Hamburger Menu Button
Thermo Fisher Scientific Logo
Sign in
Don't have an account ? Create Account
  • Products
    • Antibodies
    • Custom DNA Oligos
    • GeneArt Gene Synthesis Instant Designer
    • TaqMan Assay and Array Search
    • PCR Equipment and Supplies
    • Chromatography Columns and Cartridges
    • Lab Centrifuges
    • Molecular Biology Reagents and Kits
    • Lab Plasticware and Supplies
    • See all product categories
  • Applications
    • Chromatography
    • Cell Culture
    • Real-Time PCR
    • Mass Spectrometry
    • Lab Plasticware and Supplies
    • Electron Microscopy
    • Protein Biology
    • PCR
    • RNAi
    • Environmental
    • See all applications and techniques
  • Services
    • Custom Services
    • Enterprise-Level Lab Informatics
    • Financial and Leasing Services
    • Instrument Services
    • OEM and Commercial Supply
    • Training Services
    • 360° CDMO and CRO Solutions
    • CDMO Services
    • CRO Services
    • Unity Lab Services
    • See all services
  • Help and Support
    • Learning Centers
    • Contact Us
    • Change Location
    • See all help and support topics
  • Popular
    • TaqMan Real-Time PCR Assays
      TaqMan Real-Time PCR Assays
    • Antibodies
      Antibodies
    • Oligos, Primers & Probes
      Oligos, Primers & Probes
    • GeneArt Gene Synthesis
      GeneArt Gene Synthesis
    • Cell Culture Plastics
      Cell Culture Plastics
  • Who We Serve
    • Antibody Therapy Solution
    • Cell and Gene Therapy Solution
    • Academic
    • Industrial and Applied Sciences
  • Contact Us
  • Quick Order
  • Order Status and Tracking
  • Documents and Certificates
Thermo Fisher Scientific Logo

Search

Search All
Search button
          • Contact Us
          • Quick Order
          • Sign in
            Sign in
            Don't have an account ? Create Account
            • Account
            • Check Order Status
            • AR Statement & Invoice Inquiry
            • Custom Products & Projects
            • Instrument Management
          • Primary Antibodies ›
          • by Target

          Cytokeratin 14 Antibodies

          Antibodies that detect Cytokeratin 14 can be used in several scientific applications, including Immunohistochemistry, Western Blot, Immunocytochemistry, Flow Cytometry and Peptide array. These antibodies target Cytokeratin 14 in Human, Mouse, Rat, Porcine and Canine samples. Our... Antibodies that detect Cytokeratin 14 can be used in several scientific applications, including Immunohistochemistry, Western Blot, Immunocytochemistry, Flow Cytometry and Peptide array. These antibodies target Cytokeratin 14 in Human, Mouse, Rat, Porcine and Canine samples. Our Cytokeratin 14 monoclonal, recombinant... Antibodies that detect Cytokeratin 14 can be used in several scientific applications, including Immunohistochemistry, Western Blot, Immunocytochemistry, Flow Cytometry and Peptide array. These antibodies target Cytokeratin 14 in Human, Mouse, Rat, Porcine and Canine samples. Our Cytokeratin 14 monoclonal, recombinant monoclonal and polyclonal antibodies are developed in Mouse and Rabbit. These antibodies have been verified by Relative expression and Cell treatment to confirm specificity to Cytokeratin 14. Find the Cytokeratin 14 antibody that fits your needs. Choose from 1 of 112 Cytokeratin 14 antibodies, which have been validated in experiments with 297 publications and 442 images featured in our data gallery.

          Browse primary...
          Antibodies that detect Cytokeratin 14 can be used in several scientific applications, including Immunohistochemistry, Western Blot, Immunocytochemistry, Flow Cytometry and Peptide array. These antibodies target Cytokeratin 14 in Human, Mouse, Rat, Porcine and Canine samples. Our Cytokeratin 14 monoclonal, recombinant monoclonal and polyclonal antibodies are developed in Mouse and Rabbit. These antibodies have been verified by Relative expression and Cell treatment to confirm specificity to Cytokeratin 14. Find the Cytokeratin 14 antibody that fits your needs. Choose from 1 of 112 Cytokeratin 14 antibodies, which have been validated in experiments with 297 publications and 442 images featured in our data gallery.

