Search
Search
Laser capture microdissection (LCM) is an automated sample preparation technique that enables isolation of specific cells from a mixed population under microscopic visualization. This technique of isolating a pure sample from a heterogeneous mixture allows for more efficient and accurate results with downstream microgenomics applications such as next-generation sequencing, Sanger sequencing, PCR, and proteomics.
The isolation and characterization of specific cells from a heterogeneous cell population is important for the analysis of gene expression because the differences between various cell types present within normal tissues have significant effects on gene expression analysis. LCM allows one to obtain answers in a single cell that may otherwise have been missed in a whole tissue scrape that contains a heterogeneous mixture of healthy, stromal and cancer cells.
The LCM technique can be used to isolate just a few cells or even a single cell from tissue samples, blood, or even semen samples, depending on the application. The cells can be chosen on the basis of their morphology, immunohistochemical phenotype, or even their genotype, using in situ hybridization methods.
LCM is designed to be precise, contact-free and to help minimize contamination, to uncover answers that might otherwise be missed using a nontargeted sample due to the small size or homogenized nature of the sample. The images below show the isolation of a cell population using the LCM technique.
Compare laser capture microdissection and laser microdissection (LMD) methods
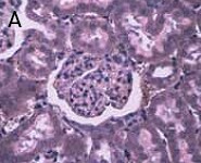
Figure 1A shows a whole tissue sample before laser capture microdissection.
Figure 1B shows the sample with the specific targeted piece removed.
Figure 1C shows the targeted piece isolated.
A combination of a gentle IR laser and a powerful UV laser for efficient isolation of cells without changing morphology or biological integrity.
Research-use reagents and kits for the complete LCM workflow—from identifying and selecting cells to isolating and purifying RNA and DNA.
A suite of slides and accessories to enable research on live cells using your Arcturus LCM System.
Laser capture microdissection is a powerful technique that enables oncology researchers to compare molecular profiles of tumor tissue to surrounding nontumor cells.
Laser capture microdissection enables gentle, selective isolation of specific cells from heterogeneous tissue, protecting biomolecular integrity and preserving profiles of complex samples for more accurate downstream results.
For Research Use Only. Not for use in diagnostic procedures.


