Search
Search
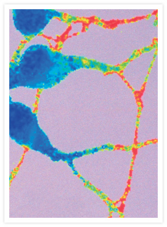
Frog olfactory bulb neurons labeled with fluo-3 (Cat. no. F1240, F3715) and Fura Red™ (Cat. no. F14219) Ca2+ indicators, demonstrating a Ca2+ response to treatment with KCl and nifedipine. (J Physiol 487, 305 (1995)) The image is a ratio of fluo-3 and Fura Red™ fluorescence images acquired with a Leica confocal laser-scanning microscope. The image was contributed by J. Bischofberger and D. Schild, Physiology Institute, University of Göttingen.

REF-52 fibroblasts. Cyclic AMP Fluorosensor (FlCRhR) and fura-2 AM Go ›
Pseudocolored images of changes in intracellular free Ca2+ in AtT-20/D16v-F2 cells, monitored at 9 sec intervals with fluo-4, AM (F14201, F14202, F14217, F23917). Go ›
Developing Drosophila embryo Go ›
Cytoskeleton of a mixed population of granule neurons and glial cells Go ›
CD335 (NKp46) Antibody (63335182) in RE Go ›
CD223 (LAG-3) Antibody (56223942) in TM Go ›