          Browse primary antibodies for WB, Flow, IHC, ICC/IF, ELISA, IP, and other applications. Antibodies with Advanced Verification data have been validated for specificity to ensure that the antibody binds to the antigen stated. If you cannot find the antibody you’re looking for, contact us today to develop custom antibodies for specific targets, species and applications.

          Target Information

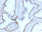
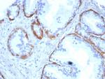
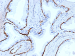
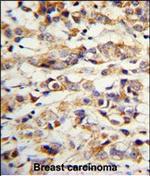
          Cytokeratins (CK) are intermediate filaments of epithelial cells, both in keratinizing tissue (ie. skin) and non-keratinizing cells (ie. mesothelial cells). At least 20 different CKs can be identified. Biochemically, most members of the CK family fall into one of two classes, type I (acidic polypeptides) and type II (basic polypeptides). Belonging to the type I subfamily of low molecular weight keratins and existing in combination with keratin 5, keratin 14 distinguishes stratified epithelial cells from simple epithelial cells and is useful in identification of squamous cell carcinomas. It is considered a prognostic marker in breast carcinomas. At least one member of the acidic family and one member of the basic family is expressed in all epithelial cells.

          Synonyms

          AI626930; CK14; CK-14; cytokeratin 14; cytokeratin-14; EBS3; EBS4; epidermolysis bullosa simplex, Dowling-Meara, Koebner; K14; Ka14; keratin 14; keratin 14 (epidermolysis bullosa simplex, Dowling-Meara, Koebner); keratin 14, type I; keratin complex 1, acidic, gene 14; keratin, type I cytoskeletal 14; keratin, type I cytoskeletal 17; keratin-14; Koebner; Krt-1.14; Krt1-14; KRT14; LOC100737113; NFJ; Type I keratin Ka14

          View more
          View less
          • Search by
          • Products
          • Images
          • Epitopes
          • Panel Builder Link Try our free panel design service
          • Wyoming Western Blot Tool Link Match your protein to the right gel
          • Wyoming Stain-iT Tool Link Try the Stain-iT cell staining simulator
          • Wyoming ELISA Tool Link Customize assays with the ELISA Builder
          Filters

          Disclaimer

          Close

          Clicking the images or links will redirect you to a website hosted by BenchSci that provides third-party scientific content. Neither the content nor the BenchSci technology and processes for selection have been evaluated by us; we are providing them as-is and without warranty of any kind, including for use or application of the Thermo Fisher Scientific products presented.

          Filters
          Filters
          Show Less
          +-2
          Clear All
          More
          Less
          67 results
          Target
          Details
          Application
          Price
          Compare
          67 results
          Invitrogen
          Cytokeratin 14 Monoclonal Antibody (LL002)
          Invitrogen
          Cytokeratin 14 Monoclonal Antibody (LL002)
          Advanced Verification
          39
          Target
          Human Mouse Rat
          Details
          Mouse Monoclonal
          Application
          WB IHC mIHC IHC (P) IHC (F) ICC/IF Flow Misc
          Price
          Special offer
          Online exclusive
          Online offer:
          Cat # MA5-11599

          500 µL

          Invitrogen
          Cytokeratin 14 Recombinant Rabbit Monoclonal Antibody (SC65-06)
          Invitrogen
          Cytokeratin 14 Recombinant Rabbit Monoclonal Antibody (SC65-06)
          Advanced Verification
          22
          Target
          Human Mouse Rat
          Details
          Rabbit Recombinant Monoclonal
          Application
          WB IHC (P) ICC/IF Flow
          Price
          Special offer
          Online exclusive
          Online offer:
          Cat # MA5-32214

          100 µL

          Invitrogen
          Cytokeratin 14 Polyclonal Antibody
          Invitrogen
          Cytokeratin 14 Polyclonal Antibody
          8
          Target
          Human Mouse
          Details
          Rabbit Polyclonal
          Application
          WB IHC IHC (P) ICC/IF Flow Misc
          Price
          Special offer
          Online exclusive
          Online offer:
          Cat # PA5-16722

          500 µL

          Invitrogen
          Cytokeratin 14 Polyclonal Antibody
          Invitrogen
          Cytokeratin 14 Polyclonal Antibody
          4
          Target
          Dog Human Rat
          Details
          Rabbit Polyclonal
          Application
          WB IHC IHC (P) IHC (PFA) IHC (F) ICC/IF
          Price
          Special offer
          Online exclusive
          Online offer:
          Cat # PA5-28002

