Search
Search
6.1 简介
6.2 遗传稳定性评估
6.3 自我更新和标志物表达检测
6.4 分化潜能评估
6.5 参考文献
随着最近技术进步,现可通过不同的重编程方法从各种体细胞类型诱导获得 iPSC,并可以用不同的培养基和基质进行干细胞培养。由于在不同条件下可以诱导和培养多种 PSC 细胞系,因此需要可靠的干细胞鉴定方法来确认 PSC 的质量。
目前 PSC 鉴定操作包括一组检测,主要测试功能多能性和检测可能影响细胞功能性和安全性的异常。
要为您的研究找到合适的监测和检测工具,请访问 thermofisher.com/characterization
图 6.1.PSC 鉴定操作。进行鉴定以检查新获得的 PSC 细胞系的多能性。
在获取 iPSC 和 ESC 过程中,进行鉴定以确认真正获得了具有多能的细胞系(图 6.1)。在日常维护期间和在进行了如基因编辑等重要操作之后,鉴定的目的在于确保 PSC 的基本属性没有改变。在本节中,我们在重编程和诱导新 iPSC 细胞系的背景下描述基本和常用的 PSC 鉴定操作。请注意,新的 iPSC 细胞系需要进行核型分析,除了上述鉴定外,还经常创建细胞库。为实现所有这些过程,必须扩大培养以产生足够多的细胞。图 6.2 是扩大培养方案和细胞分配的一则实例。
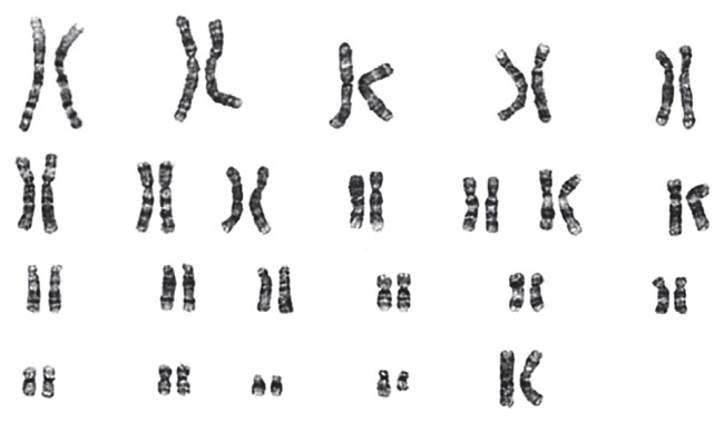
遗传不稳定是细胞长期培养过程中的一个常见问题。因此,在重编程或长期维持 PSC 时,验证无主要染色体畸变是一个关键的质量控制步骤。最常见的做法是使用 G 带进行核型分析(图 6.3),揭示非整倍性和大的染色体异常。通常该项分析需要20 个细胞。小于 10% 的非克隆畸变或人为误差是可以接受的。
改变行为的遗传畸变并不限于能被 G 带检测到的大的染色体异常。为了检测较小的遗传异常,有必要使用分辨率更高的方法,如微阵列比较基因组杂交(阵列 CGH)和基因组测序。
图 6.3.对一个雄性来源 PSC 细胞系的 20 个细胞中的 46 条正常染色体进行核型分析的 G 带结果。分析通过细胞系遗传学进行。
应用生物系统有限公司 KaryoStat 和 KaryoStat HD 检测 是基于阵列的 G 带替代方案,可提供全基因组覆盖,以精确检测染色体异常(图 6.4)。免费软件可实现简单的分析,无需专门的细胞遗传学专业知识。此外,相同的检测也能给出基因分型(样品 ID)结果。
有关更多信息,请访 问 thermofisher.com/karyostat
图 6.4.使用 KaryoStat 和 KaryoStat HD 检测 进行分析。该试验检测 BG01V 中 12 号、17 号和 X 染色体的三体性,而 BG01V 是具有异常核型的人胚胎干细胞系。此外,两个试验都检测到 2 号染色体上的缺失,然而这种缺失未被 G 带检测到。KaryoStat HD 检测 还显示 2 号、6 号和 8 号染色体上有三个额外的缺失。
可以通过仔细观察细胞形态来识别未分化的 PSC 及已分化衍生物。例如,细长的成纤维细胞经过重编程方案后转化为更紧密的 PSC,其具有高核质比,且当在饲养层上生长时会形成边缘清晰的三维集落。
理想情况下,每个被选出用于进一步培养和分析的集落应该只包含完全重编程的,即真正的多能细胞。然而实际上,长出的集落既包含完全重编程的细胞又包含部分重编程的细胞,即便是训练有素的眼睛也难以分辨。PSC 标志物的可视化增加了获得完全重编程 iPSC 细胞系的可能性。这些 PSC 标志物可以通过以下方法被识别:PSC 特异性酶活性检测,针对 PSC 表面标志物的活细胞免疫荧光,或使用细胞内 PSC 标志物的固定细胞免疫细胞化学技术。
碱性磷酸盐 (AP) 是一种在 PSC 中上调表达的酶。可以使用 Invitrogen 碱性磷酸酶活细胞染色剂检测 AP 表达,其中包含一种遇到有活性AP会选择性发荧光的底物 [1]。这种用于 AP 鉴别染色的方法既快速又可逆,并且有助于保持细胞的活力。因此,AP 活细胞染色剂可在重编程过程中用于区分干细胞与饲养细胞或亲代细胞(图 6.5)。
图 6.5.在活的 PSC 中检测 AP。使用 AP 活细胞染色剂(绿色)分析无饲养层的 PSC,使用 PSC 标志物 SSEA4(红色)的抗体进行复染。
