Search
Search
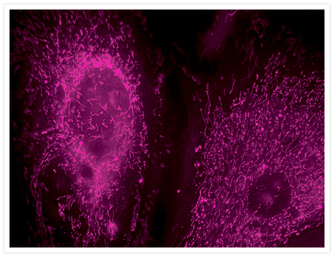
Mitochondria of live bovine pulmonary artery endothelial cells stained with the MitoTracker® Deep Red FM dye (Cat. no. M22426).

Live cells transduced with Organelle Lights™ or Cellular Lights™ reagents. Go ›
Bovine pulmonary artery endothelial cells (BPAEC). MitoTracker® Red CMXRos, SYTOX® Green nucleic acid stain, biotin-XX goat anti–mouse IgG antibody and Cascade Blue® NeutrAvidin biotin-binding protein. Go ›
Live cell imaging with CellLight™ reagents. Go ›
Live cells transduced with Organelle Lights™ or Cellular Lights™ reagents. Go ›