          100 µL

          Invitrogen
          Cytokeratin 14 Recombinant Rabbit Monoclonal Antibody (101)
          Invitrogen
          Cytokeratin 14 Recombinant Rabbit Monoclonal Antibody (101)
          Advanced Verification
          18
          Target
          Human Mouse
          Details
          Rabbit Recombinant Monoclonal
          Application
          WB IHC (P) IP
          Price
          Special offer
          Online exclusive
          Online offer:
          Cat # MA5-35962

          100 µL

          Invitrogen
          Cytokeratin 14 Recombinant Rabbit Monoclonal Antibody (5Z4O9)
          Invitrogen
          Cytokeratin 14 Recombinant Rabbit Monoclonal Antibody (5Z4O9)
          Advanced Verification
          15
          Target
          Human Mouse Rat
          Details
          Rabbit Recombinant Monoclonal
          Application
          WB IHC (P) ELISA
          Price
          Special offer
          Online exclusive
          Online offer:
          Cat # MA5-35220

          100 µL

          Invitrogen
          Cytokeratin 14 Monoclonal Antibody (A2C11)
          Invitrogen
          Cytokeratin 14 Monoclonal Antibody (A2C11)
          Advanced Verification
          20
          Target
          Human Mouse
          Details
          Mouse Monoclonal
          Application
          WB mIHC IHC (P) ICC/IF
          Price
          Special offer
          Online exclusive
          Online offer:
          Cat # MA5-34949

          100 µL

          Invitrogen
          Cytokeratin 14 Monoclonal Antibody (A2C10)
          Invitrogen
          Cytokeratin 14 Monoclonal Antibody (A2C10)
          Advanced Verification
          17
          Target
          Human Mouse
          Details
          Mouse Monoclonal
          Application
          WB IHC (P) ICC/IF
          Price
          Special offer
          Online exclusive
          Online offer:
          Cat # MA5-42399

          100 µL

          Invitrogen
          Cytokeratin 14 Monoclonal Antibody (GT985)
          Invitrogen
          Cytokeratin 14 Monoclonal Antibody (GT985)
          Advanced Verification
          14
          Target
          Human Mouse
          Details
          Mouse Monoclonal
          Application
          WB IHC (P)
          Price
          Special offer
          Online exclusive
          Online offer:
          Cat # MA5-38248

          100 µL

          Invitrogen
          Cytokeratin 14 Monoclonal Antibody (SP53)
          Invitrogen
          Cytokeratin 14 Monoclonal Antibody (SP53)
          3
          Target
          Human Mouse Rat
          Details
          Rabbit Monoclonal
          Application
          WB IHC IHC (P) IHC (F) ICC/IF Flow
          Price
          Special offer
          Online exclusive
          Online offer:
          Cat # MA5-16370

          500 µL

          Invitrogen
          Cytokeratin 14 Monoclonal Antibody (RCK107)
          Invitrogen
          Cytokeratin 14 Monoclonal Antibody (RCK107)
          1
          Target
          Dog Human Pig Rat
          Details
          Mouse Monoclonal
          Application
          WB IHC IHC (F) ICC/IF Flow
          Price
          Special offer
          Online exclusive
          Online offer:
          Cat # MA1-06323

          100 µL

          Invitrogen
          Cytokeratin 14 Polyclonal Antibody
          Invitrogen
          Cytokeratin 14 Polyclonal Antibody
          4
          Target
          Human Mouse
          Details
          Rabbit Polyclonal
          Application
          WB IHC IHC (P) Flow
          Price
          Special offer
          Online exclusive
          Online offer:
          Cat # PA5-13672

          400 µL

          Invitrogen
          Cytokeratin 14 Polyclonal Antibody
          Invitrogen
          Cytokeratin 14 Polyclonal Antibody
          4
          Target
          Human
          Details
          Rabbit Polyclonal
          Application
          WB IHC (P)
          Price
          Special offer
          Online exclusive
          Online offer:
          Cat # PA5-109330

          100 µL

          Invitrogen
          Cytokeratin 14 Polyclonal Antibody
          Invitrogen
          Cytokeratin 14 Polyclonal Antibody
          3
          Target
          Dog Human
          Details
          Rabbit Polyclonal
          Application
          WB IHC IHC (P) IHC (F)
          Price
          Special offer
          Online exclusive
          Online offer:
          Cat # PA5-29608