使用针对成熟标志物的抗体可以实现更特异的细胞染色。阳性 PSC 标志物 SSEA4、TRA-1-60、TRA-1-81 和阴性标志物 CD44 和 SSEA1 等表面蛋白尤其适用于在保持细胞培养的同时快速染色2,3。在现有阳性 PSC 标志物中,TRA-1-60 是最严格的,因为它只在重编程的后期才出现上调4。另一方面,CD44 存在于许多分化细胞类型中,但在 PSC 中不存在。CD44 存在于成纤维细胞和部分重编程的细胞(而非 PSC)中,这增加了在重编程过程中挑选用于扩增的集落的可信性,特别是当它与阳性 PSC 标志物组合使用时3(图 6.4)。
TRA-1-60 和 CD44 都可以通过活细胞成像试剂盒进行检测,该试剂盒可最大限度地提高信噪比,并且使用可用于活细胞的分子探针 Alexa Fluor 染料偶联抗体和光学透明的 Gibco FluoroBrite DMEM 后可继续培养细胞(图 6.5 和 6.6)。两者都有三种不同的荧光基团可供选择,以适应常用的荧光滤光片,并适用于一下两种应用:
图 6.6.iPSC 的活细胞成像。 iPSC 集落在小鼠胚胎饲养层上培养,并使用 Alexa Fluor 染料偶联抗体对成纤维细胞标志物 CD44 和 PSC 标志物 TRA-1-60 进行染色。用 FluoroBrite DMEM 成像培养基替换染色培养基后进行成像。
图 6.8.活细胞成像试剂盒中的 FluoroBrite DMEM 与 PBS 具有类似的光学透明度,并能维持染色后的细胞生存。
虽然所描述的染色和成像方法是定性的,但流式细胞分析能定量检测表达了标志物的细胞数量及其表达水平,能反映标志物的任何下调或群体中的异质性。采用 SSEA4 和 TRA-1-60 等表面标志物进行流式细胞是最为常见的分析方法(图 6.9)。可用于此目的的抗体包括与 Invitrogen Alexa Fluor 647 染料结合的单克隆 SSEA4 抗体、与 Invitrogen Alexa Fluor 594 山羊抗小鼠 IgG(H+L)等二抗一起使用的未偶联单克隆 TRA-1-60 抗体。
图 6.9.无饲养层 PSC 培养物的流式细胞分析。同型对照(灰色)用于确定表达 TRA-1-60(绿色)和 SSEA4(品红色)的细胞的百分比。双重染色能对培养物中两种标志物双阳性的细胞数量进行定量。通常预期中,SSEA4+/TRA-1-60+ 细胞比例应大于95%。使用具有蓝/红激光的 Invitrogen Attune NxT 流式细胞仪进行分析。
为了增加对 iPSC 克隆质量的信心,建议不只确认一两种PSC 标志物,而应该针对多种 PSC 标志物的表达进行确认。常见的人 PSC 特异性表面标志物包括 SSEA4 和 TRA-1-60 等以及转录因子 Oct4 和 Sox2,它们在维持多能性中起关键作用2(图 6.10) 。由于这些是细胞内蛋白质,对这些标志物的染色需要固定和透化,这就需要终止培养,应同时备份完全相同的培养物继续保持培养。
Invitrogen PSC 免疫细胞化学试剂盒可对最多四种 hPSC 关键标志物进行基于图像的最佳分析:Oct4、Sox2、SSEA4 和 TRA-1-60。这些免疫细胞化学试剂盒包括一整套一级和二级抗体、核 DNA 染色剂和预制缓冲液,用于优化固定 PSC 染色效果。试剂盒中包含的抗体已经被验证具有高性能和多重检测能力,允许同时对两种标志物进行评估的特异性。
图 6.10.固定 PSC 细胞内标志物分析。从 CD34+ 脐带血衍生获得的 iPSC 在无饲养层条件下,在用玻连蛋白包被的孔中使用 Essential 8 培养基进行培养。使用 PSC-4 标志物免疫细胞化学试剂盒对细胞多能性标志物 Sox2(绿色)和 TRA-1-60(红色)进行染色。
流式细胞分析和免疫染色虽然是广泛使用的方法,但只能评估有限数量的多能性相关标志物。相比之下,PluriTest 兼容 PrimeView 全基因表达谱检测可通过全转录组分析评估多能性。该技术利用 PrimeView 基因表达数据,并结合 PluriTest 分析工具(图 6.11),这是一种用于验证多能性的成熟方法,已成功分析了超过 16,000 份样品。该检测使用基于 Müller 等人的生物信息学分析方法5。
