophoresis was conducted with NuPAGE MOPS running buffer. Gels were stained with SimplyBlue Safe Stain
NuPAGE Bis-Tris Midi WedgeWell format gels offer increased sample loading capacity without compromising on the performance of the separation even for high protein loads, as shown in Figure 7.
Figure 8. Exceptional protein load capacity of NuPAGE Bis-Tris WedgeWell midi gels. Decreasing total amount (60–0.5 µg) of HEK293 cell lysate were denatured in NUPAGE SDS Sample Buffer, loaded in a NuPAGE Bis-Tris Wedgewell 4–12% 12+2 Well Midi Gel and run in the SureLock Tandem Midi Gel Tank. Equal amounts of HEK293 cell lysate were denatured in XT sample buffer, loaded in a Bio-Rad 4–12% XT12+2 well midi gel and run in the Criterion Cell Midi Gel Tank.
The increased loading capacity allows for better detection of low abundance proteins and limits the need for time consuming sample enrichment or sample concentration steps (Figure 9).
Figure 9. Improved detection of low abundance proteins and dilute samples. Serial dilutions of a HEK293 cell lysate starting at 250 ng/µL were loaded in traditional and WedgeWell format NuPAGE Bis-Tris Midi Protein Gels. After transfer and blot processing, fluorescent detection was performed with the iBright FL1500.
The protein load capacities of Invitrogen NuPAGE Bis-Tris precast midi gels run in the SureLock Tandem Mid Gel Tank were compared against Bio-Rad Criterion midi gels run in a Bio-Rad Criterion Cell Midi Cell Tank using manufacturer instructions. Decreasing amounts of HEK 293 cell lysate prepared in RIPA lysis buffer (48–0.5 µg total protein) were denatured in the respective manufacturer’s sample buffer and subjected to electrophoresis using manufacturer instructions. The table below lists the samples, protein mass, and %RIPA buffer loaded in each lane.
| Lane | +1 | 1 | 2 | 3 | 4 | 5 | 6 | 7 | 8 | 9 | 10 | 11 | 12 | +1 |
|---|---|---|---|---|---|---|---|---|---|---|---|---|---|---|
| Sample | Sample buffer | iBright Protein Ladder | HEK293 lysate | iBright Protein Ladder | Sample buffer | |||||||||
| Load mass (µg) | - | - | 48 | 40 | 32 | 24 | 16 | 8 | 4 | 2 | 1 | 0.5 | - | - |
| Load vol. (µL) | 3 | 3 | 20 | 20 | 20 | 20 | 20 | 20 | 20 | 20 | 20 | 20 | 3 | 3 |
| % RIPA buffer | - | - | 40 | 33.3 | 26.7 | 20 | 13.3 | 6.7 | 3.3 | 1.7 | 0.8 | 0.4 | - | - |
Invitrogen NuPAGE Bis-Tris gels outperformed Bio-Rad gels at higher lysate loads with blots from Bio-Rad gels showing band loss and smearing at higher loads for all targets investigated.
Figure 10. Western blots using NuPAGE 4-12% Bis-Tris midi gels generate sharper bands at greater protein and RIPA lysis buffer loads than Bio-Rad 4–20% TGX midi gels. A NuPAGE 4–12% Bis-Tris midi gel, 12+2 well, was loaded with decreasing total protein amount of HEK293 lysate, subjected to electrophoresis in a SureLock Tandem Midi Gel Tank and transferred onto a 0.45 µm PVDF membrane using the SureLock Tandem Blot Module and the Bio-Rad 4–20% TGX midi gel, 12+2 well, was subjected to electrophoresis in a Criterion Midi Cell Tank and transferred onto a 0.45 µm PVDF membrane using the Criterion Blotter. Both membranes were probed for three targets (vinculin, α-tubulin, and p23) using fluorescent immunodetection. Band loss and smearing can be seen at the higher loads for all targets on the Bio-Rad blot, while the blot for the NuPAGE Bis-Tris gel offers superior protein loading capacity above 24 µg and crisp, bright bands.
For immunodetection: membranes were blocked for 1 hour in 1X Blocker FL Fluorescent Blocking Buffer. For fluorescence: multiplex detection, the membranes were probed overnight with a mixture of primary antibodies diluted in blocking solution: Rabbit-anti Vinculin (1:15,000), Rat anti-α Tubulin (1:5,000)), and Mouse-anti p23 (1:5,000) followed by an incubation with secondary antibodies diluted at 1:5,000 in 1X Blocker FL: Donkey anti-Rabbit Alexa Fluor Plus 680, Donkey anti-Rat Alexa Fluor 488, and Donkey anti-Mouse Alexa Fluor Plus 800 for 1 hour. Membranes were imaged on an iBright Imaging System, with the same time and image adjustment settings for each blot.
Find an excellent mini or midi gel for your protein electrophoresis experiment.
Find an exceptional Invitrogen mini or midi gel to replace your current precast gel from another supplier.
Download the Protein Gel Guide for a printable gel migration chart.
For Research Use Only. Not for use in diagnostic procedures.