          100 µL

          Invitrogen
          Cytokeratin 14 Recombinant Rabbit Monoclonal Antibody (2W8X6)
          Invitrogen
          Cytokeratin 14 Recombinant Rabbit Monoclonal Antibody (2W8X6)
          8
          Target
          Human Mouse Rat
          Details
          Rabbit Recombinant Monoclonal
          Application
          WB IHC (P) ICC/IF ELISA
          Price
          Special offer
          Online exclusive
          Online offer:
          Cat # MA569390
          Invitrogen
          Cytokeratin 14 Recombinant Rabbit Monoclonal Antibody (RM328)
          Invitrogen
          Cytokeratin 14 Recombinant Rabbit Monoclonal Antibody (RM328)
          4
          Target
          Human
          Details
          Rabbit Recombinant Monoclonal
          Application
          WB IHC (P)
          Price
          Special offer
          Online exclusive
          Online offer:
          Cat # MA5-33037

          100 µL

          NeoBiotechnologies
          Cytokeratin 14 (KRT14) (Squamous Cell Marker) Recombinant Rabbit Monoclonal Antibody (KRT14/4584R)
          NeoBiotechnologies
          Cytokeratin 14 (KRT14) (Squamous Cell Marker) Recombinant Rabbit Monoclonal Antibody (KRT14/4584R)
          3
          Target
          Human
          Details
          Rabbit Recombinant Monoclonal
          Application
          IHC (P) IHC (PFA)
          Price
          Special offer
          Online exclusive
          Online offer:
          Cat # 3861-RBM14-P0
          NeoBiotechnologies
          Cytokeratin 14 (KRT14) (Squamous Cell Marker) Recombinant Rabbit Monoclonal Antibody (KRT14/7054R)
          NeoBiotechnologies
          Cytokeratin 14 (KRT14) (Squamous Cell Marker) Recombinant Rabbit Monoclonal Antibody (KRT14/7054R)
          3
          Target
          Human
          Details
          Rabbit Recombinant Monoclonal
          Application
          WB IHC (P) IHC (PFA)
          Price
          Special offer
          Online exclusive
          Online offer:
          Cat # 3861-RBM26-P0
          NeoBiotechnologies
          Cytokeratin 14 (KRT14) (Squamous Cell Marker) Recombinant Rabbit Monoclonal Antibody (KRT14/6987R)
          NeoBiotechnologies
          Cytokeratin 14 (KRT14) (Squamous Cell Marker) Recombinant Rabbit Monoclonal Antibody (KRT14/6987R)
          3
          Target
          Human
          Details
          Rabbit Recombinant Monoclonal
          Application
          IHC (P) IHC (PFA)
          Price
          Special offer
          Online exclusive
          Online offer:
          Cat # 3861-RBM27-P0
          NeoBiotechnologies
          Cytokeratin 14 (KRT14) (Squamous Cell Marker) Recombinant Rabbit Monoclonal Antibody (KRT14/7977R)
          NeoBiotechnologies
          Cytokeratin 14 (KRT14) (Squamous Cell Marker) Recombinant Rabbit Monoclonal Antibody (KRT14/7977R)
          3
          Target
          Human
          Details
          Rabbit Recombinant Monoclonal
          Application
          WB IHC (P)
          Price
          Special offer
          Online exclusive
          Online offer:
          Cat # 3861-RBM30-P1
          NeoBiotechnologies
          Cytokeratin 14 (KRT14) (Squamous Cell Marker) Recombinant Rabbit Monoclonal Antibody (KRT14/7977R)
          NeoBiotechnologies
          Cytokeratin 14 (KRT14) (Squamous Cell Marker) Recombinant Rabbit Monoclonal Antibody (KRT14/7977R)
          3
          Target
          Human
          Details
          Rabbit Recombinant Monoclonal
          Application
          WB IHC (P)
          Price
          Special offer
          Online exclusive
          Online offer:
          Cat # 3861-RBM30-P1ABX