有关 PluriTest 分析的更多信息,请访问 thermofisher.com/primeview
分析 iPSC 并确认存在自我更新基因产物或不存在亲本体细胞基因产物对于验证新获得的 iPSC 细胞系的多能性是重要的,但欠缺充分。另一项关键的测试是确认三系分化潜力或 iPSC 分化成三个胚层细胞的能力:外胚层、中胚层和内胚层。这可以通过体内畸胎瘤形成实现,或者更常见的是通过形成 EB 来实现。
畸胎瘤形成包括将 PSC 注射到小鼠体内,并允许它们按特定实验方案在 6-30 周(取决于方案)内实现增殖并分化成三系细胞。另一方面,EB 形成包括需在无 bFGF 的条件下悬浮培养 PSC 聚集体。这些聚集体在 7-21 天内自发分化,通常在最初几天后转移到贴壁培养环境中。虽然 EB 的分化发生在非生理条件下,但EB 形成比畸胎瘤形成更有优势,不仅在于它花费的时间少得多,而且因为它不那么费力,并且 EB 更容易分析。
用于分析 EB 中分化的常用标志物包括中胚层的平滑肌肌动蛋白 (SMA),内胚层的 α-胎蛋白 (AFP) 和外胚层的 β-III 微管蛋白 (TUBB3/ TUJ1)(图 6.12) [6]。可以使用 Invitrogen 三胚层免疫细胞化学试剂盒检测这三种标志物,其包括一整套高效的一级和二级抗体、核 DNA 染色试剂和预制缓冲液以优化染色实验效果。
图 6.12.EB 的细胞分析。将H9 ESC 在 23 天内自发分化形成 EB,然后使用三胚层免疫细胞化学试剂盒染色三胚层免疫细胞化学试剂盒染色 β-III 微管蛋白(TUJ1,黄色)、平滑肌肌动蛋白(SMA,红色)和 α-胎蛋白(AFP,绿色),同时使用 DAPI 核复染剂(蓝色)染色。
免疫染色这类细胞分析方法是低通量的,仅限于被检测的标志物有可用抗体的情况。相反,分子水平分析能够一次定量分析多种标志物,从而作为细胞分析数据的补充。这种分子分析最好将未分化和已分化的细胞同时进行分析(图 6.13)。
应用生物系统公司 TaqMan hPSC Scorecard Panel 利用 RT-qPCR,通过比对 93 个基因表达分析组,提供更高通量的分析。其中包括 9 个自我更新基因、74 个胚层特异性基因、10 个管家基因,甚至可用于 CytoTune-iPS 仙台病毒重编程试剂盒重编程后确认 SeV 骨架清除的检测(图 6.14)。该检测利用了基于 Bock 等人的生物信息学分析研究成果[7]。
图 6.13.制备用于分子分析的未分化和已分化 PSC。进行分子分析时,最好同时检查 PSC 的纯度和质量,并通过流式细胞分析确认 EB 的分化。将培养扩大到约四个 6 cm 的培养皿,以产生足够的细胞用于分子分析和流式分析。
图 6.14.TaqMan hPSC Scorecard 分析 H9 ESC 的 EB 形成时间过程。TaqMan hPSC Scorecard 检测组合中的部分检测是比对 93 个基因进行的分析。颜色变化与基因相对于参考组的表达倍数相关。未分化状态的标志物在 EB 形成过程中下调,即蓝色区域所示。三个胚层的标志物在 EB 形成过程中上调,即红色区域所示。
分析软件通过将该基因表达谱与已鉴定的 ESC 和 iPSC 系参考集进行统计学比较来进行数据的解读。然后该软件评估自我更新基因和三系标志物的表达(图 6.15)。因此,这不仅可以分析未分化的 PSC,还可以分析诱导的 EB 来确定多能性 [8]。TaqMan hPSC Scorecard 检测不是仅通过免疫染色确认一些分化标志物,而是能提供更全面和更复杂的 EB 分析而进行多能性的确认。该检测是量化 PSC 分化潜能的更可靠且更一致的方法,并使 EB 形成检测成为畸胎瘤形成检测的一个有力的替代方法。
要了解有关 TaqMan hPSC Scorecard 检测和软件的更多信息,请访问thermofisher.com/scorecard
图 6.15.TaqMan hPSC Scorecard 检测结果。使用 TaqMan hPSC Scorecard 检测分析 H9 ESC 以及由 H9 ESC 衍生的 EB。自我更新和胚层标志物表达与参考标准的比较总结体现在箱线图和简单的通过/未通过评分中。
仅供科研使用,不可用于诊断目的。