          100 µg

          NeoBiotechnologies
          Cytokeratin 14 (KRT14) (Squamous Cell Marker) Recombinant Rabbit Monoclonal Antibody (KRT14/7047R)
          NeoBiotechnologies
          Cytokeratin 14 (KRT14) (Squamous Cell Marker) Recombinant Rabbit Monoclonal Antibody (KRT14/7047R)
          2
          Target
          Human
          Details
          Rabbit Recombinant Monoclonal
          Application
          IHC (P) IHC (PFA)
          Price
          Special offer
          Online exclusive
          Online offer:
          Cat # 3861-RBM25-P0
          NeoBiotechnologies
          Cytokeratin 14 (KRT14) (Squamous Cell Marker) Recombinant Rabbit Monoclonal Antibody (KRT14/7977R)
          NeoBiotechnologies
          Cytokeratin 14 (KRT14) (Squamous Cell Marker) Recombinant Rabbit Monoclonal Antibody (KRT14/7977R)
          2
          Target
          Human
          Details
          Rabbit Recombinant Monoclonal
          Application
          IHC (P) IHC (PFA)
          Price
          Special offer
          Online exclusive
          Online offer:
          Cat # 3861-RBM37-P0
          NeoBiotechnologies
          Cytokeratin 14 (KRT14) (Squamous Cell Marker) Recombinant Rabbit Monoclonal Antibody (KRT14/8260R)
          NeoBiotechnologies
          Cytokeratin 14 (KRT14) (Squamous Cell Marker) Recombinant Rabbit Monoclonal Antibody (KRT14/8260R)
          1
          Target
          Human
          Details
          Rabbit Recombinant Monoclonal
          Application
          IHC (P)
          Price
          Special offer
          Online exclusive
          Online offer:
          Cat # 3861-RBM31-P1
          NeoBiotechnologies
          Cytokeratin 14 (KRT14) (Squamous Cell Marker) Recombinant Rabbit Monoclonal Antibody (KRT14/8260R)
          NeoBiotechnologies
          Cytokeratin 14 (KRT14) (Squamous Cell Marker) Recombinant Rabbit Monoclonal Antibody (KRT14/8260R)
          1
          Target
          Human
          Details
          Rabbit Recombinant Monoclonal
          Application
          IHC (P)
          Price
          Special offer
          Online exclusive
          Online offer:
          Cat # 3861-RBM31-P1ABX

          100 µg

          Custom Antibody Service

          Searching for an antibody we don't offer? We make custom antibodies for specific targets, species and applications.

          More than 18,000 custom antibodies created so far.

          Talk to a specialist now
          guarantee_icon

          Performance Guarantee

          If an Invitrogen™ antibody doesn't perform as described on our website or datasheet,we'll replace the product at no cost to you, or provide you with a credit for a future purchase.*

          Learn more
          help_icon

          We're here to help

          Get expert recommendations for common problems or connect directly with an on staff expert for technical assistance related to applications, equipment and general product use.

          Contact tech support
          Ordering Plus Icon Minus Icon
          • Order Status
          • Order Help
          • Quick Order
          • Supply Center
          • eProcurement
          Support Plus Icon Minus Icon
          • Help and Support
          • Contact Us - 400 820 8982
          • Technical Support Centers
          • Documents and Certificates
          • Report a Site Issue
          Resources Plus Icon Minus Icon
          • Learning Centers
          • Promotions
          • Events and Webinars
          • Social Media
          About Thermo Fisher Plus Icon Minus Icon
          • About Us About Us
          • Careers Careers
          • Investors Investors
          • News News
          • Social Responsibility Social Responsibility
          • Trademarks
          • Policies and Notices
          Our Portfolio Plus Icon Minus Icon
          • Thermo Scientific
          • Applied Biosystems
          • Invitrogen
          • Gibco
          • Ion Torrent
          • Unity Lab Services
          • Patheon
          • PPD
          • Terms & Conditions
          • Privacy Policy
          • Price & Freight Policy
          © 2006-2026 Thermo Fisher Scientific Inc. All rights reserved. All trademarks are the property of Thermo Fisher Scientific and its subsidiaries unless otherwise specified.
          China flag icon
          China
          本网站销售的所有产品均不得用于人类或动物之临床诊断或治疗,仅可用于工业或者科研等非医疗目的。
             电子营业执照 | 经营证照公示 | ICP备案号:沪ICP备11003924号 | 沪公网安备 31011502006935号

          Your items have has been added!


          Host server : magellan-search-blue-67655d8755-x75fr:80/100.66.77.4:80.
          git-commit: dddaa802cd395f65bf1581942d0e97a089c38f41
          git-url: https://github.com/thermofisher/magellan-search
          git-branch: release/2.46.0-Offline